








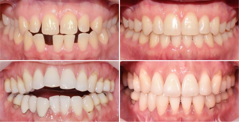
인비절라인은 투명치아교정 기기로,
발치 없이 자연치에 발생한 심미적인
문제를 해결할 수 있는 장치라고 했어요.
이 장치를 사용하면 앞니에 부정적인
문제가 있는 상황도 자연스럽고 심미적인
이빨 배열을 얻을 수 있었다고 말했는데요.
인비절라인은 개인의 치아 상태에 따라
맞춤으로 진행되는 진료 과정을 통해
치아의 문제를 해결할 수 있었어요.
그러기 위해서는 환자의 구강 상태를
면밀히 분석한 후 판단하여 적합한
치료 계획을 수립해야 했는데요.
먼저 최첨단 치과 장비로 촬영한 결과를
바탕으로 개인 맞춤형 인비절라인
교정기를 제작에 들어간다고 했어요.
인비절라인 장치는 투명한 강화
플라스틱으로 제작하여 다른 사람들이
쉽게 인식하지 못했다고 했어요.
따라서 취업 준비생이나 예비 신부도
쉽게 투명치아교정을 받으면서
심미적으로 부정적인 문제가
발생하지 않을 수 있다고 했어요.
이처럼 인비절라인은 환자의
편의성을 고려하여 제작되었다고 했어요.
일상 생활이나 사회생활을 할 때
불편함을 최소화하면서 교정 진료를
진행할 수 있다는 장점이 있으며,
치료를 진행하는 동안 영구치의 상태가
자연스럽게 개선되는 것을 육안으로 쉽게
확인할 수 있었다고 말했어요.
이렇게 인비절라인 투명치아교정을 통해
치열을 개선하는 것은 단순히
심미적인 문제외에도 구강 건강에도
중요한 영향을 미친다고 했어요.
틀어진 치열이 개선되면 구강에
가해지던 물리적인 부담이 줄어들어
구강 건강을 오래 유지하는 데에도
도움이 된다고 했어요.
이렇게 인비절라인을 통해
치열이 틀어진 자연치의 문제를
해결하는 방법에 대해 알아보았어요.
이러한 인비절라인은 자연스럽고
심미적인 치열을 얻을 수 있었으며,
구강 건강을 오랜 기간 유지하는 데에도
도움이 될 수 있다고 했어요.
인비절라인은 투명한 플라스틱 맞춤형
투명치아교정 기기로, 발치 없이
치열을 개선할 수 있는 장치였는데요.
치과 전문의는 환자의 구강 상태를
정밀히 진단하고 분석한 후
개인 맞춤형 계획을 수립하는 과정을
거치게 된다고 했어요.
이때, 인비절라인의 사용 가능 여부와
교정 후 결과를 미리 예측하여
3D로 구현한 뒤 보여줄 수 있다는
장점이 있었는데요.
최첨단 3D 구강 스캐너로
환자의 구강 내부를 정밀하게
촬영하, 스캔했다고 했어요.
이를 3D 시뮬레이션으로 구현하여 과정을
미리 시뮬레이션할 수 있다고 했어요.
또한 이러한 디지털 결과를 기반으로
개인 맞춤형 인비절라인 기기를
제작을 맡기게 된다고 했어요.
이러한 교정기는 환자의 구강 상태에
맞게 세밀하게 제작되어야 하므로,
정밀한 제작 과정이 필요했어요.
그 다음 맞춤형 투명치아교정을
환자에게 제공하고, 담당 주치의의
지도 아래 적절한 착용 방법을
안내받을 수 있어요.
인비절라인은 투명하고 얇은
강화 플라스틱 소재로 제작되어
자연치에 착용하여도 크게 불편함을
발생하지 않는다고 했어요.
환자는 지정된 시간 동안 해당 기기를
착용하면서 주기적으로 치과를 내원하여
단계에 맞는 적절한 치료를 진행할 수 있도록
교정기를 조절하는 것이 중요했어요.
이러한 기기는 우리의 치아에 일정하게
압력을 가하며 치아를 이동시키고 틀어진
치열을 재배열해주는 효과가 있는데요.
장치의 교체 주기는 개인의 치아 상태와
교정 목표에 따라 다르지만, 보통 1~2주마다
새로운 교정기로 교체했다고 했어요.
또한 이러한 교정기의 교체 과정에서
담당 주치의가 진행 상황과 구강 상태를
면밀히 파악하여 상태에 맞게 교정기를
다시 조정할 수 있다고 했어요.
진료 종결 및 후속 관리
치료가 끝나면 환자는 최종적인
결과를 확인하고 치과에서 알려주는
후속 관리 지침에 따라 관리했다고 했어요.
이후에는 보통 유지장치를 착용하여
결과를 유지하는 단계로 진행됐다고 했어요.
인비절라인 투명치아교정은 투명하고
편안한 착용감으로 일상 생활에서도
불편함을 최소화할 수 있으며,
치아 교정의 정확성과 예측 가능성을
높여주는 혁신적인 장치였다고 했어요.
내가 직접 치아교정?…투명치아교정장치 불법광고 적발
업무/커리어 마스터 위젯 미션에 연재중인 글입니다.