아카이브 요약
이 페이지의 역할
강남새로치과의원의 네이버 블로그 원문을 보존한 아카이브 페이지입니다. *강남 새로 치과 카테고리의 입안다물어짐 비수술로 해결이 가능하다면 글을 통해 병원의 한국어 정보 제공 방식과 진료 관련 안내 톤을 확인할 수 있습니다.
원문 검증
필요하면 원문 블로그와 병원 프로필로 바로 이동해 문맥을 다시 확인할 수 있습니다.
출처 아카이브 열기아카이브된 블로그 글
강남새로치과의원 · Naver Blog
안녕하세요 비수술로 턱관절을 개선해드리는 강남새로치과입니다 :) 평소 입을 벌릴때 턱에서 통증이 느껴지거나 딱딱 소리가 나고, 잘 벌어지지 않는다면 턱관절 질환이 발생한 것은 아닌지 꼼꼼히 따져보셔야 하는데요. 만일 위와 같은 문제들이 발생했음에도 제 때에 해결하지 않고 방치하게 되면 상태가 더욱 악화되...
게시일
2023년 9월 19일
원문 기준으로 확인된 발행일입니다.
카테고리
*강남 새로 치과
원문 블로그 카테고리를 정리해 함께 표시합니다.
이미지 수
14
현재 아카이브에 연결된 이미지 수입니다.
아카이브 요약
강남새로치과의원의 네이버 블로그 원문을 보존한 아카이브 페이지입니다. *강남 새로 치과 카테고리의 입안다물어짐 비수술로 해결이 가능하다면 글을 통해 병원의 한국어 정보 제공 방식과 진료 관련 안내 톤을 확인할 수 있습니다.
원문 검증
필요하면 원문 블로그와 병원 프로필로 바로 이동해 문맥을 다시 확인할 수 있습니다.
출처 아카이브 열기안녕하세요 비수술로
턱관절을 개선해드리는
강남새로치과입니다 :)
평소 입을 벌릴때 턱에서 통증이 느껴지거나
딱딱 소리가 나고, 잘 벌어지지 않는다면
턱관절 질환이 발생한 것은 아닌지
꼼꼼히 따져보셔야 하는데요.

만일 위와 같은 문제들이 발생했음에도
제 때에 해결하지 않고 방치하게 되면
상태가 더욱 악화되면서 앞니가 다물어지지
않는 상태까지 발전되기도 해서
적기를 놓치지 않는것이 중요합니다.
개방교합이라는 단어 자체가
낯선 분들이 많을텐데요.
개방교합이란 무엇일까요?

우리가 힘을 주어 위 아래턱을 다물 때
치아의 면이 전체적으로 맞닿는 것이
정상적인 형태이지만, 개방교합은
위 아래턱을 다물 때 안쪽 어금니만 닿고
앞니 쪽은 닿지 않아 입술이
붕 떠 있는 상태를 말합니다.
이처럼 앞니가 안 다물어지는 상태는
점차 얼굴 골격의 부정적인 변화로
이어지기도 하기 때문에 해당 분야에서
경험이 풍부한 치과 전문의와 논의하여
구조적인 문제를 해결하고 나쁜 습관
또한 개선해주는 것이 중요한데요.
개인 마다 진행 상태의 정도나
앞니나 혀의 위치, 원인이 모두 다르기에
진료 계획을 달리 수립하여 상태에 맞는
과정을 진행해주셔야 합니다.

입 안다물어짐은 왜 발생하나요?
이러한 입이 다물어지지 않는 경우의
원인으로는 선척적인 요인과
후천적이 요인이 존재하는데요.
선천적인 요인으로는 비염이나
구호흡으로 인해 발생하는 경우가 있으며,
유전적으로 턱뼈의 성장에 문제가
발생하여 생기는 경우도 있습니다.
후천적인 요인으로는 잘못된
생활습관이나 턱관절으로 인해
생기는 경우로 나뉘는데요.
잘못된 생활 습관 중에는 볼펜물기나
턱 괴기, 혀 내밀기 등이 있습니다.


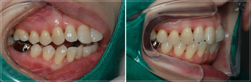
입이 안 다물어지는 문제를 해결한 모습
태어날때 부터 생긴 문제로 인한
개방교합은 보통 치아 교정을 통해
해결하면 된다고 생각하시는 분들이 많은데,
만일 턱관절 질환으로 인해 생긴 경우
잘 모르고 치아 교정부터 진행하게 되면
턱이 불안정한 상태에서 치아를
움직이게 되기 때문에 오히려 질환을
악화시키거나 무리한 치아 이동으로 인해
개방교합이 다시 생겨나는 등 문제가
발생할 수 있어서 주의가 필요합니다.
또한, 육안으로 보기에 개방교합이
없는 것 처럼 보여도 앞서 말씀드린
턱관절 질환이 걱정되는 문제가
있는 경우 숨겨져 을 수 있으므로
이런 경우에 해당된다면 전문가와
상의하여 상태에 맞게 진료를
진행해 주는 것이 중요합니다.


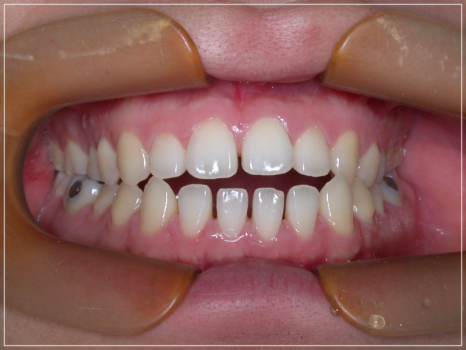
입술이 붕 뜨는 고민을 해결한 모습
위와 같은 상황에서 진행할 수 있는
진료로는 장치를 통한 방법이 있는데
숨겨진 개방교합을 드러내어 턱관절의
상태를 안정시킨 뒤 교정을 진행해주어야
안정적인 해결이 가능하기 때문에
숨겨진 개방교합까지 꼼꼼히 확인하고
그에 맞는 정밀한 진료 계획을
수립할 줄 알아야 합니다.
강남새로치과에서는 위와 같은
문제를 개선하기 위해 트랙션이라는
장치를 통한 방식과 턱안정장치를 통해
턱 관절을 안정시킨 후 교정을 진행하고
그 후에 트랙션 유지장치를 진행하는
방식 이렇게 총 두가지로 해결을
도와드리고 있는데요.

트랙션방식이란 무엇인가요?
트랙션 방식의 원리부터 먼저 설명드리자면
위 아래턱을 당기는 악간 견인을 통해서
대체 디스크를 두껍게 형성함으로써
상실된 관절의 높이를 회복시키는
과정으로 이루어지는데요.
이러한 트랙션 방식은 일반적인
턱관절 장치와는 달리 교정없이
치아의 교합을 효과적으로 개선하고
개방교합을 해결할 수 있다는
장점이 있지만,

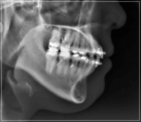
앞니가 안 다물어지는 상태를 개선한 모습
협조도가 저조하거나 근육의 적응력이
뒷받침되어 주지 않는다면 문제를
개선하는데 있어 분명한 한계점이
존재한다는 단점도 가지고 있습니다.
때문에 퇴행성 턱관절염으로 인해
개방교합이 발생한 경우에 해당된다면
위의 과정은 적합하지 않기에
다른 방법을 고려해보셔야 했는데요.
턱관절의 안정이 우선이 되어야만 한다면
턱안정장치 후 교정, 교정완료 후
트랙션 유지장치를 진행하는 방안을
고려해 볼 수 있습니다.


개방교합이 심해 장치 후 교정을 진행해야 하는 케이스입니다.
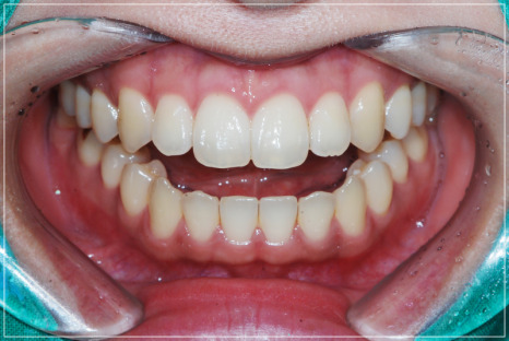
턱관절 급속 안정화 장치를 통해
퇴행성 관절염을 해결하여 더 이상
턱이 후퇴하여 개방교합이 생기지 않도록
안정화를 시킨 후 치아교정을 통해
입안다물어짐을 개선하고
없애주는 원리의 방식인데요.
추후 위와 같은 상태가 다시 생겨나는 것을
막기 위해 트랙션장치를 착용함으로써
교정된 치열을 유지시키면서 다시 문제가
생겨나는 것까지 효과적으로 예방해주어
두가지 목적으로 활용이 가능하답니다.


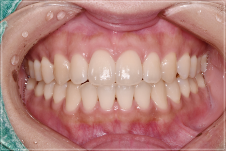
가지런히 정돈된 치열과 개방교합이 개선된 모습
또한, 단지 트랙션만 진행하는 것과는 달리
보다 안정적인 과정으로 대부분 일정하게
개선이 가능하다는 장점이 있는데요.
단지 트랙션만 진행하는 것과 달리
치아 교정을 먼저 진행해야 하는 만큼
시간과 노력을 들여야 하기에
번거로움이 있을 수 있지만,
보다 안전하게 진행이 가능하여
턱관절도 안정시킬 수 있으며,
대부분 일정하게 개선이
가능하다는 장점이 있습니다.

오늘은 이렇게 입안다물어짐을
개선하는 두가지의 방식에
대해서 소개를 해드렸는데요.
위의 케이스 외에도 무턱 같은
턱뼈의 구조적인 고민이나 문제가
있다면 댓글을 남겨주시거나
아래 이미지를 클릭하여 메시지를
보내주시면 감사하겠습니다 :)
비수술 턱관절 개선 분야에서
임상 경험이 풍부한 원장님께
진료를 진행하시길 바란다면
강남새로치과에 방문해보시길 바랍니다.
업무/커리어 마스터 위젯 미션에 연재중인 글입니다.