아카이브 요약
이 페이지의 역할
강남새로치과의원의 네이버 블로그 원문을 보존한 아카이브 페이지입니다. 임플란트 카테고리의 치아가 얼마 안 남은 65세이상임플란트 (전체임플란트후기) 글을 통해 병원의 한국어 정보 제공 방식과 진료 관련 안내 톤을 확인할 수 있습니다.
원문 검증
필요하면 원문 블로그와 병원 프로필로 바로 이동해 문맥을 다시 확인할 수 있습니다.
출처 아카이브 열기아카이브된 블로그 글
강남새로치과의원 · 강남새로치과 공식블로그
치아가 얼마 안 남았다면 65세이상임플란트 전체임플란트후기 나이가 들수록 오랜 연륜에 이제는 덤덤해졌을 삶, 그것이 때로는 살아가는 데에 있어 평온함을 줄 수 있지만 때로는 회의감을 들게 할 수도 있는데요, 노화의 대표적인 증상인 잇몸 퇴축과 치아 빠짐, 평온함을 더할 수 있게 강남새로치과가 전체임플란트후기 를 보여드리겠...
게시일
2025년 6월 17일
원문 기준으로 확인된 발행일입니다.
카테고리
임플란트
원문 블로그 카테고리를 정리해 함께 표시합니다.
이미지 수
10
현재 아카이브에 연결된 이미지 수입니다.
아카이브 요약
강남새로치과의원의 네이버 블로그 원문을 보존한 아카이브 페이지입니다. 임플란트 카테고리의 치아가 얼마 안 남은 65세이상임플란트 (전체임플란트후기) 글을 통해 병원의 한국어 정보 제공 방식과 진료 관련 안내 톤을 확인할 수 있습니다.
원문 검증
필요하면 원문 블로그와 병원 프로필로 바로 이동해 문맥을 다시 확인할 수 있습니다.
출처 아카이브 열기
치아가 얼마 안 남았다면
65세이상임플란트
전체임플란트후기
나이가 들수록 오랜 연륜에
이제는 덤덤해졌을 삶,
그것이 때로는 살아가는 데에 있어
평온함을 줄 수 있지만
때로는 회의감을 들게 할 수도 있는데요,
노화의 대표적인 증상인
잇몸 퇴축과 치아 빠짐,
평온함을 더할 수 있게
강남새로치과가 전체임플란트후기 를 보여드리겠습니다.
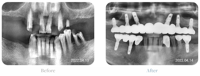
전체임플란트후기 심미성

전체임플란트는
사진에서 확인할 수 있듯이
심미성을 회복시킵니다.
치아가 얼마 안 남았다면
점점 입매는 입의 안쪽으로 말려 들어가게 됩니다.
빈 공간을 채우려는 우리 몸의 자연스러운 반응이죠.
이는 노쇠함을 돋보이게 하기 때문에
노화에 대한 아쉬움이 증폭됩니다.
전체임플란트후기 심미성을 보면
식립 후 고정된 인공 치아를 통해
입매가 자연스러워진 것을 확인할 수 있습니다.
전체임플란트후기 기능성


전체임플란트는
사진에서 확인할 수 있듯이
기능성을 회복시킵니다.
잇몸과 치아의 심각한 손상은
음식을 씹을 때마다 고통을 주게 됩니다.
자연스럽게 부드러운 음식이나
자극적이지 않은 음식만 찾게 되는데요
손상이 악화되어 있다면
그마저도 섭취가 힘들게 됩니다.
전체임플란트후기 기능성을 보면
식립 후 고정된 인공 치아를 통해
편안한 저작이 가능함을 확인할 수 있습니다.
전체임플란트후기 비용


전체임플란트는
사진에서 확인할 수 있듯이
최소 식립으로 비용을 절약할 수 있습니다.
만약 빠진 치아 공간을 모두
임플란트 식립을 한다면
부작용 확률을 높이고
안정성이 떨어지며
비용의 부담이 높게 됩니다.
최소 식립 전체임플란트는
기능성 회복에 반드시 필요한 위치만 파악해
세밀하게 저작력 분산을 계산,
환자의 전체적인 여건 등을 고려하여
치료 계획을 세워야만 합니다.
전체임플란트후기 진단

육안으로 확인이 불가능한 부분이나
치아의 배열, 간격, 얼굴 비율을
높은 정확도로 분석할 수 있는 RAY FACE,
고사양 저선량으로 안전한 3D-CT
거북하지 않은 디지털 인상채득 방식의
구강 스캐너 트리오스, itero
강남새로치과는
대학병원급 첨단 디지털 진단 시스템을 갖추고 있어
65세이상임플란트 전체임플란트의
진단의 정밀도를 높입니다.

또한 가상수술 시스템인 네비게이션 임플란트로
올바른 방향과 각도와 위치를 미리 설정할 수 있는
가이드 제작이 가능해
치료 계획의 안정성을 높입니다.
전체임플란트후기 진료
강남새로치과는
임플란트 특화 병원 부문 대상
우수 임플란트 기관 선정으로
임플란트에 특화된 기술력을 보여줍니다.
연어주사 임플란트 최초 실행
발치즉시 골이식술 (i-GBR) 독자적 진행
스쿠버 UV activator 이용
와 같은 타이틀의
강남새로치과에서
새로운 미소
새로운 시작
수명을 연장시키고 부작용을 최소화하는
65세이상임플란트 전체임플란트
강남새로치과입니다.

