루시드치과의원 LUCID Dental Clinic ルシード歯科 露西得牙科医院 LUCINATE ルシネート
벌어지고 깨진 앞니, 개선을 원한다면 루시네이트로
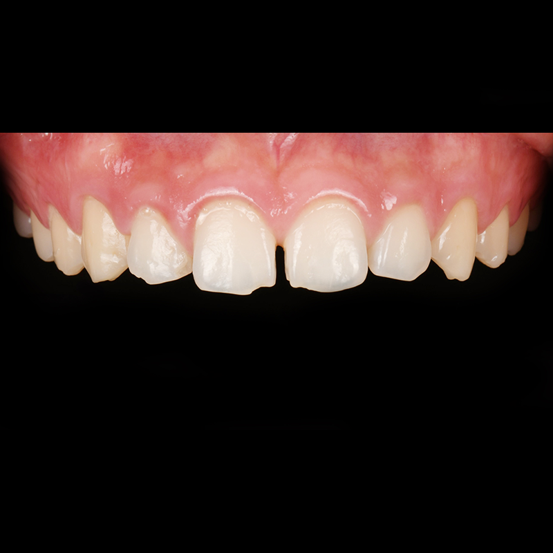
안녕하세요. 루시드치과입니다. 오늘은 치아 사이가 벌어져 있고, 일부 깨짐과 착색까지 동반된 앞니를 루시네이트를 통해 개선한 사례에 대해 소개해드리겠습니다. 시술 전 상태 첫 번째 사진을 보시면, ✔️ 앞니 사이 공간이 벌어져 있는 모습 ✔️ 치아 끝이 일부 깨져 불균형한 형태 ✔️ 전체적으로 누러헥 보이는 착색...
안녕하세요. 루시드치과입니다.
오늘은 치아 사이가 벌어져 있고, 일부 깨짐과
착색까지 동반된 앞니를 루시네이트를 통해
개선한 사례에 대해 소개해드리겠습니다.

시술 전 상태
첫 번째 사진을 보시면,
✔️ 앞니 사이 공간이 벌어져 있는 모습
✔️ 치아 끝이 일부 깨져 불균형한 형태
✔️ 전체적으로 누러헥 보이는 착색
이 세 가지가 함꼐 나타나 있는 상태입니다.
이러한 경우에는 단순히 한 가지 문제가 아니라
형태, 색상, 배열이 동시에 영향을 주기 때문에
웃을 때 시선이 분산되고
치아가 정돈되지 않은 인상을 줄 수 있습니다.
특히 앞니 사이가 벌어져 있으면
발음 시 공기가 새는 느낌이 들 수 있고,
음식물이 끼는 불편함, 심미적인 스트레스까지
이어질 수 있어 루시네이트를 통해 개선을
고민하게 되는 경우가 많습니다.
루시네이트를 통한 개선 방향
이 케이스에서는 벌어진 공간을 자연스럽게 메우고,
깨진 치아의 형태를 정리하여, 전체적인 색상을 밝고
균일하게 맞추는 방향으로 계획이 진행되었습니다.
루시네이트는 치아 사이 공간을 자연스럽게 보완하고,
깨진 치아 라인을 매끄럽게 정리하며 색상을 조화롭게
개선할 수 있어 여러 심미적인 요소를 동시에 고려해야
하는 경우에 활용이 될 수 있습니다.

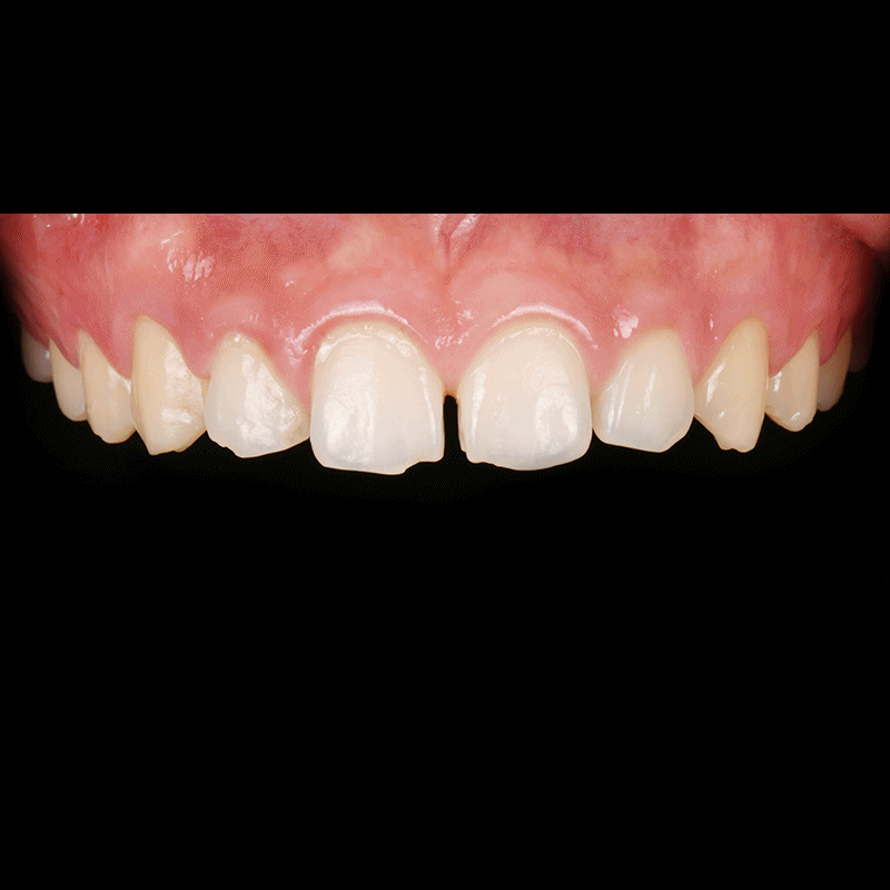
시술 후 변화
두 번째 사진을 보시면,
✔️ 벌어져 잇던 앞니 사이가 자연스럽게 채워지고
✔️ 깨져 있던 치아 끝이 부드럽게 정리되며
✔️ 전체적으로 밝고 맑은 치아 톤으로 변화한 모습입니다.
과하게 도드라지는 색상이 아니라 자연스러운
밝기와 균형을 유지하면서 전체적인 인상이 훨씬
깔끔하고 정돈된 느낌으로 개선된 것을
확인할 수 있습니다.
이런 경우 루시네이트 고려될 수 있습니다
▪️앞니 사이가 벌어져 신경 쓰이는 경우
▪️치아 끝이 깨져 라인이 고르지 않은 경우
▪️치아 착색으로 인해 밝은 인상을 원하시는 경우
▪️짧은 기간 내 심미적인 개선을 고민하는 경우
치아의 벌어짐, 깨짐, 착색은 각각 따로
보일 수 있지만 실제로는 함께 어우러져 전체 인상에
영향을 주는 경우가 많습니다.
현재 치아 상태를 정확히 파악하고 형태와
색상을 함께 고려한 계획을 통해
자연스러우면서도 조화로운 변화를 기대해볼 수 있습니다.
궁금할 땐 네이버 톡톡하세요!
루시드치과의원 서울특별시 강남구 논현로 606 코웨이건물 3~4층
네이버 예약 :: 루시드치과의원 [LUCID DENTAL CLINIC 루시드치과] 루시드는 단순히 치아를 치료하는 공간이 아닌 심미성과 기능을 함께 설계하는 치과 진료를 지향합니다 치과를 방문하기까지 많은 고민과 결심이 필요하다는 점을 잘 알고 있습니다. 그래서 루시드는 많이 치료하는 것보다 필요한 만큼 치료하는 것을 원칙으로 합니다. 치아와 잇몸은 가능한 한 보존하는 것이 가장 좋은 치료입니다. 자연치를 지키는 방법을 최우선으로 고려하며 치료가 필요한 경우에도 손상을 최소화하는 방향으로 정밀하게 진료합니다. [LUCINATE 루시네이트 프리미엄 라미네이트] 루시...
m.booking.naver.com
루시드치과의원 행복을 드리는 루시드치과 입니다.
pf.kakao.com

본 사진은 2025년 원데이로 진행된 루시네이트
시술 사례입니다.
루시네이트는 심미 보철 치료로, 개인에 따라 치료 결과에는 차이가 있을 수 있습니다.
※ 본 사진은 환자 동의 하에 촬영·게시되었습니다.
※ 시린 증상, 잇몸 자극, 보철물 탈락 등의 부작용이 발생할 수 있습니다.
※ 시술 전 의료진과의 상담이 필요합니다.
Explore More
Keep Browsing This Clinic's Korean Content Trail.
Return to the source archive for more posts, or move back to the clinic profile to compare the rest of the clinic's public channels.