아카이브 요약
이 페이지의 역할
메이크치과의원의 네이버 블로그 원문을 보존한 아카이브 페이지입니다. 라미네이트 카테고리의 잇몸 라인 비대칭으로 미소의 자신감 회복 [+치료사례 포함] 글을 통해 병원의 한국어 정보 제공 방식과 진료 관련 안내 톤을 확인할 수 있습니다.
원문 검증
필요하면 원문 블로그와 병원 프로필로 바로 이동해 문맥을 다시 확인할 수 있습니다.
출처 아카이브 열기아카이브된 블로그 글
메이크치과의원 · 메이크치과의원ㅣ라미네이트,심미치료에 진심인 치과
안녕하세요. 메이크치과 대표원장 안영석입니다. 원래는 웃는 걸 좋아했어요. 그런데 어느 순간부터 사진 찍을 때마다 입을 꼭 다물게 되더라고요. 저희 메이크치과를 찾아주신 한 환자분은 잇몸 라인 비대칭으로 인한 스트레스를 털어놓으시면서 상담하셨는데요. 자세히 살펴보니 치아 위쪽 잇몸의 높이가 좌...
게시일
2025년 4월 10일
원문 기준으로 확인된 발행일입니다.
카테고리
라미네이트
원문 블로그 카테고리를 정리해 함께 표시합니다.
이미지 수
33
현재 아카이브에 연결된 이미지 수입니다.
아카이브 요약
메이크치과의원의 네이버 블로그 원문을 보존한 아카이브 페이지입니다. 라미네이트 카테고리의 잇몸 라인 비대칭으로 미소의 자신감 회복 [+치료사례 포함] 글을 통해 병원의 한국어 정보 제공 방식과 진료 관련 안내 톤을 확인할 수 있습니다.
원문 검증
필요하면 원문 블로그와 병원 프로필로 바로 이동해 문맥을 다시 확인할 수 있습니다.
출처 아카이브 열기![잇몸 라인 비대칭으로 미소의 자신감 회복 [+치료사례 포함] 관련 이미지 1](https://pub-9f2bb3498faf4d1d8714b41df24753e3.r2.dev/content/clinics/archive/vanitalwc5/naver_blog/nest11561/assets/by_hash/eb40db4545ea5765a155aad6db9ee78d76f0d57a5bad32baac469b88fc3eb6ac.png)
안녕하세요. 메이크치과 대표원장 안영석입니다.
원래는 웃는 걸 좋아했어요.
그런데 어느 순간부터 사진 찍을 때마다
입을 꼭 다물게 되더라고요.
저희 메이크치과를 찾아주신 한 환자분은
잇몸 라인 비대칭으로 인한 스트레스를 털어놓으시면서 상담하셨는데요.
자세히 살펴보니 치아 위쪽 잇몸의 높이가
좌우가 다르게 보이고 있었고,
그 차이 때문에 웃을 때
한쪽 잇몸이 도드라져 보이는 현상이 있었습니다.
거울을 볼 때마다 한쪽 잇몸이 더 많이 보이는 게
자꾸 신경 쓰였다면서 특히 사진을 찍을 때면
자신도 모르게 얼굴 각도를 돌리거나
일부러 덜 웃는 습관이 생겼다고 하셨죠.
이처럼 잇몸 라인 비대칭은 겉으로 보기에는
사소해 보일 수 있으나,
자존감을 낮추거나 일상생활 속 불편함으로
이어질 수 있어 자세한 상담과 검사부터
받아보시면 좋습니다.
![잇몸 라인 비대칭으로 미소의 자신감 회복 [+치료사례 포함] 관련 이미지 2](https://pub-9f2bb3498faf4d1d8714b41df24753e3.r2.dev/content/clinics/archive/vanitalwc5/naver_blog/nest11561/assets/by_hash/c1edf755fd3840b107d3837ead089072316d88c97754c1a2a510bcd1cd83a2a0.jpg)
젊고 트렌디한 감각의 의료진이 당신의 니즈를 정확히 파악하고 트렌드를 반영합니다.
불균형한 잇몸 라인을 바로 잡다
잇몸 라인 비대칭은 치아를 둘러싸고 있는
잇몸의 높이가 좌우 또는 상하가 불균형한 상태를 말합니다.
건강하고 아름다운 미소는 치아와 잇몸이
조화롭게 어우러져야 하는데,
이 균형이 무너지면서
치아가 짧아 보이거나 잇몸이
과도하게 드러나 보이게 되는 것이죠.
그래서 교정과 동시에
치아의 색상이나 모양까지 개선하기 위해
라미네이트를 고려하기도 하는데요.
![잇몸 라인 비대칭으로 미소의 자신감 회복 [+치료사례 포함] 관련 이미지 3](https://pub-9f2bb3498faf4d1d8714b41df24753e3.r2.dev/content/clinics/archive/vanitalwc5/naver_blog/nest11561/assets/by_hash/d5dee93fc572630df4de3037ec37ca073a941b82ed5a4f607ccbc824faa6afd2.jpg)
![잇몸 라인 비대칭으로 미소의 자신감 회복 [+치료사례 포함] 관련 이미지 4](https://pub-9f2bb3498faf4d1d8714b41df24753e3.r2.dev/content/clinics/archive/vanitalwc5/naver_blog/nest11561/assets/by_hash/617502f91f9f768e175c7a54d1d8b541f81ac1500f99155735e9a4850ff2e621.jpg)
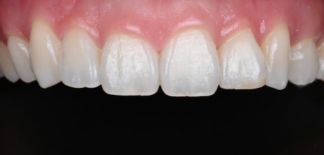
시술 전(24.9.13)/ 후(24.9.30)
해당 사진은 환자분의 동의를 얻어 기재하였으며,
개인에 따라 부작용이 발생할 수 있으므로
담당 의료진과 상담 후 진료를 진행하시길 바랍니다.
잇몸 성형 후 생기는 미세한 치아 간 불균형을
정교하게 맞추기 위해서는 얇은 세라믹 판을
붙이는 라미네이트 시술이 좋은 선택이 될 수 있습니다.
자연치아의 삭제를 최소화하면서도
원하는 모양으로 구현할 수 있어
많은 분이 선호하며 우수한 결과를 기대하실 수 있죠.
![잇몸 라인 비대칭으로 미소의 자신감 회복 [+치료사례 포함] 관련 이미지 5](https://pub-9f2bb3498faf4d1d8714b41df24753e3.r2.dev/content/clinics/archive/vanitalwc5/naver_blog/nest11561/assets/by_hash/16b1fa0d189c37a72af7a66bbe9d5e5fd2e1277fe44d698dc79ac78706d76de4.jpg)
![잇몸 라인 비대칭으로 미소의 자신감 회복 [+치료사례 포함] 관련 이미지 6](https://pub-9f2bb3498faf4d1d8714b41df24753e3.r2.dev/content/clinics/archive/vanitalwc5/naver_blog/nest11561/assets/by_hash/5eb5656e464f847ee81ae6deefc108f310f9a93196ba943b4aac14d093f36af3.jpg)
시술 전(24.9.13)/ 후(24.9.30)
해당 사진은 환자분의 동의를 얻어 기재하였으며,
개인에 따라 부작용이 발생할 수 있으므로
담당 의료진과 상담 후 진료를 진행하시길 바랍니다.
특히 저희 메이크치과에서는 단순한 잇몸 라인
비대칭 개선이 아닌,
전체적인 조화를 고려한 디자인으로 시술에 접근합니다.
3D 스마일 프리뷰 기술을 활용하여
개개인의 얼굴형이나 입꼬리, 치아 배열 등을
종합적으로 분석한 뒤에
시술 계획을 세밀하게 세우죠.
또한 필요에 따라 잇몸 성형이 함께 진행되며,
이후 라미네이트를 시술함으로써
더욱 완성도 높은 결과를 기대할 수 있습니다.
이와 같이 의료진의 협업과 철저한 계획하에
진행되기 때문에 더 정확하고 안정적인 치료를
약속드리기 위해 노력하고 있죠.
| 절개의 정확도를 높이고 빠른 회복까지 |
![잇몸 라인 비대칭으로 미소의 자신감 회복 [+치료사례 포함] 관련 이미지 7](https://pub-9f2bb3498faf4d1d8714b41df24753e3.r2.dev/content/clinics/archive/vanitalwc5/naver_blog/nest11561/assets/by_hash/1b25bcd88eff5b4d78234f811e98b3f373312bea82d65aa435407cb69e8ba2ad.jpg)
잇몸 성형 가이드 장착
잇몸 성형은 치아와 잇몸의 조화를 맞추는
섬세한 작업입니다.
그래서 정확한 절개 라인이 매우 중요시
되는데, 가이드 하지 않고 시술한다면
잇몸 높이의 차이가 발생할 수 있으며
과도한 잇몸 절개 또는 부족한 절개에 의해
오차 가능성이 커질 수 있습니다.
![잇몸 라인 비대칭으로 미소의 자신감 회복 [+치료사례 포함] 관련 이미지 8](https://pub-9f2bb3498faf4d1d8714b41df24753e3.r2.dev/content/clinics/archive/vanitalwc5/naver_blog/nest11561/assets/by_hash/30a8cab67effaa1a1b1f1201c40902b912ffb5fd369ab455fc177211d02b9d33.jpg)
![잇몸 라인 비대칭으로 미소의 자신감 회복 [+치료사례 포함] 관련 이미지 9](https://pub-9f2bb3498faf4d1d8714b41df24753e3.r2.dev/content/clinics/archive/vanitalwc5/naver_blog/nest11561/assets/by_hash/a00f694af78d0ffa133e6da84357057692709d78d09f632a523fec8c466918b3.jpg)
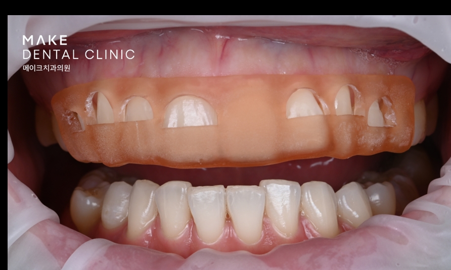
시술 전 & 잇몸성형 및 치아 성형 직후 (24.9.13)
해당 사진은 환자분의 동의를 얻어 기재하였으며,
개인에 따라 부작용이 발생할 수 있으므로
담당 의료진과 상담 후 진료를 진행하시길 바랍니다.
따라서 저희 메이크치과에서는
가이드를 활용하여 절개선을 정확하게 설정하며,
출혈 등의 불편함을 줄이기 위해 노력합니다.
의사 입장에서는 시술 정확도가 높아져
예측할 수 있는 결과를 얻을 수 있어 좋고,
환자 입장에서는 회복 속도가 빨라지고
통증이 적다는 장점이 있어
모두에게 좋은 시술이 될 수 있죠.
그래서 시술을 받은 환자분께서도
'생각보다 금방 회복됐고,
잇몸이 예쁘게 정리되어서 너무 좋다'
고 해주셔서 뿌듯했습니다.
| 시술 전후 예측할 수 있는 라미네이트 설계 |
![잇몸 라인 비대칭으로 미소의 자신감 회복 [+치료사례 포함] 관련 이미지 10](https://pub-9f2bb3498faf4d1d8714b41df24753e3.r2.dev/content/clinics/archive/vanitalwc5/naver_blog/nest11561/assets/by_hash/30a8cab67effaa1a1b1f1201c40902b912ffb5fd369ab455fc177211d02b9d33.jpg)
![잇몸 라인 비대칭으로 미소의 자신감 회복 [+치료사례 포함] 관련 이미지 11](https://pub-9f2bb3498faf4d1d8714b41df24753e3.r2.dev/content/clinics/archive/vanitalwc5/naver_blog/nest11561/assets/by_hash/a00f694af78d0ffa133e6da84357057692709d78d09f632a523fec8c466918b3.jpg)
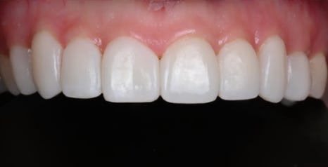
시술 전(24.9.13)/ 후(24.9.30)
해당 사진은 환자분의 동의를 얻어 기재하였으며,
개인에 따라 부작용이 발생할 수 있으므로
담당 의료진과 상담 후 진료를 진행하시길 바랍니다. 전, 후
이처럼 메이크치과에서는
성공적인 잇몸 라인 비대칭 개선을 위해
차별화된 심미 치료 방법으로 진행합니다.
기존 라미네이트 시술의 한계를 뛰어넘은
3D 스마일 프리뷰 기술은 치아 삭제를
최소화하고 시술 후 결과를 미리 예측할 수 있어
유용하며,
환자분도 직접 미리 결과를 볼 수 있어서
신뢰도를 높일 수 있습니다.
시술 전 미리 예측되는 디자인을 보며 함께
과정에 대해 소통하며,
불필요한 삭제나 시술 오차가 거의 발생하지
않아 정확도 높은 결과를 기대할 수 있죠.
| 정밀한 치료, 빠른 대처로 효율 |
![잇몸 라인 비대칭으로 미소의 자신감 회복 [+치료사례 포함] 관련 이미지 12](https://pub-9f2bb3498faf4d1d8714b41df24753e3.r2.dev/content/clinics/archive/vanitalwc5/naver_blog/nest11561/assets/by_hash/6ab7a1dfa46e492b2a2394ee23ec6640a2fc8b2dc6062afc4b3e8809b13aead5.jpg)
![잇몸 라인 비대칭으로 미소의 자신감 회복 [+치료사례 포함] 관련 이미지 13](https://pub-9f2bb3498faf4d1d8714b41df24753e3.r2.dev/content/clinics/archive/vanitalwc5/naver_blog/nest11561/assets/by_hash/0892ef32b1ac0d0127b2bcc063c4517b9b11957a1628f4fd833031bcd8f26d02.jpg)
시술 전(24.9.13)/ 후(24.9.30)
해당 사진은 환자분의 동의를 얻어 기재하였으며,
개인에 따라 부작용이 발생할 수 있으므로
담당 의료진과 상담 후 진료를 진행하시길 바랍니다.
또한 저희는 하나의 팀으로 운영됩니다.
치과의사, 치과기공사, 치과위생사가
하나의 팀이 되어 더 정밀한 결과를 위해 협업합니다.
특히 치과기공사가 직접 진료에 참여하고 있는데요.
일반적으로 병원에서 진료 후
외부 기공소에 의뢰하는 방식이지만,
저희 메이크치과는 다릅니다.
기공사가 본원에 상주하며
진료 현장에서 의사, 환자와 함께
디자인부터 세부 조정까지 전 과정을 함께 하고 있죠.
이 과정에서 환자분의 입 모양이나 미소 지을 때
치아 및 잇몸 노출 정도, 주변 치아의 색감,
조화 등을 직접 보고 판단할 수 있습니다.
예를 들어,
너무 하얀 건 싫어요.
둥근 느낌이면 좋겠어요.
의견을 주시면 함께 의견을 조율하면서
맞춤형 디자인을 실시간으로 완성해 나갈 수 있죠.
그 결과, 오롯이 환자 한 분을 위한 맞춤 시술이 가능합니다.
![잇몸 라인 비대칭으로 미소의 자신감 회복 [+치료사례 포함] 관련 이미지 14](https://pub-9f2bb3498faf4d1d8714b41df24753e3.r2.dev/content/clinics/archive/vanitalwc5/naver_blog/nest11561/assets/by_hash/37db6228c7c8e3bf35c56a53911910284471fcdaf909ffb73b0c6332dbf8731a.jpg)
![잇몸 라인 비대칭으로 미소의 자신감 회복 [+치료사례 포함] 관련 이미지 15](https://pub-9f2bb3498faf4d1d8714b41df24753e3.r2.dev/content/clinics/archive/vanitalwc5/naver_blog/nest11561/assets/by_hash/568e392dd6dec66428f7b6b60554995250be6893618d3b7ecd68efcfff615e9b.jpg)
시술 전(24.9.13)/ 후(24.9.30)
해당 사진은 환자분의 동의를 얻어 기재하였으며,
개인에 따라 부작용이 발생할 수 있으므로
담당 의료진과 상담 후 진료를 진행하시길 바랍니다.
이러한 메이크치과만의 정밀한 치료 방법으로
잇몸 라인 비대칭 치료의 만족도를 높일 뿐 아니라,
수정이 필요할 때도 빠르게 대처할 수
있어 치료 기간까지 단축할 수 있습니다.
![잇몸 라인 비대칭으로 미소의 자신감 회복 [+치료사례 포함] 관련 이미지 16](https://pub-9f2bb3498faf4d1d8714b41df24753e3.r2.dev/content/clinics/archive/vanitalwc5/naver_blog/nest11561/assets/by_hash/66c63af9c35c94f1892f17b6bf92939a2d70889644ed47546e02f1c86483b6f5.jpg)
![잇몸 라인 비대칭으로 미소의 자신감 회복 [+치료사례 포함] 관련 이미지 17](https://pub-9f2bb3498faf4d1d8714b41df24753e3.r2.dev/content/clinics/archive/vanitalwc5/naver_blog/nest11561/assets/by_hash/e7f90ff0b2ebb9df3e4dc0dd8b2e403e9085ad83eb8deaf655dd80971ceae0bc.jpg)
시술 전(24.9.13)/ 후(24.9.30)
해당 사진은 환자분의 동의를 얻어 기재하였으며,
개인에 따라 부작용이 발생할 수 있으므로
담당 의료진과 상담 후 진료를 진행하시길 바랍니다.
라미네이트는 오래 사용하기 때문에
처음부터 정확하고 세밀하게 맞추는 것이 중요합니다.
그래서 저희를 찾아주신 분들은
'메이크치과에서는 하나하나 정말 신경 써주고 있구나'
를 느끼게 된다고 하십니다.
이것이 바로 저희가 추구하는 진료 시스템이죠.
🔻신사역치과 진심이 담긴 진료철학, 환자를 위한 진료🔻
![잇몸 라인 비대칭으로 미소의 자신감 회복 [+치료사례 포함] 관련 이미지 18](https://pub-9f2bb3498faf4d1d8714b41df24753e3.r2.dev/content/clinics/archive/vanitalwc5/naver_blog/nest11561/assets/by_hash/36e3b05b4f9bcb1f34acbd2289e96bf9b6d390c6d9b251ad418486d9a1cec230.jpg)
메이크치과는 과정을 중시합니다. 정밀한 진단과 디자인이 완벽한 결과를 만듭니다.
잇몸 성형과 라미네이트를 병행한 후,
'이젠 웃는 게 즐겁다' 라고 말씀해주신
환자분의 사례를 통해
혹시 지금도 고민하고 있으시다면
오셔서 정확한 검사와 함께 편하게 상담 나눠보셔도 좋습니다.
단순히 외모가 달라지는 것이 아니라,
표정에서부터 변화된 모습을 직접 확인하신다면
라미네이트가 주는 가치가 얼마나 큰지 다시 한번 실감하게 됩니다.
그래서 저희 의료진은 단순한 미용 시술에 목적을 두기보다는
환자의 전체적인 얼굴 조화와 치아 건강을 고려한 종합적인 치료를 위해 노력합니다.
정밀한 3D 분석, 잇몸 성형 가이드,
그리고 기공사의 협업 진료까지 더해져
정교하고 신뢰할 수 있는 시술이 가능하며,
이미 수많은 치료 사례를 통해
검증된 만큼,
처음 상담부터 시술 후 관리까지
만족스러운 과정을 경험하실 수 있습니다.
미소의 작은 변화가 얼마나
큰 자신감으로 이어질 수 있는지,
직접 메이크치과에서
느껴보시길 바랍니다.
![잇몸 라인 비대칭으로 미소의 자신감 회복 [+치료사례 포함] 관련 이미지 19](https://pub-9f2bb3498faf4d1d8714b41df24753e3.r2.dev/content/clinics/archive/vanitalwc5/naver_blog/nest11561/assets/by_hash/995517e3ce229369081e94990fe373ab397676594b260254e74142fee85462ef.png)
![잇몸 라인 비대칭으로 미소의 자신감 회복 [+치료사례 포함] 관련 이미지 20](https://pub-9f2bb3498faf4d1d8714b41df24753e3.r2.dev/content/clinics/archive/vanitalwc5/naver_blog/nest11561/assets/by_hash/c10ce94112664388a605d23198c532aff80bde7d7202bba7a45774e85e28ab5b.jpg)
![잇몸 라인 비대칭으로 미소의 자신감 회복 [+치료사례 포함] 관련 이미지 21](https://pub-9f2bb3498faf4d1d8714b41df24753e3.r2.dev/content/clinics/archive/vanitalwc5/naver_blog/nest11561/assets/by_hash/663b588ea9968399ff24fd8d5a8c1453a3ac14c54743d4f3a4a08e0f3e961a9e.jpg)
![잇몸 라인 비대칭으로 미소의 자신감 회복 [+치료사례 포함] 관련 이미지 22](https://pub-9f2bb3498faf4d1d8714b41df24753e3.r2.dev/content/clinics/archive/vanitalwc5/naver_blog/nest11561/assets/by_hash/714648a04527fff64d0ea97c4280ab0b23b09988109a6263d9a7d5ea77b5fb2a.jpg)
![잇몸 라인 비대칭으로 미소의 자신감 회복 [+치료사례 포함] 관련 이미지 23](https://pub-9f2bb3498faf4d1d8714b41df24753e3.r2.dev/content/clinics/archive/vanitalwc5/naver_blog/nest11561/assets/by_hash/2d487a3a0eace166b591ac6c3043e8a2e1049e6f211010a696c9f27495b5e95e.jpg)
![잇몸 라인 비대칭으로 미소의 자신감 회복 [+치료사례 포함] 관련 이미지 24](https://pub-9f2bb3498faf4d1d8714b41df24753e3.r2.dev/content/clinics/archive/vanitalwc5/naver_blog/nest11561/assets/by_hash/6478b44ba7944762796751fd42e783b660077599629b6080deab8b955868e714.jpg)
![잇몸 라인 비대칭으로 미소의 자신감 회복 [+치료사례 포함] 관련 이미지 25](https://pub-9f2bb3498faf4d1d8714b41df24753e3.r2.dev/content/clinics/archive/vanitalwc5/naver_blog/nest11561/assets/by_hash/6a1e573daea8e09d11de268ecef423b7cb43623e54d6bd3a85a05dc186219e4d.jpg)
![잇몸 라인 비대칭으로 미소의 자신감 회복 [+치료사례 포함] 관련 이미지 26](https://pub-9f2bb3498faf4d1d8714b41df24753e3.r2.dev/content/clinics/archive/vanitalwc5/naver_blog/nest11561/assets/by_hash/6ab5c52bf6f1b095a455bf658bca58656db3f8a78936133dd4b7c57e7e79a5d0.jpg)
![잇몸 라인 비대칭으로 미소의 자신감 회복 [+치료사례 포함] 관련 이미지 27](https://pub-9f2bb3498faf4d1d8714b41df24753e3.r2.dev/content/clinics/archive/vanitalwc5/naver_blog/nest11561/assets/by_hash/9179bf9f8578375b40f88e6e0da92ef9987bad892f634dd64e4a4cbf30ff5998.jpg)
![잇몸 라인 비대칭으로 미소의 자신감 회복 [+치료사례 포함] 관련 이미지 28](https://pub-9f2bb3498faf4d1d8714b41df24753e3.r2.dev/content/clinics/archive/vanitalwc5/naver_blog/nest11561/assets/by_hash/3db4e0a800f57a537e040ac568a6baaa92197576a9b66aa31cf2bce72185b9b9.jpg)
![잇몸 라인 비대칭으로 미소의 자신감 회복 [+치료사례 포함] 관련 이미지 29](https://pub-9f2bb3498faf4d1d8714b41df24753e3.r2.dev/content/clinics/archive/vanitalwc5/naver_blog/nest11561/assets/by_hash/497ea77559536e7d2362c08b16dfd89bdbf69cb748498e4d1ce0e31ededb2cd0.jpg)
![잇몸 라인 비대칭으로 미소의 자신감 회복 [+치료사례 포함] 관련 이미지 30](https://pub-9f2bb3498faf4d1d8714b41df24753e3.r2.dev/content/clinics/archive/vanitalwc5/naver_blog/nest11561/assets/by_hash/72e13795152343d81b38151f1ed2083256b7e143270ed45727012b25ddd4354d.jpg)
![잇몸 라인 비대칭으로 미소의 자신감 회복 [+치료사례 포함] 관련 이미지 31](https://pub-9f2bb3498faf4d1d8714b41df24753e3.r2.dev/content/clinics/archive/vanitalwc5/naver_blog/nest11561/assets/by_hash/37d6e024fb617c1bf4ab2d2c152bf2c3127db9f4444ae57a31153469372f188d.jpg)
![잇몸 라인 비대칭으로 미소의 자신감 회복 [+치료사례 포함] 관련 이미지 32](https://pub-9f2bb3498faf4d1d8714b41df24753e3.r2.dev/content/clinics/archive/vanitalwc5/naver_blog/nest11561/assets/by_hash/b741a5ecf50d0a47f0d37f8bd221573ea88225885abeb0af69e2f9ef8e8b50dc.jpg)
![잇몸 라인 비대칭으로 미소의 자신감 회복 [+치료사례 포함] 관련 이미지 33](https://pub-9f2bb3498faf4d1d8714b41df24753e3.r2.dev/content/clinics/archive/vanitalwc5/naver_blog/nest11561/assets/by_hash/83551f096b35e09dfcc90e8956755ce5a1611b7754ffd9d2d3314bbc08eb90dc.jpg)