아카이브 요약
이 페이지의 역할
메이크치과의원의 네이버 블로그 원문을 보존한 아카이브 페이지입니다. 라미네이트 카테고리의 치아 파절 치료하고 다시 웃을 수 있을까요? [+치료 사례 포함] 글을 통해 병원의 한국어 정보 제공 방식과 진료 관련 안내 톤을 확인할 수 있습니다.
원문 검증
필요하면 원문 블로그와 병원 프로필로 바로 이동해 문맥을 다시 확인할 수 있습니다.
출처 아카이브 열기아카이브된 블로그 글
메이크치과의원 · 메이크치과의원ㅣ라미네이트,심미치료에 진심인 치과
치아 파절 치료, 생각보다 흔한 문제입니다. 안녕하세요. 메이크치과의원 대표원장 안영석입니다. 한 환자분이 조심스럽게 내원하셨습니다. “선생님, 앞니가 조금 깨진 것 같아요. 별일 아니겠죠?” 걱정이 묻어나는 목소리였죠. 사실 파절은 의외로 흔히 발생합니다. 단단한 음식을 먹다가, 예상...
게시일
2025년 9월 8일
원문 기준으로 확인된 발행일입니다.
카테고리
라미네이트
원문 블로그 카테고리를 정리해 함께 표시합니다.
이미지 수
35
현재 아카이브에 연결된 이미지 수입니다.
아카이브 요약
메이크치과의원의 네이버 블로그 원문을 보존한 아카이브 페이지입니다. 라미네이트 카테고리의 치아 파절 치료하고 다시 웃을 수 있을까요? [+치료 사례 포함] 글을 통해 병원의 한국어 정보 제공 방식과 진료 관련 안내 톤을 확인할 수 있습니다.
원문 검증
필요하면 원문 블로그와 병원 프로필로 바로 이동해 문맥을 다시 확인할 수 있습니다.
출처 아카이브 열기![치아 파절 치료하고 다시 웃을 수 있을까요? [+치료 사례 포함] 관련 이미지 1](https://pub-9f2bb3498faf4d1d8714b41df24753e3.r2.dev/content/clinics/archive/vanitalwc5/naver_blog/nest11561/assets/by_hash/27bd69ff7384a681c60ba17e5e8b8c4c9d96a973b31fef3c643d38f241025d4f.jpg)
안녕하세요.
메이크치과의원 대표원장 안영석입니다.
한 환자분이 조심스럽게 내원하셨습니다.
“선생님, 앞니가 조금 깨진 것 같아요.
별일 아니겠죠?” 걱정이 묻어나는 목소리였죠.
사실 파절은 의외로 흔히 발생합니다.
단단한 음식을 먹다가, 예상치 못한 충격을
받으면서 생기기도 하였는데요.
겉보기엔 사소해 보여도
파절된 부위가 점점 깊어지면
시린 증상이나 통증으로 이어질 수 있죠.
![치아 파절 치료하고 다시 웃을 수 있을까요? [+치료 사례 포함] 관련 이미지 2](https://pub-9f2bb3498faf4d1d8714b41df24753e3.r2.dev/content/clinics/archive/vanitalwc5/naver_blog/nest11561/assets/by_hash/4bbabdeef3e8736329c64bb834879075d40d1ee78e72de015e39e94f0a656666.jpg)
단순한 치아 미백이나 교정이 아닌,
당신만의 자연스러운 아름다움을 디자인합니다.
이 환자분도 처음엔 대수롭지 않게 생각했지만,
어느 순간부터 찌릿한 통증이 반복되자
불안해지셨다고 하였는데요.
치아는 피부처럼 스스로 재생되지 않기 때문에
손상이 있으면 반드시 치료가 필요합니다.
실제로 이런 초기 파절 환자분들을 자주 보는데,
빠르게 치아 파절 치료한 경우와 방치하다
큰 손상을 입은 경우의 차이는 아주 큽니다.
초기에 개입하면 삭제도 최소화할 수 있고,
기능과 심미성도 자연스럽게 복원할 수 있었죠.
![치아 파절 치료하고 다시 웃을 수 있을까요? [+치료 사례 포함] 관련 이미지 3](https://pub-9f2bb3498faf4d1d8714b41df24753e3.r2.dev/content/clinics/archive/vanitalwc5/naver_blog/nest11561/assets/by_hash/5a5d431dd92a93ff7208474bd20557473726d17a2dd68c37ae08878c1d01e3d0.jpg)
먼저, 환자분께 현재 상태를 눈으로 직접
확인할 수 있게 해드리고 싶었습니다.
그래서 메이크치과의 3D 안면 스캔과
구강 스캔 장비를 활용하였는데요.
RAYFace로 안면 전체를 촬영해
미소와 얼굴형의 조화를 확인하고,
Trios 5 구강 스캐너로 파절 부위의
위치와 손상 깊이를 정밀하게 분석했죠.
삭제가 필요한지, 어느 정도 범위까지
치료가 이뤄질지 시각적으로 설명해 드리니
긴장된 마음이 한결 누그러진 모습이었습니다.
![치아 파절 치료하고 다시 웃을 수 있을까요? [+치료 사례 포함] 관련 이미지 4](https://pub-9f2bb3498faf4d1d8714b41df24753e3.r2.dev/content/clinics/archive/vanitalwc5/naver_blog/nest11561/assets/by_hash/29c0ba5577cb9159daac790a6d94efe8997a2e58f2c6362d415ec9ec0efaaf94.jpg)
메이크치과는 무분별한 치아 삭제로 고통받는 환자가
더 이상 없기를 바라는 마음으로 시작되었습니다.
환자분이 원하시는 색, 모양,
자연스러움에 대한 이야기를 충분히 나누고,
그 요구를 토대로 시술 설계를 진행하게 됩니다.
저는 디지털 CAD 시스템을 활용해
형태와 색상, 크기를 세밀하게 조율하며,
전체적인 조화를 고려해 디자인을 완성합니다.
특히 환자분의 얼굴형과
웃을 때 드러나는 치아 비율,
입술 곡선까지 세심하게 반영해
보다 이상적인 결과를 만들 수 있도록 하죠.
실제 시뮬레이션 결과를 확인하신
환자분께서는 “이렇게 되면 인상이
훨씬 부드러워지겠어요”라며
만족스러운 반응을 보여주셨습니다.
![치아 파절 치료하고 다시 웃을 수 있을까요? [+치료 사례 포함] 관련 이미지 5](https://pub-9f2bb3498faf4d1d8714b41df24753e3.r2.dev/content/clinics/archive/vanitalwc5/naver_blog/nest11561/assets/by_hash/2c036cf40e0fd0abf01975a8455c7b0f77aaaf3f0b13f74ae66ec4d18f4489e6.jpg)
환자분께서도 “치아를 너무 많이
삭제하고 싶진 않다”라고 하셨는데,
저 역시 같은 생각입니다.
그래서 저는 삭제량을 0.001mm 단위로
계산해 정말 필요한 만큼만 삭제합니다.
경우에 따라 선교정을 먼저 진행하고,
그다음 라미네이트로 마무리하기도 하였는데요.
이런 접근이 건강을 지키면서도
심미적인 결과를 얻는 합리적인 방법이죠.
실제로 삭제를 줄이면
신경 손상이나 시린 증상을 예방할 수 있어
시술 후 만족도가 훨씬 높았습니다.
저는 언제나 ‘치아를 지킨다’는 원칙에 따라,
부담을 최소화하면서
보존적인 방법을 우선으로 생각합니다.
![치아 파절 치료하고 다시 웃을 수 있을까요? [+치료 사례 포함] 관련 이미지 6](https://pub-9f2bb3498faf4d1d8714b41df24753e3.r2.dev/content/clinics/archive/vanitalwc5/naver_blog/nest11561/assets/by_hash/847ab78facc74bc7a3a26a4ec308363ec34b2477ca791477016061083cc101cb.jpg)
단순히 가격만 비교하지 마세요.
어떤 철학과 기술력으로 치료하는지가 중요합니다.
원내 상주하는 뉴욕 CREO LAB 출신 기공사가
직접 세라믹을 정밀하게 가공하며,
하이엔드 글래스 세라믹 소재를 사용해
자연치아와 가까운 투명도와 색감을 구현합니다.
이 과정에서 환자분의 얼굴형,
색상, 표면 질감까지 세심하게 반영하기 때문에
최종 결과물이 매우 자연스러운데요.
실제로 제작 과정을 보여드리면
“이게 제 치아가 될 거라고요?”라며
놀라시는 경우도 많았습니다.
또한 여러 색상과 광택 옵션 중에서 환자분과
함께 상의해 최종 색상을 결정하기 때문에,
시술 후에도 자연스럽고 편안한 미소를
지으실 수 있습니다.
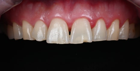
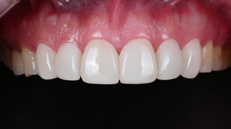
![치아 파절 치료하고 다시 웃을 수 있을까요? [+치료 사례 포함] 관련 이미지 7](https://pub-9f2bb3498faf4d1d8714b41df24753e3.r2.dev/content/clinics/archive/vanitalwc5/naver_blog/nest11561/assets/by_hash/b4f11ee85779c43d68b089ec7a71d9a2bf29bc9184551dab8d5904410daf6664.jpg)
![치아 파절 치료하고 다시 웃을 수 있을까요? [+치료 사례 포함] 관련 이미지 8](https://pub-9f2bb3498faf4d1d8714b41df24753e3.r2.dev/content/clinics/archive/vanitalwc5/naver_blog/nest11561/assets/by_hash/30ffe683be400116f7857d2ff7b27e9c1dd5bc5c61101f421e006fbf6ae4f151.jpg)
시술 전(25.02.01) / 후(25.03.15)
해당 사진은 환자분의 동의를 얻어 기재하였으며,
개인에 따라 부작용이 발생할 수 있으므로
담당 의료진과 상담 후 진료를 진행하시길 바랍니다.
치아 파절 치료가 끝난 뒤 환자분께
치료 전후 모습을 사진으로 보여드렸습니다.
처음에는 깨져 보이던 앞니가 자연스럽게
복원되고 환하게 웃는 모습이 화면에 담기자,
환자분의 표정이 한층 밝아졌습니다.
이제는 환하게 웃으시며
“와, 진짜 마음 편하게 웃을 수 있네요!”라고
말씀하셨죠.
또한, 기능적으로도 음식 씹는 데
불편함이 사라져,
일상생활이 훨씬 편해졌다고 하셨는데요.
치료 결과를 보며 만족해하시는 그 순간,
의료진으로서 가장 큰 보람을 느낍니다.
단순히 치아 하나를 고친 것이 아니라,
환자분의 삶의 질까지 높였다는 사실이
참 기쁘게 느껴졌죠.
![치아 파절 치료하고 다시 웃을 수 있을까요? [+치료 사례 포함] 관련 이미지 9](https://pub-9f2bb3498faf4d1d8714b41df24753e3.r2.dev/content/clinics/archive/vanitalwc5/naver_blog/nest11561/assets/by_hash/cd927cb5935cc22fa5ac932927ecc8e46b381e01a3c37567dad5f9f5e3c60d49.jpg)
최근 무리한 시술로 치아와 잇몸에 부담을 주어
불편을 겪는 환자분들이 늘고 있어,
저는 언제나 신중하게 접근하며 환자분의
치아 건강을 가장 중요하게 생각합니다.
디지털 스마일 디자인, 정밀 삭제 가이드,
체계적인 진료 시스템, 세라믹 맞춤 제작 등
모든 과정이 환자 한 분 한 분의
안전과 만족을 위해 조화롭게 연결되어 있죠.
또한 쉐이드 매칭 솔루션을 활용해 얼굴과
자연스럽게 어울리는 색상까지 구현합니다.
![치아 파절 치료하고 다시 웃을 수 있을까요? [+치료 사례 포함] 관련 이미지 10](https://pub-9f2bb3498faf4d1d8714b41df24753e3.r2.dev/content/clinics/archive/vanitalwc5/naver_blog/nest11561/assets/by_hash/4d885614cfeecd564b3d897dbd5ec875c159a5396c66820828bfd54387d11549.jpg)
메이크치과는 과정을 중시합니다.
정밀한 진단과 디자인이 완벽한 결과를 만듭니다.
저희의 목표는 그저 예쁜 치아를 만드는 것이
아니라, 환자분의 일상 속에서 자연스럽게
어울리는 미소를 완성하는 것입니다.
실제로 많은 분들이 “치아 파절 치료 후
시간이 지나도 오랫동안 만족스러워요”라고
말씀하시는데, 이는 처음부터 건강과 기능까지
세심하게 고려해 설계했기 때문입니다.
또한 치료 과정 전반을 환자분과 공유하며,
충분히 이해하고 참여하실 수 있도록 도와
결과에 대한 만족감과 신뢰를 높이고 있습니다.
이런 세심함이 바로
메이크치과만의 가장 큰 차별점입니다.
![치아 파절 치료하고 다시 웃을 수 있을까요? [+치료 사례 포함] 관련 이미지 11](https://pub-9f2bb3498faf4d1d8714b41df24753e3.r2.dev/content/clinics/archive/vanitalwc5/naver_blog/nest11561/assets/by_hash/2a5be2aa55907a5831c65725c4fb4acea83cbdcade082a4ed240bc705dbdfa49.jpg)
오래도록 건강하고 아름답게,
메이크치과는 라미네이트의 수명까지 생각합니다.
혹시 치아 파절 치료로 고민하고 계신다면
혼자 걱정하지 마시고
편하게 상담받아 보시길 권합니다.
치료가 정말 필요한 상황인지,
어떤 방법이 가장 적합한지 하나하나
충분히 설명해 드리니 마음 편히 문의해 주세요.
새로운 미소를 준비하는 첫걸음,
저희가 함께하겠습니다.
저는 한 분 한 분의 이야기를 소중히 듣고,
가장 알맞은 솔루션을 드리기 위해
늘 고민합니다.
치아 건강을 지키면서도
자연스럽고 아름다운 결과를 만드는 것,
그것이 저희 메이크치과가 가장 잘하는 일입니다.
감사합니다.
![치아 파절 치료하고 다시 웃을 수 있을까요? [+치료 사례 포함] 관련 이미지 12](https://pub-9f2bb3498faf4d1d8714b41df24753e3.r2.dev/content/clinics/archive/vanitalwc5/naver_blog/nest11561/assets/by_hash/22070291ad99ac905fbff928b7d69ef816ed5c624ec00c740e9e888ac327df88.png)
![치아 파절 치료하고 다시 웃을 수 있을까요? [+치료 사례 포함] 관련 이미지 13](https://pub-9f2bb3498faf4d1d8714b41df24753e3.r2.dev/content/clinics/archive/vanitalwc5/naver_blog/nest11561/assets/by_hash/ea574d3fba9258a7dc66f0f8e98b3b6a20e3c32684ed9c8fd74d4820873f194e.jpg)
![치아 파절 치료하고 다시 웃을 수 있을까요? [+치료 사례 포함] 관련 이미지 14](https://pub-9f2bb3498faf4d1d8714b41df24753e3.r2.dev/content/clinics/archive/vanitalwc5/naver_blog/nest11561/assets/by_hash/ab4aa601bb81af24e91333f317f883eef8b22279ce9bd90980679627d7b87813.jpg)
![치아 파절 치료하고 다시 웃을 수 있을까요? [+치료 사례 포함] 관련 이미지 15](https://pub-9f2bb3498faf4d1d8714b41df24753e3.r2.dev/content/clinics/archive/vanitalwc5/naver_blog/nest11561/assets/by_hash/df9e0c7e5e7e09076f86f3126dd0be79b0e1da7cb7d1080053eb101887e3efd0.jpg)
![치아 파절 치료하고 다시 웃을 수 있을까요? [+치료 사례 포함] 관련 이미지 16](https://pub-9f2bb3498faf4d1d8714b41df24753e3.r2.dev/content/clinics/archive/vanitalwc5/naver_blog/nest11561/assets/by_hash/21ced0e0a885e1b31fa7d091f82ebc60b90cfe116bafeae4881d005f1078dc4f.jpg)
![치아 파절 치료하고 다시 웃을 수 있을까요? [+치료 사례 포함] 관련 이미지 17](https://pub-9f2bb3498faf4d1d8714b41df24753e3.r2.dev/content/clinics/archive/vanitalwc5/naver_blog/nest11561/assets/by_hash/d9e85b49b9729188f15dca5db706aa310eae1674b9b4dacf1b27fa3803450c7f.jpg)
Previous image Next image
![치아 파절 치료하고 다시 웃을 수 있을까요? [+치료 사례 포함] 관련 이미지 18](https://pub-9f2bb3498faf4d1d8714b41df24753e3.r2.dev/content/clinics/archive/vanitalwc5/naver_blog/nest11561/assets/by_hash/cf08425e78a3afafe69694497755f7d2537dbe272aa1cb1c6f487b95b7e267f6.jpg)
![치아 파절 치료하고 다시 웃을 수 있을까요? [+치료 사례 포함] 관련 이미지 19](https://pub-9f2bb3498faf4d1d8714b41df24753e3.r2.dev/content/clinics/archive/vanitalwc5/naver_blog/nest11561/assets/by_hash/55ac82cb835db524c9bd3648ed68025548e4d33c4d09b32fd80368e4ada25109.jpg)
![치아 파절 치료하고 다시 웃을 수 있을까요? [+치료 사례 포함] 관련 이미지 20](https://pub-9f2bb3498faf4d1d8714b41df24753e3.r2.dev/content/clinics/archive/vanitalwc5/naver_blog/nest11561/assets/by_hash/b3a5b2e2ebd0b1406e6b4628810a5f6576e4f70f3acb864f034a22a476727a7c.jpg)
![치아 파절 치료하고 다시 웃을 수 있을까요? [+치료 사례 포함] 관련 이미지 21](https://pub-9f2bb3498faf4d1d8714b41df24753e3.r2.dev/content/clinics/archive/vanitalwc5/naver_blog/nest11561/assets/by_hash/5e7c3f3a76c95907ac4ca4e50e5731d597813c26e73a4915560ccb10a0841267.jpg)
![치아 파절 치료하고 다시 웃을 수 있을까요? [+치료 사례 포함] 관련 이미지 22](https://pub-9f2bb3498faf4d1d8714b41df24753e3.r2.dev/content/clinics/archive/vanitalwc5/naver_blog/nest11561/assets/by_hash/f4e773ba8b0335129fac54992378d611ac1a8ec5be37850032e094e044ca4535.jpg)
![치아 파절 치료하고 다시 웃을 수 있을까요? [+치료 사례 포함] 관련 이미지 23](https://pub-9f2bb3498faf4d1d8714b41df24753e3.r2.dev/content/clinics/archive/vanitalwc5/naver_blog/nest11561/assets/by_hash/123f94dbe8acd18f2a36505d341fbebde286536d23af5d6a807a5112d0d8c1ec.jpg)
![치아 파절 치료하고 다시 웃을 수 있을까요? [+치료 사례 포함] 관련 이미지 24](https://pub-9f2bb3498faf4d1d8714b41df24753e3.r2.dev/content/clinics/archive/vanitalwc5/naver_blog/nest11561/assets/by_hash/92c9d93c6d97a21c87a57bcbc85c8b5dd4446830479f86e8e58ec0034698fe4d.jpg)
![치아 파절 치료하고 다시 웃을 수 있을까요? [+치료 사례 포함] 관련 이미지 25](https://pub-9f2bb3498faf4d1d8714b41df24753e3.r2.dev/content/clinics/archive/vanitalwc5/naver_blog/nest11561/assets/by_hash/b32bc22a785be1ae2a5919eb1634b29b2b5a6299330a968690945918a87edc4b.jpg)
![치아 파절 치료하고 다시 웃을 수 있을까요? [+치료 사례 포함] 관련 이미지 26](https://pub-9f2bb3498faf4d1d8714b41df24753e3.r2.dev/content/clinics/archive/vanitalwc5/naver_blog/nest11561/assets/by_hash/0cacb2329c3f8b1ab69b5763d665777d015f85f5c8d4dbc7f81c11b15e47508e.jpg)
Previous image Next image
![치아 파절 치료하고 다시 웃을 수 있을까요? [+치료 사례 포함] 관련 이미지 27](https://pub-9f2bb3498faf4d1d8714b41df24753e3.r2.dev/content/clinics/archive/vanitalwc5/naver_blog/nest11561/assets/by_hash/cf08425e78a3afafe69694497755f7d2537dbe272aa1cb1c6f487b95b7e267f6.jpg)
![치아 파절 치료하고 다시 웃을 수 있을까요? [+치료 사례 포함] 관련 이미지 28](https://pub-9f2bb3498faf4d1d8714b41df24753e3.r2.dev/content/clinics/archive/vanitalwc5/naver_blog/nest11561/assets/by_hash/55ac82cb835db524c9bd3648ed68025548e4d33c4d09b32fd80368e4ada25109.jpg)
![치아 파절 치료하고 다시 웃을 수 있을까요? [+치료 사례 포함] 관련 이미지 29](https://pub-9f2bb3498faf4d1d8714b41df24753e3.r2.dev/content/clinics/archive/vanitalwc5/naver_blog/nest11561/assets/by_hash/b3a5b2e2ebd0b1406e6b4628810a5f6576e4f70f3acb864f034a22a476727a7c.jpg)
![치아 파절 치료하고 다시 웃을 수 있을까요? [+치료 사례 포함] 관련 이미지 30](https://pub-9f2bb3498faf4d1d8714b41df24753e3.r2.dev/content/clinics/archive/vanitalwc5/naver_blog/nest11561/assets/by_hash/5e7c3f3a76c95907ac4ca4e50e5731d597813c26e73a4915560ccb10a0841267.jpg)
![치아 파절 치료하고 다시 웃을 수 있을까요? [+치료 사례 포함] 관련 이미지 31](https://pub-9f2bb3498faf4d1d8714b41df24753e3.r2.dev/content/clinics/archive/vanitalwc5/naver_blog/nest11561/assets/by_hash/f4e773ba8b0335129fac54992378d611ac1a8ec5be37850032e094e044ca4535.jpg)
![치아 파절 치료하고 다시 웃을 수 있을까요? [+치료 사례 포함] 관련 이미지 32](https://pub-9f2bb3498faf4d1d8714b41df24753e3.r2.dev/content/clinics/archive/vanitalwc5/naver_blog/nest11561/assets/by_hash/123f94dbe8acd18f2a36505d341fbebde286536d23af5d6a807a5112d0d8c1ec.jpg)
![치아 파절 치료하고 다시 웃을 수 있을까요? [+치료 사례 포함] 관련 이미지 33](https://pub-9f2bb3498faf4d1d8714b41df24753e3.r2.dev/content/clinics/archive/vanitalwc5/naver_blog/nest11561/assets/by_hash/92c9d93c6d97a21c87a57bcbc85c8b5dd4446830479f86e8e58ec0034698fe4d.jpg)
![치아 파절 치료하고 다시 웃을 수 있을까요? [+치료 사례 포함] 관련 이미지 34](https://pub-9f2bb3498faf4d1d8714b41df24753e3.r2.dev/content/clinics/archive/vanitalwc5/naver_blog/nest11561/assets/by_hash/b32bc22a785be1ae2a5919eb1634b29b2b5a6299330a968690945918a87edc4b.jpg)
![치아 파절 치료하고 다시 웃을 수 있을까요? [+치료 사례 포함] 관련 이미지 35](https://pub-9f2bb3498faf4d1d8714b41df24753e3.r2.dev/content/clinics/archive/vanitalwc5/naver_blog/nest11561/assets/by_hash/0cacb2329c3f8b1ab69b5763d665777d015f85f5c8d4dbc7f81c11b15e47508e.jpg)
Previous image Next image