아카이브 요약
이 페이지의 역할
메이크치과의원의 네이버 블로그 원문을 보존한 아카이브 페이지입니다. 라미네이트 카테고리의 변색과 잇몸비대칭, 라미네이트 치아삭제로 변화를 주다 [+치료 사례 포함] 글을 통해 병원의 한국어 정보 제공 방식과 진료 관련 안내 톤을 확인할 수 있습니다.
원문 검증
필요하면 원문 블로그와 병원 프로필로 바로 이동해 문맥을 다시 확인할 수 있습니다.
출처 아카이브 열기아카이브된 블로그 글
메이크치과의원 · 메이크치과의원ㅣ라미네이트,심미치료에 진심인 치과
내 미소, 왜 이렇게 어두울까요? 안녕하세요. 메이크치과의원 대표원장 안영석입니다. 작년 겨울, 30대 초반의 환자분이 찾아주셨습니다. 평소 밝고 활기찬 성격으로 주변 사람들에게 좋은 인상을 주었지만, 어느 날부터 자신이 웃을 때마다 치아와 잇몸이 신경 쓰인다고 하셨죠. 특히 치아가 변색되...
게시일
2025년 7월 8일
원문 기준으로 확인된 발행일입니다.
카테고리
라미네이트
원문 블로그 카테고리를 정리해 함께 표시합니다.
이미지 수
28
현재 아카이브에 연결된 이미지 수입니다.
아카이브 요약
메이크치과의원의 네이버 블로그 원문을 보존한 아카이브 페이지입니다. 라미네이트 카테고리의 변색과 잇몸비대칭, 라미네이트 치아삭제로 변화를 주다 [+치료 사례 포함] 글을 통해 병원의 한국어 정보 제공 방식과 진료 관련 안내 톤을 확인할 수 있습니다.
원문 검증
필요하면 원문 블로그와 병원 프로필로 바로 이동해 문맥을 다시 확인할 수 있습니다.
출처 아카이브 열기![변색과 잇몸비대칭, 라미네이트 치아삭제로 변화를 주다 [+치료 사례 포함] 관련 이미지 1](https://pub-9f2bb3498faf4d1d8714b41df24753e3.r2.dev/content/clinics/archive/vanitalwc5/naver_blog/nest11561/assets/by_hash/df58dcb50fbbf214a11449405b53b460371396bd232915a691052682f5f5e756.png)
안녕하세요.
메이크치과의원 대표원장 안영석입니다.
작년 겨울, 30대 초반의
환자분이 찾아주셨습니다.
평소 밝고 활기찬 성격으로
주변 사람들에게 좋은 인상을 주었지만,
어느 날부터 자신이 웃을 때마다
치아와 잇몸이 신경 쓰인다고 하셨죠.
특히 치아가 변색되면서
점점 웃을 때 자연스러움이 사라지고,
잇몸도 비대칭이 되어
점점 더 자신감을 잃어갔는데요.
자신을 더욱 매력적으로 보이고 싶다는 마음에
여러 치과를 알아보았고,
결국 저희를 찾게 되셨습니다.
처음엔 그저 외적인 고민이었지만,
그 고민이 점점 더 삶의 여러 부분에 영향을
미치고 있다는 것을 깨달으셨다고 하셨는데요.
생각보다 많은 분들이 겪고 있는 고민이기에,
저희는 그분의 고민을 진심으로 이해하고,
라미네이트 치아 삭제를 통해
어떻게든 도움을 줄 수 있기를 바랐습니다.
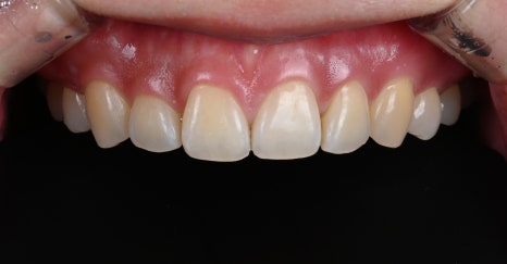
![변색과 잇몸비대칭, 라미네이트 치아삭제로 변화를 주다 [+치료 사례 포함] 관련 이미지 2](https://pub-9f2bb3498faf4d1d8714b41df24753e3.r2.dev/content/clinics/archive/vanitalwc5/naver_blog/nest11561/assets/by_hash/8ddc72e2008fb539c1a3c39dd5bb6170887f5f2504f262d65cd581242b25fd55.jpg)
![변색과 잇몸비대칭, 라미네이트 치아삭제로 변화를 주다 [+치료 사례 포함] 관련 이미지 3](https://pub-9f2bb3498faf4d1d8714b41df24753e3.r2.dev/content/clinics/archive/vanitalwc5/naver_blog/nest11561/assets/by_hash/05ce65236e024c4d90ee67ec6cd0daa8a6e6c8327a1b798ac7fbbac0a57b5992.jpg)
시술 전(24.12.27) / 후(25.01.13)
해당 사진은 환자분의 동의를 얻어 기재하였으며,
개인에 따라 부작용이 발생할 수 있으므로
담당 의료진과 상담 후 진료를 진행하시길 바랍니다.
변색은 아주 흔한 사례였습니다.
사실 변색되는 이유는 너무나도 다양하고,
각기 다른 원인에 의해 발생합니다.
가장 큰 원인 중 하나는 음료나 음식,
특히 커피나 차 같은 색소가
강한 음료를 자주 섭취한 경우인데요.
환자분 역시 커피를 하루에
여러 잔씩 마시곤 했죠.
그 외에도 흡연, 약물, 노화 등의
이유로 자연스럽게 변색될 수 있습니다.
이렇게 변색되면, 단순히 외모적인 문제뿐만
아니라 자신감에도 큰 영향을 미치는데요.
사람들이 웃을 때 가장 눈에 띄는 부분이
바로 치아이기 때문에,
변색이 신경 쓰이는 분들은
자연스럽게 웃음을 참거나 피하게 됩니다.
![변색과 잇몸비대칭, 라미네이트 치아삭제로 변화를 주다 [+치료 사례 포함] 관련 이미지 4](https://pub-9f2bb3498faf4d1d8714b41df24753e3.r2.dev/content/clinics/archive/vanitalwc5/naver_blog/nest11561/assets/by_hash/64948ee38d36772e6679bd16894b23435381df9894ea62d321dfa6757fd33094.jpg)
환자분의 얼굴형, 입술 라인, 미소 습관까지 고려한
개인 맞춤형 치아 디자인을 진행하고 있습니다.
또 다른 고민은 잇몸 비대칭이었습니다.
잇몸이 고르게 웃지 않으면 웃는 게
자연스럽게 보이지 않고,
웃을 때마다 불편한 느낌을 주게 되죠.
비대칭은 여러 가지 원인에 의해
발생할 수 있는데, 오늘 환자분의 경우,
과거에 교정했던 경험이 있었고,
그 후로 점차 비대칭으로 변했다고 하셨습니다.
이런 경우, 형태나 라인이 어긋나면서
웃을 때 더욱 부자연스러워질 수 있는데요.
얼굴 전체의 균형에
중요한 영향을 미치기 때문에,
웃을 때 균형 잡힌 라인이 만들어지면
미소가 더 아름답고 자연스러워질 수 있습니다.
![변색과 잇몸비대칭, 라미네이트 치아삭제로 변화를 주다 [+치료 사례 포함] 관련 이미지 5](https://pub-9f2bb3498faf4d1d8714b41df24753e3.r2.dev/content/clinics/archive/vanitalwc5/naver_blog/nest11561/assets/by_hash/6988a8b7ccd4a3524842aa6b8a471abd337bc2d5cab0081aebb2a58a1417edfa.jpg)
젊고 트렌디한 감각의 의료진이
당신의 니즈를 정확히 파악하고 트렌드를 반영합니다.
저희는 모든 환자분께
맞춤형 라미네이트 치아 삭제를 합니다.
그래서 치아와 잇몸 상태를 꼼꼼하게 분석하고,
그에 맞는 맞춤형 치료 계획을
세우는 것이 가장 중요한 시간이죠.
첫 번째는 정밀한 3D 스캔을 통해
치아와 잇몸을 정확하게 진단합니다.
이렇게 정확한 진단을 통해,
라미네이트 치아 삭제 범위와 모양, 심지어
잇몸 라인까지 모두 세밀하게 조정할 수 있죠.
또한, 3D 스마일 프리뷰 기술을 활용해 치아와
잇몸의 조화로운 균형을 맞출 수 있었는데요.
이는 3D 안면 스캔과 구강 스캔을 통해
미소를 세밀하게 조정하고,
시술 전 미리 결과를 예측할 수 있게 해줍니다.
이렇게 해서, 치료 전 예상 결과를 보고,
자신이 원하는 미소에 대한 확신을 가질 수 있죠.
![변색과 잇몸비대칭, 라미네이트 치아삭제로 변화를 주다 [+치료 사례 포함] 관련 이미지 6](https://pub-9f2bb3498faf4d1d8714b41df24753e3.r2.dev/content/clinics/archive/vanitalwc5/naver_blog/nest11561/assets/by_hash/6052b4b0e2cb42b485145a30cd81282b81e0efdb90f440cb1eead88ac640ef2e.jpg)
당신의 미소, 오래도록 건강하고 아름답게 유지될 수 있도록
메이크치과가 함께합니다.
변색을 개선하는 방법은
크게 두 가지로 나눌 수 있습니다.
바로 화이트닝과 라미네이트인데요.
화이트닝은 표면에 쌓인 색소를
제거하는 방법으로, 상대적으로 간단하지만
변색이 심한 경우에는 한계가 있을 수 있습니다.
환자분의 경우에는 변색이
다소 심각했기 때문에,
라미네이트 치아 삭제를 병행하는 것이 좋았죠.
이는 표면에 얇은 세라믹을 덮어
자연스럽고 밝은 치아를 만들어주는 방법으로,
미백 효과는 물론 형태까지 개선할 수 있습니다.
또한, 전체적인 모양을 보다 세밀하게
조정할 수 있어, 원하는 자연스러운 미소를
만들어 주는 데 효과적입니다.
![변색과 잇몸비대칭, 라미네이트 치아삭제로 변화를 주다 [+치료 사례 포함] 관련 이미지 7](https://pub-9f2bb3498faf4d1d8714b41df24753e3.r2.dev/content/clinics/archive/vanitalwc5/naver_blog/nest11561/assets/by_hash/18c019e7dd3021d90fea4e486cd5d4bf5c0a4b9c5e95f365684c23cb19149251.jpg)
메이크치과는 과정을 중시합니다.
정밀한 진단과 디자인이 완벽한 결과를 만듭니다.
또 다른 고민, 잇몸 비대칭을 해소하기 위해,
잇몸성형이 실시되었는데요.
잇몸 성형은 라인을 정리하고
균형을 맞추는 치료로, 치아와 잇몸이
자연스럽게 조화를 이루도록 돕습니다.
특히 웃을 때 잇몸이 너무 많이 보이거나,
불규칙한 형태로 보이는 경우에도 권장됩니다.
치료 후, 라인이 깔끔하게 정리되면서
환자분의 전체적인 인상이 훨씬
더 부드럽고 균형 잡힌 느낌을 주게 되는데요.
이 과정은 비교적 간단하지만,
환자분들의 만족도가 매우 높은 치료입니다.
더욱 자연스럽고 자신감 있는 미소를
되찾을 수 있어, 큰 변화를 경험하실 수 있죠.
![변색과 잇몸비대칭, 라미네이트 치아삭제로 변화를 주다 [+치료 사례 포함] 관련 이미지 8](https://pub-9f2bb3498faf4d1d8714b41df24753e3.r2.dev/content/clinics/archive/vanitalwc5/naver_blog/nest11561/assets/by_hash/168662be3a6a6a1d107d8d218a9e762012992ed7accd63c5e5def466dd32b685.jpg)
시간이 지나도 변함없는 아름다움,
메이크치과는 재료 선택부터 신중합니다.
이처럼 메이크치과는
치료만을 위한 곳이 아닙니다.
저희는 환자 한 분, 한 분을 진심으로 대하며,
그분들의 고민과 불안을 이해하고
해소하려 최선을 다하고 있죠.
치료 과정 중 환자분께서
불안해하시기도 했지만,
저희는 매번 소통을 통해
그 걱정을 덜어드리며 치료를 진행하였는데요.
환자분들의 안전과 만족을 가장 우선시하며,
모든 과정에서 세심한 주의를 기울이고 있습니다.
무엇보다, 저희는 디지털 치의학 기술을
토대로 한 정밀한 진단과 맞춤형 치료로,
더욱 편리한 라미네이트 치아 삭제 치료를
받으실 수 있도록 합니다.
![변색과 잇몸비대칭, 라미네이트 치아삭제로 변화를 주다 [+치료 사례 포함] 관련 이미지 9](https://pub-9f2bb3498faf4d1d8714b41df24753e3.r2.dev/content/clinics/archive/vanitalwc5/naver_blog/nest11561/assets/by_hash/024e06b63c02d0b172474b38ac075298c05d833dce5a03a76836a0b993351217.jpg)
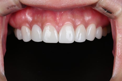
![변색과 잇몸비대칭, 라미네이트 치아삭제로 변화를 주다 [+치료 사례 포함] 관련 이미지 10](https://pub-9f2bb3498faf4d1d8714b41df24753e3.r2.dev/content/clinics/archive/vanitalwc5/naver_blog/nest11561/assets/by_hash/6c1d7856a2966b259c203e5417c18c400b199646fc653b62ac64b2fdf891fc41.jpg)
시술 전(24.12.27) / 후(25.01.13)
해당 사진은 환자분의 동의를 얻어 기재하였으며,
개인에 따라 부작용이 발생할 수 있으므로
담당 의료진과 상담 후 진료를 진행하시길 바랍니다.
치료가 끝난 후,
환자분은 미소를 지을 수밖에 없었습니다.
치아는 자연스럽게 밝아졌고,
라인도 균형을 맞추면서 웃음이 훨씬 더
자연스럽고 자신감 있게 바뀌었죠.
"웃을 때 너무 편안해요."
"더 이상 치아나 잇몸이 신경 쓰이지 않아서 기분이 좋아요."
예전에는 미팅이나 중요한 자리에서
웃는 것이 부담스러웠지만,
이제는 자신감을 가지고 더 적극적으로 대화에
참여할 수 있게 되었다며 기뻐하셨는데요.
언제 어디서나 편안하게 웃을 수 있게 된 환자분의 모습에 저희도 큰 뿌듯함을 느꼈습니다.
![변색과 잇몸비대칭, 라미네이트 치아삭제로 변화를 주다 [+치료 사례 포함] 관련 이미지 11](https://pub-9f2bb3498faf4d1d8714b41df24753e3.r2.dev/content/clinics/archive/vanitalwc5/naver_blog/nest11561/assets/by_hash/1c423c90b55522b1be04bcc6ec2bae7e521f497f12424bc6f7f4791bc2cf38be.gif)
미소 하나로 시작된 변화가
더 큰 행복으로 이어질 수 있도록,
언제나 여러분의 고민을 함께 나누고
진심으로 돕겠습니다.
저희 메이크치과는 한 분, 한 분의
소중한 고민에 귀 기울이며,
맞춤형 라미네이트 치아 삭제로
여러분의 미소를 더욱 빛나게 만들어 드립니다.
더 자신감 있는 미소와 행복한 일상을 위해,
언제든 편안하게 문의하세요.
따뜻한 마음으로 기다리고 있겠습니다.
감사합니다.
![변색과 잇몸비대칭, 라미네이트 치아삭제로 변화를 주다 [+치료 사례 포함] 관련 이미지 12](https://pub-9f2bb3498faf4d1d8714b41df24753e3.r2.dev/content/clinics/archive/vanitalwc5/naver_blog/nest11561/assets/by_hash/dd666b1d41d0c5167237570371f87091c65829d3cfde149a14ffc158f0b3bece.png)
![변색과 잇몸비대칭, 라미네이트 치아삭제로 변화를 주다 [+치료 사례 포함] 관련 이미지 13](https://pub-9f2bb3498faf4d1d8714b41df24753e3.r2.dev/content/clinics/archive/vanitalwc5/naver_blog/nest11561/assets/by_hash/ea574d3fba9258a7dc66f0f8e98b3b6a20e3c32684ed9c8fd74d4820873f194e.jpg)
![변색과 잇몸비대칭, 라미네이트 치아삭제로 변화를 주다 [+치료 사례 포함] 관련 이미지 14](https://pub-9f2bb3498faf4d1d8714b41df24753e3.r2.dev/content/clinics/archive/vanitalwc5/naver_blog/nest11561/assets/by_hash/ab4aa601bb81af24e91333f317f883eef8b22279ce9bd90980679627d7b87813.jpg)
![변색과 잇몸비대칭, 라미네이트 치아삭제로 변화를 주다 [+치료 사례 포함] 관련 이미지 15](https://pub-9f2bb3498faf4d1d8714b41df24753e3.r2.dev/content/clinics/archive/vanitalwc5/naver_blog/nest11561/assets/by_hash/146484af8a64fb468936859e2301f5d0a5d36b07b36db210ec7eb548de667743.jpg)
![변색과 잇몸비대칭, 라미네이트 치아삭제로 변화를 주다 [+치료 사례 포함] 관련 이미지 16](https://pub-9f2bb3498faf4d1d8714b41df24753e3.r2.dev/content/clinics/archive/vanitalwc5/naver_blog/nest11561/assets/by_hash/b2b56bebc5baca0676e9e38d4fdb7e09388ea0cc8553ea8ac676812c4e838bb7.jpg)
![변색과 잇몸비대칭, 라미네이트 치아삭제로 변화를 주다 [+치료 사례 포함] 관련 이미지 17](https://pub-9f2bb3498faf4d1d8714b41df24753e3.r2.dev/content/clinics/archive/vanitalwc5/naver_blog/nest11561/assets/by_hash/211bb12eb6643cc6af48c811cde67d1bb9256ab6da22269477ab8805c53b9b83.jpg)
![변색과 잇몸비대칭, 라미네이트 치아삭제로 변화를 주다 [+치료 사례 포함] 관련 이미지 18](https://pub-9f2bb3498faf4d1d8714b41df24753e3.r2.dev/content/clinics/archive/vanitalwc5/naver_blog/nest11561/assets/by_hash/8831f2d91068128e1b886a64415ae16b2bfff04a8481ccdb7881b1bddd41bf36.jpg)
![변색과 잇몸비대칭, 라미네이트 치아삭제로 변화를 주다 [+치료 사례 포함] 관련 이미지 19](https://pub-9f2bb3498faf4d1d8714b41df24753e3.r2.dev/content/clinics/archive/vanitalwc5/naver_blog/nest11561/assets/by_hash/36092406adf8b3ed53baf266f8dadb8055ad8457408cfbe505fc0abe59304455.jpg)
![변색과 잇몸비대칭, 라미네이트 치아삭제로 변화를 주다 [+치료 사례 포함] 관련 이미지 20](https://pub-9f2bb3498faf4d1d8714b41df24753e3.r2.dev/content/clinics/archive/vanitalwc5/naver_blog/nest11561/assets/by_hash/f3daef55c435b2eb2ea5dcb389b65a78dfbea3b5070bf9ad2ffe9a356fdb0bda.jpg)
![변색과 잇몸비대칭, 라미네이트 치아삭제로 변화를 주다 [+치료 사례 포함] 관련 이미지 21](https://pub-9f2bb3498faf4d1d8714b41df24753e3.r2.dev/content/clinics/archive/vanitalwc5/naver_blog/nest11561/assets/by_hash/526491bd92f8ebc8a023031ee19eb711c6b2ec2d0a0fa82066310730141cfd99.jpg)
![변색과 잇몸비대칭, 라미네이트 치아삭제로 변화를 주다 [+치료 사례 포함] 관련 이미지 22](https://pub-9f2bb3498faf4d1d8714b41df24753e3.r2.dev/content/clinics/archive/vanitalwc5/naver_blog/nest11561/assets/by_hash/5ae76786b797522fccbbdba7a8d00768709083303f867e05af0837f30bd87cbb.jpg)
![변색과 잇몸비대칭, 라미네이트 치아삭제로 변화를 주다 [+치료 사례 포함] 관련 이미지 23](https://pub-9f2bb3498faf4d1d8714b41df24753e3.r2.dev/content/clinics/archive/vanitalwc5/naver_blog/nest11561/assets/by_hash/81ca6f761e21f3b6313f79dae2274b0e0b7d66aeb30fe946799202532237e76d.jpg)
![변색과 잇몸비대칭, 라미네이트 치아삭제로 변화를 주다 [+치료 사례 포함] 관련 이미지 24](https://pub-9f2bb3498faf4d1d8714b41df24753e3.r2.dev/content/clinics/archive/vanitalwc5/naver_blog/nest11561/assets/by_hash/7a65efdcbdcaae634933a8ad91cf6e1483916ce34c2abf94cd3817bda6ca0dbd.jpg)
![변색과 잇몸비대칭, 라미네이트 치아삭제로 변화를 주다 [+치료 사례 포함] 관련 이미지 25](https://pub-9f2bb3498faf4d1d8714b41df24753e3.r2.dev/content/clinics/archive/vanitalwc5/naver_blog/nest11561/assets/by_hash/16ad4b65bde31c62025fda1ccabc0a9761f9e3ce187e350cf503fac550288aea.jpg)
![변색과 잇몸비대칭, 라미네이트 치아삭제로 변화를 주다 [+치료 사례 포함] 관련 이미지 26](https://pub-9f2bb3498faf4d1d8714b41df24753e3.r2.dev/content/clinics/archive/vanitalwc5/naver_blog/nest11561/assets/by_hash/0b33128d29a1027843483b72b47ac1c07a3a36cf28f03504b41b7ad9fab27af0.jpg)
![변색과 잇몸비대칭, 라미네이트 치아삭제로 변화를 주다 [+치료 사례 포함] 관련 이미지 27](https://pub-9f2bb3498faf4d1d8714b41df24753e3.r2.dev/content/clinics/archive/vanitalwc5/naver_blog/nest11561/assets/by_hash/a9aa2d6ef23bfe3c08948b7b8ad52f72af28651552821f7ac1bb10efe042ab8f.jpg)
![변색과 잇몸비대칭, 라미네이트 치아삭제로 변화를 주다 [+치료 사례 포함] 관련 이미지 28](https://pub-9f2bb3498faf4d1d8714b41df24753e3.r2.dev/content/clinics/archive/vanitalwc5/naver_blog/nest11561/assets/by_hash/620b8519e8c189fb07821eea0fe3b9a973c5bbdd2d41ede5f435f29bdad7bcfc.jpg)