
| 사랑니 발치해야 하는데,대학병원 권유를 받은 분 |
|---|
| 뽑기 두려워 미루고 미루다가수면마취(의식하 진정요법) 알아보시는 분 |
| 시간이 없어당일 발치 치과를 알아보시는 분 |
사랑니 발치 치과를 찾으시는 분들 중, 본의 아니게 한곳이 아닌 여러 곳의 치아를 알아보시는 분들이 적지 않으실 것 같은데요. 간단한 치아 발치 정도는 대부분 치과에서 가능합니다.
그렇게 똑바로만 나와준다면 참 좋겠지만, 사랑니는 누워서 자라거나 잇몸 속에 파묻힌 경우가 더 많습니다. 이렇게 난도가 높은 사랑니는 대학병원을 권유받을 확률이 높은데요.
사랑니 발치라고 하면, 많은 분들이 걱정과 두려움이 많으실 것 같습니다. 발치 과정이 아플까 봐 두렵고, 또 발치 후 부작용이 생기진 않을까 걱정되는 마음이 크실 것 같은데요.
그래서 오늘은 매일 사랑니 발치를 진행하고 있는 이편한세상치과에서 '덜 아프게, 발치하는 팁'을 공유해 드리려고 합니다. 함께 보실까요?
오늘의 목차,
-
사랑니 발치 신중해야 하는 이유
-
통증 걱정되시는 분들에게
-
경험 많을수록 좋은 이유
| 🦷1. 사랑니 발치 신중해야 하는 이유 |
'사랑니 발치 치과 왜 신중해야 하나요?'
사랑니는 다른 영구치가 모두 형성되어 있는 상태에서 자라 나오기 때문에, 공간이 협소한 상태로 맹출 됩니다. 이로 인해, 다른 영구치들과는 다르게 비정상적인 형태로 자라게 되죠.
옆으로 누워있는 형태
잇몸 속에 묻혀 자라는 형태
기울어져 있는 형태
앞어금니를 밀며 자라는 형태
등 이런 식의 비정상적인 형태로 자라나게 되며, 이는 사람마다 조금씩 다른 형태를 보입니다. 사랑니 발치 치과를 내원해 보신 분들은 가끔 이런 말씀을 들으신 적이 있으실 텐데요.

"이건 여기서 못 뽑아요~"
이런 이야기를 듣는 이유는 사랑니가 상악동과 같은 얼굴뼈에 영향을 주거나, 치아 근처 신경에 영향을 주는 위험한 위치에 있을 경우이기 때문입니다.
그렇기에 타 치과를 권하거나, 대학병원을 권유하는 경우가 종종 있는 것이죠. 하지만 꼭 대학병원이 아니어도 '사랑니 발치에 대한 숙련된 노하우'가 있는 본원에서는 안전한 발치가 가능합니다.
10년 이상의 사랑니 발치 경력을 바탕으로 간단한 케이스부터 고난도 케이스까지 안전하게 발치를 진행합니다. 대부분의 사랑니를 5-10분 이내에 발치를 진행합니다.
| 🦷2. 통증 걱정되시는 분들에게 |
'저는 통증이 너무 걱정되어요..'

사랑니 발치 치과를 찾으시는 대부분의 분들이 걱정하시는 것이 바로 '통증'이 아닐까 싶습니다. 실제로 진료실에서 환자분들을 보면 통증으로 인한 걱정과 두려움이 크신데요.
이러한 걱정과 두려움으로 인해 치과 내원을 계속해서 미루고 상황이 더 악화되서야 치과를 내원해 주시는 환자분들도 종종 볼 수 있습니다.

사실,
사랑니 발치 중에는 이미 마취를 진행하였기에 별다른 통증이 느껴지지 않습니다.
통증이 느껴지는 부분은 바로 '마취하는 과정'인데요. 많은 분들이 아시는 것처럼 치과 치료는 거의 대부분 '마취'를 동반하게 됩니다. 그렇기에 마취를 아프고 잘못하면 치과 치료가 공포스러울 수밖에 없고, 마취를 안 아프게 잘하면 훨씬 덜 아프고 수월하게 느껴집니다.
그럼 어떻게 마취를 해야 안 아프게 잘할 수 있을까요?

마취 과정 중에는 처음에 주삿바늘을 찌를 때 따끔, 마취액이 퍼질 때 욱신이라는 통증이 발생하는데요. 따끔하는 통증은 사실 마취가글이나 연고로 바늘을 찌르기 전에 약간만 신경을 써줘도 통증을 최소화할 수 있습니다.
하지만 욱신거리는 통증은 체온과 다른 마취액이 갑작스럽게 잇몸으로 들어온다면, 급격한 온도 차이와 압력 차이로 인해 근육과 신경이 놀라서 더 심한 통증으로 다가올 수 있는데요.
따라서 본원 같은 경우에는 욱신거리는 통증에 대비하여 주사 전에 마취액을 손에 꽉 집고, 체온과 비슷한 온도로 만든 후에 마취액을 한 번에 주입하는 것이 아닌 30초 이상 천천히 주입해 드리고 있습니다.

또한 이런 과정도 힘드시다면, 의식하 진정요법(수면치료)가 가능합니다. 치과 치료에 대한 두려움이 많으시거나 통증을 원하지 않으시거나 한 번에 많은 발치가 필요한 경우에 의식하 진정요법을 고려해 볼 수 있습니다.
의식하 진정요법은 치과치료에 대한 두려움이나 트라우마가 있으신 분들도 마치 잠을 자는 듯한 편안한 가수면 상태에서 치료를 받을 수 있어 보다 편안하고 안전하게 사랑니 발치가 가능합니다.
| 🦷3. 경험 많을수록 좋은 이유 |
사랑니는 사람에 따라 모두 다르게 맹출 합니다.
어떻게 자랐는지에 따라 간단한 수술이 될 수도, 복잡한 과정을 필요로 하는 고난도 수술이 될 수도 있죠. 따라서 사랑니 발치는 다양한 케이스의 발치 경험을 가진 의료진에게 맡기는 것이 바람직합니다.
본원에서는 10년 이상의 풍부한 발치 경험을 갖춘 통합치의학과 전문의 심규환 대표원장이 직접 사랑니 발치를 진행합니다.
10년 이상의 경험을 바탕으로 진행한 사랑니 발치 사례 몇가지를 소개해 드리도록 하겠습니다.
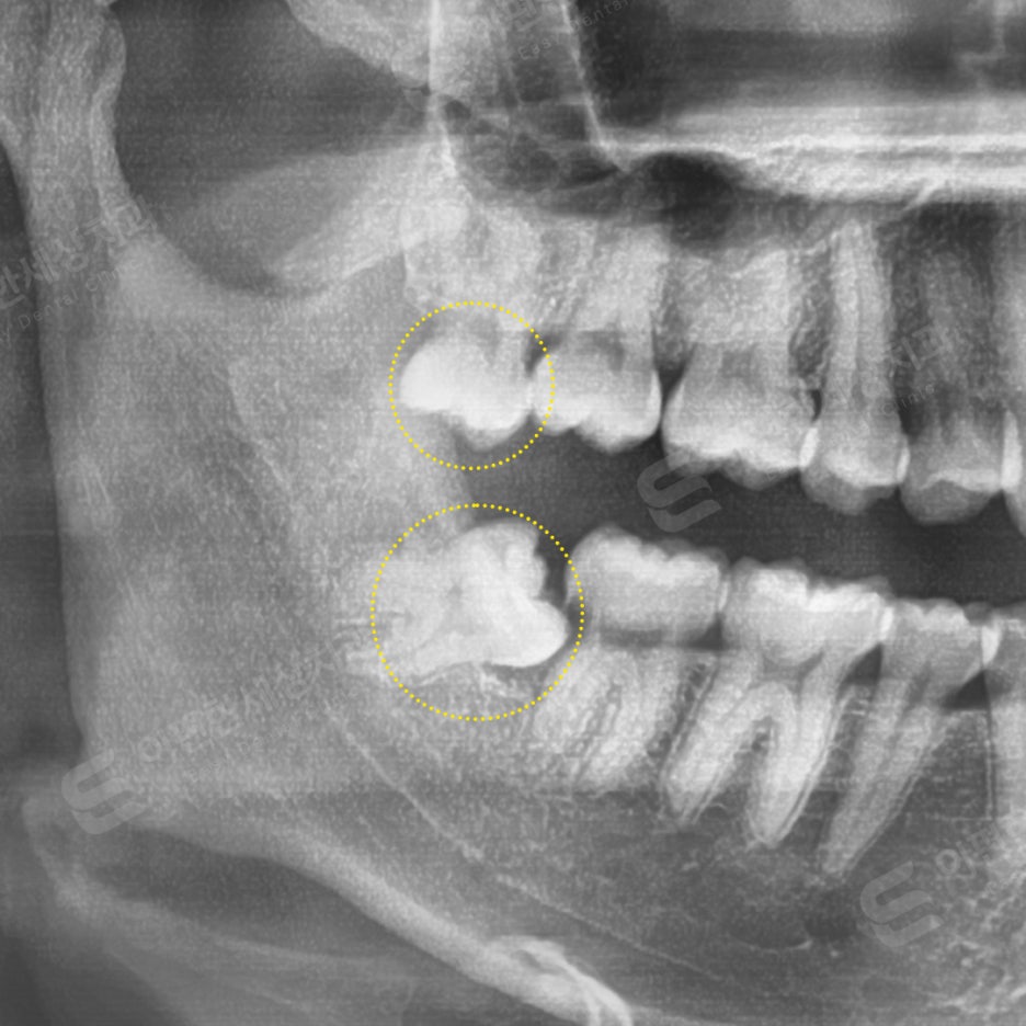
'당일 발치를 원해요'



Previous image Next image
촬영 일자 24.02.16
인터넷 검색 후 내원, 당일 발치 케이스
#48 완전매복 발치
치근단 신경이 닿아서
CT 촬영 후 발치
#18 일반 발치
'사랑니가 아파요'



Previous image Next image
촬영 일자 24.02.16
사랑니 잇몸 통증 호소 발치 케이스
#38 완전매복 발치
#28 일반 발치
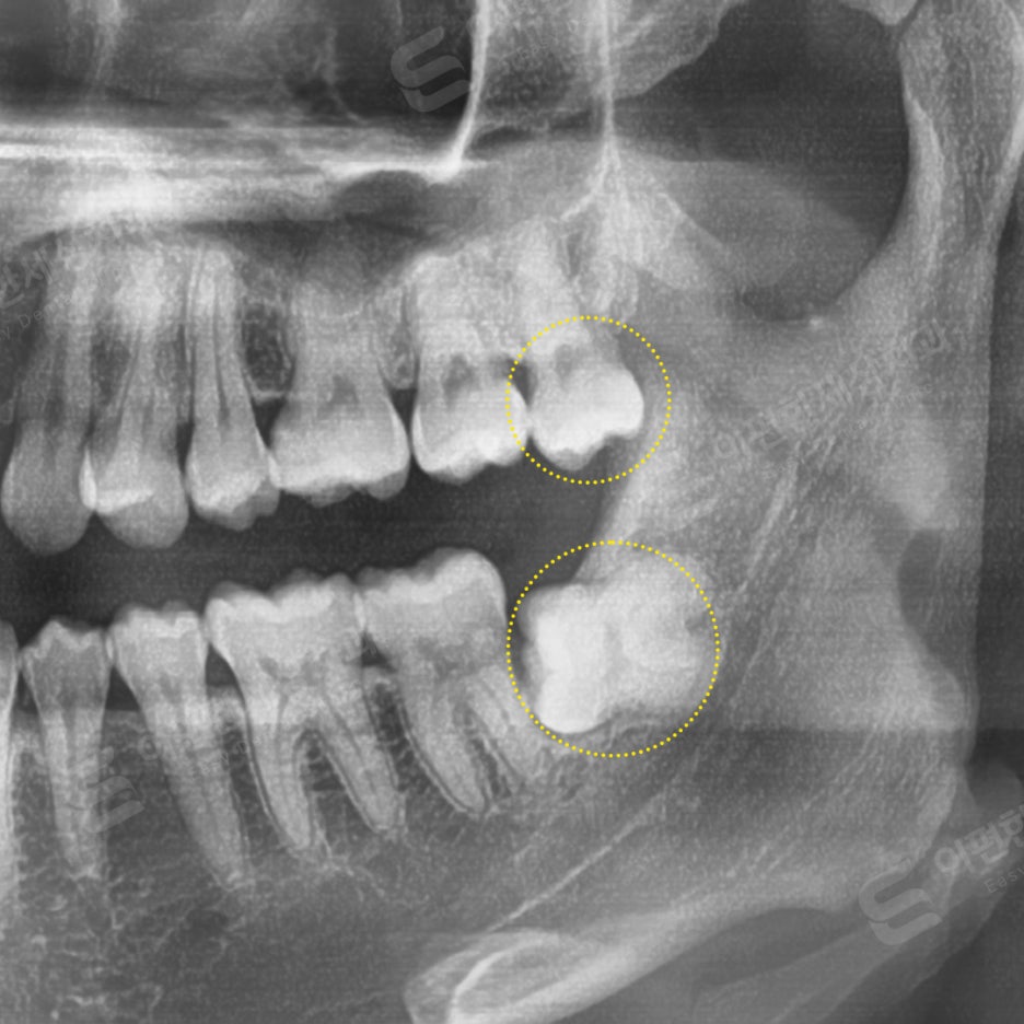
'사랑니 잇몸 쪽이 아파요'



Previous image Next image
촬영 일자 24. 02. 17
인터넷 검색 후 내원, 당일 발치 케이스
#48 복잡매복 발치
치아 뿌리와 신경관 가까워 보여
CT 촬영 후 발치
#18 일반 발치
'당일 발치를 원해요'



Previous image Next image
촬영 일자 24. 03. 11
사랑니 검진 후 당일 발치 케이스
#48 완전매복 발치
bur로 골 삭제 후 치아 분할하여 발치,
치근과 하악관 겹쳐보여 CT 촬영 후 발치
#18 일반 발치

SINCE 2010
이편한세상치과는 2010년부터 강서구 한자리에서 꾸준히 환자분들을 마주하며, 사랑니 발치를 하고 있습니다.
본원을 찾아주시는 모든 환자분들이 안전하게 사랑니 발치를 마치고 미소를 지을 수 있는 그날까지 안전하고 꼼꼼한 발치, 이후 사후관리까지 함께하겠습니다.
감사합니다.

[발산역에서 이편한세상치과 오시는 방법]
🚈
지하철 이용시
5호선 발산역 > 화곡역 7번 출구 도보 2분 이내
🚘
자가용 이용시
네비게이션 실행 후 이편한세상치과 화곡점
검색 또는 강서구 화곡로25길 2 검색
본 글은 이편한세상치과의원에서
의료광고법을 준수하여 작성되었습니다.
모든 시술 및 수술은 부작용의 가능성이 있으니
반드시 의료진과의 상담을 통해
진료 여부를 결정하시길 바랍니다.