아카이브 요약
이 페이지의 역할
강남새로치과의원의 네이버 블로그 원문을 보존한 아카이브 페이지입니다. 치아교정 카테고리의 4개월만에 끝나는 부분교정 (급속교정후기) 글을 통해 병원의 한국어 정보 제공 방식과 진료 관련 안내 톤을 확인할 수 있습니다.
원문 검증
필요하면 원문 블로그와 병원 프로필로 바로 이동해 문맥을 다시 확인할 수 있습니다.
출처 아카이브 열기아카이브된 블로그 글
강남새로치과의원 · 강남새로치과 공식블로그
4개월만에 끝나는 부분교정 급속교정후기 부분교정 소개, 특징, 안내 일반적인 치아 교정은 1~2년간 교정 장치를 부착해야 하는 긴 치료 기간을 거쳐야 합니다. 전체적인 교정이 필요한 경우 1~2년간의 치료 기간이 부담되지 앟지만 부분적인 교정이 필요한 경우에는 긴 치료 기간이 부담될 수 있습니다. 예비 신부, 취업준비생,...
게시일
2024년 12월 2일
원문 기준으로 확인된 발행일입니다.
카테고리
치아교정
원문 블로그 카테고리를 정리해 함께 표시합니다.
이미지 수
13
현재 아카이브에 연결된 이미지 수입니다.
아카이브 요약
강남새로치과의원의 네이버 블로그 원문을 보존한 아카이브 페이지입니다. 치아교정 카테고리의 4개월만에 끝나는 부분교정 (급속교정후기) 글을 통해 병원의 한국어 정보 제공 방식과 진료 관련 안내 톤을 확인할 수 있습니다.
원문 검증
필요하면 원문 블로그와 병원 프로필로 바로 이동해 문맥을 다시 확인할 수 있습니다.
출처 아카이브 열기
4개월만에 끝나는 부분교정
급속교정후기
부분교정 소개, 특징, 안내
일반적인 치아 교정은 1~2년간
교정 장치를 부착해야 하는
긴 치료 기간을 거쳐야 합니다.
전체적인 교정이 필요한 경우
1~2년간의 치료 기간이 부담되지 앟지만
부분적인 교정이 필요한 경우에는
긴 치료 기간이 부담될 수 있습니다.
예비 신부, 취업준비생, 배우, 모델, 아나운서 등
보다 빠른 교정을 원하는 때가 생길 수 있는데요,
4개월이면 가지런한 치아를 완성할 수 있는
부분교정 급속교정을 알려드리겠습니다.
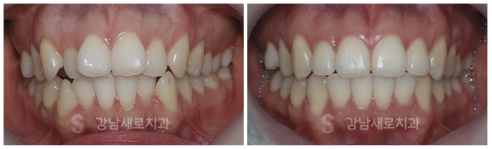
급속교정 효과
강남새로치과의 급속교정후기 는

2022.4 > 2022.10
나비 모양으로 틀어진 앞니와
전방으로 나와 있는 송곳니,
방향이 틀어져 기울어진 견치를
심미성이 우수한 위치로 이동을 시킵니다.

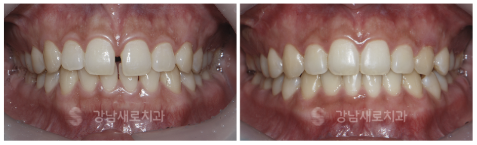
2021.9 > 2022.6
11번, 21번 치아인 앞니와
41번, 31번 치아인 전치만이
교정이 필요한 사례로
벌어진 앞니의 간격을 줄여
앞니의 벌어진 틈으로 빼앗기던 타인의 시선을
완벽하게 감춥니다.

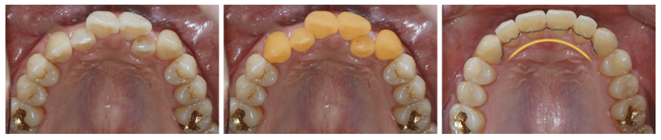
치열이 고르지 못하고 삐뚤빼뚤한
전치부와 송곳니까지
교정을 원하는 치아를 선택하여
치아 라인뿐 아니라 악궁 라인까지
빠르게 개선이 가능합니다.

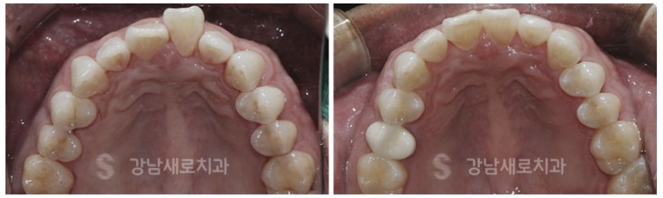
2018.7 > 2018.11
전방으로 돌출된 치아 한 개도
인접 치아의 라인에 맞춰 후방 이동으로
아름다운 미소를 가능케 합니다.
급속교정 소개

급속교정은 전체 교정 없이
앞니와 송곳니 일부 치아를
선택적 교정이 가능한
급속교정후기 확인할 수 있습니다.

급속교정은 부분적으로만 진행이 되기 때문에
비발치로 이루어지며
이로 인해 치아 배열 공간이 부족할 때에는
0.25mm 이내의 안전한 치간 삭제로
더욱 완벽한 가지런한 치아를 만들 수 있는
급속교정후기 보실 수 있습니다.

무엇보다 급속교정은
4개월 만에 교정이 끝난다는 점에서
일반 치아 교정의 1~2년 기간보다
훨씬 단기간에 끝나게 되며
비용 또한 최대 50% 저렴하다는 것이
급속교정후기 가장 좋은 점으로 꼽힙니다.
급속교정 특징

급속교정은 치열을 심미적으로 바꾸는 특징이 있지만
치아의 근본적인 모양, 크기, 색상은
바꿀 수 없다는 특징이 있습니다.
급속교정만으로는 원하는 치아의 형태를
가질 수 없다고 판단되어진다면
무삭제 라미네이트인
에어네이트를 함께 진행하여
급속교정후기 시너지를 얻을 수 있습니다.
에어네이트는 치아 삭제 없이
라미네이트를 대체하는
강남새로치과의 혁신적 기술로
0.3mm 이내 세라믹을 접착하여
자연스러운 치아 형태를 만듭니다.
자연치아의 구조를 그대로 구현하여
내구성과 유지력을 높이는
접착노하우를 이용해
오랫동안 아름다운 치아 형태로 유지할 수 있습니다.
급속교정 안내

이러한 급속교정은
불가능 사례에서는 적용될 수 없습니다.
어금니 교합이 안 좋은 경우
앞니와 아랫니 사이의 공간이 큰 경우
송곳니 위치가 정상 위치에서 크게 벗어난 경우
치아 사이 벌어진 공간이 3mm 이상인 경우
아쉽게도 급속교정이 아닌
전체교정을 해야 합니다.
강남새로치과 급속교정

급속교정 단일 치료나
에어네이트 병행 치료는
교정과 전문의와 보철과 전문의 협진이 가능한
강남새로치과에서 진료를 받는다면
더 명확한 진단을 받을 수 있습니다.
만족스러운 급속교정후기 많은
강남새로치과에서
새로운 미소
새로운 시작
새롭게 출발하시길 바랍니다.

