루시드치과의원 LUCID Dental Clinic ルシード歯科 露西得牙科医院 LUCINATE ルシネート
깨지고착색된 앞니, 자연스럽게 개선할 수 있을까?
안녕하세요. 루시드치과입니다. 오늘은 깨짐과 착색으로 인해 심미적인 고민이 있었던 앞니를 루시네이트를 통해 개선한 사례에 대해 소개해드리겠습니다. 시술 전 상태 첫 번째 사진을 보시면, 앞니 끝이 깨져 있는 모습과 함께 전체적으로 치아 색상이 고르지 않고 탁해 보이는 상태입니다. 이런 경우에 단순히 색상만의 문제가...
안녕하세요. 루시드치과입니다.
오늘은 깨짐과 착색으로 인해 심미적인 고민이
있었던 앞니를 루시네이트를 통해 개선한 사례에
대해 소개해드리겠습니다.

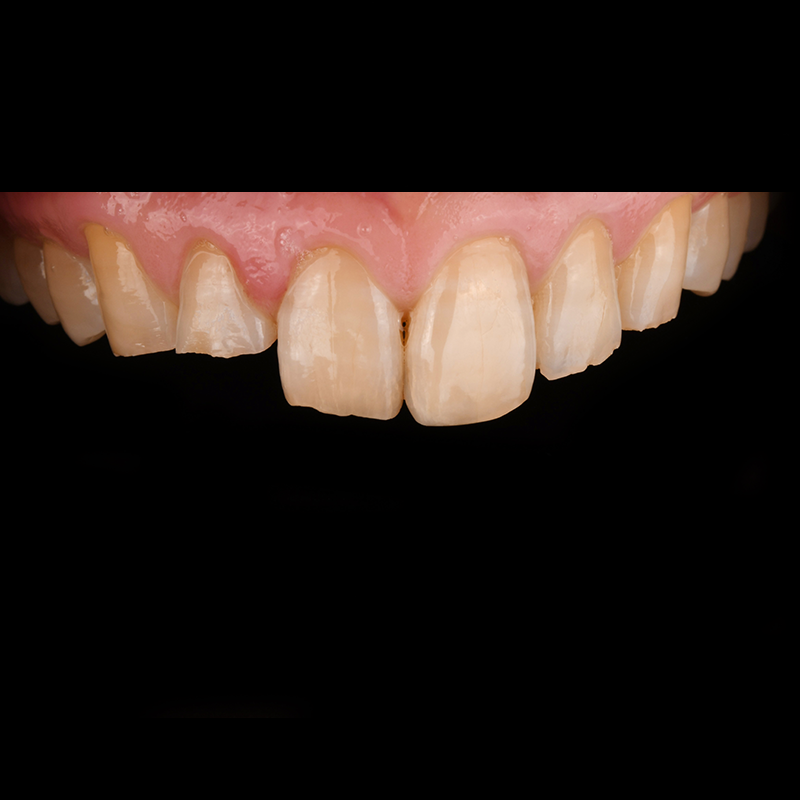
시술 전 상태
첫 번째 사진을 보시면, 앞니 끝이 깨져 있는
모습과 함께 전체적으로 치아 색상이 고르지 않고
탁해 보이는 상태입니다.
이런 경우에 단순히 색상만의 문제가 아니라
✔️치아 끝이 불균형하게 깨져 보이는 점
✔️앞니 라인이 고르지 않아 웃을 때 시선이 분산되는 점
✔️착색으로 인해 전체 인상이 어둡고 답답해 보일 수 있는 점
등의 복합적인 심미적 단점이 함께 나타날 수 있습니다.
특히 앞니는 얼굴 인상에 큰 영향을 주는
부위이기 때문에 작은 깨짐이나 색상 변화도
신경 쓰이기 쉬운 부분입니다.
루시네이트를 통한 개선
이러한 경우 고려할 수 있는 방법 중 하나가
바로 루시네이트입니다.
루시네이트는 치아의 형태와 색상을 보완하여
자연스럽고 균형 잡힌 치아 라인을 만들어주는 방법으로
✔️ 깨진 치아 끝 라인을 정돈하고
✔️고르지 않은 색상을 밝고 균일하게 개선하며
✔️전체적인 치아 비율을 조화롭게 디자인하는 데 도움을 줄 수 있습니다.

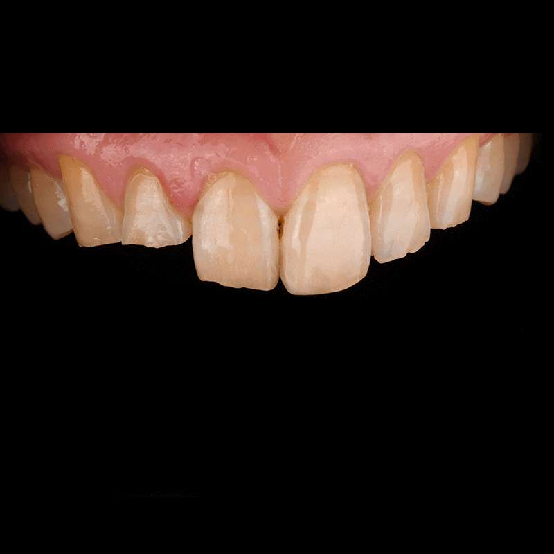
시술 후 변화
두번 째 사진을 보시면,
✔️ 깨졌던 앞니 끝이 매끄럽게 정리되고
✔️치아 색상이 한층 밝아지며
✔️전체적인 앞니 라인이 균형 있게 맞춰진 것을 확인할 수 있습니다.
과하게 하얗거나 인위적인 느낌이 아니라
자연스러운 톤 안에서 정돈된 이미지로 변화한
것이 특징입니다.
이처럼 루시네이트는 단순히 '하얗게 만드는 치료'가
아니라 치아의 형태와 색상을 함께 고려하여 조화로운
미소를 완성하는 데 초점을 두고 진행됩니다.
이런 분들께 고려될 수 있습니다
▪️앞니가 살짝 깨져 신경 쓰이시는 경우
▪️치아 착색으로 인해 밝은 인상을 원하시는 경우
▪️치아 모양이나 크기가 고르지 않은 경우
▪️자연스러운 심미 개선을 원하시는 경우
깨짐이나 착색처럼 작은 변화라도
앞니에서는 전체 인상에 큰 영향을 줄 수 있습니다.
현재 치아 상태와 원하는 이미지에 따라
적절한 방법을 선택하는 것이 중요하며,
개인의 치아 형태와 조화를 고려한 계획을 통해
보다 자연스럽고 만족도 높은 결과를
기대해볼 수 있습니다.
궁금할 땐 네이버 톡톡하세요!
루시드치과의원 서울특별시 강남구 논현로 606 코웨이건물 3~4층

본 사진은 2025년 원데이로 진행된 루시네이트
시술 사례입니다.
루시네이트는 심미 보철 치료로, 개인에 따라 치료 결과에는 차이가 있을 수 있습니다.
※ 본 사진은 환자 동의 하에 촬영·게시되었습니다.
※ 시린 증상, 잇몸 자극, 보철물 탈락 등의 부작용이 발생할 수 있습니다.
※ 시술 전 의료진과의 상담이 필요합니다.
Explore More
Keep Browsing This Clinic's Korean Content Trail.
Return to the source archive for more posts, or move back to the clinic profile to compare the rest of the clinic's public channels.