반갑습니다 여러분
과잉 진료 없이 양심적인 진료로
여러분의 비용적인 부담을
덜어드리고, 최선의 진료만을
도와드리는 강남새로치과에요 :)
이번주는 저번주보다 날씨가
조금은 풀려서 최근 들어 날씨가
꽤나 따뜻한 편이라서 환자분들이
내원하실 때 추위로 인한 불편함이
적으실 것 같아 다행이에요.
그래도 해가 지면 기온이 많이 떨어지니
퇴근 이후 내원하시는 분들께서는
추위에 유의하시길 바랄게요!


저희 강남새로치과는 평일 저녁 9시까지
야간 진료를 도와드리고 있어서
바쁜 직장인분들도 무리 없이 편하게
진료를 받으실 수 있다고 했어요 😉
오늘은 최근 한 매체를 통해 알려졌던
헨리라미네이트 치과 진료에 대해서
이야기를 나눠보기로 했는데요
가수 헨리님이 '나혼자 산다' 프로그램에
출연하여 과거에 진행했던 라미네이트를
치아의 문제를 치료하는 모습을 공개해
시청자분들 사이에서 크게 화제가 됐었어요.
'나 혼자 산다' 헨리, 라미네이트 뗀 앞니공개...박세리 본업데이(ft.치맥먹방) [종합]
위 사진은 헨리님의 치아 상태인데요.
소중한 자연치를 과도하게 많이
깍아내 본래 치아의 크기가 보통에 비해
매우 작아진 것을 확인 할 수 있었어요.
이러한 모습을 보며 시청자들은
라미네이트 시술을 진행하면 저렇게나
자연치를 많이 깍아내게 되는 것이냐며
이러한 치과 치료 방법에 대해서
부정적인 시선을 가질 수 밖에 없었어요.
실제로 헨리님 뿐만 아니라 많은 연예인
및 유명 인플루언서분들이 위와 같은
방법의 치아 라미네이트를 진행하고
발생하였던 각종 심각한 부작용들에
대해 호소하며 시청자들에게
경각심을 심어주기도 했었는데요.

오늘은 이러한 헨리라미네이트에 대해
이야기를 나눠보면서 과도한 치아 삭제없이
라미네이트를 시술할 수 있는 에어네이트에
대해서도 소개를 도와드리기로 했어요 :)
치아 라미네이트 진료를 고민하시는
환자분들이 우선으로 걱정하는 문제는
라미네이트 진료 진행 과정 중
과도한 치아 삭제량이라고 했어요.
이러한 치과 진료는 영구치의 색상이나
치열, 모양 등 다양한 부정적인 문제나
콤플렉스들을 개선해주어 구강의
심미성을 회복할 수 있기 때문에
많은 분들의 사랑을 받고 있었는데요.
하지만 위와 같은 이유로 수요가
점차 늘어나고 있음에도 일각에서는
이에 대한 부정적인 시선이나 불편함을
겪는 환자들 수 또한 함께 늘어나
사회적인 이슈가 되기도 했었어요😨


헨리라미네이트가 어떤 방법으로
진행되기에 그런걸까요?
이러한 진료의 일반적인 과정은
멀쩡하고 건강한 자연치를 과도하게
깍아내어 크기가 작아진 치아에
자연스럽지 못한 보철물을 씌우는
방법으로 진행된다고 했었는데요.
이러한 과정 중에 발생하는 과도한 치아
삭제량으로 인해 치아의 상아질이 노출되어
이빨 시림이나 통증같은 심각한 부작용들이
발생하고 씌웠던 보철물이 쉽게 떨어지는
등 다양한 불편함 또는 문제가 발생했었어요.
위와 같은 방법의 진료를 진행할 경우
영구치를 과도하게 깍아내기 때문에
자연치의 신경이 손상될 위험이 있고,
뿐만 아니라 충치가 쉽게 발생하는
구강 생태계가 형성될 수 있기에
헨리라미네이트 진료를 진행하실 때
반드시 주의가 필요하다고 했어요.


따라서 저희 강남새로치과는 이러한
치료를 위 같은 과도한 삭제를 진행하는
방법의 일반 라미네이트가 아닌
구강의 심미성을 회복하면서도
치아의 기능적인 부분 또한 개선이 가능한
최소 삭제 방법의 에어네이트 진료를
도입하여 치료를 도와드리기로 했어요.🤗
이러한 최소삭제 에어네이트는
자연치 삭제를 최소로 하여
얇은 보철물을 부착하는 방식으로
진행되기에 안전성 측면에서도
더욱 뛰어나 많은 분들이 선호하시는
치과 진료 방법이 되었는데요.


기본적으로 치아의 삭제량을 최소로 하기에
자연치를 깍아내어 발생했던 불편함이나
이 시림, 신경 손상같은 부작용들이
발생할 확률이 크게 줄어들기에
이러한 시술을 고려하시는 분들의
통증이나 부정적인 문제에 대한
고민을 줄여줄 수 있다고 했어요.
뿐만 아니라 최소삭제 에어네이트는
일반적인 헨리라미네이트 진행 방법과 달리
치아의 색상과 모양 및 치열까지
자연스럽게 개선할 수 있다고 했는데요.
일반적인 진료 방법의 경우
두껍고 색상 또한 자연스럽지 못한
보철물을 씌우는 과정으로 진행되어
심미적으로 자연스러우면서도 만족스러운
결과를 기대하기가 어렵다고 했어요.😞


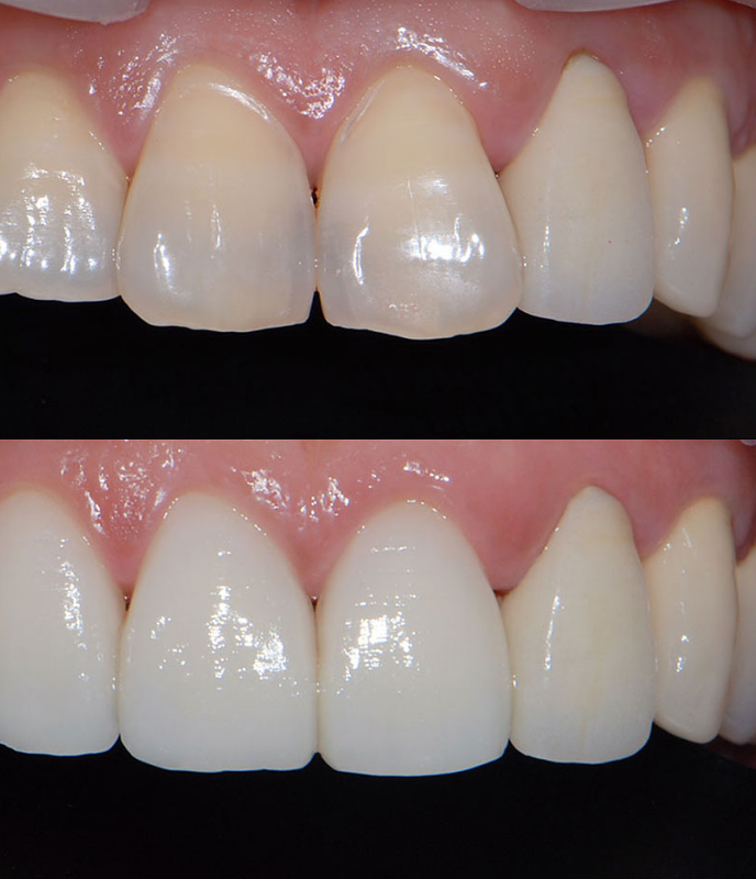
반면, 최소삭제 에어네이트는
치아의 신경이나 상아질에 손상이
없을 정도로 아주 얇게 겉 부분만을 깍아내
자체 기공실의 베테랑 기공잔인이 직접
수제로 디자인하여 색상이 자연스럽고
아주 얇은 자체 제작 세라믹 보철물을
부착하는 과정으로 진행을 도와드리기에
구강의 심미성을 우수하게 회복하여
보다 완성도 높은 진료 결과를
제공받을 수 있다고 말했어요.


또한 강남새로치과만의 특수한
접착 노하우로 보철물을 부착하기에
보철물이 떨어져 깨지거나 손실하여
재시술을 받게 되는 위험성을
줄일 수 있는 것이 큰 장점이였어요.👍🏻
오늘은 이렇게 해서 헨리라미네이트
시술을 고민하고 있는 환자분들꼐
보다 안전하게 진행할 수 있는 방법의
에어네이트를 소개해 드렸는데요.
이에 대해 더 궁금한 점이 있으시다면
아래 이미지를 클릭하여 톡톡 메세지를
남겨주세요 감사합니다 :)


업무/커리어 마스터 위젯 미션에 연재중인 글입니다.