안녕하세요 😊 메이크치과입니다.
오늘은 결혼을 앞두고 계신 예비신부님들께 한 가지 이야기를 드리고 싶어서 글을 써봤어요.
드레스 피팅, 헤어 리허설, 메이크업 테스트… 챙겨야 할 것들이 정말 많은 결혼 준비 기간이죠.
그 바쁜 시간 속에서도
"사진에서 웃는 내 모습이 마음에 들었으면 좋겠다"
이런 마음 한 번쯤은 가져보셨을 것 같아요 🤍
📸 웨딩 촬영에서 가장 오래 보게 되는 건
웨딩 앨범을 펼쳤을 때 가장 먼저, 가장 오래 시선이 머무는 곳은 어디일까요?
아름다운 배경도, 예쁜 드레스도 물론 중요하지만—
결국 가장 많이 보게 되는 건 신부님의 표정, 그리고 미소예요.
깨끗하고 맑게 웃는 그 순간 하나가 사진 전체의 분위기를 좌우한다고 해도 과언이 아니에요.
그런데 막상 환하게 웃으려고 하면
"치아 색이 신경 쓰여서 입을 크게 못 열겠어요" "치열이 고르지 않아서 사진 찍을 때 어색한 것 같아요"
이런 고민을 가지고 계신 분들이 생각보다 많더라고요.
오늘은 그 고민에 대해 이야기해볼게요 😊
💡 예쁜 웨딩 스마일을 위한 3가지 포인트
치아와 관련된 고민은 크게 세 가지로 나뉘어요.
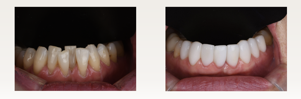
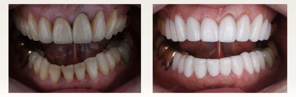
① 치아의 색

순백의 드레스 옆에서 웃을 때, 치아 색은 생각보다 사진에 잘 드러나요.
평소에는 신경 쓰이지 않던 색감이 하얀 드레스와 대비되면서 더 두드러져 보이는 경우가 있어요.
결혼 준비 기간에 치아미백을 고려하시는 분들이 많은 이유가 바로 이거예요 😊
치아미백은 치아 구조 자체를 건드리지 않고 표면의 착색을 개선하는 방법이에요. 치과에서 진행하는 전문 미백 시술과 집에서 하는 자가 미백 트레이 방법이 있으며, 상태에 따라 적합한 방법이 다를 수 있어요.
② 치열과 치아 형태
"치열이 고른데도 왠지 웃을 때 어색해요" "교정을 했는데 치아 모양이 마음에 들지 않아요" "빠르게 교정할 순 없을까요?"


치열이 고르더라도 치아 하나하나의 형태, 크기, 비율이 맞지 않으면 전체적인 치아 라인이 자연스럽지 않아 보일 수 있어요.
이런 경우 라미네이트(메이크레이어)라는 방법을 고려해볼 수 있어요.
라미네이트는 치아 표면에 얇은 세라믹 재료를 붙여 색상, 형태, 크기를 함께 개선하는 시술이에요.
삭제량은 치아 상태와 시술 방식에 따라 개인차가 있으며, 최근에는 디지털 기술을 활용해 삭제량을 최소화하려는 방식이 늘고 있어요.
치아 삭제를 동반하는 시술이므로, 반드시 충분한 상담을 거쳐 신중하게 결정하시는 것이 좋아요.
③ 잇몸 라인

미소를 지을 때 잇몸이 많이 보이거나 잇몸 라인이 고르지 않아서 신경 쓰이시는 분들도 계세요.
잇몸 성형(치은 성형) 은 잇몸 라인을 정리해주는 방법으로, 라미네이트와 병행하는 경우도 있어요.
이 역시 치아 상태에 따라 적합 여부가 다르므로 전문의 상담이 먼저예요.
🦷 웨딩 전 치아 케어, 언제 시작하면 좋을까요?
웨딩 촬영이나 결혼식 일정이 잡혀 있다면, 적어도 2~3개월 전부터 치과 상담을 시작하시는 것을 권해드려요.
미백의 경우 비교적 단기간에 진행되는 편이지만,
라미네이트나 치은 성형이 포함될 경우 충분한 상담·진단 기간과 회복 기간을 감안하면 시간적 여유가 있을수록 좋아요.
또한 스케일링, 구강 위생 관리 같은 기본 케어도 웨딩 전에 먼저 챙겨두시면 더 건강한 상태에서 시술이나 촬영을 맞이할 수 있어요 😊
🌸 드레스를 입는 특별한 날, 메이크치과와 함께하신 분
얼마 전, 배우 맹승지씨가 드레스를 입는 특별한 스케줄에 메이크치과와 함께해 주셨어요 🤍
"중요한 순간일수록 미소 하나도 신경 쓰게 되더라고요"
그 마음, 결혼을 준비하시는 예비신부님들께도 충분히 와닿으실 것 같아요.
💙 메이크치과의 디지털 스마일 디자인
저희 메이크치과에서는 시술 전에 환자분의 얼굴과 치아 데이터를 기반으로 3D 스마일 프리뷰 로 시술 후 치아 모습을 미리 확인하실 수 있어요.
"어떻게 바뀔지 모르겠어서 불안했는데, 미리 볼 수 있어서 안심됐어요"
이런 피드백을 주시는 분들이 많답니다 😊
3D 구강 스캔 → CAD 디지털 디자인 → 3D 프린터 시술 가이드 이 과정을 통해 치아 삭제량의 오차를 줄이고 예측 가능한 결과를 목표로 진료하고 있어요.
물론 치아 상태에 따라 결과는 개인차가 있으며, 충분한 상담을 통해 진행 여부를 결정하시는 것이 중요해요.
📋 웨딩 전 치아 체크리스트
웨딩 준비 중 치아 관련 체크해보시면 좋은 항목들이에요 😊
-
마지막 스케일링이 6개월 이상 됐다면 → 구강 검진 먼저 받아보기
-
치아 색이 신경 쓰인다면 → 미백 상담 고려해보기
-
치아 모양이나 치열이 신경 쓰인다면 → 라미네이트 상담 고려해보기
-
웨딩 촬영까지 2개월 이상 남았다면 → 지금이 상담하기 좋은 시점
-
불안하거나 궁금한 점이 있다면 → 먼저 상담으로 가능 여부 확인하기
결혼식은 평생에 기억될 날이에요 🤍
드레스도, 부케도, 메이크업도 정성껏 준비하시는 것처럼 미소도 편안하게 준비할 수 있으면 좋겠다는 마음으로 이 글을 썼어요.
도움이 필요하신 분들, 언제든지 편하게 문의 주세요
블로그 통해서 오신 예신분들은 더 잘해드릴게요 😊
자세한 상담을 원하시면
아래 지도를 클릭하시면 네이버 예약이 가능합니다.
⚠️ 꼭 확인해주세요
치아미백, 라미네이트, 치은 성형은 모두 비급여(자유진료) 항목으로 건강보험이 적용되지 않습니다.
시술 효과, 삭제량, 회복 기간 등은 치아 상태 및 개인 건강 상태에 따라 차이가 있을 수 있으며, 일시적인 시린 증상, 잇몸 불편감 등이 발생할 수 있습니다.
시술 여부와 방법은 반드시 치과 전문의와의 충분한 상담을 통해 결정하시기 바랍니다.