아카이브 요약
이 페이지의 역할
강남새로치과의원의 네이버 블로그 원문을 보존한 아카이브 페이지입니다. *강남 새로 치과 카테고리의 셀프스케일링기구, 치과 전문의들이 반대하는 이유 글을 통해 병원의 한국어 정보 제공 방식과 진료 관련 안내 톤을 확인할 수 있습니다.
원문 검증
필요하면 원문 블로그와 병원 프로필로 바로 이동해 문맥을 다시 확인할 수 있습니다.
출처 아카이브 열기아카이브된 블로그 글
강남새로치과의원 · 강남새로치과 공식블로그
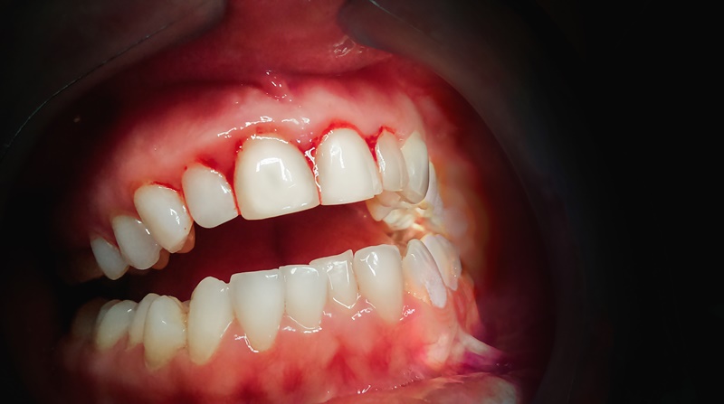
Previous image Next image 안녕하세요 강남새로치과입니다 :) 최근 가정에서 손쉽게 치석을 제거할 수 있는 셀프스케일링기구가 유행을 하기 시작했는데요. 국내 건강보험 공단에서는 연 1회에 한정하여 스케일링 비용을 지원해 주는 제도가 있음에도 치과 진료 비용은 무조건 비쌀...
게시일
2023년 7월 6일
원문 기준으로 확인된 발행일입니다.
카테고리
*강남 새로 치과
원문 블로그 카테고리를 정리해 함께 표시합니다.
이미지 수
14
현재 아카이브에 연결된 이미지 수입니다.
아카이브 요약
강남새로치과의원의 네이버 블로그 원문을 보존한 아카이브 페이지입니다. *강남 새로 치과 카테고리의 셀프스케일링기구, 치과 전문의들이 반대하는 이유 글을 통해 병원의 한국어 정보 제공 방식과 진료 관련 안내 톤을 확인할 수 있습니다.
원문 검증
필요하면 원문 블로그와 병원 프로필로 바로 이동해 문맥을 다시 확인할 수 있습니다.
출처 아카이브 열기


Previous image Next image
안녕하세요 강남새로치과입니다 :)
최근 가정에서 손쉽게 치석을
제거할 수 있는 셀프스케일링기구가
유행을 하기 시작했는데요.

국내 건강보험 공단에서는
연 1회에 한정하여 스케일링 비용을
지원해 주는 제도가 있음에도
치과 진료 비용은 무조건
비쌀 것이라고 오해하시어
많은 분들이 셀프스케일링기구
구매를 고려하십니다.

하지만 이에 따른 부작용을 호소하는
사용자분들이 저희 강남새로치과에
많이 내원해 주고 계신데요.
강남새로치과 전문의들이 모두
반대하는 셀프스케일링기구,
그 이유가 무엇일까요?

간혹, 치아 스케일링을
치과에서 진행하는 의료 행위 중
간단한 처치쯤의 의료 서비스라고
착각하시고 스스럼없이 자가로 치석을
제거하시려는 분들이 많은데요.
실제로 치아 스케일링은
치과대학, 치위생학과에서도
철저한 이론 교육을 시행한 후,
실제 치아 모형에 숙달될 때까지
실습을 진행하는 진료과목인데요.

의료기기로 허가조차 받지 못한
공산품에 불과하는 제품으로
스케일링에 대한 제대로 된 이론과
사용법도 인지하지 못한 채
의료 행위에 준하는 행동을
하는 것은 굉장히 위험합니다.
특히나 국내가 아닌 해외에서
직구로만 구매할 수 있는
셀프스케일링기구는 국내에 비해
기준이 엄격하지 않아 표준 규격에
어긋나는 경우가 대부분인데요.

이러한 셀프스케일링기구를 개인의
판단으로 무분별하게 사용하실 경우
심각한 부작용을 초래하기 때문에
각별한 주의가 필요합니다.
따라서 지금부터 셀프스케일링기구가
심각한 부작용을 발생시키는 이유
에 대해 자세히 알아보도록 하겠습니다.
기구 자체의 마감이 거칠다.

사용법이 단순해 보이지만,
팁 자체가 날카롭고 예리해
치아 사이의 치석이나 이물질을
긁어내다가 잇몸에 손상을 주고
감염으로 인한 심각한 염증을
발생시킬 확률이 높습니다.
또한, 치아 내부의 상아질을 손상시켜
이 시림을 유발하기도 합니다.
일정하게 유지되지 않는 온도

초음파 진동 셀프스케일링기구는
온도가 일정하게 유지되지 않고,
과열되는 경우가 대부분인데요.
치아는 열에 취약하기 때문에
상아질에 열이 전해지면 치아에
금이 갈 가능성도 높습니다.

과열된 해외 셀프스케일링기구를 손톱에 갖다대자 거칠게 깎인 모습_자료 출처 '한국 일보' 김민규 기자
실제로 시중에서 판매되고 있는
초음파 진동 셀프스케일링기구가
2분도 채 지나지 않아 과열되고,
바늘로 치석을 제거하려 시도하자
치아의 표면을 거칠게 깎아냈다고 해요.

치과에서 사용하는 스케일링 기구는
일정하게 온도가 유지되면서
수시로 물을 분무하기도 하고,
시간적 여건을 두면서 시술하기에
치아를 보호할 수 있지만,
온도가 일정하게 유지되지 않는
셀프스케일링기구는 치아에 손상을
입혀 구강 건강을 해치기가 쉽습니다.

따라서 치아건강을 위해서라도
반드시 치아 스케일링은
가정이 아닌 치과에서 진행하여
주실 것을 당부드립니다.
치아 스케일링은 6개월에 한 번씩
해주시는 것이 가장 좋은데요.

바쁜 일상 속 관리가 어려우시더라도
시간 내어 치과에 내원하셔서
꾸준히 스케일링 받으시고,
치아건강을 유지하시길 바라겠습니다.
[강남새로치과 오시는 길 & 진료시간 안내]
업무/커리어 마스터 위젯 미션에 연재중인 글입니다.