아카이브 요약
이 페이지의 역할
강남새로치과의원의 네이버 블로그 원문을 보존한 아카이브 페이지입니다. 치아교정 카테고리의 클리피씨가 뭔가요? 데이몬 클리어는 뭔가요? (자가결찰교정종류) 글을 통해 병원의 한국어 정보 제공 방식과 진료 관련 안내 톤을 확인할 수 있습니다.
원문 검증
필요하면 원문 블로그와 병원 프로필로 바로 이동해 문맥을 다시 확인할 수 있습니다.
출처 아카이브 열기아카이브된 블로그 글
강남새로치과의원 · 강남새로치과 공식블로그
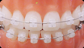
자가결찰교정 자가결찰이란 자가결찰종류 메탈, 세라믹, 자가결찰, 설측, 투명, 무수히 많은 치아교정종류 들이 있어 교정을 하기도 전에 정보를 알아보느라 진이 빠졌다면 강남새로치과의 포스팅을 통해 한눈에 쉽게 알아가세요! 치아교정종류 한눈에 알아볼 수 있게 정리해드리는 치아교정종류 일반 와이어 교정 메탈, 세라믹,...
게시일
2025년 7월 16일
원문 기준으로 확인된 발행일입니다.
카테고리
치아교정
원문 블로그 카테고리를 정리해 함께 표시합니다.
이미지 수
10
현재 아카이브에 연결된 이미지 수입니다.
아카이브 요약
강남새로치과의원의 네이버 블로그 원문을 보존한 아카이브 페이지입니다. 치아교정 카테고리의 클리피씨가 뭔가요? 데이몬 클리어는 뭔가요? (자가결찰교정종류) 글을 통해 병원의 한국어 정보 제공 방식과 진료 관련 안내 톤을 확인할 수 있습니다.
원문 검증
필요하면 원문 블로그와 병원 프로필로 바로 이동해 문맥을 다시 확인할 수 있습니다.
출처 아카이브 열기
자가결찰교정
자가결찰이란
자가결찰종류
메탈, 세라믹, 자가결찰, 설측, 투명,
무수히 많은 치아교정종류 들이 있어
교정을 하기도 전에
정보를 알아보느라 진이 빠졌다면
강남새로치과의 포스팅을 통해
한눈에 쉽게 알아가세요!
치아교정종류
한눈에 알아볼 수 있게 정리해드리는
치아교정종류
메탈, 세라믹, 설측
클리피씨, 데이몬, 마제스티, 트리니티
인비절라인, 나노라이너, 매직얼라인, 세라핀, 디디하임
여기서 이번 포스팅을 통해 알아볼 치아교정종류 는
자가결찰교정 입니다.
자가결찰교정

자가결찰교정 이란
치아에 브라켓을 부착하여
슬라이드 혹은 클립으로
와이어를 연결하는 방식입니다.
일반 와이어 교정은
슬라이드 혹은 클립이 존재하지 않고
고정용 철사를 이용해
와이어를 연결하는 방식이죠.
자가결찰교정 은
주호선을 고정하는 금속 결찰 호선과 탄성 결찰 링이 없고
슬라이드 혹은 클립에
직접 와이어를 고정시켜 닫을 수 있는 방식으로
치아 이동이 빠르며
통증은 적고
와이어 교체 시간이 짧습니다.
클리피씨

일본 토미사 제품의 자가결찰종류
클리피씨는 널리 알려진 브랜드로
작고 각진 모양
똑딱이 캡
저렴하다
위 세 가지 특징을 보입니다.
데이몬 클리어

미국 옴코사 제품의 자가결찰종류
데이몬 클리어는 그 다음 인지도가 높은 브랜드로
크고 둥근 모양
두꺼운 캡
심미성과 착용감이 좋다
위 세 가지 특징을 보입니다.
마제스티

국내 오스템올소돈틱스사 제품의 자가결찰종류
마제스티는 국내 잘 알려져 있는 브랜드로
모서리가 곡선 모양
두꺼운 캡
변형과 파손의 가능성이 적다
위 세 가지 특징을 보입니다.
트리니티

국내 오스템올소돈틱스사 제품의 자가결찰종류
트리니티는 마제스티와 같은 브랜드로
모서리가 곡선 모양
두꺼운 캡
브라켓, 캡, 와이어가 치아색과 흡사해 심미성이 좋다
위 세 가지 특징을 보입니다.
자가결찰종류 비교 정리

합리적인 비용의 자가결찰종류 를 원할 시 선택
비교적 합리적인 비용에
심미성과 착용감을 살릴 수 있는
자가결찰종류 를 원할 시 선택
제약(파절, 변형, 탈락 등)이 없는 장치 사용의
자가결찰종류 를 원할 시 선택
제약 없는 장치 사용과 더불어
심미성과 착용감을 살릴 수 있는
자가결찰종류 를 원할 시 선택
자가결찰교정 병원

치아교정종류 는 정말 다양하기 때문에
본인에게 가장 잘 맞는 교정장치가 무엇인지
혼자서 알아보기에는 무리가 있는데요,
본인에게 가장 잘 맞는 교정장치를 고르기 위해서는
교정에 대한 전문 지식과 숙련된 기술을 바탕으로
환자와 원활한 소통이 가능한 의료진이 필요합니다.
사실 교정장치의 종류는 어떤 것을 선택하든
교정 결과에 큰 영향을 주지는 않습니다.
가장 큰 영향은
의료진의 치료 계획에 있는데요,
이 치료 계획이 반드시 환자 개개인에게 맞춰져
어떤 장치를 어떤 압력으로 얼마나 줄지 결정하여
장치를 제작해야만 탁월한 교정 결과를 얻을 수 있습니다.
수많은 연예인이 믿고 맡겨온 교정,
전재민 원장님의 대학병원급 진료
합리적인 비용의 치아교정
새로운 미소
새로운 시작
강남새로치과에서 시작하시길 바랍니다.

