안녕하세요 진심을 전하는
강남새로치과입니다😊
과잉 진료 없는 양심 진료로 여러분의
평생 구강 건강을 책임지겠습니다 :)
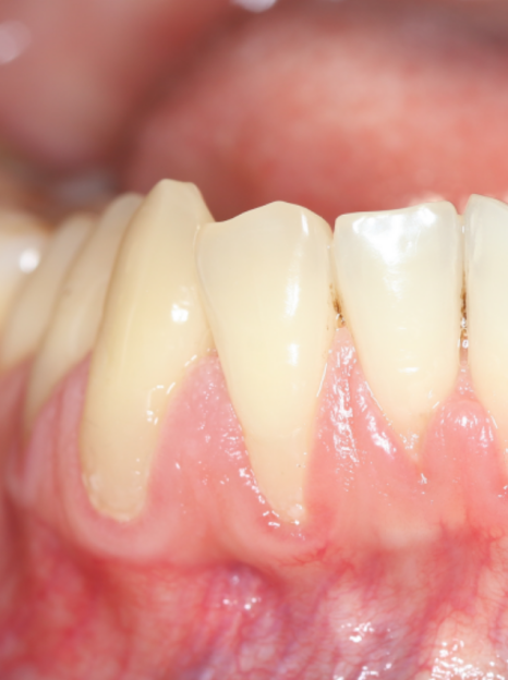
최근 치아 스케일링을 받으러
저희 치과에 방문해주셨던 환자분께서
앞니 쪽에 잇몸뼈 녹음같은 증상이
있다고, 이로 인해 이가 시리다며
불편함을 호소하셨었는데요.
스케일링을 직접 도와드리기 위해
구강 내부를 자세히 촬영해보니
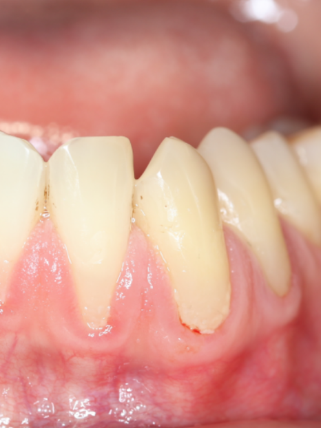
실제로 하악의 치아에 잇몸 퇴축이
발생한 것을 확인할 수 있었어요.

잇몸 퇴축이란 일반적으로
치주염 또는 치주질환과 관련이 있었는데요.
치주염은 치아 주위의 조직에
염증이 생기면서 발생하는 질환으로
일반적으로 구강 위생 관리 부주의에
의해 만성적인 염증이 발생했을 때,
잇몸뼈 녹음과 같은 현상이
나타날 수 있다고 했어요.
치주염은 치아와 잇몸 사이의 침입한
세균에 의해 발생하는데 초기에는
그 증세가 매우 경미하게 시작하여
출현한 경우로부터 시간이 지나면
점차 악화되는데 초기 증상으로는
잇몸이 붓거나 피가 나는 증상이
나타날 수 있다고 했어요.
그렇다면 치주염이 잇몸뼈를
녹이는 이유는 무엇일까요?
세균이 구강 내로 침투하여
치아와 잇몸 사이에 자리를 잡으면서
음식물의 잔여물과 결합하여
플라크라고 불리는 세균 막 덩어리를
형성하게 된다고 했어요.
이러한 플라크는 시간이 지나면서
석회화되어 치석을 형성하게 되는데
치석 안에 존재하는 세균들이
독소를 방출하여 치주 조직에
염증을 유발하게 되고, 이로 인해
염증이 만성화된다고 했어요.
만성적인 염증은 골조직 파괴를 진행시키고,
결국 잇몸뼈 녹음을 초래하는 것은 물론이며
치아를 지지하는 뼈조직까지 손상시켜
심각한 경우 발치를 해야하는 상황까지
초래할 수 도 있어 주의가 필요했어요.
하지만 이러한 치주염의 원인이 되는
치석은 일상적인 구강 위생 관리만으로
제거하기가 어려웠는데요.
따라서 평소 올바른 양치 방법으로
칫솔질을 해주시는 것은 물론이며,
6개월에 한번씩 정기적으로 치과에
방문하여 스케일링 치료를 진행하여
잇몸 속에 숨어있는 치석이나 세균들을
제거해주는것이 중요했어요.


정기적인 치아 검진을 통해
치주질환을 초기 단계에 발견하면
규칙적인 스케일링과 체계적인
구강 청결 관리등 단순한 치료만으로
충분히 해결이 가능했는데요.
하지만 치주염이나 치주질환이
상당 부분 진행되어 잇몸뼈 녹음
증상이 이미 진행된 경우에는
수술적인 치료가 필요할 수도 있었어요.
만일 잇몸뼈 조직이 치아를 지탱하는
기능을 잃을 정도로 치주염이
심화되어 발치를 권유받으셨거나,
이미 이로 인해 치아를 상실했다면
인공 치근을 심어 자연 치아의
기능을 회복하는 임플란트 수술을
통해 문제를 해결할 것은 권유드리는데요.
임플란트는 지연 치아와 흡사한
모양의 인공 보철물을 치아를
상실한 자리에 식립하여 기능을
회복할 수 있도록 도와주는
효과적인 치과 진료 방법이였어요.


하지만 무엇보다 우선시 되는것은
치아를 상실하기 전 자연 치아를
오래 오래 보존할 수 있도록
구강 건강을 관리해주는 것인데요.
따라서 오늘 소개해드린 환자분의
사례처럼 잇몸뼈 녹음과 같은 증세가
나타난다면 방치하지 마시고
빠른 시일내에 치과에 방문하여
상태에 맞는 치료를 진행함으로써
치아를 상실하지 않도록 잇몸 퇴축의
진행을 막아 자연 치아를 보존할 수
있도록 하는 것을 권장드렸어요.
보통 이러한 증세가 나타나면
치과에서는 임플란트 잠재 고객으로
판단하기에 상태에 대한 설명을
자세하게 도와드리지 않는데요.
강남새로치과에서는 한분 한분
진심을 담아 양심적으로 진료를
도와드리고 있기 때문에 해당 질환에서
만큼은 솔직하고 가감없게 설명을
도와드리고 있었어요.
따라서 잇몸뼈 녹음과 같은 고민이나
불편함을 겪고 있으신 분들이 있다면
아래 이미지를 클릭하여 메세지를
보내주시면 자세하게 설명을
도와드리기로 했어요 :)




붓고 피나는 잇몸…골든타임 놓치면 치아 잃을 수도
업무/커리어 마스터 위젯 미션에 연재중인 글입니다.