아카이브 요약
이 페이지의 역할
메이크치과의원의 네이버 블로그 원문을 보존한 아카이브 페이지입니다. 라미네이트 카테고리의 치아마모증 치료, 더 늦어지면 후회할 수밖에 없습니다 [+치료 사례 포함] 글을 통해 병원의 한국어 정보 제공 방식과 진료 관련 안내 톤을 확인할 수 있습니다.
원문 검증
필요하면 원문 블로그와 병원 프로필로 바로 이동해 문맥을 다시 확인할 수 있습니다.
출처 아카이브 열기아카이브된 블로그 글
메이크치과의원 · 메이크치과의원ㅣ라미네이트,심미치료에 진심인 치과
점점 닳아가는 치아, 그냥 두어도 괜찮을까요? 안녕하세요. 메이크치과의원 대표원장 안영석입니다. 요즘 들어 치아가 점점 짧아지는 것 같아요. 웃을 때도 뭔가 이상해 보이고, 씹을 때는 시린 느낌이 자주 들거든요. 치아가 닳아가는 모습을 직접 느끼면 그 불안감은 말로 다 표현하기 어렵습니다. 사실 마모...
게시일
2025년 9월 9일
원문 기준으로 확인된 발행일입니다.
카테고리
라미네이트
원문 블로그 카테고리를 정리해 함께 표시합니다.
이미지 수
32
현재 아카이브에 연결된 이미지 수입니다.
아카이브 요약
메이크치과의원의 네이버 블로그 원문을 보존한 아카이브 페이지입니다. 라미네이트 카테고리의 치아마모증 치료, 더 늦어지면 후회할 수밖에 없습니다 [+치료 사례 포함] 글을 통해 병원의 한국어 정보 제공 방식과 진료 관련 안내 톤을 확인할 수 있습니다.
원문 검증
필요하면 원문 블로그와 병원 프로필로 바로 이동해 문맥을 다시 확인할 수 있습니다.
출처 아카이브 열기![치아마모증 치료, 더 늦어지면 후회할 수밖에 없습니다 [+치료 사례 포함] 관련 이미지 1](https://pub-9f2bb3498faf4d1d8714b41df24753e3.r2.dev/content/clinics/archive/vanitalwc5/naver_blog/nest11561/assets/by_hash/976f86dd34d069ad48d612648f79126c88744e2e3b55af4baa1b567a69eaa264.jpg)
안녕하세요.
메이크치과의원 대표원장 안영석입니다.
요즘 들어 치아가 점점 짧아지는 것 같아요.
웃을 때도 뭔가 이상해 보이고,
씹을 때는 시린 느낌이 자주 들거든요.
치아가 닳아가는 모습을 직접 느끼면
그 불안감은 말로 다 표현하기 어렵습니다.
사실 마모는 눈에 띄게 급격히 진행되지
않기 때문에, 초반에는 대수롭지 않게
여기시는 경우가 많습니다.
하지만 서서히 진행되는 만큼,
어느 순간 불편감이 크게 느껴져서
치과를 찾게 되는 경우가 많죠.
![치아마모증 치료, 더 늦어지면 후회할 수밖에 없습니다 [+치료 사례 포함] 관련 이미지 2](https://pub-9f2bb3498faf4d1d8714b41df24753e3.r2.dev/content/clinics/archive/vanitalwc5/naver_blog/nest11561/assets/by_hash/1c6b90fa972194557e3897a66210757bbdb53313a7bee5cad908c2ba9ab4e73c.jpg)
메이크치과의 라미네이트는 덜어내는 것이 아니라,
아름다움을 더하는 과정입니다.
오늘 소개해 드릴 사례의 환자분도
치아 높이가 낮아지면서 미소가 예전 같지 않고,
음식을 씹을 때 힘이 잘 실리지 않는 느낌 때문에
걱정이 커졌다고 말씀하셨습니다.
그래서 저는
“치아가 닳는 것은 자연스러운
노화 과정이기도 하지만, 원인에 따라
더 빠르게 진행될 수도 있습니다.
중요한 것은 지금 상태를 정확히 파악하고,
더 나빠지기 전에 올바른 치아마모증
치료 방법을 찾는 것”이라고 조언해 드렸죠.
![치아마모증 치료, 더 늦어지면 후회할 수밖에 없습니다 [+치료 사례 포함] 관련 이미지 3](https://pub-9f2bb3498faf4d1d8714b41df24753e3.r2.dev/content/clinics/archive/vanitalwc5/naver_blog/nest11561/assets/by_hash/26eb38ae84afa16030d5664ae2065b6eabfdf8dccaac6487a17f34f05cd1150f.jpg)
라미네이트, 누가 어떻게 하느냐에 따라
결과는 하늘과 땅 차이입니다.
치아가 닳는 데는 여러 가지 원인이 있습니다.
가장 흔하게는 이갈이와 같은 습관이
원인이 되기도 하고, 산성이 강한 음식을 자주
섭취하면서 표면이 약해지는 경우도 많습니다.
또한, 단단한 음식을 자주 씹거나
배열이 고르지 않아 특정 부위에 과도한 힘이
가해지는 경우도 마모를 촉진합니다.
환자분의 경우에는 평소 스트레스를 받을 때
무의식적으로 이를 꽉 무는 습관이 있었는데,
이런 반복적인 행동은 에나멜층을 점차 닳게
하고, 결국 길이가 짧아지게 만들었습니다.
심하면 신경까지 노출될 수 있던 상황이었죠.
![치아마모증 치료, 더 늦어지면 후회할 수밖에 없습니다 [+치료 사례 포함] 관련 이미지 4](https://pub-9f2bb3498faf4d1d8714b41df24753e3.r2.dev/content/clinics/archive/vanitalwc5/naver_blog/nest11561/assets/by_hash/9fce7c7b1bf4447edeea90eccb948e01902b0b35fbe6e2d565619c88fc127c6f.jpg)
문제는 한 번 닳은 치아는
자연적으로 회복되지 않는다는 점입니다.
방치하면 씹는 기능과 치아 형태가
점점 손상될 수 있죠.
게다가 높이가 낮아지면 턱관절에도
영향을 주고, 얼굴 하관 길이가 짧아지면서
노안처럼 보일 수도 있습니다.
이렇듯 치아마모증 치료는
치아 문제를 넘어, 전체적인 구강 건강과
얼굴의 심미성까지 연결되는 중요한 문제입니다.
![치아마모증 치료, 더 늦어지면 후회할 수밖에 없습니다 [+치료 사례 포함] 관련 이미지 5](https://pub-9f2bb3498faf4d1d8714b41df24753e3.r2.dev/content/clinics/archive/vanitalwc5/naver_blog/nest11561/assets/by_hash/bf476bc2a2a0ecfa0a1f135f7b7e1660fed2906d8b3258ab7ec928854d6f635d.jpg)
메이크치과는 결과뿐 아니라 과정의 만족까지 생각합니다.
3D 구강 스캐너를 활용해 마모 부위와
교합 상태를 세밀하게 분석했고,
안면 스캔을 통해 길이가 얼굴 전체의 조화에
어떤 영향을 미치는지도 함께 살펴봤습니다.
이때, 씹는 힘이 어느 부위에 집중되는지도
데이터로 확인할 수 있었는데,
환자분은 “제 치아가 이렇게까지 닳았는지
몰랐네요.”라며 놀라워하셨죠.
디지털 진단의 가장 큰 장점은 자신의 상태를
바로 시각적으로 확인할 수 있다는 점입니다.
단순히 ‘마모가 있다’는 설명만 듣는 것보다,
화면 속 3D 모습을 보면 치아마모증 치료
필요성을 바로 이해할 수 있습니다.
![치아마모증 치료, 더 늦어지면 후회할 수밖에 없습니다 [+치료 사례 포함] 관련 이미지 6](https://pub-9f2bb3498faf4d1d8714b41df24753e3.r2.dev/content/clinics/archive/vanitalwc5/naver_blog/nest11561/assets/by_hash/b9f1daf35a9c5e5bb200debcacd189251471dbd32c0f80d4cee8ad18399e8d43.jpg)
저는 환자분과 충분히 대화를 나누며
치아마모증 치료 방향을 함께 고민했습니다.
마모된 부위를 덮는 것만이 목표가 아니라,
기능과 심미, 그리고 자연스러움까지
모두 살려야 합니다.
특히 환자분은 예전보다 짧아진 앞니 때문에
인상이 조금 강해 보인다고 하셨기에,
길이를 복원하고 미소선이 자연스럽게
이어지도록 꼼꼼히 신경 썼습니다.
또한 씹는 힘이 고르게 분산되도록
교합 설계도 함께 진행하였는데요.
기능적으로도 문제없고 심미적으로도
만족스러운 결과를 만들기 위해 여러 번의
디자인 미팅과 시뮬레이션을 거쳤습니다.
![치아마모증 치료, 더 늦어지면 후회할 수밖에 없습니다 [+치료 사례 포함] 관련 이미지 7](https://pub-9f2bb3498faf4d1d8714b41df24753e3.r2.dev/content/clinics/archive/vanitalwc5/naver_blog/nest11561/assets/by_hash/1c423c90b55522b1be04bcc6ec2bae7e521f497f12424bc6f7f4791bc2cf38be.gif)
저는 치아 삭제 최소화 원칙을
중요하게 생각합니다.
게다가 환자분의 경우, 치아가 이미 마모로
약해진 상태였기 때문에, 가능한 한 건강한
조직을 최대한 보존하는 것이 필요했습니다.
그래서 삭제량을 0.001mm 단위로 계산하고,
불필요한 삭제를 최소화하며
마모된 표면을 보강하는 방식으로
라미네이트를 설계하였는데요.
세라믹은 자연 치아와 유사한 색상과
투명도를 지녀, 치료 후에도 티 나지 않는
자연스러운 결과를 만들어낼 수 있습니다.
![치아마모증 치료, 더 늦어지면 후회할 수밖에 없습니다 [+치료 사례 포함] 관련 이미지 8](https://pub-9f2bb3498faf4d1d8714b41df24753e3.r2.dev/content/clinics/archive/vanitalwc5/naver_blog/nest11561/assets/by_hash/1abfc6cd77ff8d48ca64a1b950791f5c344d946b10e45f7fac4e891abd71e2fc.jpg)
의료진의 진정성 있는 상담,
당신의 고민에 귀 기울이고 답을 찾아드립니다.
마모의 원인 중 하나가 교합 불균형이기 때문에, 이를 개선하지 않으면
마모가 다시 진행될 수 있습니다.
특히 앞니는 음식 절단과 발음,
미소 라인에도 영향을 주기 때문에,
어금니에서 씹는 힘이 제대로 분산되지 않으면
앞니가 과도하게 닿으며 마모가 심해집니다.
그래서 이번 치료에서는 라미네이트 시술과
함께 교합 조정을 병행했습니다.
교합면을 세밀하게 디자인해
앞니와 어금니에 걸리는 힘이 균형을 이루도록
조정했고, 환자분이 음식을 씹을 때
어느 부분이 먼저 닿는지, 턱관절에 무리가
가지는 않는지도 꼼꼼하게 살폈습니다.
실제로 교합 조정 후에는 씹는 힘이
양쪽으로 고르게 분산되면서,
앞니 마모 진행을 예방하고 턱관절 통증까지
완화되는 효과를 확인할 수 있었죠.
![치아마모증 치료, 더 늦어지면 후회할 수밖에 없습니다 [+치료 사례 포함] 관련 이미지 9](https://pub-9f2bb3498faf4d1d8714b41df24753e3.r2.dev/content/clinics/archive/vanitalwc5/naver_blog/nest11561/assets/by_hash/79dac6f489dbff0614e0e44f54e4fbd8e894e773825da12f7f6742e54ffe7ec0.jpg)
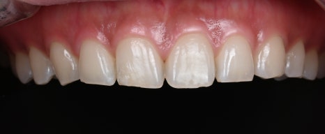
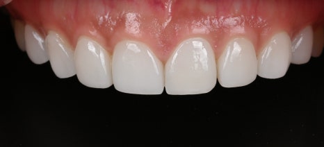
![치아마모증 치료, 더 늦어지면 후회할 수밖에 없습니다 [+치료 사례 포함] 관련 이미지 10](https://pub-9f2bb3498faf4d1d8714b41df24753e3.r2.dev/content/clinics/archive/vanitalwc5/naver_blog/nest11561/assets/by_hash/759fa7d72ba979dc829fde0cb045d1371a2ef2e844f49edc36bba794a4015e9f.jpg)
시술 전(25.01.31) / 후(25.04.03)
해당 사진은 환자분의 동의를 얻어 기재하였으며,
개인에 따라 부작용이 발생할 수 있으므로
담당 의료진과 상담 후 진료를 진행하시길 바랍니다.
치아마모증 치료 결과를 보고
환자분은 놀라움을 감추지 못하셨습니다.
치료 전 짧아지고 닳아 있던 치아는
치료 후 길이와 형태가 복원되어,
훨씬 젊고 건강한 인상으로 바뀌었습니다.
또한 씹는 힘이 균형을 이루면서
음식 섭취 시 불편함도 사라졌다고 하셨죠.
사실 길이와 모양이 달라지면 발음에도
미묘한 차이가 생길 수 있는데, 이번 치료 후
발음이 더욱 또렷해졌다고 말씀하셨습니다.
기능과 심미를 동시에 회복하면서
환자분의 만족도가 매우 높았고,
저희 의료진에게도 의미 있는 순간이었습니다.
![치아마모증 치료, 더 늦어지면 후회할 수밖에 없습니다 [+치료 사례 포함] 관련 이미지 11](https://pub-9f2bb3498faf4d1d8714b41df24753e3.r2.dev/content/clinics/archive/vanitalwc5/naver_blog/nest11561/assets/by_hash/44475995c46dc8257b8dd2fb3dd7c2f7bcad07a3c4b7c6f151cfcae65e883d1d.jpg)
따라서, 치아가 점점 닳아가는 것이
느껴진다면 그냥 두지 마시고 한 번쯤
정밀 진단을 받아보시는 것이 좋습니다.
마모가 진행될수록
길이와 기능 회복이 어려워지기 때문에,
조기 치료가 무엇보다 중요합니다.
저희 메이크치과에서는 한 번의 방문으로
구강 스캔, 교합 분석, 시뮬레이션까지
모두 경험하실 수 있는데요.
건강하고 자연스러운 미소를 되찾으실 수
있도록 제가 함께 도와드리겠습니다.
치아 하나하나의 변화를 세심하게 살피고,
환자분께 가장 적합한 방법으로
치아마모증 치료를 진행하며,
오래도록 편안하고 자신 있는 미소를
유지하실 수 있도록 끝까지 함께 합니다.
감사합니다.
![치아마모증 치료, 더 늦어지면 후회할 수밖에 없습니다 [+치료 사례 포함] 관련 이미지 12](https://pub-9f2bb3498faf4d1d8714b41df24753e3.r2.dev/content/clinics/archive/vanitalwc5/naver_blog/nest11561/assets/by_hash/8d9fda2966af39fc3635807fc67b4c866307e167965baea562ff167447b7f664.png)
![치아마모증 치료, 더 늦어지면 후회할 수밖에 없습니다 [+치료 사례 포함] 관련 이미지 13](https://pub-9f2bb3498faf4d1d8714b41df24753e3.r2.dev/content/clinics/archive/vanitalwc5/naver_blog/nest11561/assets/by_hash/ea574d3fba9258a7dc66f0f8e98b3b6a20e3c32684ed9c8fd74d4820873f194e.jpg)
![치아마모증 치료, 더 늦어지면 후회할 수밖에 없습니다 [+치료 사례 포함] 관련 이미지 14](https://pub-9f2bb3498faf4d1d8714b41df24753e3.r2.dev/content/clinics/archive/vanitalwc5/naver_blog/nest11561/assets/by_hash/ab4aa601bb81af24e91333f317f883eef8b22279ce9bd90980679627d7b87813.jpg)
![치아마모증 치료, 더 늦어지면 후회할 수밖에 없습니다 [+치료 사례 포함] 관련 이미지 15](https://pub-9f2bb3498faf4d1d8714b41df24753e3.r2.dev/content/clinics/archive/vanitalwc5/naver_blog/nest11561/assets/by_hash/b859b261d077fddc6d36617ee59d8bba51dec1b796e5a1b89dfacd6289a54a5c.jpg)
![치아마모증 치료, 더 늦어지면 후회할 수밖에 없습니다 [+치료 사례 포함] 관련 이미지 16](https://pub-9f2bb3498faf4d1d8714b41df24753e3.r2.dev/content/clinics/archive/vanitalwc5/naver_blog/nest11561/assets/by_hash/525b46d1986a4af73d43f29d0fc96e314f2d8d36bb8b2402ce83389f1a207a66.jpg)
![치아마모증 치료, 더 늦어지면 후회할 수밖에 없습니다 [+치료 사례 포함] 관련 이미지 17](https://pub-9f2bb3498faf4d1d8714b41df24753e3.r2.dev/content/clinics/archive/vanitalwc5/naver_blog/nest11561/assets/by_hash/69efe1b9d7b5f4c6b7df0cde565380f727f2221900e6ced6c179ef5434b94b4e.jpg)
![치아마모증 치료, 더 늦어지면 후회할 수밖에 없습니다 [+치료 사례 포함] 관련 이미지 18](https://pub-9f2bb3498faf4d1d8714b41df24753e3.r2.dev/content/clinics/archive/vanitalwc5/naver_blog/nest11561/assets/by_hash/1b35ac9a3becafe5fccdfa2a491d194527100db48a308105d88253e775b46a90.jpg)
Previous image Next image
![치아마모증 치료, 더 늦어지면 후회할 수밖에 없습니다 [+치료 사례 포함] 관련 이미지 19](https://pub-9f2bb3498faf4d1d8714b41df24753e3.r2.dev/content/clinics/archive/vanitalwc5/naver_blog/nest11561/assets/by_hash/c92d6eb48396f5c1f4e3a7b340eae65af3df22b2ace2a4f85311e057f2399ee0.jpg)
![치아마모증 치료, 더 늦어지면 후회할 수밖에 없습니다 [+치료 사례 포함] 관련 이미지 20](https://pub-9f2bb3498faf4d1d8714b41df24753e3.r2.dev/content/clinics/archive/vanitalwc5/naver_blog/nest11561/assets/by_hash/8836d52956e0f17cce560af26b8bdb83cd306ace1a9a800b65fa4e67ecd03e31.jpg)
![치아마모증 치료, 더 늦어지면 후회할 수밖에 없습니다 [+치료 사례 포함] 관련 이미지 21](https://pub-9f2bb3498faf4d1d8714b41df24753e3.r2.dev/content/clinics/archive/vanitalwc5/naver_blog/nest11561/assets/by_hash/ac3ecea0237d5c5612eba8bb8539baa74af905e8f979192d3ab96d7bb95ef28e.jpg)
![치아마모증 치료, 더 늦어지면 후회할 수밖에 없습니다 [+치료 사례 포함] 관련 이미지 22](https://pub-9f2bb3498faf4d1d8714b41df24753e3.r2.dev/content/clinics/archive/vanitalwc5/naver_blog/nest11561/assets/by_hash/a3069cece63006ce6d77a97dc47c891fe0aacabfc7289906effb19ecfe723c89.jpg)
![치아마모증 치료, 더 늦어지면 후회할 수밖에 없습니다 [+치료 사례 포함] 관련 이미지 23](https://pub-9f2bb3498faf4d1d8714b41df24753e3.r2.dev/content/clinics/archive/vanitalwc5/naver_blog/nest11561/assets/by_hash/903e4b664d8b668d5e5c235c01000450df311ce0868ae55dcd9e4deafdc64fb2.jpg)
![치아마모증 치료, 더 늦어지면 후회할 수밖에 없습니다 [+치료 사례 포함] 관련 이미지 24](https://pub-9f2bb3498faf4d1d8714b41df24753e3.r2.dev/content/clinics/archive/vanitalwc5/naver_blog/nest11561/assets/by_hash/65ce526617ee2facfce22bed422f51f0ee0ed604408a80ec79b871175426d087.jpg)
![치아마모증 치료, 더 늦어지면 후회할 수밖에 없습니다 [+치료 사례 포함] 관련 이미지 25](https://pub-9f2bb3498faf4d1d8714b41df24753e3.r2.dev/content/clinics/archive/vanitalwc5/naver_blog/nest11561/assets/by_hash/1e7f293af2c25d036108c6643f76dc6f8bb8669b577a6e851e4ae119cb2a8e16.jpg)
![치아마모증 치료, 더 늦어지면 후회할 수밖에 없습니다 [+치료 사례 포함] 관련 이미지 26](https://pub-9f2bb3498faf4d1d8714b41df24753e3.r2.dev/content/clinics/archive/vanitalwc5/naver_blog/nest11561/assets/by_hash/e3ef37198aa906b445516e50247797f67f72fa465bde60fbc399ec4a79ca7f1b.jpg)
![치아마모증 치료, 더 늦어지면 후회할 수밖에 없습니다 [+치료 사례 포함] 관련 이미지 27](https://pub-9f2bb3498faf4d1d8714b41df24753e3.r2.dev/content/clinics/archive/vanitalwc5/naver_blog/nest11561/assets/by_hash/ecc6d3694900dd3a46dde79261cef41f2ce72408748223f4255bcb04dc9eed73.jpg)
![치아마모증 치료, 더 늦어지면 후회할 수밖에 없습니다 [+치료 사례 포함] 관련 이미지 28](https://pub-9f2bb3498faf4d1d8714b41df24753e3.r2.dev/content/clinics/archive/vanitalwc5/naver_blog/nest11561/assets/by_hash/ea3a0f9c5060123c18f7b76c1c7ad83a856f23d3aedb7a0914c9c0e9e6e9aadf.jpg)
![치아마모증 치료, 더 늦어지면 후회할 수밖에 없습니다 [+치료 사례 포함] 관련 이미지 29](https://pub-9f2bb3498faf4d1d8714b41df24753e3.r2.dev/content/clinics/archive/vanitalwc5/naver_blog/nest11561/assets/by_hash/7bc674580f9492bb2ea6737ad0806dd4e100db8008d1c3bd2c8c84039e257db6.jpg)
![치아마모증 치료, 더 늦어지면 후회할 수밖에 없습니다 [+치료 사례 포함] 관련 이미지 30](https://pub-9f2bb3498faf4d1d8714b41df24753e3.r2.dev/content/clinics/archive/vanitalwc5/naver_blog/nest11561/assets/by_hash/981457cc886a8bf04fe269f901ed062ae9d1833354a0bbca815cb1fbd328f9a8.jpg)
![치아마모증 치료, 더 늦어지면 후회할 수밖에 없습니다 [+치료 사례 포함] 관련 이미지 31](https://pub-9f2bb3498faf4d1d8714b41df24753e3.r2.dev/content/clinics/archive/vanitalwc5/naver_blog/nest11561/assets/by_hash/dbdd13a8687d9168d284afa756f30efa168dc0e61d64d62ae2cc2fc085dbdb4c.jpg)
![치아마모증 치료, 더 늦어지면 후회할 수밖에 없습니다 [+치료 사례 포함] 관련 이미지 32](https://pub-9f2bb3498faf4d1d8714b41df24753e3.r2.dev/content/clinics/archive/vanitalwc5/naver_blog/nest11561/assets/by_hash/9bad2348dc19aab136f7cb51d69a512e2b927d3088ac78a1a494896f8035995a.jpg)