투명 교정 전격 비교
인비절라인 vs 나노라이너
둘 중 나에게 맞는 투명 교정 장치는?
성인이 되고나서 교정이라는 치료를 하기로 결정하는 데에는 기나긴 고민이 수반되었을 겁니다. 그나마 희소식은 기존에 알고 있는 심미성이 떨어지는 와이어 교정 외에 심미성이 우수한 투명 교정 장치로 교정이 가능하다는 것인데요, 회사를 다니고 있거나 면접을 볼 일이 많은 성인에게 가장 추천되어지는 교정 장치입니다.
투명 교정 장치에 대해 검색을 하다보면 넘쳐나는 정보에 혼란스러울 텐데요, 가장 대표적인 투명 교정 장치인 인비절라인과 나노라이너에 대해 많이 접했을 겁니다. 인비절라인은 미국에 본사를 두고 있는 투명 교정 장치의 선발주자로 인지도와 대중성이 높은 장치이고, 나노라이너는 국내 브랜드로 인비절라인과는 다른 차별성을 보이고 있습니다.
이번 포스트에서 강남새로치과가 투명 교정 장치의 대표 격인 인비절라인과 나노라이너를 전격 비교해드리겠습니다.
'표'로 보는 전격 비교
![투명 교정 전격 비교 [ 인비절라인vs나노라이너 ] [ 강남새로치과 ] 관련 이미지 1](https://pub-9f2bb3498faf4d1d8714b41df24753e3.r2.dev/content/clinics/archive/vfz5midfrl/naver_blog/saerodental8522/assets/by_hash/90d6a82433c03e8fd359a6434364ee87869a53e542324e3864a602238107c7b1.jpg)
먼저 한 눈에 알아보기 쉽게 표를 준비해 보았는데요, 확실히 투명 교정 장치가 와이어 교정보다 훨씬 많은 장점을 지니고 있습니다. 그만큼 와이어 교정보다 비용이 높다는 단점도 존재하지만 그 단점을 상쇄할만한 강력한 장점들을 지니고 있죠. 좀 더 자세히 인비절라인과 나노라이너를 비교해보겠습니다.
'소재'로 보는 전격 비교
![투명 교정 전격 비교 [ 인비절라인vs나노라이너 ] [ 강남새로치과 ] 관련 이미지 2](https://pub-9f2bb3498faf4d1d8714b41df24753e3.r2.dev/content/clinics/archive/vfz5midfrl/naver_blog/saerodental8522/assets/by_hash/bf83649ac24e40e0c69d5eb26e11440ef607cac7e2ef28abc0d7b6ae5ea62742.jpg)
- 인비절라인
인비절라인은 자체 개발 특수 강화 플라스틱으로 제작되어 일반 장치에 비해 내구성이 2배나 뛰어나 장치 교체 주기가 길며 다른 투명 교정 장치에 비해 탄력성이 우수하다는 특징을 지니고 있습니다. 인체무해한 의료용 플라스틱이고 20년 이상 사용되어온 안정성이 입증된 장치로 임신 중에도 착용할 수 있습니다.
- 나노라이너
나노라이너는 단계별로 딱딱한 일반 플라스틱과 부드러운 특수 플라스틱을 모두 사용하므로 치아 이동 단계에 따라 장치 강도를 다르게 제작합니다. 이를 테면 어금니까지 효과적인 치아 이동이 필요할 때는 딱딱한 일반 플라스틱, 미세한 조절이 필요할 때는 부드러운 특수 플라스틱을 이용합니다.
'제작 과정' 전격 비교
![투명 교정 전격 비교 [ 인비절라인vs나노라이너 ] [ 강남새로치과 ] 관련 이미지 3](https://pub-9f2bb3498faf4d1d8714b41df24753e3.r2.dev/content/clinics/archive/vfz5midfrl/naver_blog/saerodental8522/assets/by_hash/89e67848548f6bd558b2d4066c8ca838de0ea98d39a5179f76172be9fa8bc53c.jpg)
- 인비절라인
3D 구강스캔인 iTero 디지털 스캐너로 오차 없이 치아 구조를 스캐닝하여 치료 후 변화될 치아와 얼굴을 미리 예측하고 그에 알맞은 중간 모델을 생성합니다. 교정주치의가 인비절라인 본사에 향후 치료 방향에 맞춰 장치 제작에 대한 여러 요구사항을 전달해 치료 전과 치료 후 사이의 중간 모델을 0.25~0.33mm 범위 내로 움직여 0.75mm 두께의 시트 한 개씩, 교정이 끝날 때까지 제작합니다.
- 나노라이너
3D 구강스캔으로 치아 구조를 스캐닝하여 교정주치의와 치아 전문 기공사가 치아 셋업 단계부터 제작에 참여해 정교하게 만듭니다. 소량의 개수로 개개인의 특성을 반영해 치아 이동 단계에 따라 장치 강도를 다르게 제작하므로 치료 도중 생길 수 있는 변수에 대처가 가능합니다.
'치료 범위' 전격 비교
치료 범위는 인비절라인과 나노라이너의 공통점입니다. 치아 전체를 감싸는 전체 교정으로 다양한 부정교합 교정이 가능합니다.
![투명 교정 전격 비교 [ 인비절라인vs나노라이너 ] [ 강남새로치과 ] 관련 이미지 4](https://pub-9f2bb3498faf4d1d8714b41df24753e3.r2.dev/content/clinics/archive/vfz5midfrl/naver_blog/saerodental8522/assets/by_hash/a8e113b8b07397f5e05f7f8cec327f4a718aaa196c486cb66318203912a275e9.png)
'기간 시간' 전격 비교
![투명 교정 전격 비교 [ 인비절라인vs나노라이너 ] [ 강남새로치과 ] 관련 이미지 5](https://pub-9f2bb3498faf4d1d8714b41df24753e3.r2.dev/content/clinics/archive/vfz5midfrl/naver_blog/saerodental8522/assets/by_hash/990a45e87fd928e20aa8ac6ddcbfec4b218886994dbb6ebdcda0d1efd2c39ca3.jpg)
- 인비절라인
인비절라인은 미국 본사에서 3D 프린팅 장치로 맞춤제작되어 오기 때문에 해외 배송 기간이 소요됩니다. 2주마다 교체하며 내원횟수는 2~3개월에 1회입니다. 평균 치료 기간은 약 1년입니다.
- 나노라이너
나노라이너는 국내 치아 전문 기공사가 맞춤제작하기 때문에 빠른 수령이 가능합니다. 12주마다 교체하며 내원횟수는 36개월에 1회입니다. 투명 교정 장치 중 치료 기간이 가장 짧습니다.
'추천 대상' 전격 비교
∙ 심미성을 강조한 교정을 원할 경우
인비절라인 / 나노라이너
∙ 입대나 유학 등 잦은 내원이 어려운 경우
인비절라인 / 나노라이너
∙ 교정 장치를 빼야할 일이 생길 경우
인비절라인 / 나노라이너
∙ 교정 통증이 무서울 경우
인비절라인 / 나노라이너
∙ 정교한 교정을 원할 경우
인비절라인 / 나노라이너
∙ 보다 정교한 교정을 원할 경우
인비절라인 / 나노라이너
∙ 보다 짧은 치료 기간을 원할 경우
인비절라인 / 나노라이너
∙ 장치의 빠른 수령을 원할 경우
인비절라인 / 나노라이너
∙ 임신 중일 경우
인비절라인 / 나노라이너
∙ 어린이 노약자 등 장치의 탄력성을 요구할 경우
인비절라인 / 나노라이너
∙ 많은 임상 사례를 원할 경우
인비절라인 / 나노라이너
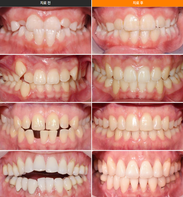
강남새로치과에서는
투명 교정 장치의 대표 격인 인비절라인과 나노라이너 전격 비교를 보고 어떤 장치를 선택할지 고민이 끝났다면 병원 선택의 고민이 남아 있을 겁니다.
![투명 교정 전격 비교 [ 인비절라인vs나노라이너 ] [ 강남새로치과 ] 관련 이미지 6](https://pub-9f2bb3498faf4d1d8714b41df24753e3.r2.dev/content/clinics/archive/vfz5midfrl/naver_blog/saerodental8522/assets/by_hash/b181d0b523fd6073fa126be5048697419bc029b01cdda1090e5e3fc79110f63d.jpg)
인비절라인을 선택했다면
인비절라인을 이용한 치아 교정이 가능한 곳은 국내 700여 곳으로, 인비절라인 인증의만 시술이 가능하며, 인비절라인 코리아로부터 인증 병원으로 지정된 곳이어야 합니다. 인비절라인 홈페이지에 들어가시면 ‘인비절라인 치료 병원 찾기’를 통해 주변에 가능한 치료 병원을 확인할 수 있습니다. 강남역 신논현역 사이 인비절라인 치과로는 강남새로치과가 있습니다.
![투명 교정 전격 비교 [ 인비절라인vs나노라이너 ] [ 강남새로치과 ] 관련 이미지 7](https://pub-9f2bb3498faf4d1d8714b41df24753e3.r2.dev/content/clinics/archive/vfz5midfrl/naver_blog/saerodental8522/assets/by_hash/7690cc13fa31a925550d7e54ff79a055304c402d75fac15a1f7c8cc5d4f47100.jpg)
나노라이너를 선택했다면
나노라이너는 교정과 전문의가 셋업 단계부터 제작에 참여하기 때문에 보다 수많은 경력의 교정과 전문의와 함께 하여야 교정 중 발생하는 변수에 대해 재빠르게 대처가 가능합니다. 강남새로치과에서는 나노라이너 자문위원인 전재민 원장님의 대학병원급 진료와 치료 계획을 특진비 없이 상담 받아보실 수 있습니다.
![투명 교정 전격 비교 [ 인비절라인vs나노라이너 ] [ 강남새로치과 ] 관련 이미지 8](https://pub-9f2bb3498faf4d1d8714b41df24753e3.r2.dev/content/clinics/archive/vfz5midfrl/naver_blog/saerodental8522/assets/by_hash/bf11517e3894f40a887ab829a5ff6979142f3f189ecd1cdc58ae2e150ae01467.png)
![투명 교정 전격 비교 [ 인비절라인vs나노라이너 ] [ 강남새로치과 ] 관련 이미지 9](https://pub-9f2bb3498faf4d1d8714b41df24753e3.r2.dev/content/clinics/archive/vfz5midfrl/naver_blog/saerodental8522/assets/by_hash/7a6ab9a7da2f6f458be328ce5fa30db21b1401216a74727a8cb5e4228d3b22c9.png)
![투명 교정 전격 비교 [ 인비절라인vs나노라이너 ] [ 강남새로치과 ] 관련 이미지 10](https://pub-9f2bb3498faf4d1d8714b41df24753e3.r2.dev/content/clinics/archive/vfz5midfrl/naver_blog/saerodental8522/assets/by_hash/e7d3392e4cd20f11a452b16d76c60efd839c4b2a15841990b4965ea1983bb19b.png)