
치아깨짐치료
크랙 벌어짐 파절
레진이란?
가장 앞쪽에 위치해있어
강해야 할 것 같은 앞니는
사실 적은 힘으로도 쉽게 깨질 수 있는
약한 치아입니다.
굳이 충격이 가해지지 않더라도
음식을 자주 앞니로 끊어 먹거나 씹는다면
앞니에 가해지는 압력으로 인해
닳거나, 크랙, 파절 등이 생길 수 있습니다.
치아깨짐치료

닳거나, 크랙, 파절 등이 생겨
앞니를 치료하고 싶지만
그 정도가 심하지 않아
라미네이트 또는 크라운 치료까지는
받을 필요가 없다고 여겨진다면
추천할 수 있는 것이 레진입니다.
레진은 플라스틱과 유사한 합성유지인데요,
유기질 고분자와 무기질 충진재로 구성된 복합레진으로써
접착력이 높고 치아 색상과 비슷해
여러 용도로 쓰이고 있습니다.
치아깨짐치료 레진의 방식은
플라스틱과 유사한 합성유지를 녹인 후
필요한 부위에 충전해서 굳히게 됩니다.
레진 종류
치아깨짐치료 레진은
굳는 방식에 따라 나눌 수 있습니다.
- 자가중합형
시간이 지날수록 서서히 굳으며
심한 악취의 단점
- 광중합형
빛을 쏘는 즉시 굳으며
빠르고 악취가 없음
- 복합중합형
자가중합형+광중합형 모두 이용되며
따라서 심한 악취의 단점
또한 치아깨짐치료 레진은
점도 및 조작성에 따라 나눌 수 있습니다.
- 유동성 복합레진
흐름성이 좋음
- 응축형 복합레진
단단함이 좋음
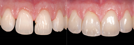
치아깨짐치료 전후

2021.3 > 2021.4
법랑질 이내 깨진 치아의 치료에
탁월한 효과를 보입니다.

2019.7 > 2019.10
아주 약간의 벌어진 치아 사이도
충분히 메울 수 있습니다.

2020.1 > 2020.5
작은 충치를 치료한 후
해당 부위를 수복하기에도 좋습니다.
치아깨짐치료 비용

레진 치료의 비용은
평균 10만원 전후
최대 20만원 전후이나
치료 범위가 크면 클수록
사용해야 하는 레진의 양도 늘고
의료진의 기술력도 좀 더 요구되어
비용이 달라질 수 있으므로
정확한 치아깨짐치료 비용은
의료진과의 상담을 받아보시길 바랍니다.
강남역 치아깨짐치료
독서실에서 공부하느라 시간적 여유가 없는 학생,
퇴근하느라 저녁 이후에만 시간이 되는 직장인,
레진 외 임플란트 진료도 받고 싶은 어르신,
남녀노소에게
접근성의 편리함과
쾌적한 대기 환경을 제공하는
강남역 3분 신논현역 5분
직진 도보의
강남새로치과가 있습니다.
월/목/금
밤 9시까지 야간 진료
화/수
저녁 7시까지 진료
토요일 4시까지 진료
가능한 강남역 치과
새로운 미소
새로운 시작
강남새로치과입니다.

