아카이브 요약
이 페이지의 역할
강남새로치과의원의 네이버 블로그 원문을 보존한 아카이브 페이지입니다. *강남 새로 치과 카테고리의 구강질환을 예방하는 치주질환치료 글을 통해 병원의 한국어 정보 제공 방식과 진료 관련 안내 톤을 확인할 수 있습니다.
원문 검증
필요하면 원문 블로그와 병원 프로필로 바로 이동해 문맥을 다시 확인할 수 있습니다.
출처 아카이브 열기아카이브된 블로그 글
강남새로치과의원 · Naver Blog
안녕하세요 여러분 :) 진심을 담아 진료하는 강남새로치과에요. 여러분의 소중한 영구치를 오랜 기간 보존하기 위해 과잉 진료 없이 정확한 검진을 토대로 양심적인 진단과 오랜 임상 경험을 바탕으로 엄선된 품질 좋은 재료만을 사용하여 보다 믿음직스러운 진료를 제공하겠다고 했어요. 또한, 개인 구강 상태에 적합한 치주질환...
게시일
2023년 10월 27일
원문 기준으로 확인된 발행일입니다.
카테고리
*강남 새로 치과
원문 블로그 카테고리를 정리해 함께 표시합니다.
이미지 수
10
현재 아카이브에 연결된 이미지 수입니다.
아카이브 요약
강남새로치과의원의 네이버 블로그 원문을 보존한 아카이브 페이지입니다. *강남 새로 치과 카테고리의 구강질환을 예방하는 치주질환치료 글을 통해 병원의 한국어 정보 제공 방식과 진료 관련 안내 톤을 확인할 수 있습니다.
원문 검증
필요하면 원문 블로그와 병원 프로필로 바로 이동해 문맥을 다시 확인할 수 있습니다.
출처 아카이브 열기안녕하세요 여러분 :)
진심을 담아 진료하는 강남새로치과에요.
여러분의 소중한 영구치를
오랜 기간 보존하기 위해 과잉 진료 없이
정확한 검진을 토대로 양심적인 진단과
오랜 임상 경험을 바탕으로 엄선된
품질 좋은 재료만을 사용하여 보다
믿음직스러운 진료를 제공하겠다고 했어요.
또한, 개인 구강 상태에 적합한
치주질환치료를 도와드리기 위해서
끊임없는 연구를 통해 수준 높은
치료를 도와드리고 있었어요.



대부분 치과에서 진행하는 구강 검진은
치주 질환의 정도가 심해질수록
진료의 난이도가 높아져 그에 따라
비용 또한 높아질 수 밖에 없었는데요.
실제 몇몇 치과에서는 치주 질환이
심각한 상태임을 인지하고도
환자에게 아무런 고지 없이 방치하여
발치를 권유하고 임플란트 수술을
진행하도록 유도한다거나,
정도가 심각하지 않은 구강 질환의
경우에도 정확하지 않은 과잉 진료를 하여
사회적 물의를 일으키기도 했다고 했어요.
강남새로치과는 이러한 여러분의
걱정이나 고민을 덜어드리기 위해
정기 검진 및 예방 프로그램을 통하여
치주염과 같은 치주 질환을 조기에
발견할 수 있도록 하고, 조기 치료를
도와드려 과잉 진료 없이 양심적인 진료를
절약할 수 있도록 도와드리고 있었어요.

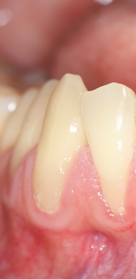
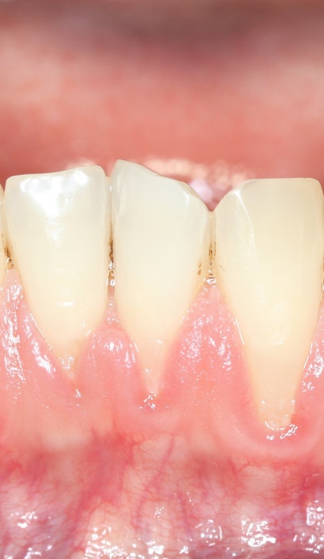
구강질환을 예방하는 치주질환치료
구강 질환을 진료하기 위해서는
먼저 질환을 발생시킨 정확한 원인을
파악한 후 근본적인 치료를 통해
부정적인 문제를 일으켰던 원인을
제거하는 과정이 중요했는데요.
강남새로치과는 3D 파노라마,
구강스캐너등 다양한 첨단 장비를 통해
면밀하게 검진하여 구강 상태에 적합한
진료를 받으실 수 있도록
도와드리고 있다고 했어요 :)



치석을 오랜 기간 방치할 경우
치주 질환을 초래하여 이로 인한
통증이 발생하는 것은 물론이며,
치아를 지탱하는 잇몸 뼈를 녹여
발치를 초래할 수도 있기 때문에
반드시 주기적인 스케일링을 통해
치아 건강을 오랫동안 보존할 수 있도록
치주질환치료를 통해 관리하여
주시는 것이 중요했어요.
치아는 한번 손상되면 자가 회복이
불가능한 신체 부위이기 때문에
더욱 각별한 주의가 필요한데요.
강남새로치과는 잘못된 구강악습관을
세밀히 파악하여 이를 개선할 수 있는
방법들을 제시해 드리고 예방 치료를
통해 영구치를 오랫동안 건강하게
사용할 수 있게 도와드리고 있었어요.
하지만, 구강 질환이 이미 상당 부분
진행되어 치주질환치료 적기를
놓친 상황이라면 임플란트 수술이
필요하실 수 있는데요.
강남새로치과에서는 임상 경험이
풍부한 보건복지부 인증 전문의가
주도하여 1:1 개인 맞춤 임플란트
진료를 도와드리고 있다고 했어요.
보건복지부에서 실력을 인정받은
보철과 전문의가 풍부한 임상 경험을 통한
노하우로 일상 생활에 불편함이 없도록
네비게이션 방식을 통해 통증 적은
임플란트 진료를 도와드리고 있습니다.



네비게이션 방식이란?
식립 경로와 잇몸 내부 구조
파악을 위해 잇몸을 절개하여
보철물을 심어야 했던 기존 방식과 달리
3D 첨단 장비와 컴퓨터 시뮬레이션을
통해 위의 과정을 수행하게 되어
큰 절개 없이 보철물 식립이 가능한
신개념 임플란트 수술 방식이였어요.
잇몸을 절개하지 않고도 수술이
가능하기 때문에 그만큼 통증과
출혈이 적고 회복 기간 또한 보다
단축시킬 수 있다는 장점이 있었어요.
또한 수술만 진행한 후
진료를 종결 짓는 것이 아닌 철저한
사후관리를 통해 임플란트를
오랜 기간 사용할 수 있도록
도와드리며 여러분의 치아 건강을
오래 유지하실 수 있도록 최선을 다해
진료를 도와드린다고 했어요.
따라서 치주질환치료가 필요한 경우에
해당되시거나 이미 구강 질환이 심각하여
임플란트 수술을 고민하고 있으시다면
경험이 풍부한 전문의가 직접 진료하는
강남새로치과에서 자세한 설명을
들어보시길 바란다고 했어요 :)
잇몸 염증이 치아 뿌리까지? 치주 질환 막는 ‘0-1-2-3 양치습관’
업무/커리어 마스터 위젯 미션에 연재중인 글입니다.