루시드치과의원 LUCID Dental Clinic ルシード歯科 露西得牙科医院 LUCINATE ルシネート
"앞니가 깎여서 잘 안 씹어져요" 틀어지고 안 맞는 치아 교합, 서초동 치과 라미네이트 시술로 연예인처럼 자신감 있게!
루시드치과의원 안녕하세요 행복을 드리는 루시드치과 입니다^^ pf.kakao.com 루시드치과의원 서울특별시 강남구 논현로111길 3 상가 1층 101, 102A 언주역 9호선 서울특별시 강남구 봉은사로 201 오늘 포스팅은 서초동 루시드 치과 대표원장인 제가 직접 작성하고 있으며, 환자의 동의하에 올리고 있음을 미리...
루시드치과의원 안녕하세요 행복을 드리는 루시드치과 입니다^^
pf.kakao.com
루시드치과의원 서울특별시 강남구 논현로111길 3 상가 1층 101, 102A
언주역 9호선 서울특별시 강남구 봉은사로 201
오늘 포스팅은 서초동 루시드 치과
대표원장인 제가 직접 작성하고 있으며,
환자의 동의하에 올리고
있음을 미리 알려드립니다.
앞니뿐만 아니라 어금니까지,
하나라도 제 위치를 잃어버릴 경우
일상 생활에 큰 지장이 가곤 하죠.
이는 치아 기능뿐만 아니라
심미적인 기능도 마찬가지입니다.
이번 임상 사례 환자분께서도
치아 기능 및 심미적인 부분을 개선하기 위해
서초동 치과 에 내원하셨는데요
치아가 마모되면서 기존의 모습을 잃어버려
저작 활동은 물론, 누군가와 대화를 나누는 것조차
부담스럽다는 주소를 말씀해 주셨습니다.
앞니는 어금니와 다르게
상대방의 눈에 쉽게 들어오는 곳에 위치하여
조금이라도 치아가 손상됐을 경우
신경이 쓰일 수밖에 없는데요
치과 의사로서 환자분들께 이런 얘길 들을 때마다
얼마나 마음이 힘드셨을지... 너무 걱정되더라고요
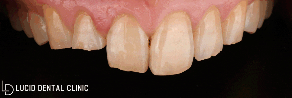
초진 당시 촬영했던 사진을 보며
오늘의 소개를 시작해 보겠습니다.

환자 내원 이후, 구강 카메라를 이용하여
초진 당시의 모습을 촬영해 봤는데요
가운데 선을 쭉 이어 만든 정중선을 통해
1️⃣ 좌/우 크기가 불일치하다는 점
2️⃣ 치아가 마모되며 정상 높이를 벗어난 점
3️⃣ 정상 교합 관계를 잃어버린 점
이렇게 3가지를 파악할 수 있었습니다.

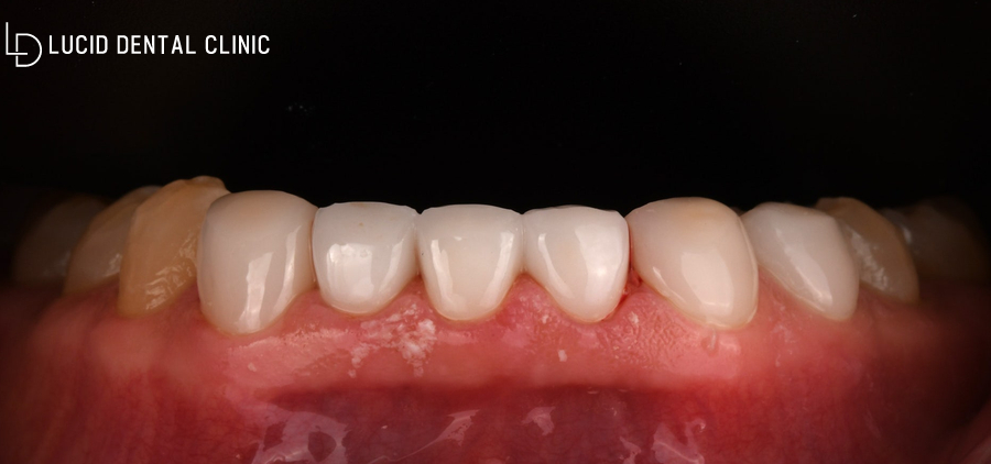
이는 아래턱 구강 역시, 마찬가지였는데요
치아가 점점 마모되고 깎이면서
내부 조직이 바깥으로 드러나 통증은 물론,
시림 증상까지 동반되고 있었습니다.

환자의 저작 능력과
기존 치아 모습을 되찾기 위해
치료가 시급하다고 판단되었고,
곧장 위 검진 결과를 바탕으로
치료 계획을 수립해 봤는데요
환자께선 최대한 빠른 치료 기간 &
빠른 일상 복귀 두 가지를 중점으로
치료 계획을 수립하길 원하셨고
이를 중점으로 계획을 의논한 결과,
라미네이트 시술을 받기로 결정하셨습니다.
루시드의 라미네이트 🌷 🌷예뻐지기 위해 하는 라미네이트, 그런데 소중한 내 치아를 일부 깎아내고 해야 된다는 사실 알고 계셨...
blog.naver.com
서초동 치과 루시네이트 시술은
기존 라미네이트 방식과는 다르게
얇은 치아 삭제 & 얇은 보철 제작
두 가지를 바탕으로 진행되고 있는데요
실제로 본원에서 가지고 있는
밀링 cerec 기기와 기술력을 통해
단 하루만에 맞춤형 정밀 보철 제작이 가능하여
빠른 시간 안에 치료를 마무리할 수 있습니다.
즉, 빠른 일상 복귀는 물론
보철 수정까지 빠르게 진행되고 있어
환자분들의 만족감이 높은 편이죠.
루시드치과의원 논현동 역삼동 임플란트, 라미네이트, 치아교정, 투명교정 치과
서초동 치과 에선 치료 당일,
간단한 스케일링 및 준비를 마치고
치료 과정에 들어가게 되는데요
먼저, 보철을 부착할 치아 표면 모두
0.01mm 정도의 두께만큼만 삭제하고
정돈하는 시간을 가졌습니다.
- 본원에선 두껍고, 일정 범위를 넘어서는
치아 삭제량을 지양하고 있기 때문에
최대한 치아를 얇게 삭제하고 있습니다.
그후, 환자의 구강 환경을 바탕으로
정밀 보철 제작 과정에 들어가게 되는데요
보철의 두께 역시, 0.01mm 정도로
얇게 제작하여 편안한 착용감을 유도하고
보다 높은 심미성을 기대할 수 있습니다.
이 환자분의 경우도 단 하루만에 보철 제작을 마치며
계획한 라미네이트 시술을 종료할 수 있었는데요


제작된 보철을 부착한 뒤,
교합 조정 및 연마 작업을 끝으로
치료 과정을 종료해 드렸습니다.
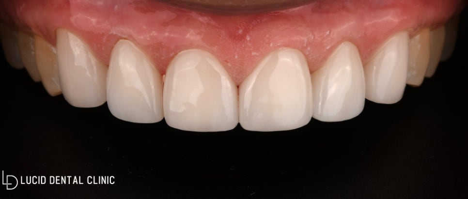
이렇게만 봐선 크게 달라진 점이나
차이점을 잘 못 느끼실 수 있을 것 같은데요
조금 더 자세히 느끼실 수 있도록
치료 전후 사진을 한 번 준비해 봤습니다.


어떠신가요?
확실히 초진 모습과 비교해서 보면
마모된 치아들과 삐뚤빼뚤 길이가 다르던 모습에서
이상적이며 일정한 크기는 물론,
보다 밝은 색감으로 심미성까지 향상된 모습을
관찰하실 수 있으실 겁니다.

환자께서도 달라진 치아 모습에
크게 놀라며 믿지 못하시더라고요 ㅎㅎ
환자께선 이후 본원에 꾸준히 내원하시며
정기 검진과 전문가 관리를 받고 계시는데요
루시네이트 시술을 받은 이후로부턴
식사도 마음껏 할 수 있게 되었다며
크게 좋아하시던 모습이 기억납니다 :)
서초동 루시네이트 치과 에선
환자의 구강 환경을 최대한 고려하여
맞춤형 치료를 수립해 드리고 있습니다.
특히 라미네이트 시술의 경우,
치아 삭제량을 오버해서 진행하거나
보철 두께를 두껍고, 크게 제작하면
사용에 큰 불편감을 느끼실 수 있고
쉽게 파절되거나 빠져나올 수 있기 때문에
전문 의료진이 직접 치료 과정을
진행하는 곳에서 받는 것이 좋습니다.
- 이 점 꼭 기억하셔서
나에게 맞는 치료 계획으로
빠르게 해결하실 수 있기를
진심으로 바라겠습니다.
그럼 전 여기서 이만 인사드리겠습니다.
지금까지 서초동 루시드 치과
대표원장 박현민이었습니다.
모두 오늘 하루도 행운 가득한 날 되시길 🍀
루시드치과의원 안녕하세요 행복을 드리는 루시드치과 입니다^^
pf.kakao.com
네이버 예약 :: 루시드치과의원 안녕하세요 [ 연예인 ] [ 인플루언서 ] [ 아이돌 ] [ 미인대회 ] 출신자들에게 사랑받는 강남 치과 루시드입니다 :) 저희 루시드 치과는 심미성과 기능 모두를 생각한 치과치료를 지향하고 있습니다 환자분들이 저희 치과에 오시기까지 수 많은 고민을 하셨다는 걸 정말 잘 알고 있습니다. 따라서 루시드에서는 최소한의 치료로 최대의 만족과 결과를 안겨드릴 수 있도록 노력하고 있습니다. 치아와 잇몸은 최대한 건드리지 않는 것이 가장 좋은 치료 방법입니다. 자연치를 지키면서 할 수 있는 방법을 최우선으로 하며, 치료시에도 자연치 손상을 적...
m.booking.naver.com

Explore More
Keep Browsing This Clinic's Korean Content Trail.
Return to the source archive for more posts, or move back to the clinic profile to compare the rest of the clinic's public channels.