아카이브 요약
이 페이지의 역할
강남새로치과의원의 네이버 블로그 원문을 보존한 아카이브 페이지입니다. *강남 새로 치과 카테고리의 누런 앞니, 치아의 문제를 에어네이트 진료로 해결하려면 글을 통해 병원의 한국어 정보 제공 방식과 진료 관련 안내 톤을 확인할 수 있습니다.
원문 검증
필요하면 원문 블로그와 병원 프로필로 바로 이동해 문맥을 다시 확인할 수 있습니다.
출처 아카이브 열기아카이브된 블로그 글
강남새로치과의원 · Naver Blog
반갑습니다 독자 여러분들 :) 여러분의 구강 건강을 오랜 기간 지킬 수 있도록 최선을 다해 진료를 도와드리며, 누런 앞니로 인한 고민을 덜어드릴 강남새로치과 인사드려요! 연말이 다가오면서 본원에는 치아의 심미적인 문제를 개선하기 위한 치과 진료 상담을 위해 내원해 주시는 환자분들이 점차 증가하고 있다고 했는데요. ...
게시일
2023년 12월 13일
원문 기준으로 확인된 발행일입니다.
카테고리
*강남 새로 치과
원문 블로그 카테고리를 정리해 함께 표시합니다.
이미지 수
15
현재 아카이브에 연결된 이미지 수입니다.
아카이브 요약
강남새로치과의원의 네이버 블로그 원문을 보존한 아카이브 페이지입니다. *강남 새로 치과 카테고리의 누런 앞니, 치아의 문제를 에어네이트 진료로 해결하려면 글을 통해 병원의 한국어 정보 제공 방식과 진료 관련 안내 톤을 확인할 수 있습니다.
원문 검증
필요하면 원문 블로그와 병원 프로필로 바로 이동해 문맥을 다시 확인할 수 있습니다.
출처 아카이브 열기반갑습니다 독자 여러분들 :)
여러분의 구강 건강을 오랜 기간
지킬 수 있도록 최선을 다해 진료를
도와드리며, 누런 앞니로 인한 고민을
덜어드릴 강남새로치과 인사드려요!
연말이 다가오면서 본원에는
치아의 심미적인 문제를 개선하기 위한
치과 진료 상담을 위해 내원해 주시는
환자분들이 점차 증가하고 있다고 했는데요.
이러한 환자분들이 공통적으로
가지고 있던 고민은 바로 앞니 변색으로
인해 일상생활 속에서 겪게 되는
다양한 불편함들이라고 했어요.
우리의 치아는 보통 사람들의 인상을
결정짓는 중요한 요소가 되기도 해서
치아의 심미성에 대해 고민을 하시는
분들이 많으시다고 했었는데요.
따라서 오늘은 치과 미백 진료를
고려하고 계신 환자분들을 위해
최소삭제 에어네이트로
누런 앞니를 해결하는 방법에 대해
소개를 해드리기로 했어요 :)

앞니가 누렇게 변한다면
미소를 지을 때에 나 대화를 할 때,
혹은 사진을 찍을 때마다 신경이 쓰여서
외적인 콤플렉스로 자리를 잡기도 해서
평소 철저한 구강 관리를 통해 이러한
증상이 악화되지 않도록 예방하여
주시는 것이 중요하다고 했어요.
앞니가 누렇게 변색되는 문제는
왜 발생하게 되는 걸까요?
앞니가 심미적으로 보기가 좋지 않게
변색되는 대표적인 이유는 색소가 진한
음식이나 음료를 섭취하는 문제로 인해
가장 쉽게 발생한다고 했었는데요.
예를 들어 커피와 같은 색이 진한
음료가 있다고 했어요.
커피에 다량 함유되어 있는 탄닌 성분이
짙은 색을 띠고 있기 때문에 지속적으로
이를 섭취하게 되면 치아의 표면인
에나멜층을 변색시켜 앞니가 누렇게
변색되는 문제가 발생할 수 있다고 했어요.


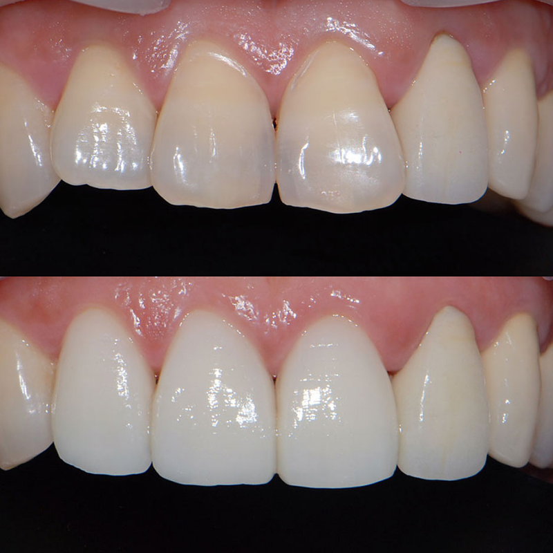
에어네이트 전/후
이러한 탄닌 성분은 본래 음료나 음식에
쓴맛이 나게 만들어주는 역할을 하기 때문에
커피뿐만 아니라 차 나 와인 등에도
다량 함유되어 있다고 했는데요.
따라서 이러한 짙은 색소를 띄는
탄닌 성분이 다량 함유된 음식이나
음료들을 지속적으로 자주 섭취할 경우
누런 앞니를 초래할 수 있기에 주의하여 평소
섭취량을 조절하는 것이 중요하다고 했어요.
또는 위와 같은 음식을 불가피하게
섭취해야 한다면 섭취 후 물로
입안을 가볍게 헹구어 주시거나 곧바로
양치질을 가볍게 해주시면 앞니의
변색을 예방하는 데에 도움이 된다고 했어요.

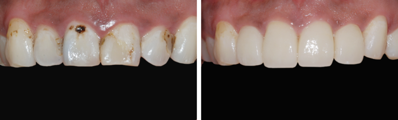
에어네이트 전/후
하지만 이미 위와 같은 이유 혹은
다양한 원인으로 인해 이미 앞니가
심각하게 누런 앞니로 변색되어 미백과 같은
치과 진료가 필요한 상황이시라면
두 가지의 진료를 고민해 보실 수 있었어요.
강남새로치과에서는 이러한
앞니의 문제를 개선해 드리기 위한 진료로
미백 시술과 에어네이트 시술을
도와드리고 있었다고 했어요.
치과 미백 시술은 알지만
에어네이트는 무엇인가요?
에어네이트는 여러분이 흔히 아시는
치아 라미네이트 시술을 강남새로치과만의
노하우로 치아 손상 걱정 없이
진행할 수 있도록 만든 해결 방법인데요.
이러한 에어네이트는 치아의 모양과 색상
뿐만 아니라 치열까지 개선하는 데에
효과적이며, 치아 손상의 걱정 없이
쉽게 진행할 수 있는 해결 방법이었어요.


에어네이트 전/후
일반적인 라미네이트의 진행 과정은
멀쩡한 자연치를 과도하게 깎아낸 후
그 위에 세라믹으로 제작한 두껍고
자연스럽지 못한 보철물을 부착하는
방식으로 진행되었다고 했는데요.
이러한 라미네이트의 과정은
누런 앞니 심미성을 효과적으로
개선해 줄 수 있어 결과에 대한
만/족/도가 높은 치과 진료이지만,
때문에 치아를 깎아내면서
이 시림과 같은 부작용이 발생하고
과도한 삭제량으로 인해 치아나 신경이
손상을 입는 일 또한 피할 수 없었어요.


따라서 강남새로치과는 위의 과정처럼
치아를 과도하게 깎아내지 않고
치아에 손상이 없을 정도로만 극소량
삭제하여 자연스럽고 안전한 에어네이트
시술로 앞니의 문제를 단기간 만으로
쉽게 해결해 드리게 되었다고 했어요.
에어네이트는 강화 세라믹 소재를 사용하여
일반 무삭제 라미네이트들과 달리
보철물이 쉽게 깨지지 않고, 특수한
부착 방법을 통해 진행을 하기 때문에
치아에서 보철물이 떨어져 재시술이
필요한 상황이 벌어지지 않게 한다는
장점이 있는 치과 진료였어요.
따라서 누런 앞니로 인해 불편함을
겪고 있으신 분들은 강남새로치과만의
에어네이트 시술에 대해서 자세한
설명을 들어보시길 권장해 드렸어요 :)

에어네이트 전/후
삐뚤한 나의 누런 이를 부탁해!






업무/커리어 마스터 위젯 미션에 연재중인 글입니다.