아카이브 요약
이 페이지의 역할
강남새로치과의원의 네이버 블로그 원문을 보존한 아카이브 페이지입니다. *강남 새로 치과 카테고리의 헨리라미네이트, 치아 손상없이 안전하게 진행 글을 통해 병원의 한국어 정보 제공 방식과 진료 관련 안내 톤을 확인할 수 있습니다.
원문 검증
필요하면 원문 블로그와 병원 프로필로 바로 이동해 문맥을 다시 확인할 수 있습니다.
출처 아카이브 열기아카이브된 블로그 글
강남새로치과의원 · Naver Blog
안녕하세요 이웃님들 여러분의 평생 구강건강을 책임지는 강남새로치과에요 :) 어제 비가 많이 내린 뒤로 오늘은 오전부터 기온이 뚝 떨어져 한파주위보가 내려지기도 했었는데요. 부디 감기에 걸리지 않도록 유의하시면서 특히 오늘은 외출하실때 반드시 두꺼운 외투를 챙겨서 나가시는 것을 추천드려요 :) 오늘...
게시일
2023년 11월 7일
원문 기준으로 확인된 발행일입니다.
카테고리
*강남 새로 치과
원문 블로그 카테고리를 정리해 함께 표시합니다.
이미지 수
12
현재 아카이브에 연결된 이미지 수입니다.
아카이브 요약
강남새로치과의원의 네이버 블로그 원문을 보존한 아카이브 페이지입니다. *강남 새로 치과 카테고리의 헨리라미네이트, 치아 손상없이 안전하게 진행 글을 통해 병원의 한국어 정보 제공 방식과 진료 관련 안내 톤을 확인할 수 있습니다.
원문 검증
필요하면 원문 블로그와 병원 프로필로 바로 이동해 문맥을 다시 확인할 수 있습니다.
출처 아카이브 열기안녕하세요 이웃님들 여러분의
평생 구강건강을 책임지는
강남새로치과에요 :)
어제 비가 많이 내린 뒤로
오늘은 오전부터 기온이 뚝 떨어져
한파주위보가 내려지기도 했었는데요.
부디 감기에 걸리지 않도록
유의하시면서 특히 오늘은 외출하실때
반드시 두꺼운 외투를 챙겨서
나가시는 것을 추천드려요 :)

오늘은 요즘 여러분이 많이 찾아주시는
강남새로치과의 심미치료 과목인
최소삭제 에어네이트에 대해 소개해
드리는 시간을 가져보도록 한다고 했어요.
최근 나혼자 산다에서 가수 헨리씨가
치과에 내원하여 과거에 라미네이트를
진행했었던 현재 치아의 현황을 자세히
공개하여 화제가 되었었는데요.


위 자료 화면을 보시면 아시겠지만
요즘 많이 알려진 무삭제나 최소 삭제
방식의 라미네이트를 진행한 것이 아닌
부자연스러운 옛 삭제 방식의
헨리 라미네이트를 진행하여 영구치를
과도하게 많이 깍아낸 모습에
치아의 크기 자체가 아주 작아져
출연진들을 깜짝 놀라게 만들었어요.
이처럼 실제로 많은 연예인분들이
과거에 치아 라미네이트를 진행하고
이에 대한 불편한 점들에 대해
호소하기도 했다고 말했어요.
따라서 오늘은 치과 진료과목 중에서
주목을 많이 받고 있는 심미 치료인
헨리라미네이트에 대해 알아보는
시간을 가져보도록 할게요.
라미네이트 시술 후 부작용을
최소화하려면? '에어네이트'
바로 알아보러 가기⬇️
자연치의 형태과 색상을 개선하고
싶은 분들 사이에서 크게 사랑을
받고 있는 헨리라미네이트를
고민하고 있는 분들이 걱정하는
고민 중 하나가 바로 진행과정 중에
발생하는 상당한 치아 삭제량일텐데요.
기존의 라미네이트 시술 방식은
인공보철물을 치아 겉면에 부착하거나,
씌우기 위해 멀쩡한 우리의 자연치를
갈아내야 한다는 문제가 있었어요.
치아 위에 씌우는 보철물이 두꺼웠기 때문에
모양이 가로로 뚱뚱해지지 않게 하면서
심미적으로 색상이나 치열을 개선하려면
자연 치아를 어쩔 수 없이 깍아내는
과정을 거칠 수 밖에 없었다고 했어요.
하지만 이 처럼 멀쩡한 치아를 과도하게
깍아내는 것은 굉장히 위험한 일인데요.


치아의 겉표면인 법랑질이 필요 이상
과하게 삭제되어 치아 속 상아질이
밖으로 노출되면 이가 시린 증상이
발생하는 것은 물론이며,
영구치에 미세한 금이 생기거나
신경이 손상될 가능성도 있으며,
극심한 통증이 발생하거나
충치가 쉽게 발생하는 등의 부정적인
문제를 초래하기도 하며, 결국 치아의
수명이 짧아지게 만들고 각종 치주 질환에
노출될 위험성이 높아진다고 했어요.
또한 특유의 자연스럽지 못한 색상이
기존의 치아와 차이가 심하게 나서
심미적으로 완성도 높은 결과를
만들어내지 못했다는 단점이 있었어요.
따라서, 강남새로치과는 이러한
헨리라미네이트의 장점은 유지하되,
단점은 보완하여 최소삭제 방식을 통한
에어네이트 치료를 도와드리게 되었어요.
최소삭제 에어네이트는 이름에서도
알 수 있듯이 치아를 과도하게 삭제하지 않아
치아의 손상 없이도 안전하게 보철물을
부착하는 신개념 라미네이트였어요.


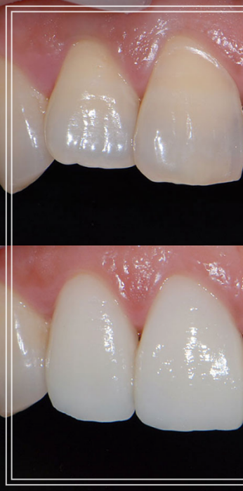
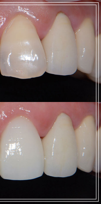
강남새로치과 최소 삭제 에어네이트란?
기존의 두껍고 부자연스러웠던
인공 보철물 대신 0.3mm 이내의
얇은 세라믹을 사용하여 자연치
삭제를 최소화한 신개념 방식이였어요.
근데, 무삭제가 더 좋지 않나요?
이는 개인의 구강 상태에 따라 다르지만,
아예 무삭제로 진행하는 방식은
사실 권장 드리지 않는다고 했어요.
삭제 없이 매끈한 치아 표면에
세라믹 보철물을 부착하는 것은
떨어질 위험이 크기 때문인데요.
쉽게 설명을 도와드리자면
네일아트를 생각해 보시면
이해가 쉬울 것 같았어요.
여성분들이 네일아트를 받을 때
부착력을 강화시키기 위해 손톱 표면을
손상이 없을 정도로 겉만 살짝 갈아내어
그 위에 젤네일을 진행하게 되는데요.
손톱을 아예 갈아내지 않을 경우
젤네일의 접착력이 좋지 않아
일주일도 못가 떨어지는 경우가
많고, 또한 젤네일의 두께가 너무
얇은 경우 쉽게 깨지거나
부서지기도 한다고 했어요.


너무 얇은 인공 치아 보철물을
부착할 경우 깨지거나 파손될
위험이 높고, 무삭제로 진행할 경우
쉽게 떨어질 위험이 높기 때문에
치아에 손상을 주지 않을 정도로
최소로만 겉 표면을 삭제하여
쉽게 깨지지도 않으면서 두껍지도 않아
기능적으로도 문제가 없을 가장 적합한
두께를 찾기 위해 끊임없이 연구하여
마침내 0.3mm 이내의 세라믹
보철물을 통해 헨리라미네이트를
도와드릴 수 있게 되었어요.
이러한 최소삭제 에어네이트는
치아의 색상과 모양을 자연스럽게
개선할 수 있다는 점도 큰 장점인데요.
단계별로 색상을 입혀 자연스러운
자체 제작 세라믹 보철물로 진행하기에
보다 완성도 높은 결과를 제공하여
심미성을 효과적으로 개선할 수 있었어요.

최소한의 삭제로 내 치아에 착-붙
공기처럼 가볍고 투명한
에어핏(Air - Fit) 라미네이트
강남새로치과 에어네이트
자연치아를 최대한 지키는 게
치과 전문의로서 사명감이지만
그럼에도 불구하고 무삭제가 아닌
최소한의 삭제로 에어네이트를
도와드리려는 이유는
무삭제의 단점은 보완하면서 최소한의
삭제로도 치아의 손상 없이 진행할 수
있다는 자신감이 있기 때문이라고 했는데요.
헨리라미네이트를 진행하기 위해
고민을 하고 있으시다면 이러한
자신감이 있는 전문의가 있는 치과,
그리고 오랜 연구와 풍부한 임상
경험으로 그 실력을 인정받은 바로
'보건복지부 전문의'가 진료하는
치과에서 진행하는 것이 안전하답니다.


국내 치과 의료진 중 치과 전문의의
비율은 겨우 19%에 불과하다는 점,
유의하시면서 치과를 선택하실 때
이러한 부분들을 참고하시면
더욱 도움이 될 것 같다고 했어요.
에어네이트에 대해 더 궁금한 점이
있으시다면 비밀댓글을 남겨주시거나
아래 이미지를 클릭하여 메세지를
남겨주시면 친절하게 설명을
도와드리기로 했어요 :)
라미네이트 뗀 헨리에 '깜짝'… 과거 강유미도 "라미 하지 마세요" 반대
업무/커리어 마스터 위젯 미션에 연재중인 글입니다.