아카이브 요약
이 페이지의 역할
메이크치과의원의 네이버 블로그 원문을 보존한 아카이브 페이지입니다. 라미네이트 카테고리의 앞니 벌어짐 라미네이트 삭제 걱정 끝 [+치료 사례 포함] 글을 통해 병원의 한국어 정보 제공 방식과 진료 관련 안내 톤을 확인할 수 있습니다.
원문 검증
필요하면 원문 블로그와 병원 프로필로 바로 이동해 문맥을 다시 확인할 수 있습니다.
출처 아카이브 열기아카이브된 블로그 글
메이크치과의원 · 메이크치과의원ㅣ라미네이트,심미치료에 진심인 치과
앞니 벌어짐 라미네이트의 흔한 오해 안녕하세요. 메이크치과의원 대표원장 안영석입니다. 치아를 다 깎는다던데요? 앞니 벌어짐은 보기에도 신경 쓰이고, 빠른 개선을 원하시는 분이 많지만, 그만큼 ‘치아 삭제량’에 대한 걱정도 큽니다. 예뻐지고 싶은 마음과 동시에 내 치아를 최대한 보존하고 싶은 마음이 교...
게시일
2025년 6월 15일
원문 기준으로 확인된 발행일입니다.
카테고리
라미네이트
원문 블로그 카테고리를 정리해 함께 표시합니다.
이미지 수
28
현재 아카이브에 연결된 이미지 수입니다.
아카이브 요약
메이크치과의원의 네이버 블로그 원문을 보존한 아카이브 페이지입니다. 라미네이트 카테고리의 앞니 벌어짐 라미네이트 삭제 걱정 끝 [+치료 사례 포함] 글을 통해 병원의 한국어 정보 제공 방식과 진료 관련 안내 톤을 확인할 수 있습니다.
원문 검증
필요하면 원문 블로그와 병원 프로필로 바로 이동해 문맥을 다시 확인할 수 있습니다.
출처 아카이브 열기![앞니 벌어짐 라미네이트 삭제 걱정 끝 [+치료 사례 포함] 관련 이미지 1](https://pub-9f2bb3498faf4d1d8714b41df24753e3.r2.dev/content/clinics/archive/vanitalwc5/naver_blog/nest11561/assets/by_hash/eed055081977c3a964d54f015dfea742013334021896d1ed8d0f7a3f1336a2e4.png)
안녕하세요.
메이크치과의원 대표원장 안영석입니다.
치아를 다 깎는다던데요?
앞니 벌어짐은 보기에도 신경 쓰이고,
빠른 개선을 원하시는 분이 많지만,
그만큼 ‘치아 삭제량’에 대한 걱정도 큽니다.
예뻐지고 싶은 마음과 동시에
내 치아를 최대한 보존하고 싶은 마음이
교차하기 때문이죠.
물론 벌어진 공간이 크거나
치아 모양에 따라
다소 삭제량이 필요할 수 있지만,
대부분의 앞니 벌어짐 라미네이트 환자분들은
최소한의 삭제로도
충분히 만족스러운 결과를 얻을 수 있습니다.
![앞니 벌어짐 라미네이트 삭제 걱정 끝 [+치료 사례 포함] 관련 이미지 2](https://pub-9f2bb3498faf4d1d8714b41df24753e3.r2.dev/content/clinics/archive/vanitalwc5/naver_blog/nest11561/assets/by_hash/af283e875be5c79a9318a09bd557b27a5d7cfe1e5118b634885b7d2a145aa96c.jpg)
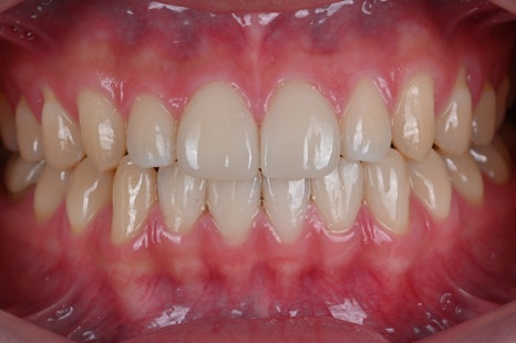
시술 전(25.02.03)
해당 사진은 환자분의 동의를 얻어 기재하였으며,
개인에 따라 부작용이 발생할 수 있으므로
담당 의료진과 상담 후 진료를 진행하시길 바랍니다.
오늘 소개해 드릴 환자분 역시
오랜 시간 ‘삭제량’ 때문에 고민하시다가
저희를 찾아주셨는데요.
신중한 상담과 맞춤 설계를 통해
최소한의 치아 삭제로
아름다운 앞니 라인을 완성할 수 있었습니다.
![앞니 벌어짐 라미네이트 삭제 걱정 끝 [+치료 사례 포함] 관련 이미지 3](https://pub-9f2bb3498faf4d1d8714b41df24753e3.r2.dev/content/clinics/archive/vanitalwc5/naver_blog/nest11561/assets/by_hash/1f3bae59a00fc28480b24ec471c0d12859f7cb59f73c25772762a29943cc792f.jpg)
메이크치과의 라미네이트는 덜어내는 것이 아니라, 아름다움을 더하는 과정입니다.
앞니 벌어짐 라미네이트는
벌어진 치아 사이를 메우고,
치아의 색상과 형태를 개선하는 심미 치료입니다.
겉보기에는 간단해 보여도,
벌어진 공간의 크기와 치아 배열에 따른
정밀한 디자인과 분석이 반드시 필요한데요.
적절한 치아 삭제와 정밀한 본뜨기, 그리고
접착 과정이 조화를 이루어야 예쁜 결과와
오래가는 유지력을 만들 수 있습니다.
![앞니 벌어짐 라미네이트 삭제 걱정 끝 [+치료 사례 포함] 관련 이미지 4](https://pub-9f2bb3498faf4d1d8714b41df24753e3.r2.dev/content/clinics/archive/vanitalwc5/naver_blog/nest11561/assets/by_hash/94385f76850a1f1e9a595a31fdde841d5a67411aa354b0ac45f2d5b347721856.png)
![앞니 벌어짐 라미네이트 삭제 걱정 끝 [+치료 사례 포함] 관련 이미지 5](https://pub-9f2bb3498faf4d1d8714b41df24753e3.r2.dev/content/clinics/archive/vanitalwc5/naver_blog/nest11561/assets/by_hash/1e4e0d9a83769097fbeb557a71fede0001cb26707888264bbaf35cf9946a8cfe.jpg)
무삭제/최소삭제 라미네이트, 소중한 당신의 자연치아를 지키는 메이크치과의 철학입니다.
요즘 라미네이트 하면,
'최소 삭제'라는 말을 많이 보셨을 겁니다.
과거에는 예쁘게 보이기 위해
많은 부분을 갈아내야 했지만,
요즘은 디지털 진단과 세라믹의 발전으로
치아를 아주 조금만 다듬고도
충분히 좋은 결과를 만들 수 있죠.
특히 저희는 3D 디지털 치의학 시스템을
기반으로, 0.01mm 단위까지 정밀하게 계측하여
꼭 필요한 부분만 섬세하게 다듬습니다.
덕분에 자연치아를 최대한 보존하면서도
이상적인 디자인을 구현할 수 있죠.
![앞니 벌어짐 라미네이트 삭제 걱정 끝 [+치료 사례 포함] 관련 이미지 6](https://pub-9f2bb3498faf4d1d8714b41df24753e3.r2.dev/content/clinics/archive/vanitalwc5/naver_blog/nest11561/assets/by_hash/7255919a62549496736ef4e12f053ff100ae5110624245f54e8dcfb914a2c00a.jpg)
환자분의 얼굴형, 입술 라인, 미소 습관까지 고려한 개인 맞춤형 치아 디자인을 진행하고 있습니다.
‘라미네이트는 많이 깎아야 한다’는 말은
상황에 따라 다를 수도 있고 맞을 수도 있습니다.
환자 개개인의 치아 상태에 따라
삭제 범위는 달라지기 때문이죠.
오늘 환자분 역시 최소 삭제만으로도
충분히 자연스러운 결과를 낼 수 있었는데요.
저희는 이 판단을 단순히
육안에 의존하지 않습니다.
3D 스캐닝과 구강분석 프로그램을 통해
치아 구조를 세밀하게 분석하고, 그 데이터를
토대로 적절한 삭제 범위를 설정하는 것이죠.
또한 치료 전 ‘3D 스마일 프리뷰’로 최종 결과를
미리 확인해 볼 수 있어, 불필요하게 삭제하지
않고도 디자인을 예측하고 결정할 수 있습니다.
![앞니 벌어짐 라미네이트 삭제 걱정 끝 [+치료 사례 포함] 관련 이미지 7](https://pub-9f2bb3498faf4d1d8714b41df24753e3.r2.dev/content/clinics/archive/vanitalwc5/naver_blog/nest11561/assets/by_hash/18e06ea1fdbd3df21fb8d439015d605b4e5d15fdf11fb6efa4940e05bc235a4c.jpg)
메이크치과는 무분별한 치아 삭제로 고통받는 환자가 더 이상 없기를 바라는 마음으로 시작되었습니다.
치아를 아예 깎지 않을 순 없나요?
상담 중 환자분이 여쭤보셨던 부분인데요.
종종 치아를 전혀 깎지 않는
'무삭제'로도 시술할 수도 있습니다.
주로 치아가 작거나 움푹 들어간 형태일 때
적용할 수 있으며, 이럴 땐 세라믹을 덧붙이는
것만으로도 이상적인 형태를 만들 수 있죠.
무삭제 시술은 치아 손상이
전혀 없다는 점에서 매우 매력적이지만,
모두가 가능한 것은 아니기 때문에
저희는 정밀 디지털 분석을 통해 치아의 크기,
돌출 정도, 교합 관계까지 고려하여 무삭제가
가능한지 여부를 정확하게 판단합니다.
치아 상태에 따라 판단이 필요한 만큼,
정확한 진단이 무엇보다 중요하죠.
![앞니 벌어짐 라미네이트 삭제 걱정 끝 [+치료 사례 포함] 관련 이미지 8](https://pub-9f2bb3498faf4d1d8714b41df24753e3.r2.dev/content/clinics/archive/vanitalwc5/naver_blog/nest11561/assets/by_hash/0773d84ffd588816ab56e8e8932af2c39de45f802441e91f690601a273af1d51.jpg)
그렇다고 무조건 적게 깎는다는 것이
좋은 기준만은 아닙니다.
치아 삭제는 무조건 적게 하는 게 아니라
‘필요한 만큼’ 하는 것이
중요한 것임을 명심해야 하죠.
세라믹이 붙을 공간이 부족하면
접착력이 떨어지고,
경계 부위가 울퉁불퉁해져
유지력이나 위생관리에 불편함이 생길 수 있으며,
반대로 아주 조금만 깎았다고 해도
세라믹이 너무 도드라져 보이거나
잇몸과 조화를 이루지 못한다면,
심미적으로도 실패일 수 있습니다.
결국 핵심은 얼마나 깎느냐가 아니라,
얼마나 정밀하게 계획하고,
기능과 미용을 함께 고려했느냐입니다.
![앞니 벌어짐 라미네이트 삭제 걱정 끝 [+치료 사례 포함] 관련 이미지 9](https://pub-9f2bb3498faf4d1d8714b41df24753e3.r2.dev/content/clinics/archive/vanitalwc5/naver_blog/nest11561/assets/by_hash/3f980baa9c53ded08e589c72fba7076c5b60d45b5319cea37224fa00688cbc4c.jpg)
앞니 벌어짐 라미네이트는 미용시술처럼
보이지만, 사실은 매우 과학적인 치료입니다.
그냥 눈대중으로 갈아내고 붙이는 게 아니라,
구강 스캐너와 3D 모델링을 통해 치아와 턱의
움직임, 교합 상태까지 분석이 필요하죠.
여기에 디지털 시뮬레이션을 통해
‘내가 이 시술을 받으면 어떤 모습이 될까’를
미리 확인할 수 있어야 하는데요.
이를 토대로 어떤 부위를 어느 정도 다듬어야
할지, 어느 정도 두께의 세라믹이 필요한지를
세밀하게 결정할 수 있습니다.
이런 과정이 없으면,
아무리 예쁜 디자인이라도 오래 유지되기 어렵죠.
![앞니 벌어짐 라미네이트 삭제 걱정 끝 [+치료 사례 포함] 관련 이미지 10](https://pub-9f2bb3498faf4d1d8714b41df24753e3.r2.dev/content/clinics/archive/vanitalwc5/naver_blog/nest11561/assets/by_hash/d88b3bee8fdc1a649f74c39428b24794d1da1c3bbd12d0f17bfee1fe5e397562.jpg)
단순히 가격만 비교하지 마세요. 어떤 철학과 기술력으로 치료하는지가 중요합니다.
치과를 선택할 때 단순히
‘앞니 벌어짐 라미네이트를 잘하는 병원’인지
여부도 중요하지만, 그보다 더 중요한 것은
‘환자에게 맞춤형 계획을 세우는 병원’인지를
살펴보는 것입니다.
환자마다 치아 구조나 얼굴형,
원하는 미적 기준이 모두 다르기 때문에,
섬세하게 계획을 세우는 과정이
결과의 만족도를 크게 좌우하게 됩니다.
이를 위해서는 정밀한 진단 장비가
잘 갖춰져 있어야 하고,
세라믹 보철물을 만드는 치과기공사와의
시스템 역시 체계적으로 이루어져야
치료의 완성도가 높아지는데요.
특히 최소 삭제나 무삭제를 계획하고 있다면,
정밀 진단과 미세 조정이 더욱 중요해집니다.
![앞니 벌어짐 라미네이트 삭제 걱정 끝 [+치료 사례 포함] 관련 이미지 11](https://pub-9f2bb3498faf4d1d8714b41df24753e3.r2.dev/content/clinics/archive/vanitalwc5/naver_blog/nest11561/assets/by_hash/33fcd2aa1424eaab449c77bd4d101c6c2749bdcae6e861b61077e00bcd5a69e2.jpg)
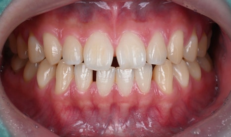
![앞니 벌어짐 라미네이트 삭제 걱정 끝 [+치료 사례 포함] 관련 이미지 12](https://pub-9f2bb3498faf4d1d8714b41df24753e3.r2.dev/content/clinics/archive/vanitalwc5/naver_blog/nest11561/assets/by_hash/372d182687c80ae59aa53a994b210c4b9ee683c943623842de897fed0b724ea3.jpg)
시술 전(25.02.03) / 후(25.02.28)
해당 사진은 환자분의 동의를 얻어 기재하였으며,
개인에 따라 부작용이 발생할 수 있으므로
담당 의료진과 상담 후 진료를 진행하시길 바랍니다.
위의 전후 사진을 보시면,
환자분의 앞니 벌어짐 상태가
얼마나 깔끔하게 개선되었는지
한눈에 확인하실 수 있습니다.
이런 섬세한 맞춤 설계와
체계적인 시스템이 있기에 가능한 결과이죠.
![앞니 벌어짐 라미네이트 삭제 걱정 끝 [+치료 사례 포함] 관련 이미지 13](https://pub-9f2bb3498faf4d1d8714b41df24753e3.r2.dev/content/clinics/archive/vanitalwc5/naver_blog/nest11561/assets/by_hash/8cec4c48f7e17bb1f9c99f6ac572f6a3300cd050b12ea8dfd80a3d314344176b.jpg)
시술 후(25.02.28)
해당 사진은 환자분의 동의를 얻어 기재하였으며,
개인에 따라 부작용이 발생할 수 있으므로
담당 의료진과 상담 후 진료를 진행하시길 바랍니다.
예뻐지려면 치아를 포기해야 한다?
전혀 그렇지 않습니다.
치아 삭제가 필요한 경우라면,
필요한 만큼만.
가능하다면 삭제하지 않고도.
이렇게 개인에 따라 가장 이상적인 치료 계획을
세우는 게 저희 메이크치과의 몫이죠.
치아를 다 깎는 건 옛날이야기이고,
요즘은 디자인과 보존을 함께 고려한
‘조화로운 미소’가 핵심이기에,
앞니 벌어짐 라미네이트가 궁금하셨던 분들,
혹은 치아 삭제가 걱정돼서 미뤄오셨던
분들이라면, 오늘 사례를 통해 이젠 조금
더 편한 마음으로 상담 받아보셔도 좋겠습니다.
감사합니다.
![앞니 벌어짐 라미네이트 삭제 걱정 끝 [+치료 사례 포함] 관련 이미지 14](https://pub-9f2bb3498faf4d1d8714b41df24753e3.r2.dev/content/clinics/archive/vanitalwc5/naver_blog/nest11561/assets/by_hash/aab248412317105bc52621e9ce85a7687d1da36aab5ca003300a3a4ade6b34a9.jpg)
![앞니 벌어짐 라미네이트 삭제 걱정 끝 [+치료 사례 포함] 관련 이미지 15](https://pub-9f2bb3498faf4d1d8714b41df24753e3.r2.dev/content/clinics/archive/vanitalwc5/naver_blog/nest11561/assets/by_hash/c10ce94112664388a605d23198c532aff80bde7d7202bba7a45774e85e28ab5b.jpg)
![앞니 벌어짐 라미네이트 삭제 걱정 끝 [+치료 사례 포함] 관련 이미지 16](https://pub-9f2bb3498faf4d1d8714b41df24753e3.r2.dev/content/clinics/archive/vanitalwc5/naver_blog/nest11561/assets/by_hash/b5e960f52ba1995a3a2d132b6750bfd910030d079e0dbe6025a41f80405444e6.jpg)
![앞니 벌어짐 라미네이트 삭제 걱정 끝 [+치료 사례 포함] 관련 이미지 17](https://pub-9f2bb3498faf4d1d8714b41df24753e3.r2.dev/content/clinics/archive/vanitalwc5/naver_blog/nest11561/assets/by_hash/53d589b2cf66ecd92fd7f420c885bd1633f746cf12f0b24dcec6b5539d2e695c.jpg)
![앞니 벌어짐 라미네이트 삭제 걱정 끝 [+치료 사례 포함] 관련 이미지 18](https://pub-9f2bb3498faf4d1d8714b41df24753e3.r2.dev/content/clinics/archive/vanitalwc5/naver_blog/nest11561/assets/by_hash/845645e3209132fd8e5ebe9180dcfb1d7e58f555dc028159b87df52c2533b66f.jpg)
![앞니 벌어짐 라미네이트 삭제 걱정 끝 [+치료 사례 포함] 관련 이미지 19](https://pub-9f2bb3498faf4d1d8714b41df24753e3.r2.dev/content/clinics/archive/vanitalwc5/naver_blog/nest11561/assets/by_hash/41ae49603e1693a258e301bda35994ed899403b069b3ac0bc6dd0c26ded4a523.jpg)
![앞니 벌어짐 라미네이트 삭제 걱정 끝 [+치료 사례 포함] 관련 이미지 20](https://pub-9f2bb3498faf4d1d8714b41df24753e3.r2.dev/content/clinics/archive/vanitalwc5/naver_blog/nest11561/assets/by_hash/b00307be48b6df37cd97b465382b281326c77966b06259620807c99642c6d136.jpg)
![앞니 벌어짐 라미네이트 삭제 걱정 끝 [+치료 사례 포함] 관련 이미지 21](https://pub-9f2bb3498faf4d1d8714b41df24753e3.r2.dev/content/clinics/archive/vanitalwc5/naver_blog/nest11561/assets/by_hash/d131c5da164b5ec34d121ea521aa08cfe548ff173a68d803fca3a1eeaf0c1a27.jpg)
![앞니 벌어짐 라미네이트 삭제 걱정 끝 [+치료 사례 포함] 관련 이미지 22](https://pub-9f2bb3498faf4d1d8714b41df24753e3.r2.dev/content/clinics/archive/vanitalwc5/naver_blog/nest11561/assets/by_hash/59f65e1c3c33e980e4083999a8da828d4adf550ff1a5e41e6fae088d4869ee80.jpg)
![앞니 벌어짐 라미네이트 삭제 걱정 끝 [+치료 사례 포함] 관련 이미지 23](https://pub-9f2bb3498faf4d1d8714b41df24753e3.r2.dev/content/clinics/archive/vanitalwc5/naver_blog/nest11561/assets/by_hash/6d287c9307aba8c78619c26e01866a5766ca262cb5b5efaa2c12a660eda6e65d.jpg)
![앞니 벌어짐 라미네이트 삭제 걱정 끝 [+치료 사례 포함] 관련 이미지 24](https://pub-9f2bb3498faf4d1d8714b41df24753e3.r2.dev/content/clinics/archive/vanitalwc5/naver_blog/nest11561/assets/by_hash/ad4f86229d27f0b4a92f0550895ce9328d3ff9b62f5aebe7df04cc40679d4419.jpg)
![앞니 벌어짐 라미네이트 삭제 걱정 끝 [+치료 사례 포함] 관련 이미지 25](https://pub-9f2bb3498faf4d1d8714b41df24753e3.r2.dev/content/clinics/archive/vanitalwc5/naver_blog/nest11561/assets/by_hash/5ce61f17808efae946c254c111b5b88dba447bfd27aedd3659aeed06edf272a1.jpg)
![앞니 벌어짐 라미네이트 삭제 걱정 끝 [+치료 사례 포함] 관련 이미지 26](https://pub-9f2bb3498faf4d1d8714b41df24753e3.r2.dev/content/clinics/archive/vanitalwc5/naver_blog/nest11561/assets/by_hash/c03211db6656a95be223494e09f1280f17ec3e0b36ad8f48bccf3a5cc37b19bb.jpg)
![앞니 벌어짐 라미네이트 삭제 걱정 끝 [+치료 사례 포함] 관련 이미지 27](https://pub-9f2bb3498faf4d1d8714b41df24753e3.r2.dev/content/clinics/archive/vanitalwc5/naver_blog/nest11561/assets/by_hash/98cd5b0dc18f92a344076020fd0606a0bdadba1bb91dc3325bece00f7bbc9db2.jpg)
![앞니 벌어짐 라미네이트 삭제 걱정 끝 [+치료 사례 포함] 관련 이미지 28](https://pub-9f2bb3498faf4d1d8714b41df24753e3.r2.dev/content/clinics/archive/vanitalwc5/naver_blog/nest11561/assets/by_hash/d204792c815cf2c618f20e332f8b737cad3abc31612fd090b0a2e9fbd5f0f24e.jpg)
앞니 벌어짐 라미네이트 삭제 걱정 끝 [+치료 사례 포함]
앞니 벌어짐 라미네이트 삭제 걱정 끝 [+치료 사례 포함]
앞니 벌어짐 라미네이트 삭제 걱정 끝 [+치료 사례 포함]
앞니 벌어짐 라미네이트 삭제 걱정 끝 [+치료 사례 포함]
앞니 벌어짐 라미네이트 삭제 걱정 끝 [+치료 사례 포함]