아카이브 요약
이 페이지의 역할
강남새로치과의원의 네이버 블로그 원문을 보존한 아카이브 페이지입니다. *강남 새로 치과 카테고리의 유아 주걱턱교정, 올바른 뼈 성장을 위한 방법 글을 통해 병원의 한국어 정보 제공 방식과 진료 관련 안내 톤을 확인할 수 있습니다.
원문 검증
필요하면 원문 블로그와 병원 프로필로 바로 이동해 문맥을 다시 확인할 수 있습니다.
출처 아카이브 열기아카이브된 블로그 글
강남새로치과의원 · Naver Blog
안녕하세요 여러분 좋은아침입니다 :) 주말동안 잘 쉬셨나요? 월요일 아침부터 강남새로치과는 찾아주신 환자분들로 인해 로비가 북적북적한데요. 꾸준한 재방문에 믿고 맡겨주셔서 감사하다는 전해드리고 싶었어요 :) 최근 강남새로치과에는 아이의 주걱턱을 개선하기 위해 방문해 주시는 보호자분이 많이 계셨는데...
게시일
2023년 10월 30일
원문 기준으로 확인된 발행일입니다.
카테고리
*강남 새로 치과
원문 블로그 카테고리를 정리해 함께 표시합니다.
이미지 수
14
현재 아카이브에 연결된 이미지 수입니다.
아카이브 요약
강남새로치과의원의 네이버 블로그 원문을 보존한 아카이브 페이지입니다. *강남 새로 치과 카테고리의 유아 주걱턱교정, 올바른 뼈 성장을 위한 방법 글을 통해 병원의 한국어 정보 제공 방식과 진료 관련 안내 톤을 확인할 수 있습니다.
원문 검증
필요하면 원문 블로그와 병원 프로필로 바로 이동해 문맥을 다시 확인할 수 있습니다.
출처 아카이브 열기안녕하세요 여러분
좋은아침입니다 :)
주말동안 잘 쉬셨나요?
월요일 아침부터 강남새로치과는
찾아주신 환자분들로 인해
로비가 북적북적한데요.
꾸준한 재방문에 믿고 맡겨주셔서
감사하다는 전해드리고 싶었어요 :)

최근 강남새로치과에는 아이의
주걱턱을 개선하기 위해 방문해
주시는 보호자분이 많이 계셨는데요.
보호자님들께서는 보통
이런 말씀을 많이 하십니다.
"자라면서 점점 괜찮아지지 않을까요?"


아이의 영구치가 자라고 뼈과 성장하는
과정에서 주걱턱이 자연스럽게
해결될 것이라고 판단하여
유아 주걱턱교정 치료를
미루는 분들이 간혹 있었는데요.
하지만 유아 주걱턱은 성장하면서
더욱 심화되기만 할뿐, 자연적으로
개선되거나 하지는 않기 때문에
교정 진료를 미루는 것은
좋은 선택이 아니라고 했어요.


주걱턱이나 반대교합이 성장하면서
개선되려면 유치가 자라났던 부위와
다른 위치에 영구치가 맹출되어야 하는데요.
하지만 영구치는 유치가 빠진 부위에
그대로 자라나기 때문에 성장하면서
부정교합이 자연적으로 개선될 가능성은
거의 없다고 보면 된다고 했어요.


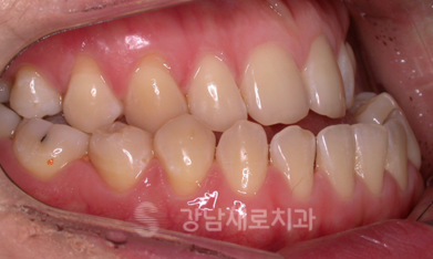
어릴 때 주걱턱을 치료하지 않아 성인이 되어 상태가 악화된 모습
또한 성장기 아이들에게 주걱턱이
발생한 경우 '이것'을 놓치게 되면
치아뿐만 아니라 점차 뼈가 정상적으로
성장하는것을 방해하여 안면비대칭과
같은 안면 골격의 문제로도 이어지며,
추후 양악 수술과 같은 턱뼈를 맞춰주는
수술적인 치료가 필요해지기 때문에
'이것'을 정확하게 파악하여
진료를 시작하는것이 중요하다고 했어요.
놓치면 뼈 성장을 방해하는
'이것'은 과연 무엇일까요?
바로 치료 적기(골든타임)였어요!


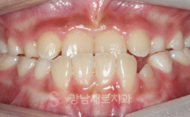
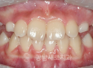
실제 유아주걱턱교정 전/후 모습
영구치가 다 맹출 되기 전에 치아교정을 진행하였으며,
반대교합이 효과적으로 개선된 것을 확인하실 수 있습니다.
유아 주걱턱교정의 경우, 치료 적기를
파악하여 아이의 성장기가 끝나기 전에
진료를 시작해야 주걱턱을 비롯한
안면 뼈를 효과적으로 개선할 수 있으며,
아이의 뼈 성장 또한 방해하지 않았어요.
이는 치열을 가지런하게 만드려는
목적을 가진 성인 치아 교정과 다르게
유아 주걱턱교정은 성장기 아이들의
치아와 얼굴 골격이 바르게 자랄 수
있도록 유도하는 것을 목적으로
하는 진료이기 때문이였는데요.


표시해 놓은 성장판 모습 중에서
붉은색 화살표로 표시한 4~8단계 모습이
'사춘기 최대 성장기'의 모습
사춘기가 지난 아이들의 경우 얼굴
골격 형성이 어느 정도 끝난 시기이기
때문에 교정 진료만으로 주걱턱을
개선하기가 어려워진다고 했어요.
따라서 아이의 나이가 다소 어리더라도
반드시 성장기 전 유아기에 해당 될 때,
주걱턱교정 진료를 시작할 수 있도록
주의가 필요하다고 했어요.



실제 성장판 검사를 진행한 모습
이렇게 해서 오늘은 유아 주걱턱교정을
진행할 때, 아이의 올바른 뼈 성장을
방해하지 않도록 반드시 놓치지
말아야 하는 치료 적기에 대해
설명을 도와드렸었는데요.
아이가 아직 어려 교정 진료를
망설이고 계셨다면, 교정 전문의가
있는 치과에 방문하여 우리 아이의
정확한 교정 치료 적기를 파악하여
적합한 시기에 진료를 진행해주길
바란다고 했어요.
강남새로치과는 연대 세브란스 출신
교정과 전문의가 직접 주도하여
진료를 도와드리고 있기 때문에
수준 높은 유아 주걱턱교정
진료가 가능한데요.
오늘 포스팅에 대해 자세한
설명이 필요하시다면 비밀댓글이나
네이버톡톡으로 메시지 남겨주시면
자세한 설명 도와드리겠습니다 :)
[강남새로치과 치아 교정 더 알아보기]
얼굴 좌우가 맞지 않다고?
업무/커리어 마스터 위젯 미션에 연재중인 글입니다.