아카이브 요약
이 페이지의 역할
이편한세상치과의원-화곡점의 네이버 블로그 원문을 보존한 아카이브 페이지입니다. 임플란트 카테고리의 화곡동치과추천 임플란트 상담 전 이 3가지를 꼭 기억하세요 글을 통해 병원의 한국어 정보 제공 방식과 진료 관련 안내 톤을 확인할 수 있습니다.
원문 검증
필요하면 원문 블로그와 병원 프로필로 바로 이동해 문맥을 다시 확인할 수 있습니다.
출처 아카이브 열기아카이브된 블로그 글
이편한세상치과의원-화곡점 · Naver Blog
안녕하세요, 이편한세상치과입니다😀 임플란트는 단순히 ‘이를 심는’ 시술이 아닙니다. 잃어버린 치아의 기능과 미소를 되찾는, 꽤 정밀한 재건 치료예요. 그런데 막상 상담을 받으러 오면 이런 질문을 하시는 분들이 많아요. 화곡동치과추천 “가격 차이가 왜 이렇게 큰가요?” “CT는 꼭 찍어야 하나요?” “당일 식립...
게시일
2025년 10월 31일
원문 기준으로 확인된 발행일입니다.
카테고리
임플란트
원문 블로그 카테고리를 정리해 함께 표시합니다.
이미지 수
7
현재 아카이브에 연결된 이미지 수입니다.
아카이브 요약
이편한세상치과의원-화곡점의 네이버 블로그 원문을 보존한 아카이브 페이지입니다. 임플란트 카테고리의 화곡동치과추천 임플란트 상담 전 이 3가지를 꼭 기억하세요 글을 통해 병원의 한국어 정보 제공 방식과 진료 관련 안내 톤을 확인할 수 있습니다.
원문 검증
필요하면 원문 블로그와 병원 프로필로 바로 이동해 문맥을 다시 확인할 수 있습니다.
출처 아카이브 열기안녕하세요, 이편한세상치과입니다😀

임플란트는 단순히 ‘이를 심는’ 시술이 아닙니다.
잃어버린 치아의 기능과 미소를 되찾는, 꽤 정밀한 재건 치료예요.
그런데 막상 상담을 받으러 오면
이런 질문을 하시는 분들이 많아요.
화곡동치과추천
“가격 차이가 왜 이렇게 큰가요?”
“CT는 꼭 찍어야 하나요?”
“당일 식립이 가능하다는데, 정말 괜찮을까요?”
오늘은 임플란트를 고민 중이라면 꼭 기억하셔야 할
세 가지 핵심 포인트를 이야기해 드릴게요.
뼈 상태를 꼼꼼히 확인하는 곳인가?
화곡동치과추천
임플란트의 수명은 ‘뼈’에서 시작돼요.
아무리 좋은 재료와 브랜드를 사용해도
기초가 되는 잇몸뼈가 약하면 단단히 자리 잡지 못합니다.

이편한세상치과 진단 장비
이편한세상치과에서는 반드시
3D CT 촬영을 통해 뼈의 두께, 높이, 신경 위치를 정밀 분석합니다.
단순한 엑스레이로는 보이지 않는 뼈 속 구조를 확인해야
임플란트가 얼마나 깊이, 어떤 각도로 심겨야 하는지 알 수 있거든요😊

실제 뼈이식 과정입니다 :)
특히 상악동(위턱 뒤쪽)처럼 뼈가 얇은 부위는
뼈이식이나 상악동 거상술이 필요한 경우도 있는데요.
사실 이런 과정을 생략하면
임플란트가 오래 버티기 어렵습니다..
임플란트는 ‘심는 기술’보다 ‘심을 수 있는 기반',
즉 '뼈의 상태’를
정확히 보는 데서 시작되기 때문이죠.
뼈가 붙는 과정을 중요하게 보는 곳인가?
화곡동치과추천
요즘은 ‘즉시 식립’, ‘당일 임플란트’라는 문구를 많이 보셨을 거예요.
하지만 모든 경우에 해당되는 건 아닙니다.
화곡동치과추천
임플란트는 뼈와 인공 치근(티타늄)이
단단히 붙는 ‘골유착’ 과정이 꼭 필요합니다.
이편한세상치과는 속도보다 ‘안정성’을 우선으로 하고 있는데요.

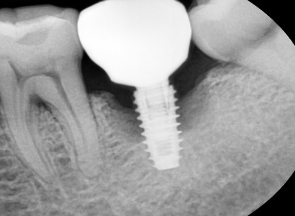
잇몸이 약한 분이라 뼈이식을 동반해서 치료해 드렸습니다^^
촬영일 : 241206
뼈 상태가 좋다면 빠른 시술도 가능하지만,
염증이 있거나 잇몸이 약한 경우라면
충분한 회복 시간을 두고 단계별로 접근합니다.
조금 시간이 걸리더라도
한 번 심은 임플란트가 오래도록 제 역할을 하는 것이
진짜 성공적인 치료라고 믿기 때문입니다.
관리 시스템이 체계적인가?
화곡동치과추천
임플란트는 ‘심는 순간’만큼
그 이후의 관리도 중요합니다.
화곡동치과추천

임플란트 주위염 발생 사진, 촬영일 : 240405
수술 후 잇몸이 붓거나 통증이 생길 수 있고,
몇 년이 지나면 잇몸뼈가 자연스럽게 변하면서
위 사진처럼 임플란트 주위염이 생기기도 합니다😭
이편한세상치과는 정기검진 때마다
임플란트 주변 잇몸, 교합(물림 상태),
보철물의 적합도를 꼼꼼히 확인해 드리고 있는데요.
필요시 전용 초음파 세정 장비나 클리닝 시스템으로
임플란트 주변을 안전하게 관리하고 있습니다.

임플란트는 시술만큼 관리와 유지가 중요합니다.
관리 시스템이 잘 갖춰진 치과인지 꼭 확인해 보세요.
임플란트는 단순히 치아를 하나 세우는 일이 아닙니다.
치아 하나의 기능, 균형, 그리고 앞으로의 10년을 결정짓는 선택이죠.
이편한세상치과는 정밀 진단, 체계적인 술식, 그리고 꾸준한 사후관리를 통해
단순한 ‘시술’이 아니라 ‘회복과 유지의 과정’을 함께 합니다.
임플란트를 고민하고 계신다면,
상담 전 이 세 가지를 꼭 기억해 주세요.
그 기준이 명확해질수록, 치과 선택도 훨씬 쉬워집니다.
감사합니다. 더 유익한 정보로 찾아오겠습니다!
