
안녕하세요 사랑하는 이웃님들
오늘도 좋은 하루 보내셨나요?
어제는 미세먼지 주의보가 내릴 만큼
공기가 좋지 않았는데 오늘은
하늘이 화창하니 공기도 맑고
날씨가 오전부터 굉장히 좋았어요!
다만 날씨가 영하로 떨어져
급격히 추워졌으니 여러분께서는
외출시에 두꺼운 외투를 꼭
챙겨입으시는 것이 좋겠어요.
저도 오늘은 장롱 속에 묵혀뒀던
목도리를 꺼냈답니다 :)
최근 강남새로치과에는
틀어진 치열을 교정하기 위해
내원해주시는 환자분들이
점점 늘어나고 있는데요.
이러한 분들과 상담을 진행해보면
대부분 발치에 대한 고민이 있으셨고,
발치 없이 교정을 진행 할 수 있는
비발치교정 치료를 희망하셨어요.
이는 아마 이를 뽑는 것에 대한
부정적인 문제들과 치아를 발치할 때
발생하는 통증에 대한 부담감
때문이지 않을까 싶었는데요.
오늘 포스팅을 보고 계신 분들 중에서도
위와 같은 이유로 비발치교정 치료를
고려하고 있으실 것 같다고 생각했어요.
하지만 비발치교정 치료의
수요가 갈수록 늘어나면서 그 만큼
부작용이나 불만족스러운 결과에 대해
호소를하시는 환자 분들의 숫자도
함께 증가하고 있다는 사실을
여러분은 알고 계셨나요?
물론, 치료를 진행한 모든 분들이
부작용에 대해 호소하는것은 아니지만,
어떻게 하면 조금 더 나은 판단을
하실 수 있을지 부작용을 예방할 수
있는 방법은 없을지 조금 더 자세하게
알려드리기 위해 오늘은 이에 대한
이야기를 함께 나눠보기로 했어요 :)
발치교정을 진행하는 과정은
작은 어금니인 소구치를 발치하여
빈 공간을 확보한 후, 앞니를
빈 공간 쪽으로 이동시켜 치열을
올바르게 재배열하는 방식으로
진행되는 치료라고 했는데요.



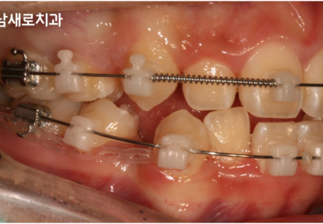
위 사진을 보시면 왼쪽 사진은
작은 어금니를 발치한 후 촬영한 모습이고,
오른쪽 사진은 소구치를 발치한
빈 공간으로 앞니를 어느 정도 이동시켜
치열을 다시 재배열중인 모습입니다.
작은 어금니보다 안쪽에 위치한
큰 어금니들을 기준으로 앞니가
뒤쪽으로 이동한 모습인데요.
그래서 전과 비교하여도
교합이나 어금니의 위치에
큰 변화가 생기지 않았다는 것을
확인하실 수 있으실겁니다.



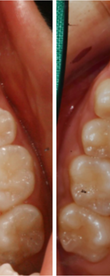
다음은 비발치교정 치료를
진행 한 후 촬영한 모습인데요.
작은 어금니를 발치하지 않은
상태에서 교정을 진행하게 되면,
위 사진에서 표시한 것과 같이
어금니를 포함한 모든 치아를
뒤쪽으로 이동시켜야 하기 때문에
어금니의 교합이나 위치에도
당연히 변화가 발생한다고 했어요.
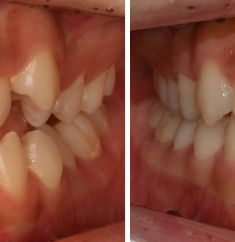
이 과정에서 상, 하악니의 교합이나
치아 사이 간격을 적절하게
조절하지 못하게 되면 위,아래
어금니의 교합이 어긋나는 등의
부정적인 문제가 발생할 수 있는데요.



이처럼 치아의 교합이 어긋나
부정교합이 발생한다면 이는 단순히
구강의 문제만이 아닌 턱관절의 문제로도
이어질 수 있기 때문에 담당 의료진의
세심하게 진료하는것이 중요했어요.
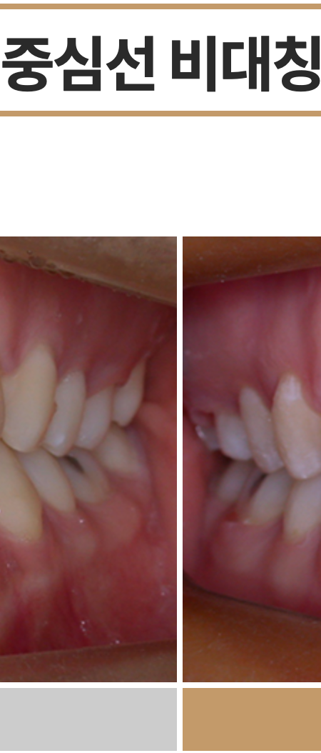
또한 단순히 영구치를 이동시키는 것만으로
충분한 공간 확보가 어려운 상태인
환자분에게 비발치교정 치료를
적용하게 되면, 오히려 입이 앞으로
돌출되어 보일 수도 있기 때문에
치열 개선에 어려움을 겪는다고 했어요.



그럼 위와 같은 부정적인 문제가
발생할 위험성은 낮추고, 완성도 높은
결과를 얻으려면 어떻게 해야 할까요?
우선 발치 없이도 치열을
효과적으로 개선할 수 있는
구강 상태인지 정확하게 검진하여
상,하악니의 교합과 저작력에
문제가 발생하지 않도록 체계적인
치료 계획을 수립할 수 있는
해당 분야의 전문의를 통해 치료를
진행하는것이 좋다고 했어요.
이렇게 해서 오늘은
발치 없이 교정을 진행하는
비발치교정 치료의 과정에 대해
자세히 전해드렸었는데요.
오늘 포스팅에 대해 더 궁금한 점이
있으시다면 비밀댓글을 남겨주시거나
강남새로치과 네이버 톡톡으로 메세지를
남겨주시면 감사할 것 같아요 :)
[강남치과 교정치료 더 자세히 알아보기]
SNS 치아교정기 광고 "도 넘었다"... 유명 병원 사칭까지
업무/커리어 마스터 위젯 미션에 연재중인 글입니다.