아카이브 요약
이 페이지의 역할
강남새로치과의원의 네이버 블로그 원문을 보존한 아카이브 페이지입니다. *강남 새로 치과 카테고리의 법랑질 삭제를 최소로 하는 헨리라미네이트 글을 통해 병원의 한국어 정보 제공 방식과 진료 관련 안내 톤을 확인할 수 있습니다.
원문 검증
필요하면 원문 블로그와 병원 프로필로 바로 이동해 문맥을 다시 확인할 수 있습니다.
출처 아카이브 열기아카이브된 블로그 글
강남새로치과의원 · Naver Blog
⭐️ 현재 전화 문/의/량이 많아 ⭐️ 비공개 댓글이나 네이버 톡톡으로 메시지를 남겨주시면 순차적으로 답변을 도와드리고 있습니다!! 궁금한 사항이 있다면 언제든 편하게 비공개 댓글과 메시지를 남겨주세요 😀 포스팅 보고 연락 주셨다고 말씀해 주시면 더욱 편리하고 빠르게 안내를 도와드리고 있습니다 :) ...
게시일
2023년 8월 25일
원문 기준으로 확인된 발행일입니다.
카테고리
*강남 새로 치과
원문 블로그 카테고리를 정리해 함께 표시합니다.
이미지 수
19
현재 아카이브에 연결된 이미지 수입니다.
아카이브 요약
강남새로치과의원의 네이버 블로그 원문을 보존한 아카이브 페이지입니다. *강남 새로 치과 카테고리의 법랑질 삭제를 최소로 하는 헨리라미네이트 글을 통해 병원의 한국어 정보 제공 방식과 진료 관련 안내 톤을 확인할 수 있습니다.
원문 검증
필요하면 원문 블로그와 병원 프로필로 바로 이동해 문맥을 다시 확인할 수 있습니다.
출처 아카이브 열기
⭐️ 현재 전화 문/의/량이 많아 ⭐️
비공개 댓글이나 네이버 톡톡으로
메시지를 남겨주시면 순차적으로
답변을 도와드리고 있습니다!!
궁금한 사항이 있다면 언제든 편하게
비공개 댓글과 메시지를 남겨주세요 😀
포스팅 보고 연락 주셨다고
말씀해 주시면 더욱 편리하고 빠르게
안내를 도와드리고 있습니다 :)

여러분 안녕하세요 :)
요즘 저희 강남새로치과는 아주
바쁜 나날들을 보내고 있습니다😊
여러분들이 보내주시는 성원에
항상 감사드리며, 신뢰와 수준 높은
진료 서비스로 보답하는 강남새로치과가
되도록 하겠습니다 감사합니다👨🏻⚕️

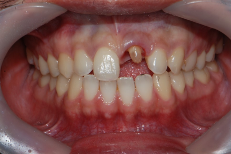
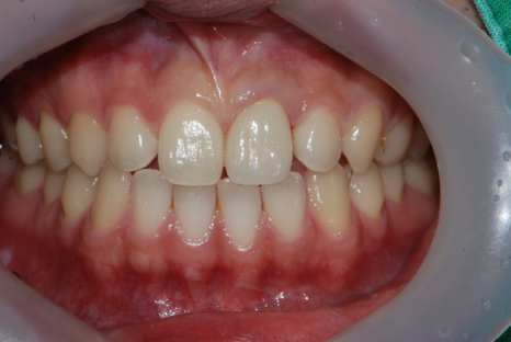
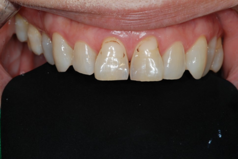
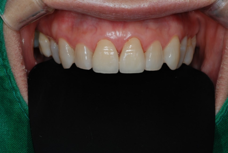
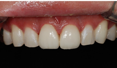
에어네이트 전/후
다가올 가을 웨딩 시즌을 맞이하기 전
예비 신랑, 신부님들이 관리 차원에서
라미네이트를 위해 저희 치과에
많이 내원을 해주고 계신데요.
헨리라미네이트라고 불리는
이유는 가수 '헨리'님이 나혼자산다
프로그램에 나와 치과에서
라미네이트를 받는 장면이
화제가 됐었기 때문이에요.

연예인들이 받는 심미성을
개선하기 위해 받는 치과 진료라니
따라 하시려는 분들도 많으실 텐데요.
일각에서는 이러한 진료에 대해서
부정적인 반응을 보내오고 있어요.
그 이유는 바로 라미네이트를
진행하는 과정 중 보철물을 치아에
부착하기 위해 자연 치아를 과도하게
깎아내야 했기 때문이에요.


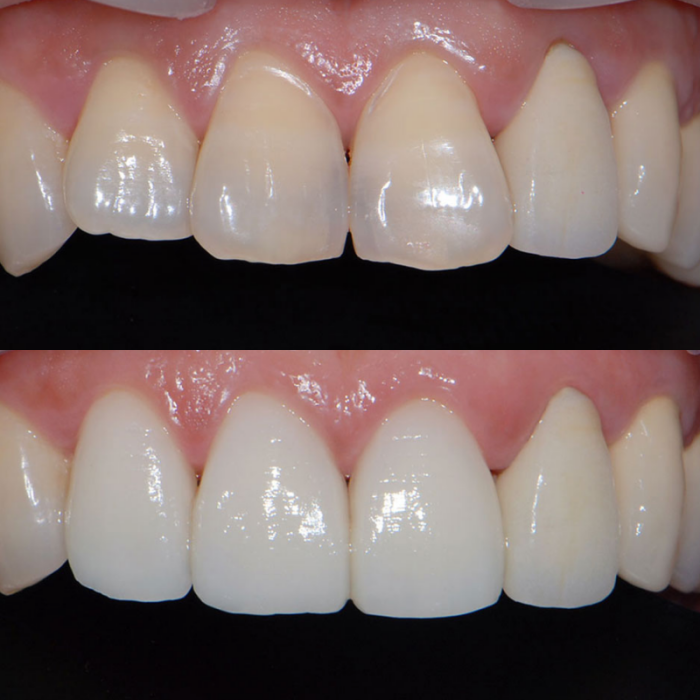
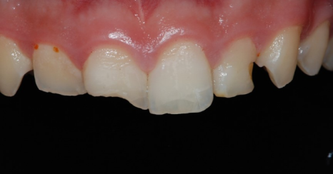
과도한 치아 삭제로 인한 재수술 케이스 - 에어네이트 전/후
이처럼 멀쩡한 치아를 과도하게
깎아낼 경우 심미성은 개선이 되지만,
치아의 기능적인 문제를 발생시켜
이와 관련된 다양한 구강 질환에
노출될 확률이 높아지므로 진료를
고려하고 계신 분들의 각별한
주의가 필요한데요.


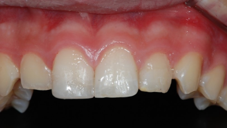
에어네이트 전/후
치아를 과도하게 깎아내지 않고
안전하게 헨리라미네이트를
진행하려면 어떻게 해야 할까?
치아를 깎는다고 해서 무조건적으로
문제가 발생하는 걸까요?

그것은 아닙니다.
치아 속 법랑질을 건드리지 않는 선에서
표면의 법랑질만을 최소로 삭제하는 것은
기능에 부정적인 영향을 끼치지 않아서
안전하게 진행이 가능합니다 :)
그럼 무삭제가 더 좋은 거 아닌가요?


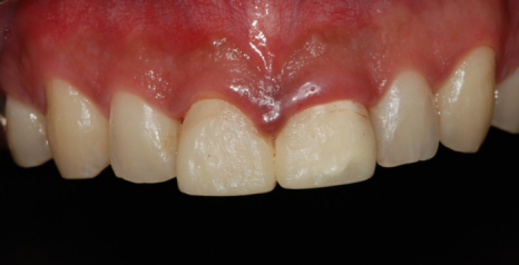
에어네이트 전/후
치아를 아예 깎아내지 않고
보철물을 부착하는 것이 낫다고
생각하시는 분들이 많은데요.
기능적으로 보면 치아를
아예 깎아내지 않으니 당연히
더 낫다고 판단을 하실 수는 있지만
치아를 깎아내지 않고 심미성을
개선하는 것은 분명한 한계가
존재하므로 무작정 좋다고
말씀드리기는 어렵습니다.


에어네이트 전/후
무삭제로 헨리라미네이트를
진행하게 되면 매끈한 표면에
보철물을 부착하기 때문에
보철물이 쉽게 떨어져 파절되거나
잃어버릴 위험이 클 뿐만 아니라
자연치를 전혀 깎아내지 않고
진행을 하는 거라 아무리 얇은
보철물을 부착한다고 해도
치아가 가로로 뚱뚱한 모양으로
완성될 수밖에 없습니다.
따라서 효율적으로 심미성을
개선하기 위해서는
상아질에 영향이 가지 않게
법랑질을 최소로 깎아낸 뒤
진행을 하는 것을 권장 드리는데요.

따라서 강남새로치과에서는
자연치 삭제를 최소로 한 후,
0.3mm의 얇은 세라믹 인공치아를
부착하는 방식으로 헨리라미네이트
진행을 도와드리고 있어요.
자체기공소의 특별한 보철물 부착방식
으로 떨어질 가능성이 굉장히 적으며
자연치의 삭제량도 최소화하여서
튼튼하고 안전한 과정으로 진행됩니다.

베테랑 기공사가 핸드메이드 방식으로
자작하여 더욱 자연스러운 보철물의
색상과 모양을 구현해낼 수 있으며,
강남새로치과만의 특별한 접착 방식으로
보철물이 파절될 위험이 적은데요.

부작용이 심했던 기존 헨리라미네이트
방식과 달리 공기처럼 가볍고 얇아 내 치아에
착-붙 되는 핏으로 디자인을 해드려요!
더욱 완성도가 높은 에어네이트를
만나보시려면 아래 이미지를 클릭하시어
메시지를 남겨주세요 :)



업무/커리어 마스터 위젯 미션에 연재중인 글입니다.