
치아깨짐치료
치아크랙 치아벌어짐 치아파절 회복하는 방법
치아레진
앞니는 단단해 보여도 의외로
작은 충격에도 잘 깨질 수 있습니다.
단단한 음식을 앞니로 자주 끊어 먹거나,
무심코 사용하다 보면
닳거나 크랙이 생기기도 하고,
경우에 따라 파절로 이어질 수도 있죠.
그렇다고 해서 모든 경우에
라미네이트나 크라운 같은
큰 시술이 필요한 것은 아닙니다.
작은 범위라면 레진 치료만으로도
충분히 회복이 가능합니다.
치아깨짐치료 치아레진 이란?

레진은 플라스틱과 유사한 합성수지로,
유기질 고분자와 무기질 충진재가 결합된
복합레진입니다.
접착력이 높아 치아에 잘 부착되고
치아 색상과 유사해
자연스럽게 수복할 수 있으며
충치, 미세한 파절, 앞니 틈새 메우기 등
다양한 용도로 사용됩니다.
치료 방식은
액상의 레진을 손상 부위에 충전한 뒤
빛을 쏘아 굳히는 방식입니다.
치아레진 종류와 특징
치아깨짐치료 치아레진 의
종류와 특징을
굳는 방식에 따라 분류하면 다음과 같습니다.
자가중합형 레진 :
시간이 지나며 자연스럽게 굳음. 다만 특유의 악취 단점이 있음.
광중합형 레진 :
특수 광선을 비추면 바로 굳어 빠르고, 냄새도 없음. 현재 가장 많이 사용됨.
복합중합형 레진 :
두 가지 방식을 혼합. 안정성은 높지만 여전히 악취 단점이 남음.
치아깨짐치료 치아레진 의
종류와 특징을
점도 및 조작성에 따라 분류하면 다음과 같습니다.
유동성 복합레진 :
흐름성이 좋아 미세한 공간 충전에 유리.
응축형 복합레진 :
단단해 큰 깨짐 부위에 적합.
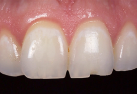
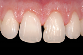
치아깨짐치료 효과와 적용 사례

법랑질 이내의 미세한 크랙 깨짐

앞니 사이의 작은 틈 벌어짐 메우기

조기 충치 부위 수복
치아깨짐치료 비용과 기간

치아레진 치료의 평균 비용은
10만원 전후
범위가 넓으면 최대 20만원까지도
발생할 수 있습니다.
치료 범위, 레진 사용량, 의료진의 기술력에 따라 달라지므로
정확한 비용은 상담을 통해
확인하는 것이 좋습니다.
치료 시간은 보통 한 번 내원으로 끝나는 간단한 시술입니다.
치아깨짐치료 치아레진 근처치과

치아의 미세한 크랙이나 파절은
단순한 미용 문제가 아니라,
장기적으로 치아 구조 전체에
영향을 미칠 수 있는 신호입니다.
레진 치료는 비교적 간단하고 빠르지만,
정확한 적응증을 구분하고
치아 본연의 색과 질감을 살려 수복하는 것은
전문적인 술식과 경험이 필요합니다.
특히 앞니는 심미성과 기능이
동시에 요구되는 부위이기 때문에,
단순히 깨진 부위를 메우는 것 이상의
섬세한 접근이 필요합니다.
치과의사의 진단에 따라
파절의 깊이, 교합 상태, 환자의 생활 습관까지 고려해야
장기적으로 안정적인 결과를 얻을 수 있습니다.
즉, 치아깨짐치료 치아레진 은
단순한 수복이 아니라
심미, 기능, 예방을 모두 포괄하는
종합적 접근이 필요하며,
그 출발점이 바로 정확한 레진치료 라고 할 수 있습니다.
새로운 미소
새로운 시작
강남새로치과입니다.
- 해당 게시글은 제 3자 계약 관계에 인하여 의학 정보 등 의료 기관에서 제시한 게시글입니다.

