아카이브 요약
이 페이지의 역할
강남새로치과의원의 네이버 블로그 원문을 보존한 아카이브 페이지입니다. *강남 새로 치과 카테고리의 강남네비게이션임플란트 장점 글을 통해 병원의 한국어 정보 제공 방식과 진료 관련 안내 톤을 확인할 수 있습니다.
원문 검증
필요하면 원문 블로그와 병원 프로필로 바로 이동해 문맥을 다시 확인할 수 있습니다.
출처 아카이브 열기아카이브된 블로그 글
강남새로치과의원 · 강남새로치과 공식블로그
안녕하세요 여러분! 강남새로치과입니다 :) 오늘은 강남네비게이션임플란트의 장점과 최소로 식립 받는 방법에 대해서 소개를 해드릴까 합니다. 본원에 임플란트 상담을 위해 내원해 주시는 환자분들 중 네비게이션 임플란트 라는 이름에 대해 이미 알고 오시는 경우가 많습니다. 하지만 이에 대해서 자세히는 모르시...
게시일
2023년 7월 17일
원문 기준으로 확인된 발행일입니다.
카테고리
*강남 새로 치과
원문 블로그 카테고리를 정리해 함께 표시합니다.
이미지 수
12
현재 아카이브에 연결된 이미지 수입니다.
아카이브 요약
강남새로치과의원의 네이버 블로그 원문을 보존한 아카이브 페이지입니다. *강남 새로 치과 카테고리의 강남네비게이션임플란트 장점 글을 통해 병원의 한국어 정보 제공 방식과 진료 관련 안내 톤을 확인할 수 있습니다.
원문 검증
필요하면 원문 블로그와 병원 프로필로 바로 이동해 문맥을 다시 확인할 수 있습니다.
출처 아카이브 열기안녕하세요 여러분!
강남새로치과입니다 :)

오늘은 강남네비게이션임플란트의
장점과 최소로 식립 받는 방법에
대해서 소개를 해드릴까 합니다.
본원에 임플란트 상담을 위해
내원해 주시는 환자분들 중
네비게이션 임플란트 라는 이름에 대해
이미 알고 오시는 경우가 많습니다.
하지만 이에 대해서 자세히는
모르시는 분들이 대부분인데요.

강남네비게이션임플란트란?
여러분들께서 알아듣기 쉽게
비유해서 설명을 해보자면
운전을 하거나 택시를 이용하실 때,
네비게이션에 목적지 주소를 입력하면
네비게이션이 경로를 파악하여
더 빠르게 가는 방향을 안내해 줍니다.
강남네비게이션임플란트도
이와 흡사한 방식인데요.

식립 전 컴퓨터 시뮬레이션을 통해
가상으로 모의 수술을 선행함으로써
최적화된 식립 경로(위치, 방향)를 사전에
설정할 수 있는 수술 방식입니다.
지금부터 이에 대한 장점을
자세히 알아보도록 하겠습니다.
장점 1. 정확성과 안정성

정확한 위치를 탐지하고 추적할 수 있는
센서를 통해 최적화된 경로를 파악할 수
있기 때문에 그만큼 정확성이 기존의
수술 방식보다 발전됐다고 할 수 있는데요.
또한, 컴퓨터 시뮬레이션을 통해
수술 후의 상황까지 미리 예측이 가능해서
안정성이 뛰어나 환자분들께서도
만족도가 굉장히 높습니다.
장점 2. 수술시간 감소

컴퓨터로 위치와 방향을 설정하는 모습
예전의 수술 방식은 담당 의료진이
잇몸의 내부를 직접 확인하면서
식립 경로(위치, 방향)를 설정하는
방식으로 이루어졌지만,
강남네비게이션임플란트는
컴퓨터 시뮬레이션을 통해
이 과정을 수행하게 되므로
식립 경로를 파악하기 위해
시간을 소비할 일이 없게 되었는데요.
컴퓨터를 통해 미리 설정한
방향대로 수술만 하면 되기 대문에
그만큼 수술시간이 감소하게 됐습니다.
장점 3. 통증 감소

왼) 잇몸을 절개하여 수술, 오) 가드를 활용해 수술
기존의 수술 방식은 식립 경로를
파악하는 과정에서 내부를
열어서 보기 위해 잇몸을
크게 절개하여야 했는데요.
네비게이션 방식은
식립 전 3D CT, Ray-Face
같은 첨단 장비로 환자분의
구강상태를 면밀하게 진단한 후

네비게이션 임플란트 수술에 활용되는 가드의 모습
컴퓨터로 식립 경로를 설정하고
이를 통해 제작된 가드를 활용하여
수술을 진행하기 때문에
잇몸을 크게 절개할 필요가 없습니다.
따라서 픽스처(임플란트 뿌리)가
들어갈 작은 구멍만 내주어도
충분히 식립이 가능해서
그만큼 통증이 덜 하답니다.

"전체 임플란트 생각 중인데
많이 아프지 않을까요?"
"비용 부담이 큰데 비용을
줄일 수 있는 방법은 없을까요?"
강남새로치과에서는 환자분들의
비용 부담과 통증 부담을 덜어드리기 위해
없는 치아를 다 심을 필요 없이,
최소로 심어도 제대로 심어서
평생 씹고 편하게 드실 수 있도록
최소 식립 방식으로 안전하게
수술을 도와드리고 있는데요.

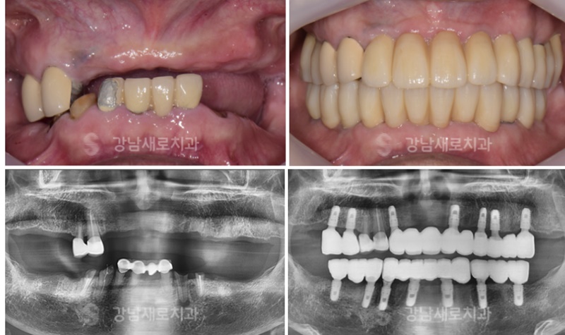
최소 식립으로 진행한 전체 임플란트 케이스
| 가장 적합한 위치에 꼭 필요한 임플란트만효율적으로 식립해야 더 오래 사용할 수 있고,치료 비용도 그만큼 줄어듭니다. |
따라서 비용 부담을 줄이면서
통증 부담도 함께 덜고 싶으시다면
강남새로치과에 내원하셔서
자세한 상담 받아보시길 추천드립니다.
본 내용은 유튜브 치향저격 채널에서
'정재욱 원장' 혹은 '네비게이션임플란트'
를 검색하시면 더 자세히 설명을
들으실 수 있습니다.
강남네비게이션임플란트에 대해서
더 궁금한 점이 있으시다면
강남새로치과에 문의주시면
친절하게 상담 도와드리겠습니다 :)



업무/커리어 마스터 위젯 미션에 연재중인 글입니다.