루시드치과의원 LUCID Dental Clinic ルシード歯科 露西得牙科医院 LUCINATE ルシネート
치아 벌어짐, 역삼치과 루시네이트로 자연스럽게 개선한 사례
안녕하세요. 역삼치과입니다. 오늘은 앞니 치아 벌어짐으로 고민하시던 환자분들이 루시네이트 치료를 위해 심미적인 변화를 얻은 사례에 대해 소개해드리려고 합니다. 앞니는 웃거나 말할 때 가장 먼저 보이는 치아이기 때문에 작은 배열의 치아만 있어도 전체적인 인상에 영향을 줄 수 있습니다. 특히 치아 사이가 벌어져 있...
안녕하세요. 역삼치과입니다.
오늘은 앞니 치아 벌어짐으로 고민하시던 환자분들이
루시네이트 치료를 위해 심미적인 변화를 얻은 사례에
대해 소개해드리려고 합니다.
앞니는 웃거나 말할 때 가장 먼저 보이는 치아이기
때문에 작은 배열의 치아만 있어도 전체적인 인상에
영향을 줄 수 있습니다.
특히 치아 사이가 벌어져 있는 경우라면
심미적인 고민으로 이어지는 경우가 많습니다.

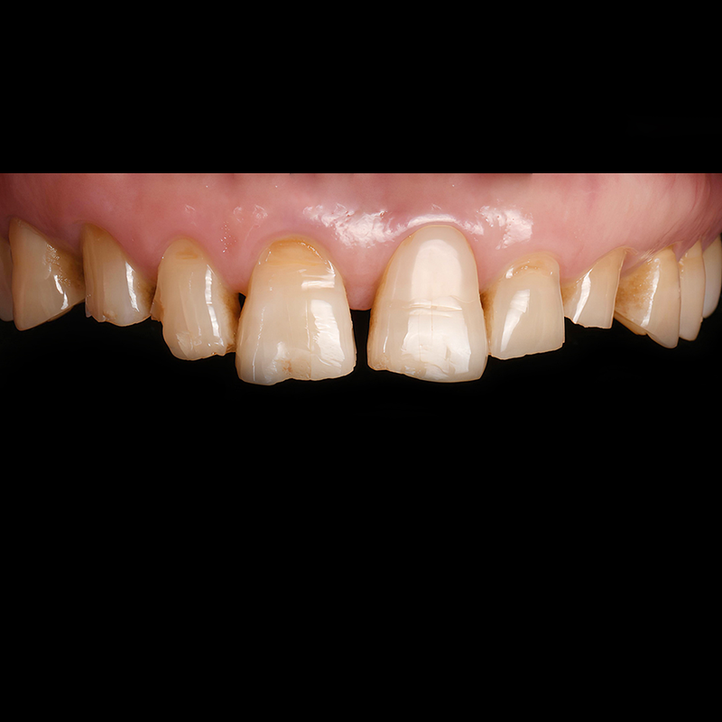
역삼치과 루시네이트 치료 전
앞니 사이에 공간이 보이고 치아 크기와
형태가 균형 있게 보이지 않아 전체적인 치열이
고르지 않은 느낌을 줄 수 있는 상태였습니다.
이처럼 앞니 사이가 벌어져 있으면 웃을 때
치아 사이 공간이 눈에 띄어 신경이 쓰일 수 있으며,
심미적인 부분에서 아쉬움을 느끼는 경우가 많습니다.

역삼치과 루시네이트 치료 후
이때 루시네이트를 통해 치아의 형태와 크기를
조화롭게 디자인하면서 벌어져 있던 치아 사이 공간을
자연스럽게 개선할 수 있었습니다.
치아 사이의 공백이 줄어들면서 전체 치열이
보다 정돈되어 보이고, 웃을 때 자연스러운 미소
라인이 만들어진 것을 확인할 수 있습니다.
루시네이트로 기대할 수 있는 변화
루시네이트는 치아 표면에 얇은 세라믹을 부착하여
치아의 모양과 크키를 보완하는 심미 치료 방법입니다.
치아 사이가 벌어져 있는 경우에도 치아 형태를
자연스럽게 디자인하여 공간을 개선할 수 있으며,
치아의 색감과 비율을 함께 조정하여 보다 균형 있는
미소를 완성할 수 있습니다.
치아 벌어짐으로 인해 웃을 때 자신감이 떨어지거나
심미적인 고민이 있다면, 루시네이트를 통해 개선
방향을 고려해볼 수 있습니다.
치아는 작은 변화만으로도 인상이 달라질 수 있습니다.
앞니 사이 공간이 신경 쓰이거나 치아 모양이
고민된다면, 현재 치아 상태를 역삼치과 통해
정확히 확인한 뒤 개인의 치아 구조와 심미적인 방향을
고려한 치료 계획을 세우는 것이 중요합니다.
루시드치과의원 서울특별시 강남구 논현로 606 코웨이건물 3~4층
네이버 예약 :: 루시드치과의원 [LUCID DENTAL CLINIC 루시드치과] 루시드는 단순히 치아를 치료하는 공간이 아닌 심미성과 기능을 함께 설계하는 치과 진료를 지향합니다 치과를 방문하기까지 많은 고민과 결심이 필요하다는 점을 잘 알고 있습니다. 그래서 루시드는 많이 치료하는 것보다 필요한 만큼 치료하는 것을 원칙으로 합니다. 치아와 잇몸은 가능한 한 보존하는 것이 가장 좋은 치료입니다. 자연치를 지키는 방법을 최우선으로 고려하며 치료가 필요한 경우에도 손상을 최소화하는 방향으로 정밀하게 진료합니다. [LUCINATE 루시네이트 프리미엄 라미네이트] 루시...
m.booking.naver.com
루시드치과의원 행복을 드리는 루시드치과 입니다.
pf.kakao.com

본 사진은 2025년 원데이로 진행된 루시네이트
시술 사례입니다.
루시네이트는 심미 보철 치료로, 개인에 따라 치료 결과에는 차이가 있을 수 있습니다.
※ 본 사진은 환자 동의 하에 촬영·게시되었습니다.
※ 시린 증상, 잇몸 자극, 보철물 탈락 등의 부작용이 발생할 수 있습니다.
※ 시술 전 의료진과의 상담이 필요합니다.
Explore More
Keep Browsing This Clinic's Korean Content Trail.
Return to the source archive for more posts, or move back to the clinic profile to compare the rest of the clinic's public channels.