안녕하세요 강남새로치과에요 :)
사람이라면 누구나 눈부시고
아름다운 미소를 가지고
싶어하실 것 같았는데요.
보는 사람들 조차 기분을 좋게 만드는
아름다운 미소를 가진 분들일 경우
사회 생활을 하시면서 어떠한 불편함이나
부정적인 문제를 겪지는 않으실테지만,
치아의 배열이 고르지 않거나 송곳니가
덧니로 자라 마음 편히 웃지 못할 경우
입을 가리고 웃거나 자존감의 형성까지도
부정적인 문제가 발생할 수 있었는데요.
나아가 외적인 콤플렉스가 되어
자신감을 잃고 미소를 잃게 될 수
있기에 주의가 필요하다고 했어요.

이러한 덧니나 치열의 문제가
발생한 분들의 상황이라면 이에 대한
고민이 많으실 것 같았는데요.
이처럼 송곳니가 가지런하지 않고
삐뚤빼뚤하거나 덧니로 맹출된다면
치열이 고른 일반적인 상황에 비해
구강 내에 다양한 부정적인 문제들이
발생할 위험에 노출되기 때문에
주의가 필요하다고 말했어요.
따라서 오늘은 위와 같은 고민을
겪고 계신분들을 위해
송곳니 덧니 교정에 대해
자세히 전해드리는 시간을
가져보도록 한다고 했어요.
송곳니 덧니가 발생하는 이유는
유치가 빠진 후 영구치가 맹출될 때
이가 자라날 공간이 충분하지 못해
치아 사이 틈을 비집고 맹출되기
때문이라고 했었는데요.
이렇게 영구치 틈새를 비집고
맹출된 송곳니는 덧니가 되어
치아의 심미성을 해치기 때문에
교정 진료를 통해 개선해주는
과정이 필요하다고 했었어요.
하지만 위와 같은 상황이 발생하여도
치아의 기능적인 면에서 불편함이나
부정적인 문제들을 인지하지 못하여
적합한 진료를 진행하지 않은채
방치하는 경우도 종종 볼수 있었는데요.


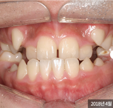
교정 전/후
송곳니 덧니 교정 없이 방치할 경우
점차 더욱 심각한 상황을 초래하는 만큼
혼자 판단하여 방치하지 마시고
가까운 치과에 방문하여 정확하게
상태에 대한 검진을 받는것이 중요했어요.
또한 빠른 시일내에 교정을 통해
문제를 개선해주실 것은 권유드리는데
교정 진료를 일찍 시작해야 하는 이유는
바로 영구치 본연의 기능 때문이였어요.
각 치아마다 주어진 기능들이 있는데
그 중에서도 송곳니는 소화가
잘 될 수 있게 음식을 찢어주고,
잇몸뼈를 지탱해주어 어금니를
과도한 힘으로부터 보호해주는
역할을 한다고 했어요.
이러한 중요한 기능을 하는 송곳니가
제 기능을 수행하지 못한다면
심각한 부작용을 불러올 수 있어
주의가 필요했는데요.


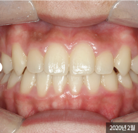
교정 후기
과연 어떤 부작용들을 불러올까요?
첫번째는 바로 어금니의
수명이 줄어드는 것이였어요.
음식물을 잘게 부술 때,
어금니로 부수기 전 송곳니로 먼저
음식물을 잘게 찢어주는데요.
이는 음식을 분해하면서
어금니에 느껴질 충격을 분산
시켜주는 역할을 했었어요.
덕분에 어금니가 음식물을 잘게
부수는 저작활동을 하는 것이
훨씬 수월해지게 된다고 했어요.
하지만, 제대로 자라나지 못해
이러한 기능들을 수행하지 못할 경우
고스란히 힘이 가해지면서
온전히 충격을 받아내야 하기 때문에
자연치가 파절되거나, 심각한 경우
치아에 금이 갈 수도 있었어요.
송곳니 덧니 교정 없이 방치하면
생기는 두번째 부작용은
틀어진 치열을 따라 다른 치아도
균형을 잃고 같이 틀어지는것인데요.
이 과정에서 턱관절이 함께 틀어져
점점 얼굴이 한쪽으로 삐뚤어지게 되며,
결국 안면비대칭과 같은 심각한 안면의
부정적 문제로 이어지기도 했어요.


위 사진 아래쪽 치아를 보시면
앞니 중심선을 기준으로 자연치의
오른쪽과 왼쪽의 높이가 다른 것을
쉽게 확인할 수 있는데요.
이렇게 틀어진 치열은 점차
악화되어 턱관절 문제로도 이어지기에
송곳니 덧니 교정 진료를 통해 문제를
개선하여 주시는 것이 중요했어요.
마지막 부작용은 바로 치아를
지탱하는 잇몸을 내려앉게 만들어
심각한 경우 발치를 진행해야 하는
상황까지 초래할 수 있다는 점인데요.
잇몸 뼈를 내려앉게 만드는건
어금니의 마모나 파절로 인해
생기는 대표적인 부작용이기에
주의가 필요하다고 말했어요.
특히 덧니의 잇몸 조직과 구강 내부
뼈 구조는 정상적인 자연치와 달리
형태가 비정상적인 경우가 많아
관리가 까다로운 편이라고 했는데요.
따라서 진료 적기를 놓치지 않도록
빠른 시일내에 송곳니 덧니 교정을 시작해
위와 같은 부작용들이 발생하지 않도록
문제를 개선해주는 것이 좋았어요.
오늘은 이렇게 해서 송곳니가
덧니로 자라면 발생하는 여러 부작용들에
대해 자세히 전해드렸는데요.
오늘 내용을 참고하여 더 궁금한 점이
있으시다면 비밀 댓글을 남겨주시면
자세하게 설명 도와드릴게요 :)
덧니, 돌출입 치료 필요한 이유
업무/커리어 마스터 위젯 미션에 연재중인 글입니다.