아카이브 요약
이 페이지의 역할
메이크치과의원의 네이버 블로그 원문을 보존한 아카이브 페이지입니다. 라미네이트 카테고리의 면접 준비의 완성, 치아 벌어짐 교정 [+치료 사례 포함] 글을 통해 병원의 한국어 정보 제공 방식과 진료 관련 안내 톤을 확인할 수 있습니다.
원문 검증
필요하면 원문 블로그와 병원 프로필로 바로 이동해 문맥을 다시 확인할 수 있습니다.
출처 아카이브 열기아카이브된 블로그 글
메이크치과의원 · 메이크치과의원ㅣ라미네이트,심미치료에 진심인 치과
면접에서 자신 있게 웃을 수 있도록 도와주세요 안녕하세요. 메이크치과의원 대표원장 안영석입니다. 취업 준비 중인 20대 후반의 남성 환자분께서 저희 메이크치과를 찾아주셨습니다. 취업 시장이 치열해진 요즘, 면접에서 첫인상은 매우 중요한 요소가 되었는데요. 이 환자분도 중요한 면접을 앞두고 자신...
게시일
2025년 7월 10일
원문 기준으로 확인된 발행일입니다.
카테고리
라미네이트
원문 블로그 카테고리를 정리해 함께 표시합니다.
이미지 수
29
현재 아카이브에 연결된 이미지 수입니다.
아카이브 요약
메이크치과의원의 네이버 블로그 원문을 보존한 아카이브 페이지입니다. 라미네이트 카테고리의 면접 준비의 완성, 치아 벌어짐 교정 [+치료 사례 포함] 글을 통해 병원의 한국어 정보 제공 방식과 진료 관련 안내 톤을 확인할 수 있습니다.
원문 검증
필요하면 원문 블로그와 병원 프로필로 바로 이동해 문맥을 다시 확인할 수 있습니다.
출처 아카이브 열기![면접 준비의 완성, 치아 벌어짐 교정 [+치료 사례 포함] 관련 이미지 1](https://pub-9f2bb3498faf4d1d8714b41df24753e3.r2.dev/content/clinics/archive/vanitalwc5/naver_blog/nest11561/assets/by_hash/76a1b97aadd9de864c386bd17082d4da35354cacdafb912c29beb8eccae4bba4.jpg)
안녕하세요.
메이크치과의원 대표원장 안영석입니다.
취업 준비 중인 20대 후반의 남성 환자분께서
저희 메이크치과를 찾아주셨습니다.
취업 시장이 치열해진 요즘,
면접에서 첫인상은
매우 중요한 요소가 되었는데요.
이 환자분도 중요한 면접을 앞두고
자신감 있는 인상을 주고 싶다고 말씀하셨습니다.
![면접 준비의 완성, 치아 벌어짐 교정 [+치료 사례 포함] 관련 이미지 2](https://pub-9f2bb3498faf4d1d8714b41df24753e3.r2.dev/content/clinics/archive/vanitalwc5/naver_blog/nest11561/assets/by_hash/50c9b41d415a802c7f0943938df9d0d61617b01bab5b5d71c75f1b42a5e968dd.jpg)
단순한 치아 미백이나 교정이 아닌,
당신만의 자연스러운 아름다움을 디자인합니다.
그런데 문제는 웃을 때 드러나는
치아 벌어짐 교정과 변색된 치아였죠.
평소에는 크게 신경 쓰지 않던 부분이었지만,
사진을 찍거나 면접에서
밝게 웃어야 할 때마다 자신감이 떨어지고
시선을 피하게 되었다고 하셨습니다.
주변 친구들이나 가족들도
"밝게 웃어야 더 좋은 인상 줄 수 있다"라고
조언했지만, 막상 자신에게는
큰 부담이었다고 하셨는데요.
환자분의 간절한 요청을 듣고,
저희도 진심을 담아
치료 계획을 준비하기 시작했습니다.
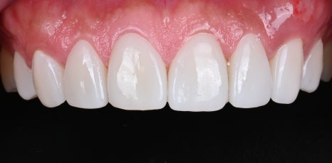
![면접 준비의 완성, 치아 벌어짐 교정 [+치료 사례 포함] 관련 이미지 3](https://pub-9f2bb3498faf4d1d8714b41df24753e3.r2.dev/content/clinics/archive/vanitalwc5/naver_blog/nest11561/assets/by_hash/65039b2c96ed140c29b30164104ef19a5c31320f13c9dca4525d97b1e4c76485.jpg)
![면접 준비의 완성, 치아 벌어짐 교정 [+치료 사례 포함] 관련 이미지 4](https://pub-9f2bb3498faf4d1d8714b41df24753e3.r2.dev/content/clinics/archive/vanitalwc5/naver_blog/nest11561/assets/by_hash/9329faee9e2392e7ce0ef5019e1d0a734b186a629f4b2f05c6aa702afac38112.jpg)
시술 전(25.01.06) / 후(25.01.30)
해당 사진은 환자분의 동의를 얻어 기재하였으며,
개인에 따라 부작용이 발생할 수 있으므로
담당 의료진과 상담 후 진료를 진행하시길 바랍니다.
저희는 처음 만나는 순간부터
단순히 치아 문제만 보지 않습니다.
표정, 얼굴 비율, 미소 라인까지
종합적으로 분석해야
가장 자연스러운 결과를 만들 수 있기 때문이죠.
특히 이번 사례처럼 면접과
취업 준비에 있어 인상이 중요한 경우,
더욱 세심한 계획이 필요합니다.
그래서 3D 안면 스캔과 구강 스캔을
활용한 디지털 분석을 통해
현재 상태를 꼼꼼히 파악했습니다.
사이 틈새를 어떻게 메울지, 변색된 치아를
어떤 톤으로 개선할지,
그리고 웃을 때의 전체적인 조화를 어떻게
맞출지를 시뮬레이션 단계에서부터
철저히 준비했죠.
또한, 치아 벌어짐 교정 전,
직접 자신의 새로운 미소를 가상으로
미리 확인할 수 있도록
3D 스마일 프리뷰를 보여드렸는데요.
이를 통해 시술 결과를 구체적으로 체감하고,
원하는 디자인을 추가로 반영할 수 있어
환자분도 큰 만족을 느끼셨습니다.
![면접 준비의 완성, 치아 벌어짐 교정 [+치료 사례 포함] 관련 이미지 5](https://pub-9f2bb3498faf4d1d8714b41df24753e3.r2.dev/content/clinics/archive/vanitalwc5/naver_blog/nest11561/assets/by_hash/65fafc95711a54bebbdb3be6061a0d70507685e8489d4661fa88ece682d753cb.jpg)
환자분의 얼굴형, 입술 라인, 미소 습관까지 고려한
개인 맞춤형 치아 디자인을 진행하고 있습니다.
많은 분이 라미네이트라고 하면
많이 깎는다고 생각해 두려워합니다.
환자분 역시
"혹시 많이 삭제해서 시릴까 봐 걱정된다"고
말씀하셨는데요.
하지만 저희는 삭제량을 소수점 단위까지
정밀하게 계측하며,
오랫동안 편안하게 사용할 수 있도록 레이어별로
필요한 부분만 정교하게 다듬는 과정을 거칩니다.
이러한 이런 정밀한 삭제 계획은
고해상도 3D 프린터와
디지털 가이드 시스템 덕분으로,
불필요한 삭제를 최소화하면서
원하는 모양과 색상을 구현할 수 있어,
결과적으로 기능과 심미성을
동시에 만족시킬 수 있죠.
![면접 준비의 완성, 치아 벌어짐 교정 [+치료 사례 포함] 관련 이미지 6](https://pub-9f2bb3498faf4d1d8714b41df24753e3.r2.dev/content/clinics/archive/vanitalwc5/naver_blog/nest11561/assets/by_hash/739d3ff8cf4ebae84e2892fea6fa30ae3a23abd3988fe7e77f67d1e83d2f41fe.jpg)
당신의 미소, 오래도록 건강하고 아름답게 유지될 수 있도록
메이크치과가 함께합니다.
치아는 한 번 삭제되면 다시 돌아오지 않기
때문에 신중함이 가장 필요합니다.
저희는 그 점을 잘 알기에,
이번 사례처럼 취업 준비로 바쁜 시기에도
치아 건강을 해치지 않도록
꼼꼼히 관리를 도와드리는데요.
치아 벌어짐 교정 후에도
시림이나 통증을 느끼지 않고
일상생활을 바로 할 수 있어
환자분께서 매우 만족해하셨습니다.
![면접 준비의 완성, 치아 벌어짐 교정 [+치료 사례 포함] 관련 이미지 7](https://pub-9f2bb3498faf4d1d8714b41df24753e3.r2.dev/content/clinics/archive/vanitalwc5/naver_blog/nest11561/assets/by_hash/8db61f1bab6843ad794947e7f950ec4997863a20cb9478223797271b1f8784ea.jpg)
이번 환자분은 특히
자연스러운 색상을 원하셨습니다.
너무 하얗고 인위적인 색상이 아니라,
원래 본인 치아처럼 보이면서도
깨끗하고 밝은 톤을 원하셨죠.
그래서 쉐이드 매칭 솔루션 시스템을 통해
피부톤, 얼굴 분위기, 입술 색까지
함께 고려하였는데요.
치과의사와 기공사가 함께
여러 차례 상담하며 최적의 세라믹 블록을
선택하고, 색상 시뮬레이션을 반복했죠.
환자분께서 최종 시뮬레이션 이미지를 보시고
"이제 면접장에서 자신 있게 웃을 수 있겠다"며
환하게 웃으셨던 기억이 납니다.
![면접 준비의 완성, 치아 벌어짐 교정 [+치료 사례 포함] 관련 이미지 8](https://pub-9f2bb3498faf4d1d8714b41df24753e3.r2.dev/content/clinics/archive/vanitalwc5/naver_blog/nest11561/assets/by_hash/4de43737ff1b8c9026b8c97dce55b7a33d46ef048cd07c945f6858bc34fd7934.jpg)
이 과정에서 중요한 것은
단순히 밝은 치아를 만드는 것이 아니라,
고유의 개성과 미소를 살리는 데 있습니다.
형태 또한 너무 뾰족하거나 네모나지 않도록
조정해, 부드럽고 따뜻한 이미지를 강조했는데요.
이런 섬세한 맞춤 과정 덕분에
자연스러운 표정과 조화를 이루며,
보는 이로 하여금 호감과 신뢰를 느끼게 합니다.
![면접 준비의 완성, 치아 벌어짐 교정 [+치료 사례 포함] 관련 이미지 9](https://pub-9f2bb3498faf4d1d8714b41df24753e3.r2.dev/content/clinics/archive/vanitalwc5/naver_blog/nest11561/assets/by_hash/0f368b94fe44f7d8fcade3d68980c95f97646b9dffb5d840fe1b3ac260058ce7.jpg)
치아 벌어짐 교정의 최종 완성도를
결정짓는 것은 세라믹 가공 기술입니다.
저희가 사용하는 세라믹은
MAKE DENTAL CERAMICS LAB에서
개발한 초정밀 소재로,
자연치의 투명감과 강도를
동시에 구현할 수 있습니다.
이 세라믹은 각 층을 정밀하게
쌓아 올려 만들어지며,
그 과정에서 작은 균열이나 불균형까지도
철저히 보완되는데요.
뉴욕 CREO LAB 출신 기공사와
Oral Design Seoul의 기술력을 결합해,
국내외에서 인정받은 고급 세라믹을 사용하기에,
환자분께서도
"정말 제 원래 치아 같은 느낌이다"라며
감탄하셨습니다.
특히 시간이 지나도 변색이나 마모가 적어, 장기적으로 관리가 용이하죠.
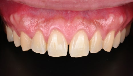
![면접 준비의 완성, 치아 벌어짐 교정 [+치료 사례 포함] 관련 이미지 10](https://pub-9f2bb3498faf4d1d8714b41df24753e3.r2.dev/content/clinics/archive/vanitalwc5/naver_blog/nest11561/assets/by_hash/5ab3f052a4aadcff456136c44da0432702b0e60ffa1da8e5481649d9e6861c5f.jpg)
![면접 준비의 완성, 치아 벌어짐 교정 [+치료 사례 포함] 관련 이미지 11](https://pub-9f2bb3498faf4d1d8714b41df24753e3.r2.dev/content/clinics/archive/vanitalwc5/naver_blog/nest11561/assets/by_hash/455cbeea982b51887965fc7d152302f276f0054f99ca26f9f1646d8c760ca7cb.jpg)
시술 전(25.01.06) / 후(25.01.30)
해당 사진은 환자분의 동의를 얻어 기재하였으며,
개인에 따라 부작용이 발생할 수 있으므로
담당 의료진과 상담 후 진료를 진행하시길 바랍니다.
치아 벌어짐 교정을 마친 후,
밝게 웃을 때마다 사이의 틈새가 보이지 않고,
깨끗한 색상 덕분에 훨씬 생기 있고
젊은 이미지를 주게 되었다고 좋아하셨는데요.
주변 친구들과 가족들로부터
"표정이 훨씬 자연스럽고 부드러워졌다",
"웃는 모습이 정말 멋있다"라는
칭찬을 많이 들었다고 하셨습니다.
면접 준비로 심리적 부담이 컸던 시기에,
치아 개선이 큰 자신감으로 이어진 것이죠.
저희는 환자분이 앞으로 어떤 자리에서도
웃음을 잃지 않고, 당당히 본인을
어필할 수 있기를 진심으로 응원합니다.
건강한 치아와 자신 있는 미소는
단순히 외모를 위한 것이 아니라,
삶 전체를 더 긍정적으로
변화시킬 수 있는 중요한 열쇠이죠.
![면접 준비의 완성, 치아 벌어짐 교정 [+치료 사례 포함] 관련 이미지 12](https://pub-9f2bb3498faf4d1d8714b41df24753e3.r2.dev/content/clinics/archive/vanitalwc5/naver_blog/nest11561/assets/by_hash/ef4b430e310722c966b5c7da53e90b991670b37e0a9e8ce16332fe2f60f32276.jpg)
메이크치과는 바쁜 여러분들을 위한
화요일, 목요일 야간진료를 진행하고 있습니다.
메이크치과는 환자분들의
꿈과 미래를 함께 응원하며
치료 그 이상의 가치를 전달하고자 합니다.
저 역시 이번 치아 벌어짐 교정 사례를 통해
단순한 심미 치료를 넘어
새로운 미래를 준비하는 마음을
함께 느낄 수 있었던 기회였는데요.
사이 벌어짐이나 변색으로 고민하고 계신다면,
혼자 고민하지 마시고
언제든 편하게 상담 주세요.
취업 준비뿐만 아니라
중요한 순간마다 자신 있게 웃고 싶은
모든 분에게 늘 열려 있습니다.
앞으로도 많은 분들이
자신감 있는 미소를 되찾을 수 있도록,
늘 따뜻한 마음으로 진료하겠습니다.
감사합니다.
![면접 준비의 완성, 치아 벌어짐 교정 [+치료 사례 포함] 관련 이미지 13](https://pub-9f2bb3498faf4d1d8714b41df24753e3.r2.dev/content/clinics/archive/vanitalwc5/naver_blog/nest11561/assets/by_hash/3721cd570286f11a51941a15068f4da6107d5c872c6a586b493a02aa294df448.png)
![면접 준비의 완성, 치아 벌어짐 교정 [+치료 사례 포함] 관련 이미지 14](https://pub-9f2bb3498faf4d1d8714b41df24753e3.r2.dev/content/clinics/archive/vanitalwc5/naver_blog/nest11561/assets/by_hash/a3465f9715f538e371003c6cfdbb99e7e835eb0153a013f015a6a69ed19078a0.jpg)
![면접 준비의 완성, 치아 벌어짐 교정 [+치료 사례 포함] 관련 이미지 15](https://pub-9f2bb3498faf4d1d8714b41df24753e3.r2.dev/content/clinics/archive/vanitalwc5/naver_blog/nest11561/assets/by_hash/c25e329fd4d1a6558c43f67c7da2bfe1be3660a486f50cdd61dc676a2a1f1022.jpg)
![면접 준비의 완성, 치아 벌어짐 교정 [+치료 사례 포함] 관련 이미지 16](https://pub-9f2bb3498faf4d1d8714b41df24753e3.r2.dev/content/clinics/archive/vanitalwc5/naver_blog/nest11561/assets/by_hash/87ee0c448022c8181f3886ab8b89c4ad7f917f1e221b21d4d6cd47ee7e1195d4.jpg)
![면접 준비의 완성, 치아 벌어짐 교정 [+치료 사례 포함] 관련 이미지 17](https://pub-9f2bb3498faf4d1d8714b41df24753e3.r2.dev/content/clinics/archive/vanitalwc5/naver_blog/nest11561/assets/by_hash/8cc26bc520710d80b26a62cf185f72266e7715f16cbc244d2f9f0ccff9542d70.jpg)
![면접 준비의 완성, 치아 벌어짐 교정 [+치료 사례 포함] 관련 이미지 18](https://pub-9f2bb3498faf4d1d8714b41df24753e3.r2.dev/content/clinics/archive/vanitalwc5/naver_blog/nest11561/assets/by_hash/ec93a14a7f26ca8e2c298b3b86a8acea2863d22e91d7494b32d2d7ce5802fe7c.jpg)
![면접 준비의 완성, 치아 벌어짐 교정 [+치료 사례 포함] 관련 이미지 19](https://pub-9f2bb3498faf4d1d8714b41df24753e3.r2.dev/content/clinics/archive/vanitalwc5/naver_blog/nest11561/assets/by_hash/7368de1c38dcdaf3c8d3cb1cc03ebf86a2fc0b3d36bb04c75fcc3895b362737d.jpg)
![면접 준비의 완성, 치아 벌어짐 교정 [+치료 사례 포함] 관련 이미지 20](https://pub-9f2bb3498faf4d1d8714b41df24753e3.r2.dev/content/clinics/archive/vanitalwc5/naver_blog/nest11561/assets/by_hash/9f862411bdb8056d54636ccc1217403001ae70430dcb7f9861078c79f60a5ef4.jpg)
![면접 준비의 완성, 치아 벌어짐 교정 [+치료 사례 포함] 관련 이미지 21](https://pub-9f2bb3498faf4d1d8714b41df24753e3.r2.dev/content/clinics/archive/vanitalwc5/naver_blog/nest11561/assets/by_hash/67dbb451e7fb0a1680a8cbd870bf24cc18831a822525aae2df9a1d53acae3a68.jpg)
![면접 준비의 완성, 치아 벌어짐 교정 [+치료 사례 포함] 관련 이미지 22](https://pub-9f2bb3498faf4d1d8714b41df24753e3.r2.dev/content/clinics/archive/vanitalwc5/naver_blog/nest11561/assets/by_hash/e26c872960bf6b77146cfcb15b48954e44064730fb46a7faa2d783e9d0fc5776.jpg)
![면접 준비의 완성, 치아 벌어짐 교정 [+치료 사례 포함] 관련 이미지 23](https://pub-9f2bb3498faf4d1d8714b41df24753e3.r2.dev/content/clinics/archive/vanitalwc5/naver_blog/nest11561/assets/by_hash/6a0913bdae5a493e035c30ba6aaf2f67f5988008b355d9b449f53220c785399f.jpg)
![면접 준비의 완성, 치아 벌어짐 교정 [+치료 사례 포함] 관련 이미지 24](https://pub-9f2bb3498faf4d1d8714b41df24753e3.r2.dev/content/clinics/archive/vanitalwc5/naver_blog/nest11561/assets/by_hash/2be1dec07db08462657a3ec6867f13ce07f709806bc39f329e925f82c3129d10.jpg)
![면접 준비의 완성, 치아 벌어짐 교정 [+치료 사례 포함] 관련 이미지 25](https://pub-9f2bb3498faf4d1d8714b41df24753e3.r2.dev/content/clinics/archive/vanitalwc5/naver_blog/nest11561/assets/by_hash/854ffa35a2198ca98e1e33f740e0012b4c9e5a17e335197ada8220d1051b8763.jpg)
![면접 준비의 완성, 치아 벌어짐 교정 [+치료 사례 포함] 관련 이미지 26](https://pub-9f2bb3498faf4d1d8714b41df24753e3.r2.dev/content/clinics/archive/vanitalwc5/naver_blog/nest11561/assets/by_hash/64dfae3eeb9071594a4dc5b4699d51df8fb43748687bed66e8c98ed4a48632f8.jpg)
![면접 준비의 완성, 치아 벌어짐 교정 [+치료 사례 포함] 관련 이미지 27](https://pub-9f2bb3498faf4d1d8714b41df24753e3.r2.dev/content/clinics/archive/vanitalwc5/naver_blog/nest11561/assets/by_hash/ea93b4efbcb77763d99ce743bc8fb87ae441f7826ee245fad6650ab224e3df07.jpg)
![면접 준비의 완성, 치아 벌어짐 교정 [+치료 사례 포함] 관련 이미지 28](https://pub-9f2bb3498faf4d1d8714b41df24753e3.r2.dev/content/clinics/archive/vanitalwc5/naver_blog/nest11561/assets/by_hash/c56cbbda990b78e517fa64271a3b014868aa73953f0df726e3d4ea9d34ef8999.jpg)
![면접 준비의 완성, 치아 벌어짐 교정 [+치료 사례 포함] 관련 이미지 29](https://pub-9f2bb3498faf4d1d8714b41df24753e3.r2.dev/content/clinics/archive/vanitalwc5/naver_blog/nest11561/assets/by_hash/f52b3aa44cfe66d0531eb96b403606c5f18ff751ecbbd615e96640c64410b240.jpg)