루시드치과의원 LUCID Dental Clinic ルシード歯科 露西得牙科医院 LUCINATE ルシネート
앞니 벌어짐, 교정 말고 루시네이트로 개선 사례
안녕하세요. 루시드치과입니다:) 거울을 볼 때마다 앞니 사이가 벌어져 있는 것이 계속 신경 쓰였던 경험, 한 번쯤 있으셨을 거예요. 특히 앞니는 웃을 때 가장 먼저 보이는 부위이기 때문에 작은 틈이라도 눈에 잘 띄고, 사진을 찍을 때나 대화할 때도 자신감에 영향을 주는 경우가 많습니다. 오늘은 치아 벌어짐과 앞...
안녕하세요. 루시드치과입니다:)
거울을 볼 때마다 앞니 사이가 벌어져 있는 것이
계속 신경 쓰였던 경험, 한 번쯤 있으셨을 거예요.
특히 앞니는 웃을 때 가장 먼저 보이는 부위이기 때문에
작은 틈이라도 눈에 잘 띄고, 사진을 찍을 때나
대화할 때도 자신감에 영향을 주는 경우가 많습니다.
오늘은 치아 벌어짐과 앞니 형태 불균형을
함께 가지고 있던 분이 루시네이트를 통해 어떻게
자연스럽게 개선되었는지 실제 사례를 바탕으로
자세히 설명드릴게요.
치아 벌어짐, 왜 생기는 걸까요?
앞니 사이가 벌어지는 이유는 생각보다 다양합니다.
▪️치아 크기 대비 잇몸/턱 공간이 넓은 경우
▪️선천적으로 치아 사이 간격이 있는 경우
▪️잇몸이나 치아를 밀어내는 습관 (혀 밀기 등)
▪️기존 보철이나 마모로 인해 형태가 변경된 경우
이런 경우 단순히 '틈만 막으면 된다'가 아니라
전체적인 비율, 길이, 색감, 배열까지 함께 고려해야
자연스러운 결과가 나올 수 있습니다.

기존 방법 VS 루시네이트
치아 벌어짐을 개선하는 방법은 여러 가지가 있어요.
▪️교정
▪️레진으로 공간 메우기
▪️보철 치료
하지만 각각의 방법은 기간, 유지력, 심미성에 차이가 있습니다.
이 중에서도 루시네이트는 치아 겉면에 얇은
세라믹을 부착해 형태와 색상을 동시에 개선하는
방식으로 벌어짐 + 치아 모양 + 색감까지
한 번에 정리할 수 있다는 점이 특징입니다.
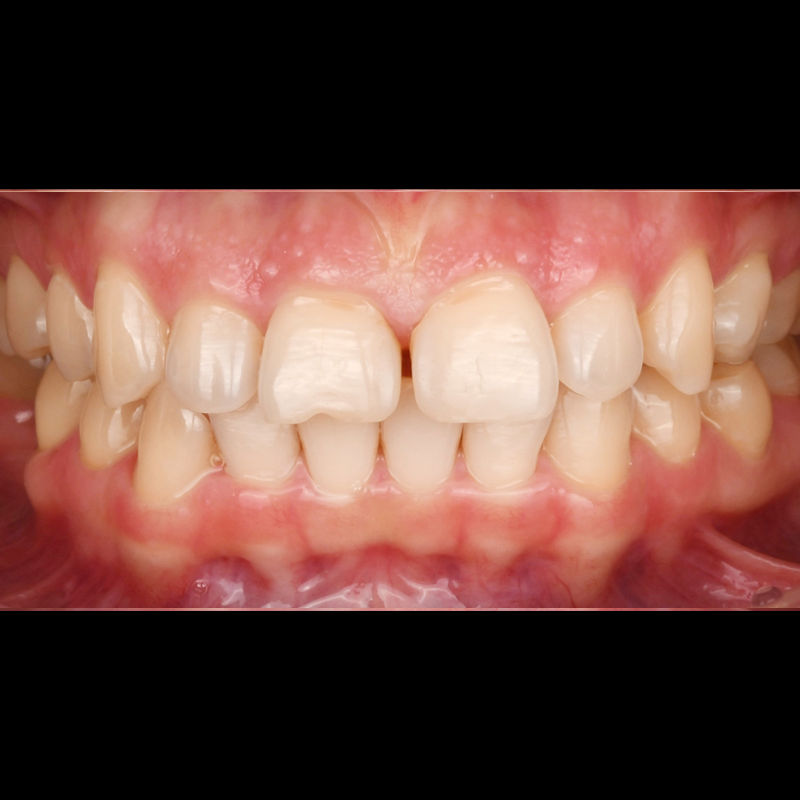
이번 사례, 어떤 점이 문제였을까요?
▪️앞니 사이가 눈에 띄게 벌어져 있었고
▪️치아 끝 라인이 고르지 않아 정돈되지 않은 느낌
▪️전체적으로 색감도 균일하지 않음
이 세 가지가 복합적으로 작용하면서
단순히 '벌어짐' 보다 더 부자연스러운 인상을
만들고 있었습니다.

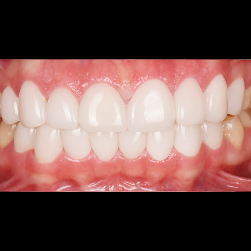
루시네이트 적용 후 변화
루시네이트 적용 후에는 다음과 같은 변화가 나타났어요
▪️앞니 사이 공간 자연스럽게 개선
▪️좌우 대칭 맞춘 치아 형태 디자인
▪️과하지 않은 밝기와 자연스러운 색감
▪️전체적으로 정돈된 인상
특히 중요한 포인트는 '티 안 나게 예뻐지는 것'입니다.
너무 하얗거나, 너무 두껍거나, 인위적인 느낌이 아니라
자연치아처럼 보이도록 디자인하는 것이 핵심이에요.
루시네이트의 장점
이번 사례처럼 벌어진 치아를 개선할 때
루시네이트가 가지는 장점은 분명합니다.
▪️치아 형태와 간격을 동시에 조절
▪️색상 개선까지 함께 진행 가능
▪️비교적 짧은 기간 내 변화 가능
▪️자연스러운 결과 표현 가능
특히 루시드치과는 원내 기공실을 운영하고 있어
의료진과 기공사가 직접 소통하며 디자인을 맞추고
색상, 길이, 비율을 디테일하게 조정할 수 있다는 점이
큰 차이입니다.
이런 분들께 추천드려요
▪️앞니 사이 벌어짐이 신경 쓰이는 분
▪️교정이 부담스럽거나 기간이 긴 것이 고민인 분
▪️치아 모양까지 함께 개선하고 싶은 분
▪️웃을 때 자신감이 부족하신 분
루시네이트 후 주의 사항
시술 후 결과를 오래 유지하기 위해서는 관리도 중요합니다.
▪️너무 단단한 음식은 앞니 사용을 피하기
▪️이갈이, 이 악물기 습관 체크
▪️정기적인 검진 유지
▪️앞니로 물건 뜯는 행동 자제
관리 상태에 따라 유지 기간에 영향을 줄 수 있기 때문에
꾸준한 관리가 중요합니다.
치아 벌어짐, 깨짐, 착색은 각각 따로 보이는
문제처럼 느껴질 수 있지만 실제로는 서로 영향을 주며
전체적인 인상에 큰 변화를 만들게 됩니다.
따라서 현재 치아 상태를 정확하게 파악하고
형태와 색상을 함께 고려한 계획을 통해
자연스러우면서도 조화로운 변화를 기대해 볼 수 있습니다.
궁금할 땐 네이버 톡톡하세요!
루시드치과의원 서울특별시 강남구 논현로 606 코웨이건물 3~4층

본 사진은 2025년 원데이로 진행된 루시네이트
시술 사례입니다.
루시네이트는 심미 보철 치료로, 개인에 따라 치료 결과에는 차이가 있을 수 있습니다.
※ 본 사진은 환자 동의 하에 촬영·게시되었습니다.
※ 시린 증상, 잇몸 자극, 보철물 탈락 등의 부작용이 발생할 수 있습니다.
※ 시술 전 의료진과의 상담이 필요합니다.
Explore More
Keep Browsing This Clinic's Korean Content Trail.
Return to the source archive for more posts, or move back to the clinic profile to compare the rest of the clinic's public channels.