아카이브 요약
이 페이지의 역할
강남새로치과의원의 네이버 블로그 원문을 보존한 아카이브 페이지입니다. *강남 새로 치과 카테고리의 비발치교정치료, 부작용 피하는 방법? 글을 통해 병원의 한국어 정보 제공 방식과 진료 관련 안내 톤을 확인할 수 있습니다.
원문 검증
필요하면 원문 블로그와 병원 프로필로 바로 이동해 문맥을 다시 확인할 수 있습니다.
출처 아카이브 열기아카이브된 블로그 글
강남새로치과의원 · 강남새로치과 공식블로그
Previous image Next image 최근 치아교정 상담을 위해 본원에 내원해주시는 환자분들 대부분이 비발치교정치료를 희망하시는데요. 아마 발치 교정에 대한 여러가지 좋지 않은 편견들과 발치 자체에 대한 부담감 때문이지 않을까 싶습니다. 지금 이 글을 읽고 계신 분들중에서도 그러한 이유로 비발치교정...
게시일
2023년 7월 17일
원문 기준으로 확인된 발행일입니다.
카테고리
*강남 새로 치과
원문 블로그 카테고리를 정리해 함께 표시합니다.
이미지 수
15
현재 아카이브에 연결된 이미지 수입니다.
아카이브 요약
강남새로치과의원의 네이버 블로그 원문을 보존한 아카이브 페이지입니다. *강남 새로 치과 카테고리의 비발치교정치료, 부작용 피하는 방법? 글을 통해 병원의 한국어 정보 제공 방식과 진료 관련 안내 톤을 확인할 수 있습니다.
원문 검증
필요하면 원문 블로그와 병원 프로필로 바로 이동해 문맥을 다시 확인할 수 있습니다.
출처 아카이브 열기

Previous image Next image
최근 치아교정 상담을 위해
본원에 내원해주시는 환자분들
대부분이 비발치교정치료를
희망하시는데요.
아마 발치 교정에 대한 여러가지
좋지 않은 편견들과 발치 자체에
대한 부담감 때문이지 않을까 싶습니다.
지금 이 글을 읽고 계신 분들중에서도
그러한 이유로 비발치교정치료를
알아보시는 분들이 있으실겁니다.

하지만 비발치교정치료의
수요가 점차 증가하면서 그 만큼
만족스럽지 못한 결과와 부작용을
호소하시는 환자 분들의 수도 함께
증가하고 있다는 사실을 알고 계시니요?
물론, 모든 분들이 부작용을
호소하는것은 아니지만,
비발치교정치료를 고민하시는 환자분들이
조금 더 나은 판단을 하실 수 있게
오늘은 이에 대해 조금 더 자세하게
이야기를 들려 드릴까 합니다.

비발치교정치료 부작용을 피하려면?
발치교정은 소구치(작은 어금니)를
발치하여 빈 공간을 확보한 후, 삐뚤빼뚤한
앞니를 빈 공간 쪽으로 이동시켜
치열을 가지런하게 재배열하는 방식인데요.

발치 덧니 교정 사례
왼쪽은 소구치를 발치한 후, 얼마
지나지 않았을 때 촬영한 모습이고,
오른쪽은 소구치를 발치한 빈 공간으로
앞니를 어느 정도 이동시킨뒤에
촬영한 모습입니다.
소구치보다 안쪽에 위치한
큰 어금니들을 기준으로 앞니가
뒤쪽으로 이동하게 된 것인데요.
그래서 전과 비교하여도 어금니의
위치나 교합(맞물림)에
큰 변화가 생기지 않았다는 것을
확인하실 수 있으실겁니다.

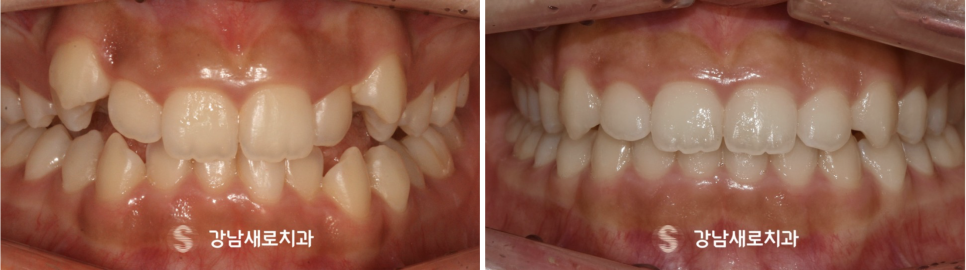
다음은 비발치교정 사례인데요.
왼쪽 사진이 교정 전 모습,
오른쪽이 후의 모습입니다.
소구치를 발치하지 않고
그대로 유지한 상태에서
비발치 교정치료를 진행하게 되면,
위 사진에 표시해놓은 것처럼
어금니를 포함한 전반적인 치아를
뒤쪽으로 이동시켜야 하기 때문에
어금니의 위치와 교합에도
당연히 변화가 생기게 됩니다.
이 과정에서 치아의 교합이나, 치아 사이
간격을 정확하게 맞추지 못하게 되면
위/아래 어금니의 맞물림이 제대로
맞지 않는 문제가 생길 수 있는데요.

이렇게 교합이 어긋나 부정교합이
발생한다면 이는 턱관절의 문제로도
이어질 수 있기 때문에 담당 의료진의
세심한 주의가 필수입니다.
또한, 치아를 이동시키는 것만으로
충분한 공간 확보가 어려운 케이스의
환자분에게 비발치교정치료를
적용하게 되면, 치아가 뻐드러지거나,
입이 도출되어 보일 수도 있으며
덧니 개선이 어려울 수 있습니다.

그렇다면 이러한 문제가 생길
가능성은 낮추고, 만족스러운
결과를 얻으려면 어떻게 해야 할까요?
우선 이를 빼지 않아도
치열을 가지런하게 만들 수 있는
케이스인지 면밀하게 진단하여,
치아의 교합과 저작력에 문제가
발생하지 않도록 세심하게 치료 계획을
수립할 수 있는 전문의를 통해
치료를 진행하는것이 좋습니다.


미국임상교정지에 발표된 강남새로치과 전재민 원장님의 비발치 덧니교정 사례
위에서 설명드린 것과 같이
비발치교정은 발치교정보다
조금 더 숙련된 노하우와
또 다른 관점을 필요로 하는
매우 섬세한 치료입니다.
때문에 비발치교정치료를
고려하고 계신 분들께서는
이에 대한 임상 경험이 풍부한
교정과 전문의가 상주한 치과를
알아보시는것이 좋겠습니다.


이렇게 해서 오늘은
비발치교정치료의 부작용과 원인,
예방을 위한 핵심 포인트까지
함께 알아보았는데요.
이에 대해 더 궁금한 점이
있으시다면 댓글 남겨주시거나
강남새로치과로 전화주시면
친절하게 설명 도와드리겠습니다 :)

[강남치과 교정치료 더 자세히 알아보기]


업무/커리어 마스터 위젯 미션에 연재중인 글입니다.