아카이브 요약
이 페이지의 역할
메이크치과의원의 네이버 블로그 원문을 보존한 아카이브 페이지입니다. 라미네이트 카테고리의 치아미백병원 라미네이트, 조화가 핵심 [+치료 사례 포함] 글을 통해 병원의 한국어 정보 제공 방식과 진료 관련 안내 톤을 확인할 수 있습니다.
원문 검증
필요하면 원문 블로그와 병원 프로필로 바로 이동해 문맥을 다시 확인할 수 있습니다.
출처 아카이브 열기아카이브된 블로그 글
메이크치과의원 · 메이크치과의원ㅣ라미네이트,심미치료에 진심인 치과
첫인상의 디테일, 치아가 좌우합니다 안녕하세요. 메이크치과의원 대표원장 안영석입니다. 누군가를 처음 만났을 때, 우리는 상대의 눈빛이나 표정만큼이나 ‘치아’를 인식합니다. 깨끗하고 가지런한 치아는 자연스럽게 호감을 주지만, 반대로 치아 색이 어둡거나 울퉁불퉁한 배열은 본인의 매력을 가리기도 하죠....
게시일
2025년 6월 12일
원문 기준으로 확인된 발행일입니다.
카테고리
라미네이트
원문 블로그 카테고리를 정리해 함께 표시합니다.
이미지 수
27
현재 아카이브에 연결된 이미지 수입니다.
아카이브 요약
메이크치과의원의 네이버 블로그 원문을 보존한 아카이브 페이지입니다. 라미네이트 카테고리의 치아미백병원 라미네이트, 조화가 핵심 [+치료 사례 포함] 글을 통해 병원의 한국어 정보 제공 방식과 진료 관련 안내 톤을 확인할 수 있습니다.
원문 검증
필요하면 원문 블로그와 병원 프로필로 바로 이동해 문맥을 다시 확인할 수 있습니다.
출처 아카이브 열기![치아미백병원 라미네이트, 조화가 핵심 [+치료 사례 포함] 관련 이미지 1](https://pub-9f2bb3498faf4d1d8714b41df24753e3.r2.dev/content/clinics/archive/vanitalwc5/naver_blog/nest11561/assets/by_hash/edafe61882d7d8422cd75749a492ec2e1c712ffece032e02fb8703d3d80bcef5.png)
안녕하세요.
메이크치과의원 대표원장 안영석입니다.
누군가를 처음 만났을 때,
우리는 상대의 눈빛이나 표정만큼이나
‘치아’를 인식합니다.
깨끗하고 가지런한 치아는
자연스럽게 호감을 주지만,
반대로 치아 색이 어둡거나 울퉁불퉁한 배열은
본인의 매력을 가리기도 하죠.
그래서 요즘은 미용 목적의 치아미백병원 치료,
특히 라미네이트에 대한 관심이
꾸준히 높아지고 있는데요.
단순히 치아를 하얗게 만드는 수준이 아니라,
나에게 어울리는 ‘디자인’을 통해
더 자신 있게 웃을 수 있는 시술입니다.
그래서 오늘 소개해 드릴 20대 환자분 역시,
고르지 못한 치열과 누렇게 변색된 치아 때문에
고민하다가 저희를 찾아주셨다고 합니다.
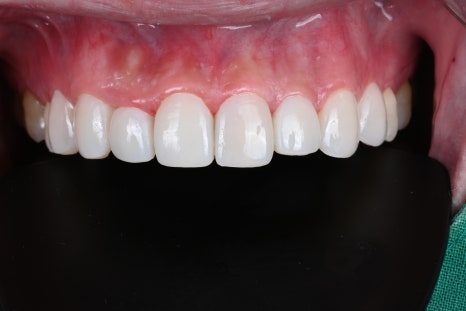
![치아미백병원 라미네이트, 조화가 핵심 [+치료 사례 포함] 관련 이미지 2](https://pub-9f2bb3498faf4d1d8714b41df24753e3.r2.dev/content/clinics/archive/vanitalwc5/naver_blog/nest11561/assets/by_hash/3c4e0db26983cec02ff2a7ccc991d4b45660c5d57c74c0213b99cfd8e7423faa.jpg)
![치아미백병원 라미네이트, 조화가 핵심 [+치료 사례 포함] 관련 이미지 3](https://pub-9f2bb3498faf4d1d8714b41df24753e3.r2.dev/content/clinics/archive/vanitalwc5/naver_blog/nest11561/assets/by_hash/cf8b11c04c988de2c8422a17168ffa90c334e8882fe4129782aa657aa7ff8bd4.jpg)
시술 전(24.12.05) / 후(25.02.08)
해당 사진은 환자분의 동의를 얻어 기재하였으며,
개인에 따라 부작용이 발생할 수 있으므로
담당 의료진과 상담 후 진료를 진행하시길 바랍니다.
라미네이트, 그냥 붙이기만 하면 되는 걸까요?
생각보다 많은 분이
“얇은 판을 치아에 붙이는 시술”로만
이해하고 계십니다.
물론 기술적으로는 맞는 말입니다.
하지만 그 과정이 정말 중요하죠.
라미네이트는 붙이기 전에
정교한 설계가 반드시 필요합니다.
치아의 모양, 길이, 각도는 물론이고,
얼굴형과 웃을 때의 입술 움직임까지
고려해야 하는데요.
만약 이 모든 걸 무시하고
그냥 ‘예쁜 모양’만 보고 붙이면 어떻게 될까요?
웃을 때 어색해 보이거나,
씹는 기능에 불편함이 생길 수 있습니다.
그래서 단순히 치아만 예쁘게 만드는 게 아니라,
조화롭게 디자인해야 하는 것이죠.
![치아미백병원 라미네이트, 조화가 핵심 [+치료 사례 포함] 관련 이미지 4](https://pub-9f2bb3498faf4d1d8714b41df24753e3.r2.dev/content/clinics/archive/vanitalwc5/naver_blog/nest11561/assets/by_hash/1e4e0d9a83769097fbeb557a71fede0001cb26707888264bbaf35cf9946a8cfe.jpg)
치아 삭제 후 사진까지 투명하게 공개할 수 있는 자신감, 메이크치과의 정직함입니다.
정확한 라미네이트 디자인을 위해서는
정밀한 진단이 필수입니다.
오늘 환자분의 고민을 도와드리기 위해,
3D 구강 스캐너를 사용하였으며,
치아 배열, 교합 상태, 입술선, 미세한
치아 기울기까지 실시간으로 확인하였는데요.
단순한 육안 관찰이 아닌
디지털 기반의 분석을 진행합니다.
이 데이터는 향후 라미네이트 제작에
직접 반영되어, 오차를 최소화하고
밀착도를 더욱 높일 수 있게 되죠.
또한 3D 자료는
환자분과의 소통에도 유리합니다.
“왜 이 디자인이 적절한지”,
“어떤 부분을 조정했는지”를 함께 보면서
이해를 돕기 때문에 신뢰도도 높아지죠.
이것이 저희가 단순히 스캔을 넘어서
‘분석’이라고 표현하는 이유입니다.
![치아미백병원 라미네이트, 조화가 핵심 [+치료 사례 포함] 관련 이미지 5](https://pub-9f2bb3498faf4d1d8714b41df24753e3.r2.dev/content/clinics/archive/vanitalwc5/naver_blog/nest11561/assets/by_hash/18e06ea1fdbd3df21fb8d439015d605b4e5d15fdf11fb6efa4940e05bc235a4c.jpg)
당신의 미소, 오래도록 건강하고 아름답게 유지될 수 있도록 메이크치과가 함께합니다.
사람마다 얼굴형이 다르듯,
어울리는 치아 디자인도 제각각입니다.
각진 얼굴에는 부드러운 곡선의 치아가
조화를 이루고, 긴 얼굴형에는 짧고 단정한
형태가 더 자연스러워 보일 수 있죠.
그래서 치아미백병원에서는
환자 개개인의 얼굴형, 인중 길이, 턱선,
입술 움직임, 성별, 나이 등을 종합적으로
분석한 후 디자인을 결정하는데요.
단순히 ‘예쁜 치아’가 아닌,
‘어울리는 치아’를 찾아가는 과정이죠.
이렇게 설계된 디자인은 라미네이트가
티 나지 않으면서도
자연스럽게 얼굴에 스며들게 합니다.
시술 후 “무언가 바뀐 것 같은데
어색하지 않다”는 반응이 나오는 것도
바로 이 때문이죠.
![치아미백병원 라미네이트, 조화가 핵심 [+치료 사례 포함] 관련 이미지 6](https://pub-9f2bb3498faf4d1d8714b41df24753e3.r2.dev/content/clinics/archive/vanitalwc5/naver_blog/nest11561/assets/by_hash/491521b8d323e259004285d4f059c2fce2033692052860c42a0f73b20561958d.jpg)
환자 한 분 한 분과의 충분한 소통을 통해 가장 만족스러운 결과를 이끌어냅니다.
치아가 더 하얘졌으면 좋겠어요
처음 라미네이트 색상을 함께 고민할 때,
환자분은 누런 치아 때문에 웃을 때마다
콤플렉스였기에,
지금보다 훨씬 더 밝아지기를 원하셨습니다.
그런데 여기서 주의할 점은,
물론 하얗고 깨끗한 치아는 인상을
밝게 만들어 주지만, 지나치게 인공적인 색상은
오히려 어색해 보일 수 있다는 점입니다.
그래서 치아미백병원은 컬러 매칭에 있어서도
자연스러움을 가장 우선으로 생각하는데요.
환자분의 피부톤, 눈동자 색, 주변 자연 치아와의
조화를 고려해 컬러를 정교하게 결정하고 있죠.
결국, 단순히 밝은 색을 고르는 것이 아니라,
본인의 이미지와 어울리는 톤을 찾는 과정이기
때문에 만족도도 훨씬 높습니다.
![치아미백병원 라미네이트, 조화가 핵심 [+치료 사례 포함] 관련 이미지 7](https://pub-9f2bb3498faf4d1d8714b41df24753e3.r2.dev/content/clinics/archive/vanitalwc5/naver_blog/nest11561/assets/by_hash/4c5ed83faba09ba87d920174b20633e20edffda02ad06df147153cdbbf443c54.jpg)
메이크치과는 결과뿐 아니라 과정의 만족까지 생각합니다.
라미네이트에서 가장 민감한 부분이
바로 치아 삭제입니다.
얼마나 덜 깎고, 얼마나 잘 붙이느냐가
술의 핵심이죠.
따라서 치아미백병원은 최소 삭제 원칙을
기반으로, 환자의 치아를 최대한 보존하면서도
정밀한 접착이 가능하도록 디자인합니다.
삭제량이 많을수록 치아가 약해질 수 있기
때문에, 치아 형태를 세밀하게 분석하고
꼭 필요한 부위만 다듬고 있죠.
이후 라미네이트가 치아에 꼭 밀착될 수 있도록,
정교한 피팅과 접착을 시행하는데요.
이 모든 과정은 ‘디자인’에서부터 시작됩니다.
치아를 어떻게 삭제할지,
어떤 각도로 붙일지까지 설계에 포함되어야
진짜 완성도 있는 결과가 나오기 때문에,
단순히 예쁜 모양이 아닌,
기능까지 고려한 설계를 합니다.
![치아미백병원 라미네이트, 조화가 핵심 [+치료 사례 포함] 관련 이미지 8](https://pub-9f2bb3498faf4d1d8714b41df24753e3.r2.dev/content/clinics/archive/vanitalwc5/naver_blog/nest11561/assets/by_hash/e483b4e4b56c5b89487ed5703cc863010b5e9d5a7118863b34a95750d95bca42.png)
![치아미백병원 라미네이트, 조화가 핵심 [+치료 사례 포함] 관련 이미지 9](https://pub-9f2bb3498faf4d1d8714b41df24753e3.r2.dev/content/clinics/archive/vanitalwc5/naver_blog/nest11561/assets/by_hash/ba8694daaf053eccc80d8f0a01cf55a5c70e2bdf81f373b925f46612739508e5.jpg)
이처럼 라미네이트는
단순히 기계로 찍어내는 것이 아닙니다.
그렇기 때문에 숙련된 기공사의 손길을
거쳐야 올바른 결과물을 기대할 수 있는데요.
치아미백병원에는 원내 치과기공사가
상주하고 있어,
치료 전 과정에 함께 참여하고 있습니다.
덕분에, 디자인 피드백이나 미세한 조정이
필요한 경우, 원내에서 즉시 대응할 수 있죠.
특히 색상 미세 조정, 두께 수정, 표면 질감
구현 등은 의사와 기공사가 긴밀하게
소통하지 않으면 어렵기 때문에,
저희는 하나의 팀으로 진행되면서
훨씬 빠르고 정교하게
환자 맞춤형 보철물을 진행할 수 있습니다.
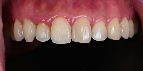
![치아미백병원 라미네이트, 조화가 핵심 [+치료 사례 포함] 관련 이미지 10](https://pub-9f2bb3498faf4d1d8714b41df24753e3.r2.dev/content/clinics/archive/vanitalwc5/naver_blog/nest11561/assets/by_hash/d3f5d4733ff24a54274443decfbd3e954a84ece7a0fd4c755fb6ea4a33a414ad.jpg)
![치아미백병원 라미네이트, 조화가 핵심 [+치료 사례 포함] 관련 이미지 11](https://pub-9f2bb3498faf4d1d8714b41df24753e3.r2.dev/content/clinics/archive/vanitalwc5/naver_blog/nest11561/assets/by_hash/250f494d5cc2b5bd3a08d8979f5377efa77069591b24f8e622909717cbda202d.jpg)
시술 전(24.12.05) / 후(25.02.08)
해당 사진은 환자분의 동의를 얻어 기재하였으며,
개인에 따라 부작용이 발생할 수 있으므로
담당 의료진과 상담 후 진료를 진행하시길 바랍니다.
오늘 환자분의 전, 후 사진입니다.
라미네이트는 결과로 말해야 합니다.
얼마나 자연스럽고, 나에게 잘 어울리는지.
그리고 시간이 지나도 그 상태가
잘 유지되는지 말이죠.
메이크치과는 디자인부터 시술, 사후관리까지
모든 과정에서 환자 중심의 디테일을 추구합니다.
단지 ‘하얀 치아’를 만들기보다는,
‘나에게 맞는 완성도’를 추구하는 게
저희의 철학이죠.
이처럼 라미네이트는 결국
얼굴과 이미지에 영향을 주는 시술이기 때문에,
치아미백병원 선택이 정말 중요합니다.
정밀한 디자인, 자연스러운 완성도,
긴밀한 소통까지,
메이크라면 후회 없는 선택이 될 것이라
자신 있게 말씀드릴 수 있습니다.
만일 지금도 고민 중이시라면,
편하게 상담부터 받아보세요.
항상 진심을 담아, 결과로 보답해 드리겠습니다.
감사합니다.
![치아미백병원 라미네이트, 조화가 핵심 [+치료 사례 포함] 관련 이미지 12](https://pub-9f2bb3498faf4d1d8714b41df24753e3.r2.dev/content/clinics/archive/vanitalwc5/naver_blog/nest11561/assets/by_hash/aab248412317105bc52621e9ce85a7687d1da36aab5ca003300a3a4ade6b34a9.jpg)
![치아미백병원 라미네이트, 조화가 핵심 [+치료 사례 포함] 관련 이미지 13](https://pub-9f2bb3498faf4d1d8714b41df24753e3.r2.dev/content/clinics/archive/vanitalwc5/naver_blog/nest11561/assets/by_hash/c10ce94112664388a605d23198c532aff80bde7d7202bba7a45774e85e28ab5b.jpg)
![치아미백병원 라미네이트, 조화가 핵심 [+치료 사례 포함] 관련 이미지 14](https://pub-9f2bb3498faf4d1d8714b41df24753e3.r2.dev/content/clinics/archive/vanitalwc5/naver_blog/nest11561/assets/by_hash/023d4148b379b6f9cced12f0b1c8d4b4d9cfb3c6f633776958489d288220f1ef.jpg)
![치아미백병원 라미네이트, 조화가 핵심 [+치료 사례 포함] 관련 이미지 15](https://pub-9f2bb3498faf4d1d8714b41df24753e3.r2.dev/content/clinics/archive/vanitalwc5/naver_blog/nest11561/assets/by_hash/907734f7641efda1c2da110d7f12fef45fc01ce0448ce23184dbe29100e27f1a.jpg)
![치아미백병원 라미네이트, 조화가 핵심 [+치료 사례 포함] 관련 이미지 16](https://pub-9f2bb3498faf4d1d8714b41df24753e3.r2.dev/content/clinics/archive/vanitalwc5/naver_blog/nest11561/assets/by_hash/2ce50203f5bb6045d2ea8528da3a32165385f5acafd00409bf32857711525bfe.jpg)
![치아미백병원 라미네이트, 조화가 핵심 [+치료 사례 포함] 관련 이미지 17](https://pub-9f2bb3498faf4d1d8714b41df24753e3.r2.dev/content/clinics/archive/vanitalwc5/naver_blog/nest11561/assets/by_hash/b0a0e247950fcad073ae5c2ee6a29991de7787ee2eedf3249055797b872dd00d.jpg)
![치아미백병원 라미네이트, 조화가 핵심 [+치료 사례 포함] 관련 이미지 18](https://pub-9f2bb3498faf4d1d8714b41df24753e3.r2.dev/content/clinics/archive/vanitalwc5/naver_blog/nest11561/assets/by_hash/4c2e25a7fc233d7c5a7449c280263352d7ac16f474fa24204cad466d4ae5a596.jpg)
![치아미백병원 라미네이트, 조화가 핵심 [+치료 사례 포함] 관련 이미지 19](https://pub-9f2bb3498faf4d1d8714b41df24753e3.r2.dev/content/clinics/archive/vanitalwc5/naver_blog/nest11561/assets/by_hash/0ced62f4f09934fc428f549e58c38c08a3ffbafda31060671306c8e24078f04b.jpg)
![치아미백병원 라미네이트, 조화가 핵심 [+치료 사례 포함] 관련 이미지 20](https://pub-9f2bb3498faf4d1d8714b41df24753e3.r2.dev/content/clinics/archive/vanitalwc5/naver_blog/nest11561/assets/by_hash/0d7dc25fb15892c55e976810fa4566d307c642fe0b3d69a4ed6145c1acd87489.jpg)
![치아미백병원 라미네이트, 조화가 핵심 [+치료 사례 포함] 관련 이미지 21](https://pub-9f2bb3498faf4d1d8714b41df24753e3.r2.dev/content/clinics/archive/vanitalwc5/naver_blog/nest11561/assets/by_hash/4f42ed2eb9c8c402ece0726744526787c8dc61917b29b10464eb07b6ee807c39.jpg)
![치아미백병원 라미네이트, 조화가 핵심 [+치료 사례 포함] 관련 이미지 22](https://pub-9f2bb3498faf4d1d8714b41df24753e3.r2.dev/content/clinics/archive/vanitalwc5/naver_blog/nest11561/assets/by_hash/50624207de6026ca583aba34417c6082a81107c62f848a981495989eb6b3e681.jpg)
![치아미백병원 라미네이트, 조화가 핵심 [+치료 사례 포함] 관련 이미지 23](https://pub-9f2bb3498faf4d1d8714b41df24753e3.r2.dev/content/clinics/archive/vanitalwc5/naver_blog/nest11561/assets/by_hash/4447de36065fd8330466c5cee7f2edbbafbba0c69d635cf76553ef51ef1ef31c.jpg)
![치아미백병원 라미네이트, 조화가 핵심 [+치료 사례 포함] 관련 이미지 24](https://pub-9f2bb3498faf4d1d8714b41df24753e3.r2.dev/content/clinics/archive/vanitalwc5/naver_blog/nest11561/assets/by_hash/32d155700c8d039024bab4816220fc8c5f2acf1fd5a8d4a7c06938846f12084c.jpg)
![치아미백병원 라미네이트, 조화가 핵심 [+치료 사례 포함] 관련 이미지 25](https://pub-9f2bb3498faf4d1d8714b41df24753e3.r2.dev/content/clinics/archive/vanitalwc5/naver_blog/nest11561/assets/by_hash/e26d46dea8a4a81e8371c5ad9da60287ff46899c7d0ebbb810b373cfe92886d5.jpg)
![치아미백병원 라미네이트, 조화가 핵심 [+치료 사례 포함] 관련 이미지 26](https://pub-9f2bb3498faf4d1d8714b41df24753e3.r2.dev/content/clinics/archive/vanitalwc5/naver_blog/nest11561/assets/by_hash/d07880e0e1ee6a730514f16b9f8b53a93d3eaa135200c24757f85299131c739e.jpg)
![치아미백병원 라미네이트, 조화가 핵심 [+치료 사례 포함] 관련 이미지 27](https://pub-9f2bb3498faf4d1d8714b41df24753e3.r2.dev/content/clinics/archive/vanitalwc5/naver_blog/nest11561/assets/by_hash/a92300e6dd9172a4f5b48869e208bd907ddd6866f702f009fef456802ceb0bae.jpg)