안녕하세요 여러분
과잉 진료 없이 양심적인 진료로
여러분의 부담을 덜어드리면서
최선을 다하여 진료하는
강남새로치과에요 :)
일상 생활을 평범히 하시던 중
입을 벌리거나 하품을 크게 할 때
턱에서 딱딱 소리가 나거나 통증이
느껴지면서 입이 잘 벌어지지 않는다면
이는 가볍게 넘기고 방치할 문제가 아닌
턱관절 질환이 발생한 것은 아닌지
고민을 해보셔야 한다고 했어요.

만일 이러한 턱관절 질환이 발생한 경우
제 때에 치료받지 않고방치하게 되면
구강의 상태가 더욱 악화되면서
입이 다물어지지 않는 상황까지
초래될 수 있기 때문에 치료적기를
놓치지 않는것이 중요하다고 했어요.
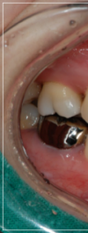
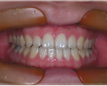
이 처럼 입을 다물어도 어금니만
맞물린 채 앞니가 맞물리지 않는 증상을
개방교합이라고 부르는데요.
아마 개방교합이라는 단어 자체가
낯선 분들이 많으실 것 같았어요.
개방교합이란 무엇인가요?



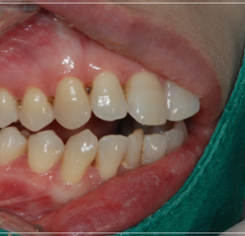
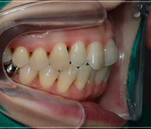
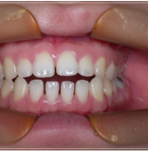
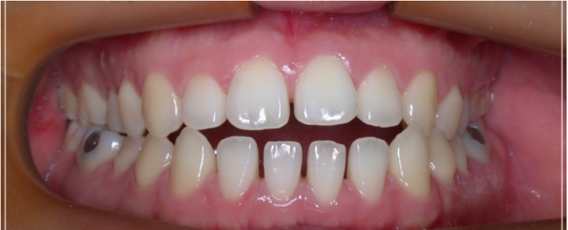
보통 우리가 입을 다물 때
상,하악의 치아의 모든 면이 전체적으로
맞닿는 것이 정상적인 형태이지만,
개방교합은 입을 다물때 안쪽
어금니만 맞닿고 앞니 쪽은 닿지 않아
입술이 붕 떠 있는 상태를 말했어요.
이처럼 앞니가맞물리지 않고
붕 떠있는 증상이 오랜기간 지속되면
점차 얼굴 안면 골격의 부정적인
변화를 발생시키기도 하기 때문에
해당 케이스에 대한 치료 경험이
풍부한 치과 전문의와 논의하여
근본적인 원인을 치료하고 생활 속
나쁜 악습관을 개선해주는 것이
가장 중요한 과정이라고 했어요.
환자마다 증상의 진행 정도나
구강의 건강 상태 및 앞니나 혀의 위치
증상이 발생한 원인이 모두 다르기 때문에
각 환자마다 1:1로 꼼꼼히 진단하여
증상에 맞는 맞춤 계획을 수립하여
상태에 맞는 진료를 진행해야 했어요.



그렇다면 입 안다물어짐과 같은
증상은 왜 발생하는 걸까요?
이처럼 입이 다물어지지 않는
증상이 발생하는 이유는 보통
선척적인 요인과 후천적 원인으로
나뉜다고 말했어요.
선천적인 이유로는 입으로
호흡하는 구호흡법이나
비염을 통해 발생하기도 하며,
유전적으로 턱뼈가 성장할 때
구조적인 문제가 발생하여
발생하는 경우도 있다고 했어요.
후천적인 요인으로는 잘못된
생활 속 악습관이나 턱관절으로 인해
생기는 경우로 나뉘는데요.
잘못된 생활 속 악습관 중에는
턱 괴기나 한쪽으로만 음식 씹기,
질긴 음식 즐겨 먹기 등이 있었어요.



성장 중의 부정적인 문제로 인해
발생한 개방교합은 보통 치아를
교정하면 위와 같은 불편함이 해결 될
것이라고 생각하시는 분들이 많은데,
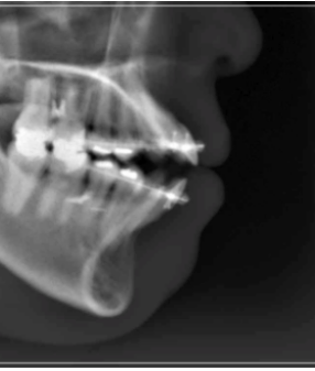
만일 이러한 개방교합이 턱관절 질환에
의해 발생하였을 경우 잘 모르고
치아 교정부터 진행하게 되면
턱이 불안정한 상태에서 무리하게
치아를 이동시키게 되기 때문에
오히려 질환을 악화시키거나
개방교합이 다시 재발하는 등 문제가
발생할 수 있어 주의가 필요했어요.


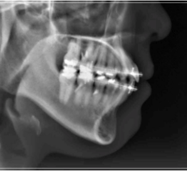
또한, 겉으로는 개방교합이 없는 것처럼
보여도 턱관절 질환을 앓고 있다면
숨겨져 있을 수 있으므로 평소
주기적인 치과 검진을 통해 본인의
구강 상태를 정확하게 파악하고
있는 것이 좋다고 했어요.
이런 경우에 해당된다면 전문가와
상의하여 상태에 맞게 진료를
진행해 주는 것이 중요합니다.
만일 위와 같은 케이스 외에도
무턱 같은 턱뼈의 구조적인 문제가
있으신 분들은 아래 비밀 댓글을
남겨주시거나 강남새로치과
네이버 톡톡으로 메시지를
보내주시면 답변 도와드릴게요 :)
턱관절 장애 흔하다고 방치했다간… '이런' 문제 생겨
업무/커리어 마스터 위젯 미션에 연재중인 글입니다.