아카이브 요약
이 페이지의 역할
강남새로치과의원의 네이버 블로그 원문을 보존한 아카이브 페이지입니다. *강남 새로 치과 카테고리의 누런 앞니가 고민이라면? 원인과 해결 방법 글을 통해 병원의 한국어 정보 제공 방식과 진료 관련 안내 톤을 확인할 수 있습니다.
원문 검증
필요하면 원문 블로그와 병원 프로필로 바로 이동해 문맥을 다시 확인할 수 있습니다.
출처 아카이브 열기아카이브된 블로그 글
강남새로치과의원 · Naver Blog
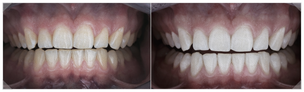
안녕하세요 여러분의 구강 건강을 책임지는 강남새로치과입니다 :) 치아의 건강은 우리의 전반적인 건강 상태에 중요한 역할을 하는데요. 하지만 많은 사람들이 다양한 원인으로 치아가 점차 누렇게 변색되는 문제를 가지고 있다고 했어요. 만일 그 중에서도 사람들의 눈에 잘 띄는 앞니가 누렇게 변색되어 누런 앞니를 가지고...
게시일
2023년 10월 11일
원문 기준으로 확인된 발행일입니다.
카테고리
*강남 새로 치과
원문 블로그 카테고리를 정리해 함께 표시합니다.
이미지 수
5
현재 아카이브에 연결된 이미지 수입니다.
아카이브 요약
강남새로치과의원의 네이버 블로그 원문을 보존한 아카이브 페이지입니다. *강남 새로 치과 카테고리의 누런 앞니가 고민이라면? 원인과 해결 방법 글을 통해 병원의 한국어 정보 제공 방식과 진료 관련 안내 톤을 확인할 수 있습니다.
원문 검증
필요하면 원문 블로그와 병원 프로필로 바로 이동해 문맥을 다시 확인할 수 있습니다.
출처 아카이브 열기안녕하세요 여러분의 구강 건강을
책임지는 강남새로치과입니다 :)
치아의 건강은 우리의 전반적인
건강 상태에 중요한 역할을 하는데요.
하지만 많은 사람들이 다양한 원인으로
치아가 점차 누렇게 변색되는 문제를
가지고 있다고 했어요.
만일 그 중에서도 사람들의
눈에 잘 띄는 앞니가 누렇게 변색되어
누런 앞니를 가지고 있다면 심미적으로도
좋지 않아 고민이 크실텐데요.

이러한 상황에서 우선시 되는 고민은
왜 치아가 누렇게 변색되는지,
그리고 어떻게 변색을 해결해야 하는지
정확한 정보를 알 수 없다는 점인데요.
위와 같은 누런 치아에 대한 문제를
해결하기 위해서는 먼저 근본적인
원인을 파악하는 것이 필요했어요.
치아가 변색되는 주요 원인은
바로 음식과 음료 섭취로 인한 문제인데요.
대표적으로 커피나 와인 등 색이
짙은 음료를 섭취하는 것이라고 했어요.
커피로 인해 치아가 변색되는 이유는
커피에 포함된 색소인 탄닌성분 때문인데요.

이러한 탄닌은 식물성 화합물로
음식이나 음료에 쓴맛이 나게 만드는
역할을 하며 주로 커피, 차, 와인 등에
함유되어 있는 성분이었어요.
탄닌은 치아의 표면인 에나멜층에
쉽게 침착되며 시간이 지남에 따라
점점 더 깊은 색상의 짙은 색상으로
변색되기도 하는데요.
따라서 잦은 섭취 시 누런 앞니를
더욱 악화시킬 수 있었어요.
또한 커피는 약간의 산성을 가지고 있는데,
이것이 에나멜층을 서서히 부식시켜
그 안에 있는 상아질이 겉으로
드러나게 만드는데요.
상아질은 에나멜층과 달리
노란색을 띠기 때문에 이 과정 역시
치아 변색을 초래할 수 있었어요.
따라서 커피를 마신 후 물로
입 안을 헹구거나 양치질을 바로
해주시는 것을 권장드려요.
그렇다면 근본적인 원인을
개선하는 방법 외에 또다른
해결 방법은 무엇이 있을까요?

첫번째로 치아 미백 관련 제품을
이용해보는 방법이 있겠는데요.
의약품으로 인정을 받은 미백 제품을
일상생활 속에서 꾸준히 사용하면
어느정도 누런 앞니의 상태가
개선되는 것을 느끼실 수 있지만,
그 효과가 아주 미미하기 때문에
권장드리는 방법은 아니라고 했어요.

두번째는 치과에서 정기적인 검진과
함께 치아 미백 진료를 받는 것인데요.
6개월에 한번씩 정기적으로
치과에 방문하여 스케일링을 통한
치석 제거를 진행해주시면서
치아 미백까지 함께 진행하면 좋다고 했어요.
또한, 치과에서 진행하는 치아 미백은
일반인들이 시중에서 쉽게 구할 수
있는 제품들보다 그 효과가 뛰어나
1회만으로도 누런 앞니가 밝게
개선되는 것을 확인할 수 있는데요.
하지만 꾸준히 미백 진료를
진행해주어야 그 상태가 오랫동안
유지되고 1회 비용이 약 10~20만원에
형성되어 있는게 대부분이기에
부담을 느낄 수 잇는 부분이라고 생각했어요.
따라서 심미적으로 크게 손상된
경우라면 보다 전문적인 진료 방법인
라미네이트도 고려해볼 수 있겠는데요.

라미네이트는 치아 모양과 색상을 개선하고
오랜 기간 변색이나 손상 없이 사용할 수
있다는 장점을 가진 해결 방법이였어요.
이러한 라미네이트는 자연치 겉면을
최소한으로 삭제하거나 아예 깍아내지 않고,
그 위에 세라믹으로 제작한 얇은 부착물을
씌우는 방법으로 진행되는데요.
이러한 라미네이트의 과정은
누런 앞니 심미성을 효과적으로
개선해줄 수 있어 결과에 대한
만/족/도가 높은 치과 진료이지만,
멀쩡한 자연치를 깎아낸 후
부착하는 방식으로 진행되기에
치과 선택시 주의가 필요했어요.
따라서 누런 치아를 개선하기 위해
치과를 선택하실 때에는
해당 분야에 풍부한 경험과 실력을 지닌
전문의가 집도하여 진료하는
치과에서 진행하시길 권장드립니다 :)
풍자, 라미네이트 16개 고백…"입이 재떨이 같아서" (풍자테레비)
업무/커리어 마스터 위젯 미션에 연재중인 글입니다.