아카이브 요약
이 페이지의 역할
메이크치과의원의 네이버 블로그 원문을 보존한 아카이브 페이지입니다. 라미네이트 카테고리의 토끼이빨 라미네이트, 이렇게 자연스러워질 수 있습니다 [+치료 사례 포함] 글을 통해 병원의 한국어 정보 제공 방식과 진료 관련 안내 톤을 확인할 수 있습니다.
원문 검증
필요하면 원문 블로그와 병원 프로필로 바로 이동해 문맥을 다시 확인할 수 있습니다.
출처 아카이브 열기아카이브된 블로그 글
메이크치과의원 · 메이크치과의원ㅣ라미네이트,심미치료에 진심인 치과
안녕하세요. 메이크치과의원 대표원장 안영석입니다. 처음 환자분을 뵌 날이 아직도 생생히 기억납니다. 활짝 웃으시려다가도 앞니 때문에 자연스러운 표정을 짓기 어려워하셨습니다. 가장 큰 고민은 “토끼이빨이 도드라져 보이고, 앞니가 고르지 못하다”는 점이었는데요. 단순한 치아 미백이나 교정이...
게시일
2025년 9월 17일
원문 기준으로 확인된 발행일입니다.
카테고리
라미네이트
원문 블로그 카테고리를 정리해 함께 표시합니다.
이미지 수
28
현재 아카이브에 연결된 이미지 수입니다.
아카이브 요약
메이크치과의원의 네이버 블로그 원문을 보존한 아카이브 페이지입니다. 라미네이트 카테고리의 토끼이빨 라미네이트, 이렇게 자연스러워질 수 있습니다 [+치료 사례 포함] 글을 통해 병원의 한국어 정보 제공 방식과 진료 관련 안내 톤을 확인할 수 있습니다.
원문 검증
필요하면 원문 블로그와 병원 프로필로 바로 이동해 문맥을 다시 확인할 수 있습니다.
출처 아카이브 열기![토끼이빨 라미네이트, 이렇게 자연스러워질 수 있습니다 [+치료 사례 포함] 관련 이미지 1](https://pub-9f2bb3498faf4d1d8714b41df24753e3.r2.dev/content/clinics/archive/vanitalwc5/naver_blog/nest11561/assets/by_hash/98d560049c569a773811fdd6e8221e2497d6cde35e9c5ed658b8766b782ebfd6.jpg)
안녕하세요.
메이크치과의원 대표원장 안영석입니다.
처음 환자분을 뵌 날이
아직도 생생히 기억납니다.
활짝 웃으시려다가도 앞니 때문에
자연스러운 표정을 짓기 어려워하셨습니다.
가장 큰 고민은 “토끼이빨이 도드라져 보이고,
앞니가 고르지 못하다”는 점이었는데요.
![토끼이빨 라미네이트, 이렇게 자연스러워질 수 있습니다 [+치료 사례 포함] 관련 이미지 2](https://pub-9f2bb3498faf4d1d8714b41df24753e3.r2.dev/content/clinics/archive/vanitalwc5/naver_blog/nest11561/assets/by_hash/1bf7f055722596d26fa00509c94909ce62e97ca41ece18eeb92dfe0238446328.jpg)
단순한 치아 미백이나 교정이 아닌,
당신만의 자연스러운 아름다움을 디자인합니다.
실제로 살펴보니, 앞니 양쪽의 길이가
조금씩 달랐고 돌출되어 있어 웃을 때
시선이 자연스럽게 집중되는 인상이었습니다.
게다가 앞니 끝부분은 마모가 진행되어 있었고,
작은 파절도 눈에 띄었습니다.
환자분께서 용기를 내어 방문하신 이유는
단 하나였습니다.
이제는 더 이상 웃음을 숨기지 않고,
자신 있게 웃고 싶다는 결심 때문이었죠.
![토끼이빨 라미네이트, 이렇게 자연스러워질 수 있습니다 [+치료 사례 포함] 관련 이미지 3](https://pub-9f2bb3498faf4d1d8714b41df24753e3.r2.dev/content/clinics/archive/vanitalwc5/naver_blog/nest11561/assets/by_hash/249f0b4a201d17e7a6634b2ee3703b79476b276a37aaf15ef4c77a4353cec736.jpg)
특히 앞니는 인상의 중심이 되기 때문에,
미세한 차이만으로도
사람의 분위기가 달라지곤 합니다.
환자분의 경우에도 어렸을 때는
귀엽게 보이던 토끼이빨이 나이가 들면서 오히려
어색하고 자연스럽지 않게 느껴질 수 있습니다.
사실 이러한 작은 불편감이 쌓이면
단순히 치아 모양의 문제를 넘어서, 자신감과
사회적 활동에도 영향을 미치게 되는데요.
“친구들과 사진을 찍을 때도
최대한 치아를 안 보이게 웃었다”라고
말씀하셨을 때,
토끼이빨 라미네이트는 치료 그 이상의 의미로,
일상을 회복하게 하는 것임을 깨달았습니다.
![토끼이빨 라미네이트, 이렇게 자연스러워질 수 있습니다 [+치료 사례 포함] 관련 이미지 4](https://pub-9f2bb3498faf4d1d8714b41df24753e3.r2.dev/content/clinics/archive/vanitalwc5/naver_blog/nest11561/assets/by_hash/44475995c46dc8257b8dd2fb3dd7c2f7bcad07a3c4b7c6f151cfcae65e883d1d.jpg)
환자분의 얼굴형, 입술 라인, 미소 습관까지 고려한
개인 맞춤형 치아 디자인을 진행하고 있습니다.
겉으로 보기에는 단순히 토끼이빨만
눈에 띄었지만, 정밀 검사를 통해
앞니 길이와 배열에 차이가 있고,
표면에는 마모 흔적과 작은 균열도 있다는
사실을 확인할 수 있었습니다.
치아가 닳은 부분은
평소 저작 습관이나 무의식적인 이갈이
때문일 수 있었고, 파절 부위는
이로 인해 더욱 눈에 띄게 된 상황이었는데요.
그래서 ‘앞니 모양을 고친다’는
접근보다는 전체적인 교합과 기능까지
고려하는 것이 중요합니다.
만약 기능적 요소를 무시하고
심미적으로만 맞춘다면, 이후 다시 마모가
진행되거나 토끼이빨 라미네이트가
쉽게 파손될 수 있기 때문이죠.
이에 저는 환자분께 이러한 점들을
충분히 설명해 드리고, 오래 지속될 수 있는
치료 방향을 제시해 드렸습니다.
![토끼이빨 라미네이트, 이렇게 자연스러워질 수 있습니다 [+치료 사례 포함] 관련 이미지 5](https://pub-9f2bb3498faf4d1d8714b41df24753e3.r2.dev/content/clinics/archive/vanitalwc5/naver_blog/nest11561/assets/by_hash/9fce7c7b1bf4447edeea90eccb948e01902b0b35fbe6e2d565619c88fc127c6f.jpg)
많은 분들이 라미네이트를 치아를 얇게 깎아
덮는 과정으로만 생각하시지만,
사실 그 안에는 건강을 지키면서 아름다움을
더하는 철학이 담겨 있습니다.
이번 사례에서는 삭제량을 최소화하면서
돌출감을 완화하고, 마모와 파절 부위를
보완해 균형 잡힌 앞니를 만드는 것이
핵심 목표였는데요.
이를 위해 저는 소수점 단위까지
삭제량을 정밀하게 측정할 수 있는
디지털 장비를 활용했습니다.
또한 환자분의 얼굴형과 미소 라인을 고려해
디자인을 계획하고, 불필요한 삭제나
무리한 보철은 철저히 지양했습니다.
![토끼이빨 라미네이트, 이렇게 자연스러워질 수 있습니다 [+치료 사례 포함] 관련 이미지 6](https://pub-9f2bb3498faf4d1d8714b41df24753e3.r2.dev/content/clinics/archive/vanitalwc5/naver_blog/nest11561/assets/by_hash/70c6ceee2944b70cc792fced62358157f1bed322cd2b59b070c70864d346ac30.jpg)
![토끼이빨 라미네이트, 이렇게 자연스러워질 수 있습니다 [+치료 사례 포함] 관련 이미지 7](https://pub-9f2bb3498faf4d1d8714b41df24753e3.r2.dev/content/clinics/archive/vanitalwc5/naver_blog/nest11561/assets/by_hash/22cb7b846329f450d4db642837272bccd3bdce6af73404afd8114dc050177d03.jpg)
3D 구강 스캔과 안면 스캔을 통해
실제 치아 상태뿐 아니라, 얼굴 전체에서 미소가
어떻게 어울릴지도 확인할 수 있었습니다.
특히 ‘스마일 프리뷰’ 과정을 통해
시술 후 변화를 미리 가상으로 확인할 수 있었고,
덕분에 환자분은 큰 안도감을 느꼈습니다.
의사만 계획을 알고 진행하는 것이 아니라,
환자분 스스로 결과를 예측하고 선택할 수
있다는 점에서 심리적 안정감이 더욱 커졌죠.
또한 이 과정에서 색상과 형태에 대한
의견을 주고받으며,
환자분이 원하는 느낌을 적극 반영했습니다.
![토끼이빨 라미네이트, 이렇게 자연스러워질 수 있습니다 [+치료 사례 포함] 관련 이미지 8](https://pub-9f2bb3498faf4d1d8714b41df24753e3.r2.dev/content/clinics/archive/vanitalwc5/naver_blog/nest11561/assets/by_hash/f384e263a50646889289985229cbcb736acb03d3d6b4b5924a87cc833cd2364a.jpg)
![토끼이빨 라미네이트, 이렇게 자연스러워질 수 있습니다 [+치료 사례 포함] 관련 이미지 9](https://pub-9f2bb3498faf4d1d8714b41df24753e3.r2.dev/content/clinics/archive/vanitalwc5/naver_blog/nest11561/assets/by_hash/78df86e888c8cc50816828b856633b435c05e5f2611caabc35b39fd26b022221.jpg)
토끼이빨 특유의 긴 앞니가 짧아지거나
눌린 듯 보이지 않도록, 치아의 비율과 곡선을
세밀하게 계산했습니다.
치아 삭제는 꼭 필요한 부분에만 최소화했으며,
고해상도 프린터로 출력된 가이드를 사용해
오차를 줄였는데요.
세라믹 제작 단계에서도 색상과 투명도를
미세하게 조절하여 주변과 조화롭게
어울리도록 신경 썼습니다.
환자분이 가장 원하셨던
‘티 나지 않는 자연스러움’을 위해,
저는 의료진 팀과 함께 수차례 피드백을
주고받으며 세밀하게 조정했습니다.
![토끼이빨 라미네이트, 이렇게 자연스러워질 수 있습니다 [+치료 사례 포함] 관련 이미지 10](https://pub-9f2bb3498faf4d1d8714b41df24753e3.r2.dev/content/clinics/archive/vanitalwc5/naver_blog/nest11561/assets/by_hash/c81fb2c7a91ec998688cf3715dc7916e002ee250a05180aa914cd246fbcfdb15.jpg)
![토끼이빨 라미네이트, 이렇게 자연스러워질 수 있습니다 [+치료 사례 포함] 관련 이미지 11](https://pub-9f2bb3498faf4d1d8714b41df24753e3.r2.dev/content/clinics/archive/vanitalwc5/naver_blog/nest11561/assets/by_hash/a86df9c4996c617549149c32a6f16f125a6ae910651b8016ec15ec08a45a0965.jpg)
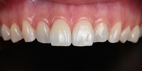
시술 전(25.02.11) / 후(25.02.18)
해당 사진은 환자분의 동의를 얻어 기재하였으며,
개인에 따라 부작용이 발생할 수 있으므로
담당 의료진과 상담 후 진료를 진행하시길 바랍니다.
토끼이빨 라미네이트가 끝난 직후
거울을 보신 환자분의 반응은
지금도 기억에 남습니다.
오랫동안 숨겨왔던 웃음을 편안하게 지으시며,
“너무 감쪽같아서 말 안 하면
친구들도 모르겠어요”라고 말씀하셨는데요.
원하던 ‘자연스럽게 예쁜 치아’를
직접 확인하며 흐뭇해하셨죠.
실제 치료 전 사진에서는
토끼이빨 특유의 돌출감과 앞니 길이 차이,
치아 끝의 마모와 미세 파절이 눈에 띄었지만,
치료 후 사진에서는 치아 길이와 모양이
조화롭게 정리되고 밝고 조화로운 색감으로
웃음이 훨씬 편안해졌습니다.
![토끼이빨 라미네이트, 이렇게 자연스러워질 수 있습니다 [+치료 사례 포함] 관련 이미지 12](https://pub-9f2bb3498faf4d1d8714b41df24753e3.r2.dev/content/clinics/archive/vanitalwc5/naver_blog/nest11561/assets/by_hash/3b3dbad23e100cea0e4723f56c11294974589839634f722a71beb94702e46d59.jpg)
메이크치과는 과정을 중시합니다.
정밀한 진단과 디자인이 완벽한 결과를 만듭니다.
저는 환자분께 치아 관리 방법을
자세히 안내해 드렸습니다.
올바른 칫솔질과 치실 사용,
너무 단단한 음식은 피하는 습관과 함께,
정기적으로 치과에 내원해 점검받으셔야
오래 유지할 수 있습니다.
특히 이번 사례처럼 마모와 파절
이력이 있는 분들은, 평소 치아를
무의식적으로 갈거나 꽉 무는 습관까지
체크하는 것이 중요한데요.
치료 이후에도 오래도록 건강하고
자연스러운 미소를 지킬 수 있도록, 저는
꾸준히 관리와 지도를 이어 나갈 예정입니다.
![토끼이빨 라미네이트, 이렇게 자연스러워질 수 있습니다 [+치료 사례 포함] 관련 이미지 13](https://pub-9f2bb3498faf4d1d8714b41df24753e3.r2.dev/content/clinics/archive/vanitalwc5/naver_blog/nest11561/assets/by_hash/cb1cb26f2deb2019fb7eae693886f99338f3f1f74eb80793679169874f0cbdd1.jpg)
메이크치과는 결과를 미리 보여드리고,
환자분의 의견을 충분히 반영하여 디자인합니다.
저는 이번 치료를 진행하면서,
‘치과 진료의 본질은 결국 환자의 행복을
회복시키는 일’이라는 사실을 다시금 느꼈습니다.
앞으로도 한 분 한 분의 이야기에 귀 기울이며,
각자의 삶 속에서 가장 편안하고 건강한 미소를
찾아드리기 위해 최선을 다할 것입니다.
토끼이빨 라미네이트를 고민 중이시라면,
충분히 상담하고 자신에게 맞는 방법을 찾아
본연의 자신감을 되찾으시길 바랍니다.
감사합니다.
![토끼이빨 라미네이트, 이렇게 자연스러워질 수 있습니다 [+치료 사례 포함] 관련 이미지 14](https://pub-9f2bb3498faf4d1d8714b41df24753e3.r2.dev/content/clinics/archive/vanitalwc5/naver_blog/nest11561/assets/by_hash/b221e4a5e1ab1d636dc701d1ef67476eec472f1be239ea8aecc3e5db9107c862.png)
![토끼이빨 라미네이트, 이렇게 자연스러워질 수 있습니다 [+치료 사례 포함] 관련 이미지 15](https://pub-9f2bb3498faf4d1d8714b41df24753e3.r2.dev/content/clinics/archive/vanitalwc5/naver_blog/nest11561/assets/by_hash/ea574d3fba9258a7dc66f0f8e98b3b6a20e3c32684ed9c8fd74d4820873f194e.jpg)
![토끼이빨 라미네이트, 이렇게 자연스러워질 수 있습니다 [+치료 사례 포함] 관련 이미지 16](https://pub-9f2bb3498faf4d1d8714b41df24753e3.r2.dev/content/clinics/archive/vanitalwc5/naver_blog/nest11561/assets/by_hash/ab4aa601bb81af24e91333f317f883eef8b22279ce9bd90980679627d7b87813.jpg)
![토끼이빨 라미네이트, 이렇게 자연스러워질 수 있습니다 [+치료 사례 포함] 관련 이미지 17](https://pub-9f2bb3498faf4d1d8714b41df24753e3.r2.dev/content/clinics/archive/vanitalwc5/naver_blog/nest11561/assets/by_hash/f0196cfa4b5e21057c22686b96f140792a13cfe86f64b4d6d4f2678675069bc1.jpg)
![토끼이빨 라미네이트, 이렇게 자연스러워질 수 있습니다 [+치료 사례 포함] 관련 이미지 18](https://pub-9f2bb3498faf4d1d8714b41df24753e3.r2.dev/content/clinics/archive/vanitalwc5/naver_blog/nest11561/assets/by_hash/ccc705a81d5f803d3c7b33be329789ad62bfdff2ab78ee1edfa94db378c3136f.jpg)
![토끼이빨 라미네이트, 이렇게 자연스러워질 수 있습니다 [+치료 사례 포함] 관련 이미지 19](https://pub-9f2bb3498faf4d1d8714b41df24753e3.r2.dev/content/clinics/archive/vanitalwc5/naver_blog/nest11561/assets/by_hash/d9e85b49b9729188f15dca5db706aa310eae1674b9b4dacf1b27fa3803450c7f.jpg)
Previous image Next image
![토끼이빨 라미네이트, 이렇게 자연스러워질 수 있습니다 [+치료 사례 포함] 관련 이미지 20](https://pub-9f2bb3498faf4d1d8714b41df24753e3.r2.dev/content/clinics/archive/vanitalwc5/naver_blog/nest11561/assets/by_hash/dffd0aab75b6405aaae3c43b1e3d0dea90a191e657ac346ca3f7f06242087021.jpg)
![토끼이빨 라미네이트, 이렇게 자연스러워질 수 있습니다 [+치료 사례 포함] 관련 이미지 21](https://pub-9f2bb3498faf4d1d8714b41df24753e3.r2.dev/content/clinics/archive/vanitalwc5/naver_blog/nest11561/assets/by_hash/5c181f70027dc0311958e9f9fa88419b1e56f385e82b5f318f23b632afea313c.jpg)
![토끼이빨 라미네이트, 이렇게 자연스러워질 수 있습니다 [+치료 사례 포함] 관련 이미지 22](https://pub-9f2bb3498faf4d1d8714b41df24753e3.r2.dev/content/clinics/archive/vanitalwc5/naver_blog/nest11561/assets/by_hash/5514e1e72aebc583dc6bbd318684d86d656b5e099dba663e005e0d9ab191274f.jpg)
![토끼이빨 라미네이트, 이렇게 자연스러워질 수 있습니다 [+치료 사례 포함] 관련 이미지 23](https://pub-9f2bb3498faf4d1d8714b41df24753e3.r2.dev/content/clinics/archive/vanitalwc5/naver_blog/nest11561/assets/by_hash/15ffce3896791d4f2915bba4d84708f7a04be1bd5aba32f22dc1ffea23434f47.jpg)
![토끼이빨 라미네이트, 이렇게 자연스러워질 수 있습니다 [+치료 사례 포함] 관련 이미지 24](https://pub-9f2bb3498faf4d1d8714b41df24753e3.r2.dev/content/clinics/archive/vanitalwc5/naver_blog/nest11561/assets/by_hash/5b8811e46d65cbe35ac861dff1e1034091e7b089d6083aaf63ca299fb35ad23e.jpg)
![토끼이빨 라미네이트, 이렇게 자연스러워질 수 있습니다 [+치료 사례 포함] 관련 이미지 25](https://pub-9f2bb3498faf4d1d8714b41df24753e3.r2.dev/content/clinics/archive/vanitalwc5/naver_blog/nest11561/assets/by_hash/7eec4d15c09656200e60143e91290490499b0e7f9f6e33a4865ce67918502e2d.jpg)
![토끼이빨 라미네이트, 이렇게 자연스러워질 수 있습니다 [+치료 사례 포함] 관련 이미지 26](https://pub-9f2bb3498faf4d1d8714b41df24753e3.r2.dev/content/clinics/archive/vanitalwc5/naver_blog/nest11561/assets/by_hash/1e1915e0da09ea29c5d77d71c0ff3e4b1ac5b940315541776c01d294718cd389.jpg)
![토끼이빨 라미네이트, 이렇게 자연스러워질 수 있습니다 [+치료 사례 포함] 관련 이미지 27](https://pub-9f2bb3498faf4d1d8714b41df24753e3.r2.dev/content/clinics/archive/vanitalwc5/naver_blog/nest11561/assets/by_hash/4259b5a2e412fdb7a96eb17f1023b7cb2592aa08a66cf5cd0a39dcedbc41ef04.jpg)
![토끼이빨 라미네이트, 이렇게 자연스러워질 수 있습니다 [+치료 사례 포함] 관련 이미지 28](https://pub-9f2bb3498faf4d1d8714b41df24753e3.r2.dev/content/clinics/archive/vanitalwc5/naver_blog/nest11561/assets/by_hash/985416ae6ef024e260fa69633850d55857ef1f17a1f6f734b97363077191fc88.jpg)
Previous image Next image