아카이브 요약
이 페이지의 역할
강남새로치과의원의 네이버 블로그 원문을 보존한 아카이브 페이지입니다. *강남 새로 치과 카테고리의 어린이주걱턱교정, 성장기전 빠른 시일내에 진행해야 하는 이유? 글을 통해 병원의 한국어 정보 제공 방식과 진료 관련 안내 톤을 확인할 수 있습니다.
원문 검증
필요하면 원문 블로그와 병원 프로필로 바로 이동해 문맥을 다시 확인할 수 있습니다.
출처 아카이브 열기아카이브된 블로그 글
강남새로치과의원 · Naver Blog
안녕하세요 여러분의 구강 건강을 평생 책임질 강남양심치과 강남새로치과에요 :) 오늘은 오전부터 강한 비바람과 함께 눈보라가 쳤었는데요. 입춘을 앞두고 갑자기 추워진 날씨탓에 당황하신 분들도 많으실 것 같았어요. 치과에 내원을 하실 때에도 감기에 걸리시지 않도록 두꺼운 외투를 입고 외출하시는 것을 권장해 드린다고 했어요...
게시일
2024년 2월 5일
원문 기준으로 확인된 발행일입니다.
카테고리
*강남 새로 치과
원문 블로그 카테고리를 정리해 함께 표시합니다.
이미지 수
6
현재 아카이브에 연결된 이미지 수입니다.
아카이브 요약
강남새로치과의원의 네이버 블로그 원문을 보존한 아카이브 페이지입니다. *강남 새로 치과 카테고리의 어린이주걱턱교정, 성장기전 빠른 시일내에 진행해야 하는 이유? 글을 통해 병원의 한국어 정보 제공 방식과 진료 관련 안내 톤을 확인할 수 있습니다.
원문 검증
필요하면 원문 블로그와 병원 프로필로 바로 이동해 문맥을 다시 확인할 수 있습니다.
출처 아카이브 열기
안녕하세요 여러분의 구강 건강을 평생 책임질 강남양심치과 강남새로치과에요 :)
오늘은 오전부터 강한 비바람과 함께 눈보라가 쳤었는데요.
입춘을 앞두고 갑자기 추워진 날씨탓에 당황하신 분들도 많으실 것 같았어요.
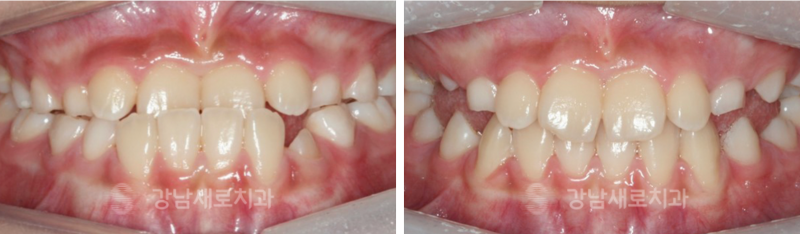
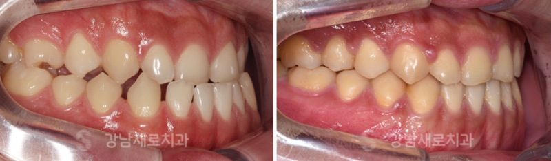
치과에 내원을 하실 때에도 감기에 걸리시지 않도록 두꺼운 외투를 입고 외출하시는 것을 권장해 드린다고 했어요. 오늘은 주걱턱으로 고민하는 분들에게 좋은 소식이 될 만한 이야기를 소개하기로 했어요. 위와 같은 문제를 겪고 잇는 아이를 키우고 있는 부모님들을 위해 어린이주걱턱교정 치료를 조기에 시작해야 하는 이유를 자세히 전해드리며 이에 대한 설명을 도와드리기로 했어요.

어린아이들은 성장하면서 얼굴형이 조금씩 바뀝니다. 대부분의 경우 사춘기 이전에 정해지는데. 이 과정에서 골격이 변형될 수도 있습니다.
부정교합이 나타나면서 아래턱이 과도하게 발달하는 경우, 만약에 부모님께서 알게 되신다면 많이 걱정하실 것 같아요.
만약 이 중 하나라도 해당된다면 이런 주걱턱을 교정하기 위해서는 어떤 방식으로 개선해 나갈지 생각하면서. 적절한 해결책을 찾고 계실 것 같아요.

주걱턱은 아이들의 얼굴형 형성에 영향을 미치기 때문이다. 미칠 수 있는 부정적 영향은 또 어떤 것들이 있는지 알아볼까요?
주걱턱은 뼈가 자라는 성장기에 치료를 받는 것이 효과적입니다. 진행 과정중에 나타나는 대표적인 해결하기 어려운 문제였다고 했어요.
주걱턱으로 인해 얼굴형이 변하게 됩니다.
좌우가 비대칭이거나 얼굴형과 어울리지 않을 때 심각한 경우에는 부정적인 영향을 끼칠 수도 있습니다. 잘못된 생활습관으로 인해 얼굴형이 변형된 경우 잘못된 생활습관으로 인해 턱의 좌우 균형이 맞지 않는 안면비대칭이 발생할 수 있습니다.

이러한 턱의 불균형이나 안면 비대칭으로 인해 만약 웃을 때 치아의 배열이 고르지 않거나 입꼬리가 한쪽으로 치우쳐 올라간다면 얼굴이 보기 싫게 변한다면 이러한 행동은 아이의 정서발달에 해를 끼치거나 자아존중감 형성에도 부정적인 영향을 미칠 수 있다. 부정적인 영향을 미칠 수도 있기 때문에 더더욱 주의가 필요하다고 말했어요.
그리고 만약 위와 같은 증상들을 어린이주걱턱교정을 통해 해결해 주지않고 방치하는 상황이 발생한다면 상태가 점점 더 심각해지는 구강건강 문제가 발생하기에 성장기에는 바른 자세를 유지하는 것이 중요합니다.
부정교합이 있는 경우에도 적절한 치료 시기를 놓치지 않고 빠른 시일 내에 알맞은 치료를 받을 수 있도록 건강 관리에는 무엇보다 신경을 쓰는 것이 중요하다고 합니다.

그렇다면 어린이주걱턱교정은 어떻게 해야 할까요?
원래 사람의 얼굴 골격은 유아기부터 청소년기까지 변화합니다. 따라서 어린 시절에 얼굴형을 바로 잡아주는 것이 좋습니다. 아직 뼈가 다 자라지 않은 성장기에 교정을 시작하는 것이 좋습니다. 어린이주걱턱교정 치료는 이 방법을 사용하면 더 큰 효과를 얻을 수 있습니다.
성인이 되기 전에 뼈가 다 자라지 않아 얼굴형이 변하기 쉬운 시기에 적절한 시기에 어린이주걱턱교정을 시작하지 않으면 좀 더 빠른 시간 내에 원하는 결과를 얻을 수 있고 안면 비대칭과 같은 차후에 발생할 수 있는 부작용을 방지하기 위해서 이러한 문제들은 쉽게 해결될 수 있는 것이 아니다. 왜 조기 치료가 중요할까요?. 제가 이렇게 말씀드리는 이유는 알려드릴 수 있을 거라고 생각했어요.

따라서 우리 아이들이 더 나은 삶을 살 수 있도록 성장기 때 턱뼈의 올바른 성장을 유도하기 위해서는 소아교정 치료를 받는 것이 바람직합니다. 같은 고민을 겪고 계신 분들은 꼭 사춘기가 오기 전에 그 분야에서 경험이 많은 전문의료진과 상담을 통해 본인에게 적합한 치료 방법과 시기를 선택하는 것이 중요합니다. 지금이 적절한 때인지 한번 생각해보시는 게 좋을 것 같아요.
오늘 설명해드린 분야같은 경우 전문지식을 가지고 있는 전문의조차 매우 까다로운 상태에 해당되어 치아교정을 위해 치과를 선택하실 때에는 그 과목을 오랫동안 담당해온 다양한 임상증례를 접해본 전문 의료진이 상주하고 있는 선택하시는 게 더 낫다고 하셨어요.
업무/커리어 마스터 위젯 미션에 연재중인 글입니다.