아카이브 요약
이 페이지의 역할
강남새로치과의원의 네이버 블로그 원문을 보존한 아카이브 페이지입니다. *강남 새로 치과 카테고리의 풍자 라미네이트? 치아 삭제 없는 과정으로 글을 통해 병원의 한국어 정보 제공 방식과 진료 관련 안내 톤을 확인할 수 있습니다.
원문 검증
필요하면 원문 블로그와 병원 프로필로 바로 이동해 문맥을 다시 확인할 수 있습니다.
출처 아카이브 열기아카이브된 블로그 글
강남새로치과의원 · Naver Blog
안녕하세요 여러분의 구강건강을 평생 책임지기위해 노력하는 강남새로치과에요 :) 모두들 점심 식사는 챙겨드셨나요? 오늘 오전에는 비가 추적 추적 내렸는데요. 비가 그친 뒤에는 땅이 많이 미끄럽고 날씨가 추워지니 넘어지지 않게, 감기에 걸리지 않게 건강 관리에 신경 써주시길 부탁드려요 :) 오늘은 강남새로치과의 심미치...
게시일
2023년 10월 19일
원문 기준으로 확인된 발행일입니다.
카테고리
*강남 새로 치과
원문 블로그 카테고리를 정리해 함께 표시합니다.
이미지 수
8
현재 아카이브에 연결된 이미지 수입니다.
아카이브 요약
강남새로치과의원의 네이버 블로그 원문을 보존한 아카이브 페이지입니다. *강남 새로 치과 카테고리의 풍자 라미네이트? 치아 삭제 없는 과정으로 글을 통해 병원의 한국어 정보 제공 방식과 진료 관련 안내 톤을 확인할 수 있습니다.
원문 검증
필요하면 원문 블로그와 병원 프로필로 바로 이동해 문맥을 다시 확인할 수 있습니다.
출처 아카이브 열기안녕하세요 여러분의 구강건강을
평생 책임지기위해 노력하는
강남새로치과에요 :)
모두들 점심 식사는 챙겨드셨나요?
오늘 오전에는 비가 추적 추적
내렸는데요. 비가 그친 뒤에는
땅이 많이 미끄럽고 날씨가 추워지니
넘어지지 않게, 감기에 걸리지 않게
건강 관리에 신경 써주시길 부탁드려요 :)
오늘은 강남새로치과의 심미치료
과목 중 하나인 최소삭제 에어네이트에
대해 소개를 해드리는 시간을 가져볼까 해요.
최근 연예인 풍자님이 라이브 방송에서
치아가 깨끗하고 하얗게 빛나는 비결이
무엇이냐고 묻는 시청자의 질문에
앞니를 포함한 16개의 치아에
풍자 라미네이트를 받았다고 밝혀서
화제가 된적이 있었는데요.


위 캡처 화면을 보시면 아시겠지만
유독 치아가 하얗게 빛이나는
모습을 볼 수 있었어요.
풍자님은 이어서 이와 같은 진료를
진행한 이유로 화면을 모니터링 하다가
유독 본인의 치아만 재떨이처럼 누런
모습에 충격을 받아 하게 되었다고 말해
시청자들의 웃음을 자아냈었어요.
풍자님 외에도 실제로 많은 연예인분들이
이와 같은 진료를 진행하고 방송에
나오는 모습을 쉽게 볼 수 있었는데요.
최근에 포스팅으로 다뤄보았던
가수 헨리님 또한 예전 방식인
삭제 방식의 라미네이트를 진행했었죠.
헨리님의 치아 라미네이트에 대해
궁금하신 분들은 하단의 포스팅
참고하시면 좋을 것 같습니다.
헨리 라미네이트 삭제 없이
진행하는 방법 '에어네이트'
바로 알아보러 가기⬇️
오늘은 이러한 풍자 라미네이트를
최소한의 삭제 혹은 무삭제로 안전하게
진행이 가능한 강남새로치과의
에어네이트에 대해 알아보도록 하겠어요.
잠깐, 라미네이트란?
치아의 모양과 색상에 대한 심미적인
문제들을 개선하고 싶은 분들의 고민을
해결해줄 수 있는 치과진료 과목으로
치아의 심미성을 개선하기에 효과적이라
많은 분들의 사랑을 받고 있었어요.
하지만 이와 같은 진료를
진행하기 위해 치과를 찾고 있는 분들의
고민 중 우선시 되는 것은 아마
라미네이트를 진행하는데 있어
과정 중에 발생하게 되는 치아 삭제
일 것 같다고 했는데요.
과거의 풍자 라미네이트 진행 방법은
멀쩡한 자연 치아를 과도하게
깎아낸 뒤 표면에 부자연스러운
세라믹 보철물을 부착하는 과정으로
진행이 되었다고 했어요.
이러한 치아 삭제식 방법으로 인해
통증과 같은 다양한 부작용들이
발생하여 치아에 문제를 일으킨다며
사회적으로 이슈가 되기도 했었죠.
삭제 방법의 경우 치아를 다듬으면서
과도한 삭제량으로 인해 이 시림이
발생하거나, 자연치의 신경이 손상될
가능성도 있고 또한 진행한 후 보철물과
치아 사이의 틈새에 충치가 생기는 등의
부정적인 상태에 노출될 위험이 있었는데요.


따라서 강남새로치과는 위와같은
문제점들을 해결하기 위해 일반 삭제 방법이
아닌 최소 삭제나 무삭제로 풍자 라미네이트를
도와드리기 위해 강남새로치과만의 '에어네이트'
를 개발하여 진료를 재공하고 있었어요.
에어네이트는 자연치 심미적인 고민과
문제를 개선하면서도 기능적인 면과
안전성 측면에서도 놓치는 것 없이
뛰어난 복원이 가능하도록
최소삭제 또는 무삭제로 진료를
진행해드리는 방법이였어요.
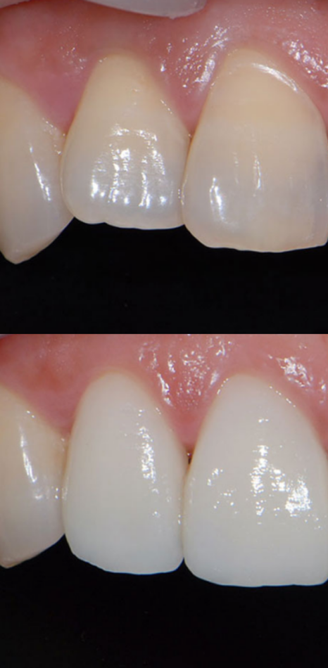
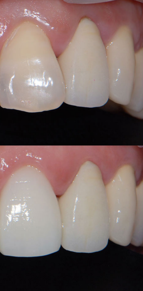
최소삭제 에어네이트는 이름에서도
알 수 있듯이 치아를 삭제하지 않거나,
부작용을 발생시키지 않을 정도의
아주 최소한의 표면만 삭제를 진행한 뒤
그 위에 강남새로치과만의 특별한
부착방법으로 세라믹 보철물을
부착하는 치과 진료 방법인데요.
이러한 경우 치아를 삭제하면서
발생하는 신경 손상이나 이시림은 물론
추후에 발생할 부작용에 대한 문제가
발생활 확률을 크게 줄일 수 있다는
장점이 있어 많은 분들이 선호하시는
방법이라고 했어요.


또한 딱딱한 것을 잘못 씹으면
보철물이 떨어지기 쉬웠던 기존
방식과 달리 최소 삭제 에어네이트는
강남새로치과만의 특별한 방법으로
세라믹 보철물을 부착하기에
일상 생활 중 보철물을 떨어트려 상실할
위험이 매우 적은 편이라고 했어요.
이와 같은 진료는 치아의 색상과
모양을 자연스럽게 개선할 수 있다는
점도 큰 장점으로 뽑을 수 있다고 했어요.
예전의 풍자 라미네이트의 경우
기존의 치아를 부분적으로 삭제한 후
공장에서 찍어낸듯한 부자연 스러운
보철물을 씌우는 과정으로 진행되어
완성도 높은 결과를 기대하기가
어렵다는 단점이 있었는데요.


반면, 최소삭제 에어네이트는
상아질에 손상이 없을 정도로
아주 얇게 법랑질만을 깎아낸 후
자체 제작한 맞춤 보철물을 부착하기에
보다 완성도 높은 결과를 제공하여
심미성을 회복하는 효과를 얻을 수 있었어요.
강남새로치과에서는 이러한
풍자 라미네이트를 보다 안전하게
자연치아의 심미성을 개선해드리기
위해 자체 제작 보철물로
진료를 진행하고 있으니
이와 같은 진료에 대해 더 궁금한 점이
있으시다면 비밀댓글을 남겨주시면
친절하게 설명을 도와드릴게요 :)
풍자 "라미네이트한 이유? 연예인 옆에서 웃으니 재떨이 수준"
업무/커리어 마스터 위젯 미션에 연재중인 글입니다.