아카이브 요약
이 페이지의 역할
강남새로치과의원의 네이버 블로그 원문을 보존한 아카이브 페이지입니다. *강남 새로 치과 카테고리의 송곳니덧니교정을 발치 문제 없이 진행할 수 있다면? 글을 통해 병원의 한국어 정보 제공 방식과 진료 관련 안내 톤을 확인할 수 있습니다.
원문 검증
필요하면 원문 블로그와 병원 프로필로 바로 이동해 문맥을 다시 확인할 수 있습니다.
출처 아카이브 열기아카이브된 블로그 글
강남새로치과의원 · Naver Blog
사람이라면 누구나 아름다운 미소를 가지는 것은 꿈꿨어요. 보는 사람 조차 기분이 좋게 만드는 아름다운 미소를 가진 사람이라면 인생을 살아가며 아무런 불편함을 느끼지 못하겠지만, 반대로 치열이 고르지 않거나 송곳니덧니가 있어 마음 편히 웃지 못하고 입을 가리고 웃는 등 미소에 대한 콤플렉스가 존재하는 사람들도 종...
게시일
2023년 8월 22일
원문 기준으로 확인된 발행일입니다.
카테고리
*강남 새로 치과
원문 블로그 카테고리를 정리해 함께 표시합니다.
이미지 수
15
현재 아카이브에 연결된 이미지 수입니다.
아카이브 요약
강남새로치과의원의 네이버 블로그 원문을 보존한 아카이브 페이지입니다. *강남 새로 치과 카테고리의 송곳니덧니교정을 발치 문제 없이 진행할 수 있다면? 글을 통해 병원의 한국어 정보 제공 방식과 진료 관련 안내 톤을 확인할 수 있습니다.
원문 검증
필요하면 원문 블로그와 병원 프로필로 바로 이동해 문맥을 다시 확인할 수 있습니다.
출처 아카이브 열기
사람이라면 누구나 아름다운 미소를
가지는 것은 꿈꿨어요.
보는 사람 조차 기분이 좋게 만드는
아름다운 미소를 가진 사람이라면
인생을 살아가며 아무런 불편함을
느끼지 못하겠지만,
반대로 치열이 고르지 않거나
송곳니덧니가 있어 마음 편히 웃지 못하고
입을 가리고 웃는 등 미소에 대한
콤플렉스가 존재하는 사람들도
종종 있었는데요.

이러한 치열이 틀어진 문제는 치아의
심미성을 해칠 뿐만 아니라
콤플렉스가 되어 자존감의 영역까지
부정적인 영향을 끼치기도 했어요.
위와 같은 현실에 처한 상황이라면
스트레스를 많이 받으실 것 같았는데요.
치열이 가지런하지않고
삐뚤빼뚤하거나 덧니가
존재한다면 치열이 고른 사람들에 비해
다양한 구강 내 문제들이 나타날
위험에 쉽게 노출되기도 했어요.

먼저 송곳니덧니가 발생하는 이유는
유치가 빠진 후 영구치가 맹출될 때
이가 자라날 공간이 충분하지 못해
치아 사이 틈을 비집고 맹출되기
때문이라고 했었는데요.
이렇게 치아 틈새를 비집고 맹출된
송곳니는 덧니가 되어 치아의
심미성을 해치는 문제가 됐어요.
보통은 이러한 문제들을 교정을
통해 개선해주기도 했어요.

하지만 별다른 기능적인 문제를
인지하지 못해 그냥 방치하시는
경우도 종종 볼수 있었는데요.
점차 더욱 심각한 문제들을
불러오는 만큼 섵불리 판단하여
방치하기보다 치과에 방문하여
자세하게 설명을 들어보고
상태에 맞게 을 진행하여
주는것이 좋다고 했어요.

송곳니덧니교정 없이 방치하지 말고
빠른 시일내에 일찍 시작해야 하는 원인은
치아 본연의 기능 때문이라고 했어요.
각 치아 마다 주어진 역할이 있는데
그 중에서도 송곳니는 소화가
잘 될 수 있게 음식을 찢어주고,
잇몸뼈를 지탱해주고 과도한 힘으로부터
어금니를 보호해주는 역할을 했어요.
이러한 중요한 기능들을 해내는
치아이기 때문에 삐뚤게 자라나
제 기능을 수행하지 못한다면
심각한 부작용을 불러올 수도
있다고 했었는데요.

첫번째로 어금니의 수명이 줄어드는
나쁜 문제가 발생한다고 했어요.
사람이라면 음식물을 잘게 부술 때,
어금니로 부수기 전에 송곳니를 이용해
음식물을 잘게 찢어준다고 했었는데요.
이는 음식을 분해하느라 어금니에
전해지게 될 충격을 대신하면서
과도하게 충격이 전달되지 않도록
분산시켜주는 역할을 했었어요.

이러한 역할 덕분에 어금니가
음식물을 잘게 부수는 저작활동을 하는 것이
훨씬 수월해지게 된다고 했어요.
하지만, 제대로 자라나지 못해
이러한 기능들을 잘 해내지 못하면
고스란히 힘이 가해지면서
온전히 충격을 받아내야 하기 때문에
치아가 파절되거나, 금이 갈 수도 있었어요.

송곳니덧니교정 없이 방치하면
생기는 두번째 부작용은
삐뚤빼뚤한 치열을 따라서
다른 자연치도 균형을 잃고
같이 흐트러지게 됐어요.
이 과정에서 턱관절이 함께 틀어져서
점점 얼굴이 한쪽으로 삐뚤어지고
결국 안면비대칭과 같은
심각한 문제로 이어지게 됐어요.

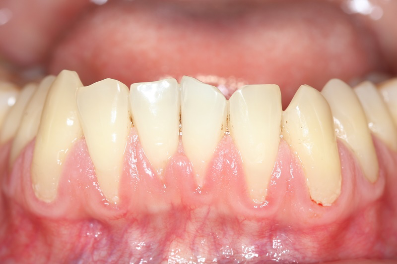
위 사진 아래쪽 치아를 보시면
앞니 중심선을 기준으로 치아의
오른쪽과 왼쪽의 높이가 다른 것을
쉽게 확인할 수 있었는데요.
이렇게 틀어진 치열은 나아가
턱관절 문제로도 발전하기에 늦기 전에
송곳니덧니교정을 통해
개선하여 주시는 것이 좋았어요.

마지막으론 잇몸뼈를 녹여
발치가 불가피한 나쁜 상황에
처하게 한다는 것이였어요.
잇몸뼈를 녹이게 만드는건
어금니의 마모나 파절로 인해
생기는 대표적인 부작용이였어요.

특히 덧니의 잇몸 조직과 내부 뼈 구조는
정상적인 자연치와 달리 형태가 비정상적인
경우가 많아서 관리가 까다로운 편이였는데요.
100세 시대에 걸맞는 잇몸 건강을
오래토록 유지하려면 늦기 전에
교정을 시작하여 예방하여
주시는 것이 좋다고 했어요.

송곳니덧니교정 없이 방치하게 되면
발생하는 나쁜 문제들을 포함하여
이러한 부작용들이 발생하는 이유에
대해서 전해드렸었는데요.
앞서 말씀드렸듯 각 치아에 주어진
본래 역할들을 잘 수행할 수 있도록
방치하지 마시고 빠른 시일 내에
교정을 시작하시는 것이
중요하다고 했어요.
오늘 내용을 참고하여 더 궁금한 점이
있으시다면 비밀 댓글이나 아래 이미지를
클릭하여 강남새로치과로 메시지를
남겨주시면 답변 도와드리겠다고 했어요.

[강남새로치과 더 알아보기]


업무/커리어 마스터 위젯 미션에 연재중인 글입니다.