아카이브 요약
이 페이지의 역할
이편한세상치과의원-화곡점의 네이버 블로그 원문을 보존한 아카이브 페이지입니다. 라미네이트 카테고리의 강서구라미네이트 실패하기 싫다면 꼭 읽어봐야 할 글 글을 통해 병원의 한국어 정보 제공 방식과 진료 관련 안내 톤을 확인할 수 있습니다.
원문 검증
필요하면 원문 블로그와 병원 프로필로 바로 이동해 문맥을 다시 확인할 수 있습니다.
출처 아카이브 열기아카이브된 블로그 글
이편한세상치과의원-화곡점 · Naver Blog
안녕하세요. 이편한세상치과입니다. 치아 색이나 형태 때문에 신경이 쓰이신 적 있으신가요? 최근 들어 인상 개선을 위해 라미네이트를 찾는 분들이 꾸준히 늘고 있습니다. 하지만 막상 알아보면 “이를 너무 많이 깎는 건 아닐까?”, “티 나는 건 싫은데 자연스럽게 될까?” 같은 고민이 생길 수 있는데요. [ 라미네이트...
게시일
2025년 10월 24일
원문 기준으로 확인된 발행일입니다.
카테고리
라미네이트
원문 블로그 카테고리를 정리해 함께 표시합니다.
이미지 수
5
현재 아카이브에 연결된 이미지 수입니다.
아카이브 요약
이편한세상치과의원-화곡점의 네이버 블로그 원문을 보존한 아카이브 페이지입니다. 라미네이트 카테고리의 강서구라미네이트 실패하기 싫다면 꼭 읽어봐야 할 글 글을 통해 병원의 한국어 정보 제공 방식과 진료 관련 안내 톤을 확인할 수 있습니다.
원문 검증
필요하면 원문 블로그와 병원 프로필로 바로 이동해 문맥을 다시 확인할 수 있습니다.
출처 아카이브 열기안녕하세요.
이편한세상치과입니다.
치아 색이나 형태 때문에
신경이 쓰이신 적 있으신가요?
최근 들어 인상 개선을 위해
라미네이트를 찾는 분들이 꾸준히 늘고 있습니다.
하지만 막상 알아보면
“이를 너무 많이 깎는 건 아닐까?”,
“티 나는 건 싫은데 자연스럽게 될까?”
같은 고민이 생길 수 있는데요.
[ 라미네이트 = 치아를 예쁘게 만드는 시술 ]
이렇게 단순히 생각하시는 분들이 많지만
그렇지 않습니다.
치아의 구조와 교합, 얼굴형까지
고려해야 하는
정밀 보철 치료라 할 수 있죠.
즉, 어떤 방식으로 설계하고 제작하느냐에 따라
결과의 자연스러움과 수명의 차이가
크게 달라지는데요.
오늘은 강서구라미네이트를 고민하시는 분들께
시술 전 반드시 확인해야 할
세 가지 핵심 포인트를 안내드리겠습니다.

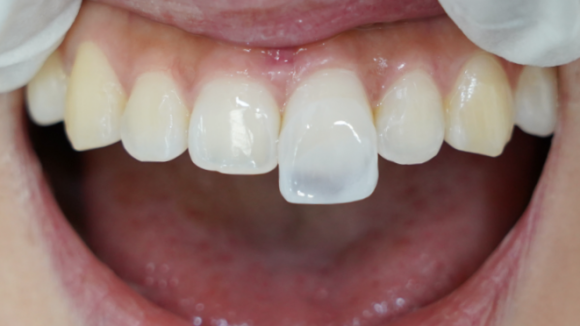
이해를 돕기 위한 예시 사진입니다.
촬영일 : 230602
첫 번째로 중요한 것은
치아를 얼마나
‘보존할 수 있는가’입니다.
강서구라미네이트
라미네이트의 본질은
치아를 완전히 바꾸는 것이 아닙니다.
치아를 가능한 한 그대로 두면서
개선하는 것입니다.
치아도 피부처럼 깨지거나 썩었을 때
저절로 다시 회복되면 얼마나 좋을까요?
그럼 치과를 갈 일도 없고
지갑 걱정도 덜 할텐데요ㅎㅎ
다만 현실은 그렇지 않습니다.
불필요하게 많이 삭제된 치아는
시간이 지나면 시림, 변색, 파절 같은
문제가 생길 수 있습니다.

정밀 진단 후 필요한 양만 삭제
촬영일 : 230731
따라서 이편한세상치과에서는
환자분의 치아 상태를 정밀하게 진단한 후
가능한 범위 내에서 무삭제 또는
최소삭제 방식을 우선적으로 고려합니다.
치아의 본래 형태와 강도를 최대한 지키는 것이
오래가는 방법이라고 생각하기 때문이죠.
두 번째로 중요한 것은
무조건 예쁜 색보다
‘조화’입니다.
강서구라미네이트
단순히 치아를 하얗게 만드는 치료가 아닙니다.
중요한 것은 얼굴 전체와의 조화입니다.
입술선, 피부 톤, 웃을 때
노출되는 치아의 비율까지 모두 고려되어야
자연스럽고 세련된 인상이 완성됩니다.
이편한세상치과는 이러한 부분을 분석하여
개개인에게 어울리는 색상, 길이, 곡선을
디자인하고 있는데요.
조금이라도 이상하다? 어울리지 않는다?
싶으면 주저않고 재제작을 하는 편입니다.
어찌 보면 너무 비효율적이다..
생각하실 수 있지만 시간이 조금 걸리더라도
저희를 믿고 찾아와주신 환자분께
최선의 결과를 안겨드리기 위한 마음이죠.
결국 좋은 라미네이트란
“했는지 모를 만큼 자연스러운 변화”를
만드는 것입니다.
세 번째로 중요한 것은
‘정밀함’입니다.
강서구라미네이트
섬세한 과정의 연속입니다.
치아 삭제 각도, 접착 강도, 재료의 두께 등
작은 차이가 전체 결과를 좌우합니다.

이편한세상치과는 치료 전 단계부터
구강 스캔, 모형 분석, 시적(try-in) 과정까지
정확하게 진행하여 예측 가능한 결과를
만들어가고 있는데요.
사실 이런 걸 증명하기가 쉽지 않지만
저희 치과에서 근무를 하고 있는 수많은 직원들도
이편한세상치과에서 라미네이트를 했을 정도죠.
또한 당~연히! 시술 후에는 접착부 변색이나
탈락이 생기지 않도록 정기 검진과
관리 방법을 함께 안내드리고 있습니다.
라미네이트의 진정한 가치는
크게 바뀌지 않은 듯 자연스러운
변화를 만드는 데 있습니다.
거울을 볼 때 어색하지 않고 주변에서
“무언가 달라졌는데 예뻐졌네?”라는
말을 듣는 것.

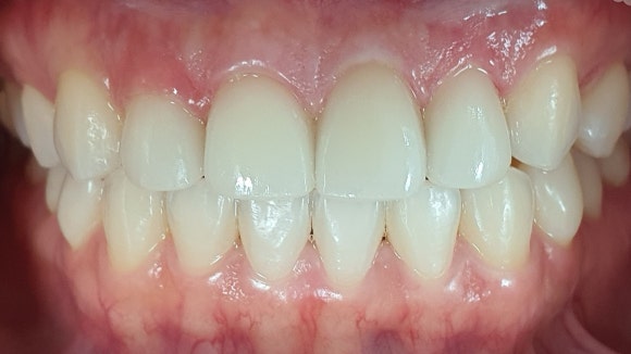
이해를 돕기 위한 예시 사진입니다.
촬영일 : 240809
그 미묘한 변화가 자신감을 회복시켜주죠.
강서구라미네이트를 고민 중이시라면
단순히 ‘예쁜 치아’를 만드는 곳보다
‘자연치아를 지키면서 조화롭게
회복할 수 있는 곳’을 선택하시길 권해드립니다.
치아를 깎기 전에 얼마나 지킬 수 있는가를
먼저 고민하는 것 그것이 건강한
치료의 시작이라는 것을 잊지 말아 주세요.
오늘 알려드린 내용이 여러분들께
도움이 되었으면 좋겠습니다.
감사합니다.
