아카이브 요약
이 페이지의 역할
강남새로치과의원의 네이버 블로그 원문을 보존한 아카이브 페이지입니다. *강남 새로 치과 카테고리의 연예인라미네이트, 강남새로치과 에어네이트 글을 통해 병원의 한국어 정보 제공 방식과 진료 관련 안내 톤을 확인할 수 있습니다.
원문 검증
필요하면 원문 블로그와 병원 프로필로 바로 이동해 문맥을 다시 확인할 수 있습니다.
출처 아카이브 열기아카이브된 블로그 글
강남새로치과의원 · Naver Blog
안녕하세요 여러분 오늘도 여러분의 구강건강을 위해 힘쓰는 강남새로치과입니다 :) 치아에 콤플렉스를 가지고 계신 분들 이라면 연예인라미네이트에 대해서 모르시는 분들이 거의 없으실 것 같은데요. 다양한 요인으로 자연치가 파절되거나 변색되어 심미적으로 보기가 좋지 않을 때 극도로 얇은 세라믹 인공 보철물을...
게시일
2023년 8월 11일
원문 기준으로 확인된 발행일입니다.
카테고리
*강남 새로 치과
원문 블로그 카테고리를 정리해 함께 표시합니다.
이미지 수
19
현재 아카이브에 연결된 이미지 수입니다.
아카이브 요약
강남새로치과의원의 네이버 블로그 원문을 보존한 아카이브 페이지입니다. *강남 새로 치과 카테고리의 연예인라미네이트, 강남새로치과 에어네이트 글을 통해 병원의 한국어 정보 제공 방식과 진료 관련 안내 톤을 확인할 수 있습니다.
원문 검증
필요하면 원문 블로그와 병원 프로필로 바로 이동해 문맥을 다시 확인할 수 있습니다.
출처 아카이브 열기안녕하세요 여러분
오늘도 여러분의 구강건강을 위해
힘쓰는 강남새로치과입니다 :)
치아에 콤플렉스를 가지고 계신 분들
이라면 연예인라미네이트에 대해서
모르시는 분들이 거의 없으실 것 같은데요.

다양한 요인으로 자연치가 파절되거나 변색되어
심미적으로 보기가 좋지 않을 때
극도로 얇은 세라믹 인공 보철물을
치아 겉면에 부착하는 성형술인데요.
이러한 방식은 기존의 어떠한
방법들보다 심미성을 회복하기에
효율적이고 효과적이어서 이미
많은 분들에게 사랑을 받고 있습니다.

하지만 일각에서는 이러한 방식이
초래하는 다양한 부작용들에 대해
부정적인 반응이 보이기도 합니다.
기존의 연예인라미네이트는
인공보철물을 치아 겉면에 부착하거나,
씌우기 위해 멀쩡한 우리의 자연치를
과도하게 갈아내는 과정을 거쳐야만 했었어요.

출처 - 나혼자산다 헨리편
치아 위에 씌우는 보철물이 두꺼웠기 때문에
심미적인 콤플렉스를 개선하면서
모양이 가로로 뚱뚱해지지 않으려면
본래의 자연치를 깎아낼 수밖에 없었던 것이죠.
하지만 이렇게 자연치를 깎고 갈아내는 것은
생각보다 굉장히 위험한 일인데요.

치아의 내부 구조
치아의 겉표면인 법랑질이 과도하게
갈리거나 깎여 치아 속 상아질이 외부로
노출되게 되면 이가 시린 것은 물론이며,
자연치에 미세하게 크랙(금)이 생겨
통증이 발생하기도 하며,
자연치의 수명을 짧아지게 만들거나
각종 치주 질환에 쉽게 노출될
위험 또한 높아집니다.
또한 특유의 인위적인 컬러 때문에
기존의 자연치들과 색깔 차이나 명도 차이가
심하게 나서 부자연스럽다는 이유로
꺼려 하시는 분들도 꽤 있었습니다.

출처 - 언니한텐 말해도돼 자료화면
실제로 이를 진행받았던 연예인들
조차 각종 매체에 나와 시청자들에게
경각심을 일깨어주려 직접 부작용을
호소하기도 했었는데요.
따라서, 강남새로치과는 이러한
장점은 유지하되, 단점은 보완하여
최소삭제 방식 을 도입하여 여러분들의
구강에 대한 고민을 개선해 드리고 있습니다.

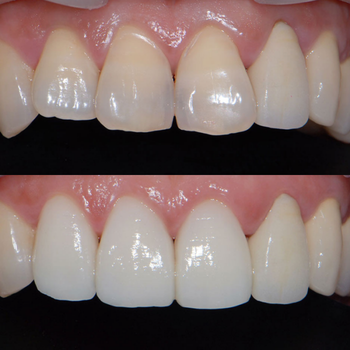
강남새로치과 최소 삭제 에이네이트 전/후
강남새로치과 최소 삭제 에어네이트란?
기존의 두껍고 부자연스러웠던
인공 보철물 대신 0.3mm 이내의
얇은 세라믹을 사용하여
자연치의 삭제량(자연치를 깎아내는
양)을 최소화한 신개념 방식인데요.

강남새로치과 에어네이트 접착기술
근데, 무삭제가 더 좋지 않나요?
아예 무삭제로 진행하는 방식은
사실 권장 드리지 않습니다.
자연치 삭제 없이 매끈한 치아 표면에
부착하는 것은 떨어질 위험이 크기 때문인데요.
쉽게 설명을 도와드리자면
네일아트를 생각해 보시면 될 것 같습니다.

강남새로치과 자체기공소 에어네이트 제작장면
네일아트를 받을 때 부착력을
강화시키기 위해 손톱 표면을
손상이 없을 정도로 살짝 갈아내어
그 위에 젤네일을 하게 되는데요.
이때, 손톱을 아예 갈아내지 않거나
아주 살짝만 갈아낼 경우 젤네일의
접착력이 좋지 않아 일주일도 못가
떨어지는 경우가 많습니다.
또한 젤네일의 두께가 너무 얇은 경우
쉽게 깨지거나 부서지기도 합니다.

에어네이트
너무 얇은 인공 치아 보철물을
부착할 경우 깨지거나 파손될
위험이 높고, 무삭제로 진행할 경우
쉽게 떨어질 위험이 높기 때문에
강남새로치과는 치아에 손상을
주지 않을 정도로 치아 삭제를 최소화하고,
쉽게 깨지지도 않으면서 두껍지도 않아
기능적으로도 문제가 없을 가장 적합한
두께를 찾기 위해 끊임없이 연구하여
마침내 0.3mm 이내의 세라믹
인공 치아를 통해 연예인라미네이트를
도와드리고 있습니다.

최소한의 삭제로 내 치아에 착-붙
공기처럼 가볍고 투명한
에어핏(Air - Fit) 라미네이트
'강남새로치과 에어네이트'

자연치아를 최대한 지키는 게
치과 전문의로서 사명감이지만
그럼에도 불구하고 무삭제가 아닌
최소한의 삭제로 에어네이트를
도와드리려는 이유는
무삭제의 단점은 보완하면서
최소한의 삭제로도 치아의 손상 없이
진행할 수 있다는 자신감이 있기 때문인데요.

연예인라미네이트를 고려하는 분들이 있다면
이러한 자신감이 있는 의료진이 있는 치과,
그리고 오랜 연구와 풍부한 임상
경험으로 그 실력을 인정받은 바로
'보건복지부 전문의'가 진료하는 치과에서
치료를 받으시는 것을 추천드립니다.

국내 치과 의료진 중 치과 전문의의
비율은 겨우 19%에 불과하다는 점,
또한 그중에서도 보건복지부에서
시험을 거쳐 인정받은 전문의는
더욱 극소수라는 점을 반드시 유의하시면서,
앞으로 치과를 고르실 때는
이러한 부분들을 참고하셔서
고르시면 더욱 도움이 되실 것 같습니다 :)

오늘은 이렇게 치아 손상 없이
에어네이트를 도와드리고 있는
강남새로치과의 최소 삭제 방식에
대해 소개해 드렸습니다.
보건복지부에서 인정하는 6인의
전문의가 상주하여 고난도 협진 치료가
가능한 강남새로치과의 에어네이트에
대해 더 궁금한 점이 있으시다면
네이버 톡톡 메시지 혹은 카카오톡으로
메시지 남겨주시면 자세하게
설명 도와드리도록 하겠습니다.



[강남새로치과 자세히 알아보기]


업무/커리어 마스터 위젯 미션에 연재중인 글입니다.