아카이브 요약
이 페이지의 역할
강남새로치과의원의 네이버 블로그 원문을 보존한 아카이브 페이지입니다. *강남 새로 치과 카테고리의 잇몸에서 피가 난다면, 글을 통해 병원의 한국어 정보 제공 방식과 진료 관련 안내 톤을 확인할 수 있습니다.
원문 검증
필요하면 원문 블로그와 병원 프로필로 바로 이동해 문맥을 다시 확인할 수 있습니다.
출처 아카이브 열기아카이브된 블로그 글
강남새로치과의원 · 강남새로치과 공식블로그
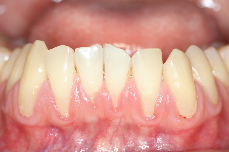
양치를 세게하지도 않는데 잇몸에서 피가 난다면? 혹시 양치를 할 때마다 잇몸에서 피가 나거나 통증이 있지는 않으신가요? 이러한 증상이 한두 번으로 그치지 않고 계속 지속된다면 치주질환이 이미 진행되고 있을 가능성이 높습니다. 치주질환이란 무엇일까요? 우리의 치아를 지탱해 주는 조직들을 치주라고 부...
게시일
2023년 7월 14일
원문 기준으로 확인된 발행일입니다.
카테고리
*강남 새로 치과
원문 블로그 카테고리를 정리해 함께 표시합니다.
이미지 수
15
현재 아카이브에 연결된 이미지 수입니다.
아카이브 요약
강남새로치과의원의 네이버 블로그 원문을 보존한 아카이브 페이지입니다. *강남 새로 치과 카테고리의 잇몸에서 피가 난다면, 글을 통해 병원의 한국어 정보 제공 방식과 진료 관련 안내 톤을 확인할 수 있습니다.
원문 검증
필요하면 원문 블로그와 병원 프로필로 바로 이동해 문맥을 다시 확인할 수 있습니다.
출처 아카이브 열기양치를 세게하지도 않는데
잇몸에서 피가 난다면?

혹시 양치를 할 때마다
잇몸에서 피가 나거나
통증이 있지는 않으신가요?
이러한 증상이 한두 번으로
그치지 않고 계속 지속된다면
치주질환이 이미 진행되고
있을 가능성이 높습니다.
치주질환이란 무엇일까요?

우리의 치아를 지탱해 주는
조직들을 치주라고 부르는데요.
이러한 치주에 치석으로 인한
염증이 발생하는 것을 말합니다.
염증의 진행도에 따라
치은염과 치주염으로 분류하는데,
치은염은 비교적 가벼운 형태로
잇몸에만 염증이 발생한 것이고,

치주염은 치은염보다 더 진행되어
염증이 잇몸 속을 파고 들어가
잇몸뼈까지 퍼진 것을 말합니다.
치주질환은 누구에게나
흔하게 발병하는 질환으로
자연적으로 호전되는 경우도 있어서
대부분 잇몸에서 피가 나더라도
가벼운 증상으로 여기시고
방치하는 분들이 많으실 텐데요.

하지만 이러한 치주질환은
치료 시기를 놓치게 되면
상태가 빠르게 악화되면서
염증이 잇몸과 뼈를 녹이고
치아를 지탱하는 힘을
점차 잃게 만듭니다.
또한, 상태가 심각할 경우
발치까지 하게 될 수 있으니
치료 시기를 놓치지 마시고
반드시 제때에 치료를
받으시는 것을 권장 드립니다.
치주질환이 발생하는 이유는 무엇일까?

치주질환이 발생하는 원인 중
가장 대표적으로 뽑을 수 있는 요인은
바로 잇몸 속에 있는 치석인데요.
우리의 치아와 잇몸 사이에는
치주낭이라고 부르는
아주 작은 틈새가 있습니다.

양치질을 꼼꼼히 해주지 않으면
치아에 붙은 플라그라는 세균 막이
제대로 제거되지 않아 치주낭에 쌓이면서
단단한 치석으로 변하게 되는데요.
이 치주낭에 쌓인 치석들은
시간이 지나면서 잇몸에 염증을
유발하고, 잇몸에서 피가 나게
만들거나 통증을 일으키기도 합니다.

이러한 잇몸 속 치석들을
방치하면 위에서 말씀드렸듯
발치에 이르는 최악의 상황까지
처해질 수 있기 때문에
주기적인 치과 검진을 통해
꾸준히 구강 관리를 해주며
예방을 하는 것이 중요한데요.
그렇다면, 이러한 치주질환은
어떤 방식으로 치료가 진행될까요?

증상이 아직 많이 진행되지 않은
초기의 단계일 경우 주기적인
치아 스케일링과 제대로 된 양치 방법,
치과에서 사용하는 특수 양치액이나
항생제 등으로 간단히 치료가 가능하지만,

치석이 치아 뿌리까지 붙어있거나
혹은 이로 인해 이미 뼈가 녹아
잇몸이 내려앉은 경우,
큐렛(curette)을 이용하여
치주 속 치석과 염증 조직을
제거해 내는 치주소파술을 통해서
비수술적으로 치료를 할 수 있습니다.

큐렛 외 기구들을 통하여
치주낭의 깊이, 퇴축 정도 등을
측정함으로써 치주염의 진행 정도를
파악하고 미세 현미경을 이용하여
세균감염 정도를 분석하기도 합니다.

마지막으로 치주질환이 만성적으로
진행되어 스케일링, 치주소파술
같은 비수술적 치료만으로
해결이 되지 않는 상태일 때는
잇몸을 절개하여 잇몸 깊숙이 자리한
치석들을 긁어내는 잇몸 수술을
불가피하게 진행하여야 하는데요.

수술적 치료는 통증이 심하기 때문에
이러한 심각한 상황으로 이어지지 않게
잇몸에서 피가 나는 증상이 지속적으로
발생한다면 반드시 치과에 내원하여
제때에 치료를 받으시는 것이 좋겠습니다.
오늘은 이렇게 잇몸에서
피가 나는 증상의 원인과 치료방법에
대해서 알아보았는데요.
이에 대해 더 궁금한 점이
있으시다면 강남새로치과로
문의해 주시면 친절하게 상담
도와드리겠습니다 감사합니다 :)



업무/커리어 마스터 위젯 미션에 연재중인 글입니다.