아카이브 요약
이 페이지의 역할
강남새로치과의원의 네이버 블로그 원문을 보존한 아카이브 페이지입니다. *강남 새로 치과 카테고리의 강남역잇몸염증치료, 잇몸피가 나는 원인의 치료방법? 글을 통해 병원의 한국어 정보 제공 방식과 진료 관련 안내 톤을 확인할 수 있습니다.
원문 검증
필요하면 원문 블로그와 병원 프로필로 바로 이동해 문맥을 다시 확인할 수 있습니다.
출처 아카이브 열기아카이브된 블로그 글
강남새로치과의원 · Naver Blog
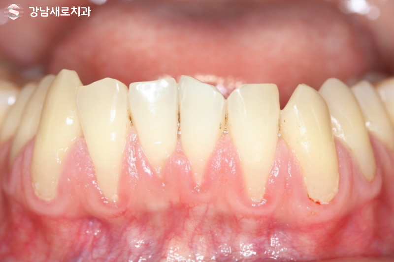
잇몸피나는 현상을 겪고 있다면? 강남새로치과의 강남역잇몸염증치료! 안녕하세요 강남새로치과입니다😀 여러분은 혹시 양치를 하시거나 음식을 드시다가 잇몸피가 나거나 붓는 현상을 겪어본 적이 있으신가요? 이러한 현상이 한, 두 번으로 그치지 않고 지속적으로 발생하고 있다면 이는 잇몸염증이 아닌지 고려해 보셔...
게시일
2023년 8월 9일
원문 기준으로 확인된 발행일입니다.
카테고리
*강남 새로 치과
원문 블로그 카테고리를 정리해 함께 표시합니다.
이미지 수
13
현재 아카이브에 연결된 이미지 수입니다.
아카이브 요약
강남새로치과의원의 네이버 블로그 원문을 보존한 아카이브 페이지입니다. *강남 새로 치과 카테고리의 강남역잇몸염증치료, 잇몸피가 나는 원인의 치료방법? 글을 통해 병원의 한국어 정보 제공 방식과 진료 관련 안내 톤을 확인할 수 있습니다.
원문 검증
필요하면 원문 블로그와 병원 프로필로 바로 이동해 문맥을 다시 확인할 수 있습니다.
출처 아카이브 열기잇몸피나는 현상을 겪고 있다면?
강남새로치과의 강남역잇몸염증치료!
안녕하세요 강남새로치과입니다😀
여러분은 혹시 양치를 하시거나
음식을 드시다가 잇몸피가 나거나 붓는
현상을 겪어본 적이 있으신가요?
이러한 현상이 한, 두 번으로
그치지 않고 지속적으로
발생하고 있다면 이는 잇몸염증이
아닌지 고려해 보셔야 합니다.

잇몸피가 나고 붓게 만드는 원인의
주범은 바로 잘못된 양치 습관으로 인해
치아 표면의 치석과 치태가 제대로
제거되지 않아 발생하는 것인데요😱
치석과 치태는 입속의 세균과
제거되지 않은 치아 사이사이의
음식물 찌꺼기 등으로 이루어진
세균 덩어리를 말합니다.
이러한 치석과 치태가 딱딱하게 굳어
치아 사이에 자리 잡게 되면
치주질환의 시작이 될 수 있어
각별한 주의가 필요합니다!

발병 초기 단계의 염증은
정기적인 치과 검진과 스케일링으로
간단하게 해결이 가능하지만,
치료가 늦어지고 미뤄진다면
염증의 악화 속도가 빨라져
복잡한 치료를 진행해야 하므로
치료 비용이 더욱 비싸지거나,
통증에 대한 불편함이 더욱 커져
이중으로 고통을 겪게 될 수 있습니다😔

잇몸 염증이란 치아를 둘러싸고 있는
잇몸 조직인 치은과 치주에 발생하는
염증성 질환으로 대체로 소홀한 구강관리나
유전적인 요인으로 인해 발생하는데요.
이러한 것들을 방치하면
염증이 잇몸 속을 파고 들어가
뼈를 녹여 잇몸이 내려앉게 만들고,
심각할 경우 치아를 지탱할
힘을 잃게 될 정도로 약해져서
치아가 뽑히거나 발치를 하게 되는
상황에 놓이게 될 수도 있습니다🦷

따라서 강남역잇몸염증치료를 통해
잇몸피는 물론이며, 위와 같은 심각한
치주질환이 발병되지 않게 관리해 주고,
주기적인 치과 검진을 통해
관리를 해주어 미리 예방하여
주시는 것을 권장 드립니다!

초음파 스케일러로 치석을 제거하는 모습
강남새로치과는 여러분의 소중한
치아 건강을 최대한 오래 유지할 수 있도록
강남역잇몸염증치료를 통해 치주질환의
예방과 치료에 힘쓰고 있으니
#잇몸피가 나고 붓거나 내려앉아
치아의 뿌리 부분이 밖으로 노출되어
이가 시린 분들이 있다면
더 늦지 않게 치과에 내원하여
정확한 검진과 강남역잇몸염증치료를
통해서 구강 건강을 유지하여
주시기를 바랍니다👍🏻

| 스케일링 | 신경치료 | 치근단절제술 |
|---|---|---|
| 치주질환예방을 위해가장 기본적인관리 방법인스케일링을통한 치석제거 | 치아 표면과치아 뿌리 끝에위치한 염증을남김없이 제거하는 고난도신경치료 | 신경치료 후에개선되지 않는치아 뿌리 끝의염증을 제거하기 위해치근단일부를절제하는 수술 |
이러한 염증은 구강 내에서만
문제를 일으키는 것이 아니라,
잇몸 속으로 파고 들어가
심장, 신장, 폐 등 다른 신체기관들에도
좋지 않은 영향을 줄 수 있어서
발견하는 즉시 치료를 시작할 것을
권장해 드리고 있는데요.

치주질환을 방치하여 심각하게 잇몸이 내려앉은 모습
치료 시기를 놓치게 되면
다른 신체 기관까지 부정적인 영향을
주는 만큼 조기에 발견할 수 있도록
정기적인 치과 검진을 통해 이를
예방하여 주시는 것이 중요합니다✨
치과에서 늘 주기적인 검진을
해주실 것을 당부드리는 것 또한
위와 같은 이유에서입니다.

비슷한 현상이 느껴지지만
치과 치료 비용에 대한 부담으로
인해 치료를 미루고 계셨다면,
이와 같은 행동이 나중에 더욱더
치과 치료 비용이 많이 발생하도록
상태를 악화시키는 행동이므로
치료 적기를 놓치지 않도록 유의해 주시며,
아래의 구강관리 및 치주질환 예방법을 통해
철저한 구강관리와 강남역잇몸염증치료도
함께 받아보시는 것을 추천드립니다👨🏻⚕️

잇몸피나는 현상을 예방하기 위한 구강 관리 방법
치간칫솔 및 치실 사용하기
식사 후 5분 이상 꼼꼼하게 양치하기
당분 및 염분이 많은 식습관 개선하기
-6개월에 한 번씩 치과 검진 정기적으로 받기
[강남새로치과 더 자세히 알아보기]


[강남새로치과 진료 시간 & 오시는 길]


업무/커리어 마스터 위젯 미션에 연재중인 글입니다.