아카이브 요약
이 페이지의 역할
강남새로치과의원의 네이버 블로그 원문을 보존한 아카이브 페이지입니다. *강남 새로 치과 카테고리의 탕후루 치아 손상을 유발? 치료 방법 및 후기 글을 통해 병원의 한국어 정보 제공 방식과 진료 관련 안내 톤을 확인할 수 있습니다.
원문 검증
필요하면 원문 블로그와 병원 프로필로 바로 이동해 문맥을 다시 확인할 수 있습니다.
출처 아카이브 열기아카이브된 블로그 글
강남새로치과의원 · Naver Blog
안녕하세요 여러분 여러분의 소중한 영구치를 평생동안 건강하게 보존할 수 있도록 도와드리는 강남새로치과입니다 :) 지난 포스팅에서 탕후루로 인해 충치가 발생하는 이유와 탕후루 치아에 어떠한 부정적인 문제들을 초래하는지에 대해서 자세히 알아보는 시간을 가졌었죠? 탕후루와 같은 고당도의 식품은 충치를 유발하는...
게시일
2023년 11월 2일
원문 기준으로 확인된 발행일입니다.
카테고리
*강남 새로 치과
원문 블로그 카테고리를 정리해 함께 표시합니다.
이미지 수
13
현재 아카이브에 연결된 이미지 수입니다.
아카이브 요약
강남새로치과의원의 네이버 블로그 원문을 보존한 아카이브 페이지입니다. *강남 새로 치과 카테고리의 탕후루 치아 손상을 유발? 치료 방법 및 후기 글을 통해 병원의 한국어 정보 제공 방식과 진료 관련 안내 톤을 확인할 수 있습니다.
원문 검증
필요하면 원문 블로그와 병원 프로필로 바로 이동해 문맥을 다시 확인할 수 있습니다.
출처 아카이브 열기안녕하세요 여러분
여러분의 소중한 영구치를
평생동안 건강하게 보존할 수 있도록
도와드리는 강남새로치과입니다 :)
지난 포스팅에서 탕후루로 인해
충치가 발생하는 이유와
탕후루 치아에 어떠한 부정적인
문제들을 초래하는지에 대해서
자세히 알아보는 시간을 가졌었죠?

탕후루와 같은 고당도의 식품은
충치를 유발하는 것 뿐만 아니라
관련된 다양한 구강 질환을 발생시켜
성장기를 겪는 아이들은 물론이며,
성인 또한 예외 없이 치아 건강에
치명적이기에 섭취 할 때 주의가
필요하다고 설명을 해드렸었는데요.
지난 포스팅에 대한 내용이
궁금하신 분들은 하단 링크
클릭하시면 바로 확인하실 수 있구요.
치과 전문의가 알려드리는
탕후루 먹으면 안 되는 이유
바로 확인해 보기 ⬇️
오늘은 실제 이러한 탕후루로 인해
치아가 손상된 환자분의 사례에 대해
전해드리면 이를 치료하는 과정을
함께 알아볼까 한다고 했어요.
A 환자분께서는 평소 사탕이나
초콜릿과 같은 간식을 아예 안드시다가
SNS를 통해 탕후루를 알게 되었고,
직접 먹어본 뒤 달달한 맛에 빠져
약 한달 간 식후에 한두개씩
매일 같이 즐겨드셨다고 했어요.
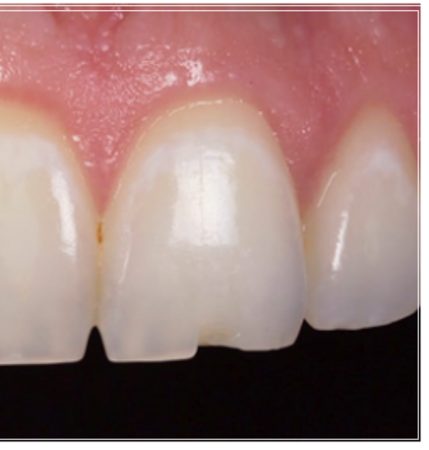
그러던 중 앞니 치아의 일부분이 깨져
크랙이 발생한 상태로 치료를 진행하기
위해 탕후루 치아파손을 검색해보시다가
저희 치과에 방문을 해주시게 되었는데요.


환자분께서는 유난히 설탕 코팅이
두껍고 딱딱해 어금니로 베어물어지지 않아
앞니로 강하게 깨물면서 뚝 하는 소리와
함께 앞니가 깨졌다고 하셨어요.
탕후루 겉 표면을 둘러싼 설탕 코팅은
일반 사탕 수준으로 딱딱한 경우가 많아
섭취할 때 탕후루 치아 손상이 발생하지
않도록 주의가 필요하다고 말했어요.
해당 환자분께서는 다행히도
균열이 발생한 범위가 크지 않았기에
강화 플라스틱인 레진을 통해
크랙(균열)을 채우는 방법으로
치료를 진행하기로 하였는데요.


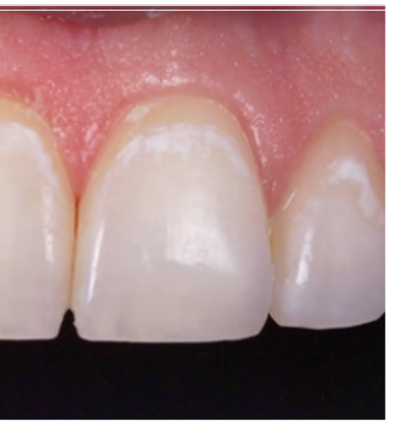
레진으로 크랙을 채운 후 모습이에요.
치료 후 흔적도 없이 자연스럽게
균열을 매꾸어 심미적으로 깔끔하게
문제가 개선되었다는 것을
쉽게 확인하실 수가 있었어요.
여기서 레진 이란?


레진이란 앞니의 충치나 어금니에
깊지 않은 충치가 발생하였을 때
혹은 치아에 마모나 균열이 발생한 경우,
또는 기존에 아말감을 시술했던 부위를
자연치 색상으로 교체하고 싶을 때
적용하는 치과 진료 방법이였는데요.
레진 치료 외에 탕후루 치아 손상을
치료 하기 위한 방법으로 인레이와 온레이
크라운을 씌우는 방법 또한 있었어요.
상대적으로 좁은 면을 메우면 인레이,
넓은 면적을 메우면 온레이라고 부르는데요.
이러한 진료 방법들은 파절된 치아나
충치를 제거한 면적에 맞게 제작된
수복물을 접학하는 방식이라고 했어요.


강남새로치과의 인/온레이 치료는
세라믹과 골드로 총 2가지 종류가 있는데
세라믹은 자연치와 결합력이 뛰어나지만
파절이 될 가능성이 있었고,
골드는 그에 비해 강도가 뛰어나지만
세라믹에 비해 접착력이 다소 약할 수 있어
충치 부위와 파손 면적 및 개인의 상태에
따라 적합한 종류를 권유해 드렸어요.
앞니를 치료할 경우 심미적인
개선이 우선시 되므로 자연 치아와
가장 흡사한 색상으로 복원하기 위해
3단계로 레진의 색상을 구분하여
수복을 도와드리고 있었는데요.
겉으로 티가 나지 않으면서
심미적으로 자연스럽게 개선을
진행하길 원하신다면 이 경우에는
골드보다는 레진이나 세라믹이
적합할 수 있다고 말했어요.


하지만 앞서 소개해드린 환자분처럼
치아의 일부분에만 소량으로 균열이
발생한 것이 아닌 영구치의 50% 이상이
파손되거나 넓은 면적이 마모된 경우
신경 치료를 진행한 후 약화된
영구치의 전체를 감싸 씌우는 방법인
크라운치료를 진행해 주는 것이 좋았어요.
강남새로치과에서 보유하고 있는
크라운의 종류는 PRM, 지르코니아,
골드가 있다고 했었는데요.
사람마다 치아의 파절 정도나
충치의 깊이 및 면적, 구강 건강 상태가
모두 차이가 존재하기에 개인에게 적합한
수복물을 파악하기 위해서는 해당분야의
전문의가 상주하는 치과에 방문하여
검진을 통해 판단하는 것이 중요했어요.


오늘 소개해드린 환자분처럼
탕후루 치아 손상이 발생하였거나,
충치가 의심되는 증상이 느껴지고,
치통이 발생하였다면 방치하지 마시고
빠른 시일 내에 치과에 방문하여
더 큰 질환이나 문제로 이어지지 않도록
조기에 문제를 개선해 주셔야 한답니다.
또한 이미 충치나 치주 염증이
상당 부분 진행되어 잇몸에서 피가 나거나
통증이 느껴진다면 아래 포스팅을
참고하시면 더욱 도움이 되실 것 같았어요.
잇몸에서 피가 자주 난다면
잇몸이 내려앉을 수도 있다?
자세한 내용 바로 확인해 보기 ⬇️
강남새로치과는 과잉 진료 없이
소중한 영구치를 지키는 것을
우선적으로 하여 보다 정직한 진료를
도와드리기 위해 늘 노력하고 있으니
비용이나 통증에 대해 너무 크게
부담 갖지마시고 편안한 마음으로
내원해 주시면 감사하다고 했어요.
오늘 전해드린 탕후루 치아 손상에 대해
더 궁금한 점이 있으신 분들은
비밀 댓글을 남겨주시길 바랄게요 :)
[트렌드+] 10대 최애 '탕후루', 왜 치아에 천적? 전문가에 들어보니
업무/커리어 마스터 위젯 미션에 연재중인 글입니다.