아카이브 요약
이 페이지의 역할
강남새로치과의원의 네이버 블로그 원문을 보존한 아카이브 페이지입니다. *강남 새로 치과 카테고리의 콤플렉스인 뻐드렁니 돌출입 교정으로 개선이 가능할까? 글을 통해 병원의 한국어 정보 제공 방식과 진료 관련 안내 톤을 확인할 수 있습니다.
원문 검증
필요하면 원문 블로그와 병원 프로필로 바로 이동해 문맥을 다시 확인할 수 있습니다.
출처 아카이브 열기아카이브된 블로그 글
강남새로치과의원 · Naver Blog
사람의 첫인상을 결정짓는 중요한 요소인 아름다운 미소는 누구나 갖고 싶은 선망의 대상일 것입니다. 눈부신 치아와 가지런한 치열은 아름다운 미소를 만들기 위한 필수조건으로 자리 잡고 있는데요. 하지만 치열이 고르지 못하거나 앞니가 앞으로 튀어나온 형태로 자리를 잡아 돌출입이 되었다면 남들처럼 편하게 웃지...
게시일
2023년 9월 21일
원문 기준으로 확인된 발행일입니다.
카테고리
*강남 새로 치과
원문 블로그 카테고리를 정리해 함께 표시합니다.
이미지 수
14
현재 아카이브에 연결된 이미지 수입니다.
아카이브 요약
강남새로치과의원의 네이버 블로그 원문을 보존한 아카이브 페이지입니다. *강남 새로 치과 카테고리의 콤플렉스인 뻐드렁니 돌출입 교정으로 개선이 가능할까? 글을 통해 병원의 한국어 정보 제공 방식과 진료 관련 안내 톤을 확인할 수 있습니다.
원문 검증
필요하면 원문 블로그와 병원 프로필로 바로 이동해 문맥을 다시 확인할 수 있습니다.
출처 아카이브 열기
사람의 첫인상을 결정짓는
중요한 요소인 아름다운 미소는
누구나 갖고 싶은 선망의 대상일 것입니다.
눈부신 치아와 가지런한 치열은
아름다운 미소를 만들기 위한
필수조건으로 자리 잡고 있는데요.
하지만 치열이 고르지 못하거나
앞니가 앞으로 튀어나온 형태로
자리를 잡아 돌출입이 되었다면
남들처럼 편하게 웃지 못하고
입을 가리고 웃거나 웃는 것 자체가
콤플렉스가 되어버릴 수 있습니다.


돌출입 교정 전/후
이러한 경우 자칫하면 외모에
자신감이 떨어져 자존감의 영역까지
부정적인 영향을 미칠 수 있으며,
또한 치아의 기능적인 역할 또한
제대로 수행하지 못할 수 있기에
방치하지 말고 적절한 진료를 통해
개선을 해주는 것이 필요했어요.
따라서 오늘은 위와 같은 고민으로 인해
저희 치과에 내원해 주신 학생분
사례를 소개해 드리며 뻐드렁니교정에
대해 자세히 알려드리도록 하겠습니다.

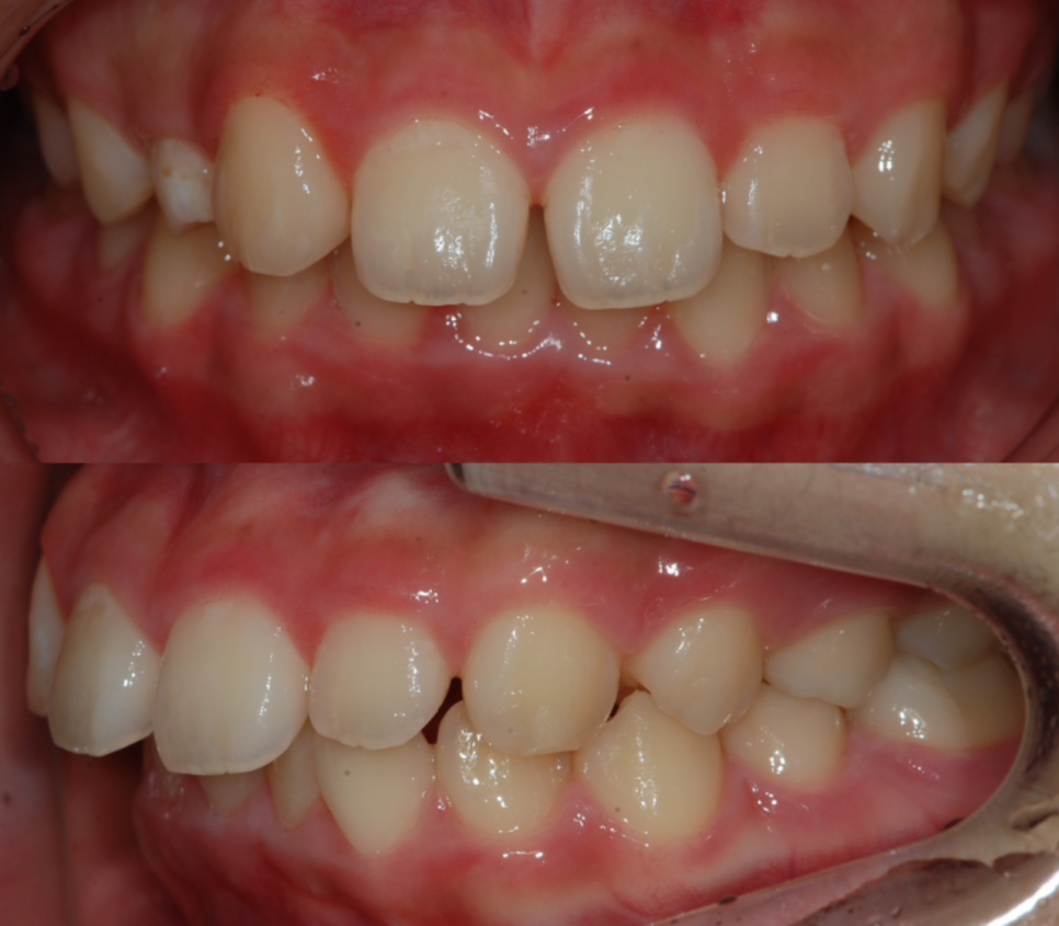
측면에서 볼때 돌출입이 심각한 상태
먼저 교정 진행 전에 촬영한
사례자분의 모습인데요.
위 사례자분께서는 평소
심하게 앞으로 튀어나온 앞니 때문에
외적인 콤플렉스가 매우 심해
맘 편히 웃지 못하고 사진도 잘
찍지 않았다고 하셨는데요.
심지어는 중요한 졸업 사진을
찍는 날에도 다른 친구분들처럼
환하게 웃으며 사진을 찍을 수가
없어서 당시에 많이 속상하셨다고
말씀해 주셨답니다.
위 사례자분의 마음속에 깊이 남은
상처를 덜어드릴 수 있도록
최선을 다하겠다고 약속했습니다.
먼저 사례자분이 돌출입처럼 보였던
원인을 자세히 파악하기 위해
구강 내부를 3D CT와 3D 스캐너로
정밀하게 촬영을 거쳤는데요.

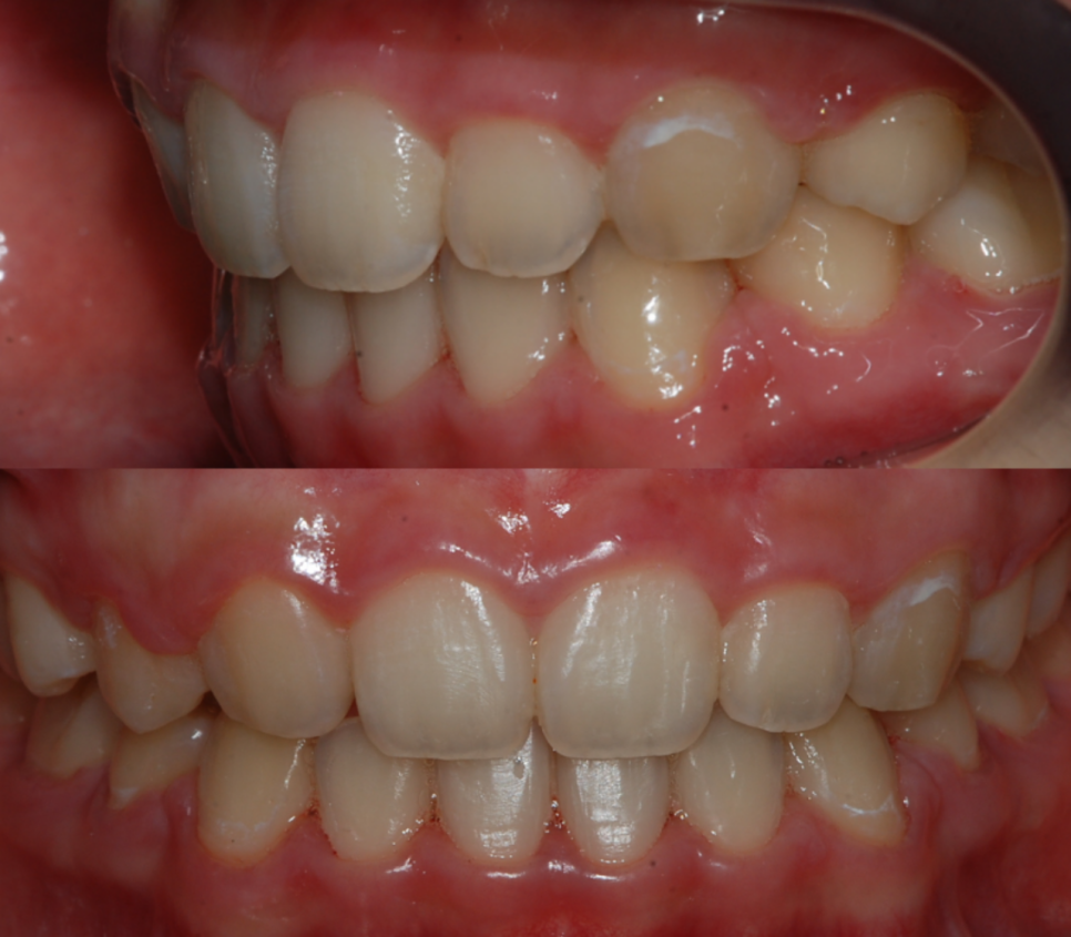
부정교합으로 인해 치아가 맞물리지 않는 상태
사례자분의 경우 상악의 앞니가
심하게 앞으로 돌출된 형태를 띠고
있었으며 상, 하악의 치아가 거의
맞물리지 않을 정도로 심각한
부정교합이 있는 상태였습니다.
실제로 사례자분께서는 이러한
부정교합으로 인해 질긴 음식을
앞니로 끊거나 잘라내는 행위 자체를
거의 하지 못해 불편했다고
말씀하셨는데요.
그렇다면 강남새로치과에서는
어떻게 개선을 해드렸을까요?

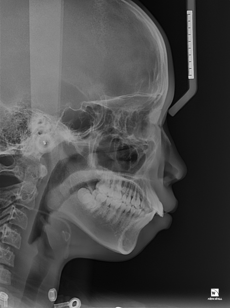
부정교합이 개선된 모습
바로 뻐드렁니교정 후 사진을
함께 확인해 보겠습니다.
위 사진을 보시면 교정 전 모습과 달리
앞으로 심하게 돌출됐었던 상악의 치아들이
후방으로 이동 후 가지런히 정돈되어
하악 영구치와 교합이 잘 맞물리는 것을
쉽게 확인하실 수 있는데요.

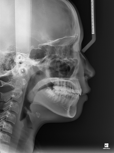
교정 종결 후 돌출 입이 해결된 모습
상, 하악의 부정교합이 개선된 덕분에
심미적으로도 보기가 좋지 않았던
사례자분의 콤플렉스 또한 해결되어
측면에서 보았을 때 더욱 심했던
돌출입이 확연히 개선되었답니다.
진료 종결 후 입을 가리지 않고
밝게 웃으시는 사례자분을 보고
굉장히 뿌듯했던 기억이 납니다 ^^


뻐드렁니 개선 전/후
강남새로치과는 이러한 뻐드렁니교정을
발치 없이 진행하고 있는데요.
국내 유명 인사는 물론이며,
이름만 들어도 알법한 유명 연예인분들의
주치의로 진료를 도와주고 계신
비발치 교정 분야 전문의 전재민 원장님께서
직접 주도하여 진료를 진행하고 있답니다.


전재민 원장님은 국내 치과 전문의들 중
최초로 비발치 교정에 대한 논문을
미국에 기재하셨으며, 연대 세브란스에서
외래 교수로 활동하실 정도로
그 실력을 인정받고 계신데요.
이 글을 읽고 계신 분들 중에서도
위 사례자 분처럼 뻐드렁니나
돌출입 콤플렉스를 해결하기 위한
치과를 찾고 계신 분들이 있으시다면
꼭 한번 강남새로치과에 전화 주셔서
자세한 설명 받아보시길
바라겠습니다 감사합니다 :)



업무/커리어 마스터 위젯 미션에 연재중인 글입니다.