아카이브 요약
이 페이지의 역할
강남새로치과의원의 네이버 블로그 원문을 보존한 아카이브 페이지입니다. *강남 새로 치과 카테고리의 양악전 교정과 양악후 교정, 진행 방법의 차이를 알아보자. 글을 통해 병원의 한국어 정보 제공 방식과 진료 관련 안내 톤을 확인할 수 있습니다.
원문 검증
필요하면 원문 블로그와 병원 프로필로 바로 이동해 문맥을 다시 확인할 수 있습니다.
출처 아카이브 열기아카이브된 블로그 글
강남새로치과의원 · Naver Blog
여러분 안녕하세요 강남새로치과입니다 :) 얼굴 안면의 비대칭이나 주걱턱을 개선하기 위해서 양악수술을 고민하고 계신분들이라면 양악 교정 진료가 필요하다는 사실을 이미 알고 계실 것 같았어요. 이때 치아 교정을 수술보다 먼저 할지, 수술 후에 할지에 따라 교정 방법과 기간에 차이가 생기며 장단점 또한 달라진다는 사실...
게시일
2023년 10월 31일
원문 기준으로 확인된 발행일입니다.
카테고리
*강남 새로 치과
원문 블로그 카테고리를 정리해 함께 표시합니다.
이미지 수
10
현재 아카이브에 연결된 이미지 수입니다.
아카이브 요약
강남새로치과의원의 네이버 블로그 원문을 보존한 아카이브 페이지입니다. *강남 새로 치과 카테고리의 양악전 교정과 양악후 교정, 진행 방법의 차이를 알아보자. 글을 통해 병원의 한국어 정보 제공 방식과 진료 관련 안내 톤을 확인할 수 있습니다.
원문 검증
필요하면 원문 블로그와 병원 프로필로 바로 이동해 문맥을 다시 확인할 수 있습니다.
출처 아카이브 열기여러분 안녕하세요
강남새로치과입니다 :)
얼굴 안면의 비대칭이나 주걱턱을
개선하기 위해서 양악수술을
고민하고 계신분들이라면
양악 교정 진료가 필요하다는
사실을 이미 알고 계실 것 같았어요.
이때 치아 교정을 수술보다 먼저 할지,
수술 후에 할지에 따라 교정 방법과
기간에 차이가 생기며 장단점 또한
달라진다는 사실을 알고 계셨나요?

양악전 교정, 양악후 교정
어떤 방법이 더 좋을까?
양악 교정이라고 흔히 불리는
양악전 교정은 양악 수술보다
치아 교정을 먼저 하는 방법이였어요.
양악전 교정은 수술 전에 교정을 통해
틀어진 턱뼈와 함께 틀어진 치열을 다시
올바른 위치러 되잡는 과정을 거치고,
수술 후 마무리 교정을 통해 보다
정교하게 치열을 다듬어 결과의 완성도를
높이는 방식으로 이루어진다고 했어요.
이러한 방식은 양악후 교정과
비교하였을 때 상대적으로
난이도가 낮아 치과의사들이 주로
진행하는 방법이기도 했는데요.



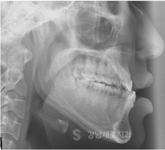
교정 전/후
하지만 이러한 양악전 교정은
수술 전 6개월~1년 정도의
교정 치료 기간이 필요하며,
수술 후 마무리 교정에도 6개월~1년 정도의
기간이 소요되기 때문에 교정 기간이
상대적으로 길다는 단점이 있었어요.
또한 수술 전 준비 교정 기간 동안
일시적으로 부정교합이 더 심해지는
증상이 발생할 수도 있다고 했어요.
이는 치아의 교합을 개선하면서
진행되었던 기존 교정 방식과 달리
준비 교정은 치아의 교합이 아닌
수술에 중점을 두고 치아의
각도를 조절하기 때문이였어요.
따라서 이러한 부분이 부담
되시는 분들은 후교정 방법을
선택하시는것이 좋다고 했어요.
선수술 교정이라고도 불리는
양악후 교정은 양악전 교정의 단점을
보완한 수술 방법으로, 수술을 통해
골격 부조화를 먼저 해결하고, 그 다음
치아 교정을 진행하는 방법인데요.
선수술 교정은 교정 치료를 시작할 때
이미 외모와 관련된 고민은 해결된 뒤
진행되기 때문에 환자분들이 가장 많이
선호하시는 방법이기도 했었어요.



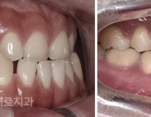
선 수술후 비발치 주걱턱 교정 전/후
또한, 골격의 부조화가 해결된 상태에서
교정 치료를 시작하기 때문에
치아 교정의 결과를 더 정확하게
예측할 수 있어 그만큼 완성도를
높인 치료를 기대할 수 있다고 했어요.
또한 준비 교정이 생략되면서
교정 기간 또한 적어도
6개월 이상 단축할 수 있으며,
뿐만 아니라 수술 후 얼굴 뼈가 치유되는
기간 동안 치아 또한 이동이 이루어지기
때문에 더 빠르게 치료가 가능하여
양악전 교정에 비해 치료 기간이 짧다는
장점이 존재한다고 말했어요.



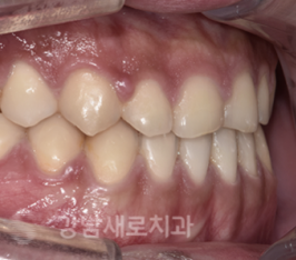
선수술교정 전/후
하지만 양악후 교정은 수술 직후
위 아래 치아의 교합이 불안정한
상태에서 교정을 진행해야 하기에
경력 있는 치과 의사들도 어려워 하는
까다로운 진료 방법이라고 했는데요.
따라서 어떠한 부작용 없이 수준 높은
결과를 완성하려면 선수술 교정에 대한
경험과 다양한 케이스를 경험해 본
경력이 풍부한 치과에서 진행을
하는것이 더욱 안전하다고 했어요.
강남새로치과는 선수술 교정에 특화된
교정과 전문의 전재민 원장님만이
양악후 교정을 도와드리고 있는데요.
강남새로치과의 전재민 원장님은
국내의 치과 교정과 전문의들 중
최초로 비발치 교정치료에 대한 논문을
미국에 기재한 유일한 교정과 전문의였어요.
또한 연세대 세브란스 병원에서 외래교수로
근무하실 정도로 교정 진료에 대한
실력과 풍부한 임상 경험을 통해
쌓인 노하우를 인정받고 있답니다 :)
이렇게 해서 오늘은 양악전 교정과
양악후 교정 중 어떤 것이 더 적합할지에
대해 자세히 다뤄보았는데요.
강남새로치과만의 양악후 교정에 대해
더 자세한 설명이 필요하시다면
비밀댓글이나 톡톡 메시지를 남겨주세요 :)
[강남새로치과 더 자세히 알아보기]
"성형했을 뿐인데, 검은피가…" 20대女 안면마비 호소
업무/커리어 마스터 위젯 미션에 연재중인 글입니다.