아카이브 요약
이 페이지의 역할
강남새로치과의원의 네이버 블로그 원문을 보존한 아카이브 페이지입니다. *강남 새로 치과 카테고리의 강남역임플란트, 치과 고를 때 주의할 점 <필독> 글을 통해 병원의 한국어 정보 제공 방식과 진료 관련 안내 톤을 확인할 수 있습니다.
원문 검증
필요하면 원문 블로그와 병원 프로필로 바로 이동해 문맥을 다시 확인할 수 있습니다.
출처 아카이브 열기아카이브된 블로그 글
강남새로치과의원 · Naver Blog
Previous image Next image 강남역에는 임플란트 진료를 제공하는 치과들이 정말 많습니다. 이에 대해 처음 고민을 하시는 환자분들이라면 어떠한 부분을 우선적으로 고려해야 하는지 정보가 부족하기 때문에 명확한 기준 없이 단지 강남역임플란트로 유명한 곳을 가장 먼저 찾아보실 텐데요. ...
게시일
2023년 7월 13일
원문 기준으로 확인된 발행일입니다.
카테고리
*강남 새로 치과
원문 블로그 카테고리를 정리해 함께 표시합니다.
이미지 수
15
현재 아카이브에 연결된 이미지 수입니다.
아카이브 요약
강남새로치과의원의 네이버 블로그 원문을 보존한 아카이브 페이지입니다. *강남 새로 치과 카테고리의 강남역임플란트, 치과 고를 때 주의할 점 <필독> 글을 통해 병원의 한국어 정보 제공 방식과 진료 관련 안내 톤을 확인할 수 있습니다.
원문 검증
필요하면 원문 블로그와 병원 프로필로 바로 이동해 문맥을 다시 확인할 수 있습니다.
출처 아카이브 열기


Previous image Next image
강남역에는 임플란트 진료를
제공하는 치과들이 정말 많습니다.
이에 대해 처음 고민을 하시는
환자분들이라면 어떠한 부분을
우선적으로 고려해야 하는지
정보가 부족하기 때문에
명확한 기준 없이 단지
강남역임플란트로 유명한 곳을
가장 먼저 찾아보실 텐데요.

하지만, 이러한 방법으로
임플란트를 식립할 곳을
선택하시는 것은 굉장히
위험한 행동일 수 있습니다.
오늘은 위와 같은 고민을
하고 계시는 분들을 위해
강남역임플란트 치과를 고를 때
반드시 주의할 점에 대해서
몇가지 알려드릴까 합니다.
치과 선택시 주의할 점 첫번째.

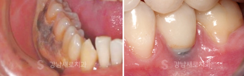
타 치과에서 임플란트 식립 후 재수술을 위해 본원에 내원하셨던
분들의 사진입니다. 왼쪽은 진료 부위에 심각한 염증이
진행중이였고, 오른쪽은 픽스처가 잇몸 밖으로 노출된 사례였습니다.
"너무 저렴하지 않은 가격"
최근 20, 30 젊은 세대의
임플란트 수요가 늘어나면서
각종 SNS를 통해서 젊은 층을
겨냥한 가격 이벤트를 내놓는
치과들이 점점 늘어나고 있습니다.
임플란트 비용이 다소
저렴하지 않은 탓에
젊은 세대의 환자분들은
이에 혹하여 가격만 보고
치과를 고르기도 하실텐데요.
너무 저렴한 가격으로
홍보하는 치과에서 식립을
받으시는 것은 웬만하면
피하시는 것을 권장드립니다.

최소식립으로 전체 임플란트를 진행한 환자분의 모습입니다.
비용이 저렴하다고 해서 무조건
나쁜 치과인것은 아니지만,
식립 경험이 부족하여 이에 대한
임상 경험을 쌓기 위함이거나
환자의 수를 늘리기 위해
가격 경쟁 이벤트를 내놓는
경우가 많기 때문입니다.
따라서, 너무 저렴한 비용으로
홍보를 하는 치과보다는
식립하시려는 종류의 시세를
대강 파악하셔서 그와 비슷한
가격대의 치과를 고르시는 것이
조금 더 안전합니다.
치과 선택시 주의할 점, 두번째

강남새로치과 대표 원장 정재욱 교수님
"전문의의 유무"
반영구적 사용을 목표로
임플란트 수술을 고려하시는
환자분들이 많으실텐데요.
임플란트 수술은 담당 의료진의
경험과 실력에 따라 수술의
성공여부가 좌우되며, 또한
치과에서 진료하는 치료 과목들
중에서도 난이도가 높은편입니다.
따라서, 안전하게 수술을
진행하시려면 풍부한 임상경험과
실력을 가진 전문의가 있는 치과에서
식립 받으시는 것이 좋습니다.

또한, 식립이 어려운 케이스
이시거나, 그 외 다른 치료를
같이 병행하기를 원하신다면
분과별 전문의가 상주하여
협진을 고난이도 수술이
가능한 치과인지도 함께
알아보시는 것이 좋겠습니다.
치과 선택시 주의할 점, 세번째

컴퓨터로 가상 수술을 진행하며 식립 경로를 파악하는 모습
"수술 방식"
예전의 수술 방식은 잇몸을
절개하여 잇몸의 내부를
의사가 직접 확인하면서
식립 경로(위치, 방향)를 설정하는
방식으로 이루어졌습니다.
하지만 최근 4차 산업 발달의
영향으로 3D 기술 및 인공지능이
크게 발전하면서 임플란트 수술
기술 또한 크게 발전하였는데요.

왼) 실제 본원에서 사용중인 3D CT, 오) 페이스스캐너(ray-face)
식립 전 3D CT, Ray-Face
(첨단 페이스 스캐너) 와
같은 첨단 장비로 환자분의
구강상태를 면밀하게 진단하여
결과를 3차원으로 구현한 뒤
컴퓨터 시뮬레이션을 통해
가상으로 모의 수술을
선행할 수 있는 네비게이션
수술 방식이 도입되었습니다.

절개하여 잇몸을 개방하지 않고 3D로 제작된 가드를 사용해 최소한의 구멍만 내는 모습
기존의 잇몸을 절개한 후
식립 경로 파악이 이루어졌지만,
네비게이션 방식은 컴퓨터
시뮬레이션을 통해 이 과정을
수행하게 되므로 잇몸을 크게
절개할 필요가 없게 되었는데요.
따라서 픽스처(임플란트 뿌리)가
들어갈 작은 구멍만 내주어도
충분히 식립이 가능하답니다.

따라서, 기존의 방식처럼
크게 절개하지 않고
네비게이션 수술 방식처럼
안전하게 수술을 진행할 수 있는
치과를 고르시는 것이
조금 더 안전하고 통증이 적은
수술을 받으실 수 있는
방법이라고 할 수 있습니다.

이렇게 해서 오늘은 강남역임플란트
치과를 찾고 계시는 분들을 위해
치과 선택 시 우선적으로 주의해야 할 점
3가지와 네비게이션 수술에 대해
자세히 전해드렸는데요.
이에 대해 더 궁금한 점이 있으시다면
언제든 편하게 문의주시면
친절하게 안내 도와드리겠습니다.


업무/커리어 마스터 위젯 미션에 연재중인 글입니다.