아카이브 요약
이 페이지의 역할
강남새로치과의원의 네이버 블로그 원문을 보존한 아카이브 페이지입니다. *강남 새로 치과 카테고리의 잇몸내려앉음이 발생하는 원인을 제대로 알아야 글을 통해 병원의 한국어 정보 제공 방식과 진료 관련 안내 톤을 확인할 수 있습니다.
원문 검증
필요하면 원문 블로그와 병원 프로필로 바로 이동해 문맥을 다시 확인할 수 있습니다.
출처 아카이브 열기아카이브된 블로그 글
강남새로치과의원 · Naver Blog
구내염이 생긴 위치에 약을 바르려고 거울로 구강내부를 확인해 보다가 문득 치아가 길어져 있는 것 같거나 잇몸내려앉음이 발생하여 뿌리가 밖으로 노출되어 있는 것 같다면, 치료를 해야 하는 건지, 만일 한다면 어디서 치료를 진행해야 하는지 그 과정은 어떻게 되는지 정보가 부족해 고민이 크실 것 같은데요. ...
게시일
2023년 8월 18일
원문 기준으로 확인된 발행일입니다.
카테고리
*강남 새로 치과
원문 블로그 카테고리를 정리해 함께 표시합니다.
이미지 수
14
현재 아카이브에 연결된 이미지 수입니다.
아카이브 요약
강남새로치과의원의 네이버 블로그 원문을 보존한 아카이브 페이지입니다. *강남 새로 치과 카테고리의 잇몸내려앉음이 발생하는 원인을 제대로 알아야 글을 통해 병원의 한국어 정보 제공 방식과 진료 관련 안내 톤을 확인할 수 있습니다.
원문 검증
필요하면 원문 블로그와 병원 프로필로 바로 이동해 문맥을 다시 확인할 수 있습니다.
출처 아카이브 열기
구내염이 생긴 위치에 약을 바르려고
거울로 구강내부를 확인해 보다가
문득 치아가 길어져 있는 것 같거나
잇몸내려앉음이 발생하여 뿌리가
밖으로 노출되어 있는 것 같다면,
치료를 해야 하는 건지, 만일 한다면
어디서 치료를 진행해야 하는지
그 과정은 어떻게 되는지 정보가
부족해 고민이 크실 것 같은데요.

이러한 이유로 검색을 해보시다가
들어오셨다면 먼저 잇몸내려앉음이
발생하게 된 원인과 치료 방법에
대해 전부 알려드릴 테니 지금부터
집중하여 읽어주시면 좋을 것 같아요.
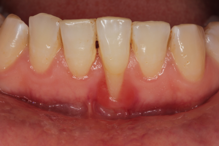
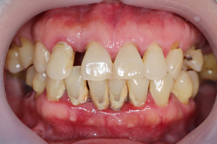
잇몸이 내려앉는 이유?

우리의 치아 구조는 겉면인 법랑질과
그 속의 상아질로 구성되어 있으며,
잇몸 속에 치주낭이라고 부르는
약 2mm의 작은 틈새가 존재했어요.
이러한 법랑질에는 구강 내
제대로 제거되지 않은 이물질을 먹고
자란 다양한 세균들과 침으로 이루어진
플라크라고 부르는 세균 막이
투명하고 얇게 씌워져 있는데요.

주기적으로 꼼꼼히 양치질을 해주어
위와 같은 플라크를 제거해 주어야
하지만, 제대로 제거해 주지 않는다면
이는 곧 치태가 되어 구강 내의
수많은 세균을 번식시키는 요인이 되고,
결국 치아와 잇몸 사이에 쌓이면서
딱딱하게 굳어 치석이 됩니다.

치아와 잇몸 틈새에 쌓인 치석은
잇몸 속 치주낭까지 파고들어
치주낭 속에 쌓이게 되는데요.
이렇게 잇몸 속에 쌓인 치석을
흔히 치은연하라고 부르는데요.
치은연하는 잇몸 속에 자리 잡은 치석이라
양치질만으로는 제거하기가 어려워
오랜 기간 방치될 수밖에 없습니다.

하지만, 치은연하를 방치하게 되면
세균이 점차 잇몸 속 깊이 침투하기 때문에
잇몸이 내려앉게 만드는 것은 물론이며,
심각할 경우 잇몸뼈를 녹여 치아를
지탱하는 힘을 잃게 되어 발치를
진행해야 할 수도 있는데요.

뿐만 아니라 치은 연하는 잇몸을 타고
혈관을 통해 다른 신체기관으로 이동하여
부정적인 영향을 끼치기도 해서
치료 시기를 놓치지 않고 제때에 치료
할 수 있도록 신경을 써주셔야 합니다.
위와 같은 잇몸내려앉음을 예방하기 위해서는
평소 치실이나 치간 칫솔을 통해 꼼꼼하게
양치를 해주어 치아 사이사이 플라크를
최대한 제거해 주는 것이 중요한데요.

또한, 6개월에 한 번씩 정기적인 치과 검진을
통해 잇몸 속에 치석이 쌓이지 않도록
스케일링을 통한 치석 제거 치료를
진행해 주시는 것이 좋습니다.
강남새로치과에서는 잇몸 속에 치은 연하를
쌓이게 만드는 구강 내의 유해 세균과
치아 겉에 붙은 치태, 치석을 체계적이고
효율적으로 제거하는 무통 스케일링을 통해
잇몸내려앉음을 철저히 예방하고 있는데요.

따라서 이를 치료하기 위한 비용과
치료 과정 중 발생하는 통증에 대해
부담감이 컸던 분들이 계시다면
너무 큰 걱정 하지 마시고, 아래 이미지를
통해 메시지를 남겨주시면 효과적으로
치료를 진행할 수 있게 자세한 설명을
도와드리겠습니다 :)

오늘은 이렇게 해서 잇몸내려앉음이
발생하는 원인과 이에 대한 치료 방법에
대해 자세히 알아보았어요.
강남새로치과의 무통 스케일링을
통한 치료 과정에 대해 더 궁금한 점이
있으시다면 댓글을 남겨주세요
감사합니다 :)




업무/커리어 마스터 위젯 미션에 연재중인 글입니다.